Search Dental Tribune

Revolutionising dental treatments: The power of digital integration with Invisalign Smile Architect

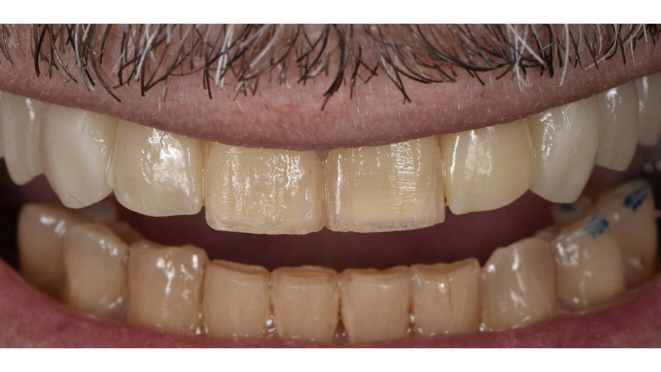
The patient sought enhanced aesthetics and replacement of a missing tooth in the mandibular arch. (All image: Luís Ilzarbe)

Fri. 1. March 2024

save

In modern dental practices, a multidisciplinary approach is employed, each specialty collaborating towards the outcome in terms of predictability and enduring success. The integration of digital tools in dentistry has revolutionised daily practice, enhancing the predictability, efficiency and overall patient experience in our modern workflows. This translates to providing comprehensive, minimally invasive dental care. For restorative dentists, this means offering facially driven digital orthodontic and restorative treatments.

Align Technology has recently introduced Invisalign Smile Architect, a groundbreaking tool that transforms invasive procedures of the past into patient-centred, minimally invasive treatments. This tool empowers dental professionals to design a digitally guided orthodontic and restorative treatment plan tailored to their patients’ needs from the very first consultation. In essence, it is a planning program designed to assist clinicians in achieving more predictable results in their case planning (Figs. 1 & 2). It allows dental professionals to design the smile, orthodontic plan and prosthesis restoration while analysing the preserved dental mass. Invisalign Smile Architect is a new option within the ClinCheck software, encompassing the entire process on a unified platform.

Dealing with uncertainty in a patient’s case is a perpetual challenge for dental professionals, especially when facing a treatment that can have a profound impact, such as the reconfiguration of teeth owing to functional, aesthetic or biological concerns. In such situations, providing a forecast of the results fosters the crucial trust needed to proceed with the treatment. The innovative Invisalign Smile Architect not only offers powerful planning capabilities, but also provides communication protocols, enabling patients to understand how tooth movement significantly contributes to the preservation of their dental structure throughout the treatment process. This digitalisation enhances communication with both the patient and the team while furnishing a wealth of information. By viewing the patient holistically, we understand that more information leads to more effective treatment. The advantage of digitalisation lies in the software’s ability to provide a clinical perspective previously unattainable. This raises two pivotal considerations: data integration, enabling evaluation of all patient files collectively, and effective communication regarding why we believe our chosen treatment option is optimal. With these impressive communication tools, we can visually demonstrate the anticipated final treatment outcome—a significant advancement (Fig. 3).

Guided planning is imperative, as it ensures that we capture all essential data. In the past, the abundance of information was often disjointed. Even in a digital environment, integrating CBCT data, articulated models and patient photographs proved mentally taxing, as they resided in different digital spaces. Before Invisalign Smile Architect, amalgamating this disparate information was a formidable challenge owing to the diverse software languages. Now, assembling this crucial information, which is invaluable across specialties, is relatively straightforward. With more information comes less room for human error. Armed with this knowledge, we can more effectively achieve our goals, both as dentists and as dental technicians (Fig. 4).

