Search Dental Tribune

Root canal therapy of necrotic primary molars—using a single-file reciprocating system

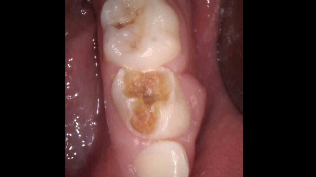
Root canal procedure for pulp tissue in paediatric patients often represents a challenge for the dental practitioners. (Image: Svitlana Hulko/Shutterstock)

Pulpectomy is a root canal procedure for pulp tissue that is irreversibly infected or necrotic owing to caries or trauma. The root canal pulp tissue is removed, and the canal is commonly shaped with hand or rotary files.1 This procedure is the standard of care when normal shedding coupled with the eruption of the permanent successor or long-term tooth retention is the priority goal and evidences a good healing outcome.2

Like in permanent teeth, it is crucial to achieve adequate disinfection in the root canal system of primary teeth.3 Premature extraction of necrotic primary molars leads to space loss, an important oral health concern in children because of the consequent improper arch length and altered successor eruption.3 Therefore, pulpectomy of primary teeth with severe pulp involvement should be considered the treatment of choice when indicated.3, 4

However, it represents a challenge because of the morphological complexities of the root canal system, presenting multiple roots, uneven apical resorption, fused roots, two mesiobuccal canals and two distobuccal canals in maxillary molars, as well as fins and isthmuses, among others.2 The disinfection protocol involves biomechanical preparation with hand or rotary instruments and mainly employs 0.5%–5.5% sodium hypochlorite (NaClO) and 17% EDTA.5 Additionally, children are more prone to anxiety and stress during dental treatment,4, 5 which may require, in addition to well-established paediatric behaviour management, techniques inherent to the endodontic field that help to make the procedure simpler and less time-consuming.6, 7

Stainless-steel hand files have been traditionally and, to some degree, successfully used for pulpectomy procedures in primary molars.7 Despite this, when they are used exclusively, they have multiple drawbacks because of their rigidity, making it difficult to negotiate the canals properly and to avoid procedural errors like ledge formation and perforation.8 Rotary instrumentation was later introduced and has proved to be very beneficial in the practice of paediatric endodontics.8, 9 It takes less time, is less skill dependent and reduces the probability of errors that arise with hand files. Consequently, rotary instrumentation facilitates the creation of better conical space for a superior obturation protocol.10 However, these systems almost always require a long sequence, making them time-consuming, and may become fatigued, owing to the rotational movement, increasing the probability of file fracture or distortion.11, 12

Continuous advances in the field of endodontics have resulted in reciprocating instruments that have been applied in root canal therapy of permanent teeth. The clockwise and anticlockwise movement produces less binding of the instrument to the dentine wall, resulting in a decrease in cyclic fatigue and instrument fracture.13 This motion advocates the use of a single file for the entire root canal preparation. Being less time-consuming, it allows for a longer irrigation protocol. The technique used involves a cycle of instrumentation of in and out pecking motions of 2–3 mm in amplitude with slight apical pressure. Each cycle requires irrigation of the root canal with the irrigating solution and cleaning the file flutes of all dentine remnants, debris and pulp tissue between each cycle.12, 13

In the research on primary molar pulpectomies, the results of the use of reciprocating instruments have been encouraging so far, demonstrating good cleaning and shaping properties and shortened instrumentation time, thus being beneficial for the preparation of primary teeth.14–17 However, we found no in vivo studies or clinical reports on the use of the R25 file (RECIPROC, VDW) in primary molar pulpectomy. In this article, we present a case series of primary molar pulpectomy using R25 in RECIPROC ALL motion in five primary molars with a diagnosis of pulp necrosis and periapical disease.

Pulpectomy procedure

 All the patients’ parents (or legal guardians) were informed about the procedure protocol and prognosis and signed a written consent. The pulpectomy procedures were performed by the same operator, an endodontist with ten years of experience in primary molar pulp therapy. All the cases were non-vital teeth with a diagnosis of pulp necrosis. Radiography confirmed bone loss in the apical or furcal area, severe decay compromising the pulp chamber and at least two-thirds remaining of the root surface. All the children were cooperative and did not have systemic disease or special care needs. Follow-up time ranged from 14 months to 36 months.