Align’s new software seamlessly integrates smile and prosthesis restorative design, orthodontic planning, and analysis of the preserved dental mass through tooth movement in prosthetic restorative planning. These features substantiate its efficacy as an ideal planning tool for restorative treatments. We now possess the capability to plan tooth alignment therapy with remarkable tools like in-face visualisation, facially guided lines, restorative information and tooth mass analysis (Fig. 5). The smile in-face visualisation tool with lines allows you to plan your treatment with a wide smile photograph uploaded to the Invisalign Doctor Site through your Invisalign Practice app. All changes made in your ClinCheck via comments or 3D controls will have a corresponding impact on this integration with the patient’s face, presented in a superimposed and realistic style (Fig. 6). A unique feature in tooth alignment software, restorative tools assist dentists in seamlessly integrating the restorative workflow within a comprehensive orthodontic and restorative approach. You can select the number of restorations and customise the prosthodontics frame according to your preferences, considering shape, proportion, gingival contour and more (Figs. 7 & 8). The tooth mass analysis tool empowers dental professionals to correlate alignment therapy and tooth movement with restorative objectives, clearly illustrating, through colour-coded visualisation, the space required to achieve the final designed outcome, regardless of whether working with a direct or indirect approach (Fig. 9).

Fig. 10

Fig. 10

Clinical case

The patient sought enhanced aesthetics and replacement of a missing tooth in the mandibular arch (Fig. 10). After listening to the patient to understand his goals, we took photographs and scanned the patient with the iTero intra-oral scanner in the first appointment, capturing all the necessary information for a treatment plan (Figs. 11 & 12). We used this information to initiate a communication protocol, explaining what we observed and outlining our treatment goals in terms of function, structure, biology and aesthetics (Fig. 13). We then presented different treatment options. Once we had established the choice of treatment with the patient, we commenced our orthodontic and restorative workflow through Invisalign Smile Architect. We uploaded all the images through the Invisalign Practice app and completed the prescription form on the Invisalign Doctor Site (Fig. 14). We then began planning the tooth alignment therapy within ClinCheck, utilising comments or 3D controls.

I always initiate treatment using the SAFE assessment protocol (Stability, Assessment, Function and Ethics) of Dr Raman Aulakh (Aligner Dental Academy), as it aids in my observation protocol and aligns with the 4STP (foursentence plan) communication protocol with the CAD designers from Align. After receiving this new proposal, I adapt and customise it with the 3D controls to my style and technique and the restorative goals for the case (Fig. 15).

With Invisalign Smile Architect, you can plan with a truly facially driven approach, in which each movement in the 3D model corresponds with the smile in-face visualisation tool. This allows you to draw treatment lines that guide your tooth alignment therapy (Figs. 16 & 17).

After planning the desired orthodontic movements with a focus on biology, function and structure, you can plan your restorative outcome using the restorative tool within ClinCheck. This integration in the 3D model will be synchronised with the wide smile photograph (Fig. 18). You can select the number of restorations and modify shape using libraries or with buttons in ClinCheck style. This includes moving the restoration and adjusting the gingival simulation (Fig. 19).

You can verify whether all these changes and movements in the restorative plan align with your orthodontic plan and the patient’s face. This can be assessed through a superimposed view or realistic in-mouth view (Fig. 20).

Once everything has been set up, you can utilise the tooth mass analysis tool to gauge how you can adapt your tooth alignment therapy to your restorative design and needs (Fig. 21). This is contingent on factors such as material and desired outcomes.

After finalising all modifications, you can schedule an appointment with your patient to demonstrate and explain how you can address their case. This includes discussing the methodology, rationale and necessary steps after tooth alignment therapy. The realistic view, both with and without lines, facilitates clear patient comprehension (Fig. 22).

We completed the orthodontic therapy as planned (Fig. 23), and thereafter Dr Fernando García-Sala placed two implants in an immediate loading protocol (Fig. 24). After the requisite healing period, we proceeded with the planned direct restorations (Fig. 25) and achieved an aesthetic, functional and biologically healthy outcome for the patient (Figs. 26 & 27).