The treatment protocol was performed in the following steps:

  • Local anaesthetic (1 carpule of 2 cm3 of 2% lidocaine hydrochloride with 1:100,000 adrenaline) was slowly injected and negative aspiration confirmed.
  • Under complete isolation with a clamp and dental dam, the access cavity was performed with a high-speed #4 round bur under the operating microscope (OM-100, Ecleris), and the access was redefined with a diamond bur.
  • The canals were searched with the aid of the DG16 endodontic explorer (Hu-Friedy) and negotiated with 10/0.02 K-type files (SybronEndo; Kerr).
  • The canal length was determined with an electronic apex locator (Root Zx II, Morita) and confirmed with a periapical radiograph. From the measure obtained, 1 mm was subtracted to calculate the working length.
  • The irrigation was realised with 2.5% NaClO delivered passively 2 mm short of the working length in 27 gauge, 3 cm3 Luer lock endodontic syringes (PlastCare).
  • The root canal preparation was performed with a 21 mm long R25 file according to the manufacturer’s recommendations in reciprocating motion (VDW.SILVER RECIPROC, VDW) in the RECIPROC ALL mode, without apical pressure, using in and out movements of 2–3 mm in amplitude, allowing the instrument to advance in the canal in a safe way until it reached the working length.
  • No lateral pressure against or brushing of the canal walls was done, in order to reduce the risk of weakening the thin tooth structure.
  • The final irrigation protocol per root was 2 cm3 of alcohol and 1 cm3 of 17% EDTA for 1 minute, followed by 2 cm3 of alcohol, 5 cm3 of 2.5% NaClO and 3 cm3 of saline, and then paper points (Meta Biomed) were inserted to ensure canal dryness.
  • A mixture of zinc oxide eugenol (ZOE) in a powder–liquid form (Proquident) was delivered into the canals on a 40/0.04 gutta-percha cone (Meta Biomed) at the tip only. Owing to its diameter at the tip, the cone was intended to fall short of the apical working length to avoid over-extrusion of the material.
  • An intermediate radiograph was taken to visualise the quality of obturation. If further condensation was required, more ZOE paste of a harder consistency was gently plugged with a sterile cotton pellet.
  • Intermediate obturation was performed in the cavity above the ZOE using a glass ionomer luting cement (Ketac Cem Easymix, 3M ESPE).
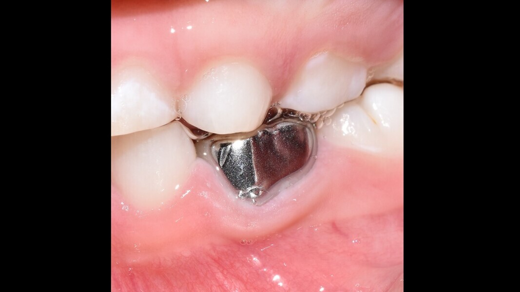
  • At a second appointment, 15 days later, upon confirming the absence of signs or symptoms of disease, a stainless-steel crown was adapted and cemented with glass ionomer in a powder–liquid form (Ketac Cem Easymix).

Case 1 (Figs. 1–4)



This female patient was 4 years and 7 months old and presented with pain that had lasted for several days affecting the mandibular right second primary molar. On clinical examination, a buccal gingival swelling and facial initial oedema were noted, and the tooth was found to have deep occlusal decay. Pulp necrosis and a symptomatic apical abscess were diagnosed. The patient was prescribed medication to control acute infection and rescheduled after the antibiotic treatment. At the second appointment, no pain was reported and the buccal abscess had partially receded. A decision was made to perform pulpectomy and restoration. Over-extrusion of the obturation material was observed. The 15-month re-evaluation confirmed no clinical or radiological signs of disease, and bone deposition was evident in the furcal area.