Value of Invisalign Smile Architect

One of the most crucial benefits of digital dentistry, in my opinion, is communication. Digital dentistry, driven by continuous research and development by companies, provides dentists with tools to convey their expertise in a language patients understand. We can discuss with them how, after establishing a healthier oral environment, we can work towards their functional and biological wellbeing, integrated with aesthetics. This information is in a visual context familiar to patients—their faces. It is truly remarkable how we can now align a 3D orthodontic treatment plan with a realistic simulation, enabling the patient to witness where we will begin, how we will progress with tooth alignment and what our desired result will be—all while employing a prosthodontic and restorative approach.

For me, drawing lines signifies diagnosis. In the past, we needed to translate all the 2D information we gathered from smile analysis into 3D digital plans. We planned in 2D, but executed in 3D. This approach persisted for many years, presenting challenges as we navigated between different software platforms, often resulting in discrepancies due to varying rules. The ability to draw these lines in ClinCheck now furnishes us with powerful insights into our target, covering midlines, incisal edge alignment with the lower lip, gingival contouring, transitions between the anterior teeth and proportions in the canine-to-canine view. With a clear target, we can follow our observations more effectively, ensuring that we achieve the objectives set with our team and the patient.

Fig. 26

Fig. 26

Fig. 27

Fig. 27

Restorative options are the tools I have longed for in the past. This industry-exclusive software allows seamless integration of restorative aspects with tooth alignment movements. In my daily practice, I am wholly devoted to cosmetic and oral restoration through a minimally invasive approach. Consequently, you can imagine the significance of this magic button from a technical perspective. While Align terms it “restorative”, I view it as integration. Now, we have the means to create a restorative prosthetic framework that optimises tooth alignment, aligning with my techniques, whether direct or indirect. If I can easily identify where to apply the restorative volume, decisions related to tooth alignment become straightforward. This approach emphasises preserving as much tissue as possible, ultimately resulting in superior aesthetics and adhesion, and long-term success, thanks to the conservation of enamel.

In my opinion, the most invaluable feature is the tooth mass analysis tool. This new tool aids me in two distinct ways. Firstly, from a technical aspect, it allows me to ascertain how much tissue I will need to remove from the patient’s teeth, empowering me to make informed decisions. Each click in the 3D control tools within ClinCheck equates to movement in millimetres or degrees. Now, I can assign a value to each click, as I can measure its impact from a restorative perspective. Each click is now significant, as it forms the restorative framework, allowing us to fully optimise our results. We have all the information at our disposal, eliminating the need for speculation. We possess the perfect tools for planning and precise measurement for preservation. It is incumbent on us to employ these resources to patients’ benefit, considering their comprehensive well-being. Secondly, this tool serves as a means of communication with the central figure in this narrative—the patient. Now, it is straightforward to elucidate why we, drawing on our dental expertise, made specific treatment decisions. The patient can now visualise why we have chosen to move a particular tooth in a certain direction, with the added benefit of measurement or explanation in familiar terms—colours.

Frankly, for me, Invisalign Smile Architect is a dream realised. I consider myself an early adopter of digital technology in dentistry, having worked in a fully digital capacity for nine years. This signifies my journey of learning, adapting to various workflows, investing in diverse hardware and mastering numerous software programs. While the path was enjoyable, it was challenging, given that everything was novel, and we lacked the seamless integration that we now possess. I have been a university lecturer for 12 years and often express to my students how fortunate they are. They embark on their careers with exceptional software, intra-oral scanners and optimised protocols. They possess incredible potential because they commence their professional journeys with the best tools at their disposal. They can achieve a remarkable level of dentistry because they are equipped with all the necessary information. Invisalign Smile Architect makes the digital patient tangible, providing all the information we need from a prosthodontic perspective on one platform, accessible on our computers. By operating in Align’s environment, we experience seamless integration with exocad, the premier software for CAD/CAM dentistry. The next step is an exciting prospect.

Acknowledgement

Special thanks to Dr Haitham el-Bahrawy, clinical executive of the Aligner Dental Academy, for his contribution, and Dr Fernando García-Sala for his incredible skills and collaboration with surgeries.

Editorial note:

This article was published in aligners—international magazine of aligner orthodontics vol. 2, issue 2/2023.

Tags:
To post a reply please login or register
advertisement
advertisement