Case 2 (Figs. 5–9)



This male patient was 6 years and 7 months old and presented with severe tooth decay on the mandibular left first primary molar without any symptoms of pain. He experienced slight discomfort to percussion and palpation of the buccal gingiva. A buccal abscess and no mobility were observed. The radiograph showed a large area of interradicular bone loss. The tooth was diagnosed with pulp necrosis and an asymptomatic apical abscess. Pulpectomy was performed, and at a second appointment, a stainless-steel crown was placed upon confirming absence of signs or symptoms of disease. At the 14-month recall, no clinical pathology was detected and a normal eruptive process of the permanent premolars was observed in spite of the extrusion of the obturation material.

Case 3 (Figs. 10–13)



This male patient was 7 years old and presented with mild pain that had lasted for several days. An extensive and deep cavity in the mandibular left first primary molar was observed. There was no swelling of the gingiva, but the tooth was painful on percussion. The radiograph showed the severity of the decay but no consistent changes to the surrounding bone. Pulpectomy was the treatment of choice. The diagnosis of pulp necrosis was confirmed once the access cavity had been performed, and three canals were located and fully negotiated. At a second appointment, 15 days later, the tooth was totally asymptomatic and the decision was made to restore with a stainless-steel crown. The 36-month control showed the tooth to be in normal function and completely healthy.

Case 4 (Figs. 14–18)



This male patient was 4 years and 6 months old and presented with constant and spontaneous pain of the mandibular left first primary molar that had lasted for several days but no facial oedema or buccal gingival swelling. Deep decay was observed but no mobility or deep probing depths. On the radiograph, the carious lesion could be seen to be compromising the pulp chamber and initial bone damage was observed in the septal area. Pulpectomy was the treatment of choice. In the removal of the carious lesion, the pulp was exposed and no bleeding was observed. Pulp necrosis was diagnosed. Two mesial and two distal canals were located, and the tooth was obturated. At a second appointment, the tooth was asymptomatic and was restored with a stainless-steel crown. At the 30-month control, the tooth presented no symptoms and a normal eruptive process was observed on the radiograph.

Case 5 (Figs. 19–23)



This male patient was 5 years and 8 months old and presented with distal deep interproximal caries on a maxillary left first primary molar and an associated buccal sinus tract. The patient was asymptomatic and without a history of pain. Pulp necrosis with suppurative periapical periodontitis was diagnosed. Three canals were located and prepared for obturation. Apical over-extrusion with the ZOE was observed. Fifteen days later, the patient was asymptomatic and the sinus tract had resolved, so the decision was made to restore the tooth with a stainless-steel crown. Follow-up after 30 months showed periapical healing of the mesial apical radiolucency and no signs or symptoms of disease or pain.

Discussion

Dental caries is a pathology of wide prevalence in the world, and it affects the dentition in the early stages of life, being most common in susceptible populations because of a lack of dental education and limited access to quality healthcare services.18 It is well known that it is essential to avoid space loss during childhood in order to preserve the natural dentition. Loss of proper space can lead to malposition of permanent teeth and compromises nutrition, speech ability and self-confidence, among others.19 Primary molar pulpectomy is the treatment of choice to preserve primary natural dentition in teeth affected at the pulp–dentine complex and periodontally diseased as a result of bacterial invasion of the root canal system.20

Anxiety and stress regarding dental treatment in general are common, but must especially be taken into consideration when it comes to performing paediatric endodontic treatment.21 The search for and implementation of efficient endodontic techniques requires proper understanding of the root canal system anatomy, root canal instrumentation, disinfection and obturation techniques, and the importance of coronal restoration.20, 22 When it comes to root canal instrumentation, hand file techniques have been widely used in endodontics, but they are time-consuming, uncomfortable at some point and susceptible to procedural errors, especially if preformed by clinicians with limited clinical experience.22, 23 Mechanically driven instrumentation came to change the way we shape canals, providing a faster way to enlarge the root canal system in a convenient geometry to allow the appropriate movement of the irrigating solutions inside the root canal system.23, 24 Instrument design, nickel–titanium alloys and the type of movement are factors to take into consideration, because they will directly influence the instrument performance.

In paediatric dentistry, chair time is a factor to consider: the shorter, the better for the patient to manage anxiety and feel comfortable. Single-file reciprocating instrument systems can be beneficial for paediatric endodontic treatment because they properly enlarge the geometry of the root canals, facilitate good shaping to enable proper distribution of irrigating solutions all along the working length and are less time-consuming than rotary and manual instrumentation sequences.23, 25, 26 However, to the best of our knowledge, there is a lack of in vivo research on the use of reciprocating instruments in primary molar pulpectomy.

Moghaddam et al. in their experimental study compared the cleaning efficacy and instrumentation time of RECIPROC and Mtwo (VDW) in primary molars.27 They concluded that using systems such as RECIPROC for pulpectomy is beneficial. Ramazani et al. in their in vitro study compared two rotary systems and RECIPROC in mesiobuccal canals of primary molars.28 They confirmed the RECIPROC system’s fast and good cleaning and shaping ability. These were the first studies to advocate the use of the RECIPROC system in the primary dentition.

Moraes et al. conducted an in vitro study employing a 3D-printed prototype of a maxillary primary central incisor.14 They concluded that the R40 file of the RECIPROC system was effective for instrumenting their 3D-printed model.

Tyagi et al. in their in vivo study compared the use of a rotary system and the RECIPROC system for primary molar pulpectomy and evaluated the possible influence of the file system on child behaviour, among other factors.29 Their results regarding clinical performance were in accordance with those of previous research. Nonetheless, they stated that the choice of file system did not significantly alter child behaviour.

Dalzell et al. conducted a micro-CT study in which they evaluated the instrumentation efficacy of manual, Mtwo and RECIPROC blue files (VDW) in non-fused and fused primary molar roots and found significant differences in cleaning and shaping effectiveness in both fused and non-fused teeth.30 Additionally, they found more procedural errors when the reciprocating instruments were used. This last finding is contrary to those of previous research and our clinical experience so far. Although we have not seen the clinical performance of the RECIPROC blue system, it shares the geometrical design and motion of RECIPROC.

Barasuol et al. compared the shaping ability of hand, rotary and reciprocating files in primary teeth in a micro-CT in vitro study.25 Their results showed more canal transportation in the middle third of the root canal with the R25 file. They also found a shorter instrumentation time with the RECIPROC system compared with manual instrumentation.

To the best of our knowledge, ours is the first clinical report of the use of the R25 file in an in vivo scenario for primary molar pulpectomy. The long period of follow-up showed good results overall. These five cases were restored with complete stainless-steel crowns, and the time of their cementation was appropriate, avoiding recontamination of the root canal system. Our clinical experience over the years exceeds the cases reported here; however, these cases were presented because of their longer follow-up and proper stainless-steel restoration. The therapeutic success of our unreported cases follows the trend shown in this case series. Stainless-steel crowns are the preferred restoration for children at high risk of caries and teeth that have undergone pulp therapy. This may have contributed to the long-term success of treatment.

The use of the operating microscope, coupled with the experience of the operator in microscopic endodontics, may also have contributed to these results. The dental microscope is under-estimated and under-used in paediatric dentistry; however, its advantages in locating canals in primary molars are clear, and its use is likely to become the standard of practice in dentistry. The improved ergonomics also allows longer working times without repetitive muscle strain and prevents postural issues.”

More research is needed with longer follow-up and more cases and a good randomising protocol. Newer reciprocating instruments like RECIPROC blue could possess designs and metallurgical characteristics that are beneficial for use in primary molar pulpectomy and should therefore be investigated.

Editorial note:

A list of references is available from the editor. This article was published in roots—international magazine of endodontics, issue 1/2022.

Tags:

One thought on “Root canal therapy of necrotic primary molars—using a single-file reciprocating system

  1. Elie Warde says:

    Do you fill the canals of the primary molars with gutta points and root canal paste, as we do for permanent teeth ?

To post a reply please login or register
advertisement
advertisement