Time travel—two words that sound odd in an article on dentistry, but are a daily reality for all health professionals. Ageing concerns all patients who see their bodies deteriorate and aspire to go back in time to regain their lost youth. This is even more true in dentistry where dentists are often called upon to treat patients suffering from pathologies that are destructive over time such as decay, tooth wear and periodontal disease.
Patients most often wish to regain their original smiles, which have been gradually altered by time and life events. The healthcare professional must then demonstrate technical and medical ingenuity to restore the initial situation by restoring the original shape, colour and position of the oral structures. In this article, we will inverse time to describe a clinical case backwards and show that therapeutic success is achieved when the end result becomes a new beginning for the patient.
Case report
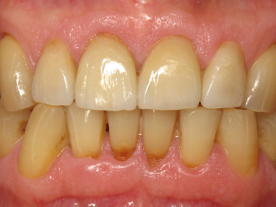
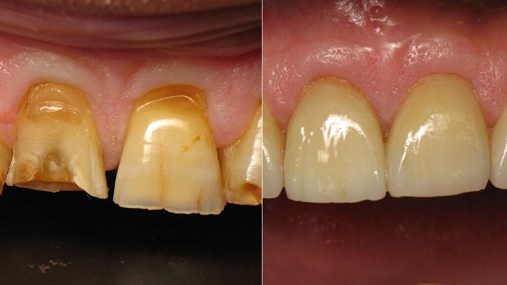
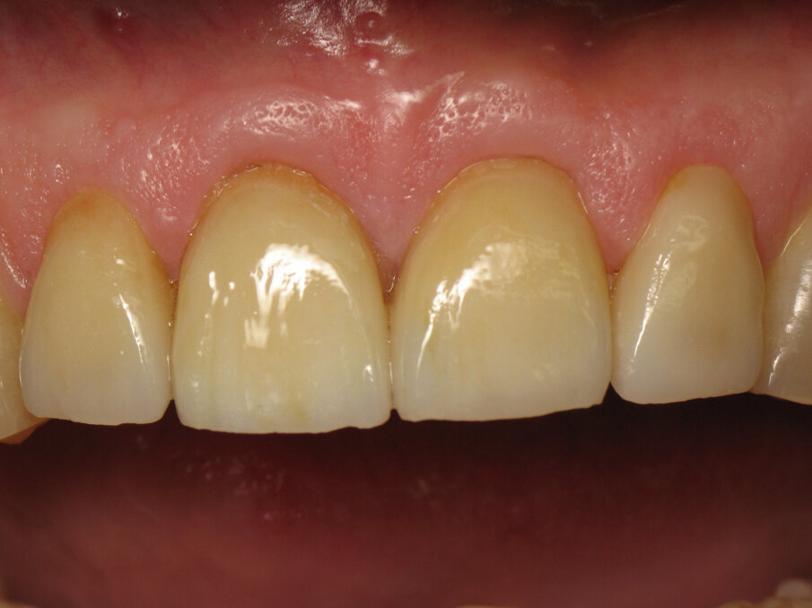
Figure 1 shows a clinical situation in which the patient will be able to smile literally and figuratively. The teeth have a harmonious shape, position and shade, despite minor defects such as cervical lesions of the mandibular incisors. There is also good periodontal health, there being no plaque or gingivitis. What the reader is far from suspecting is that this final situation corresponds to the placement of four crowns on teeth #12–22.
Figure 2 shows us close up the quality of the restorations and the care taken by the dental technician in the production of these crowns. Indeed, the anatomy is harmonious and leaves no black triangles at the gingival papillae. In addition, the shade is natural, saturation increasing gradually from the incisal edge to the cervical region. The laboratory technician added a subtle touch of ochre stain in vertical lines. Particular attention has been paid to this clinical case for a result that exceeded the patient’s expectations.
“Patients most often wish to regain their original smiles, which have been gradually altered by time and life events”
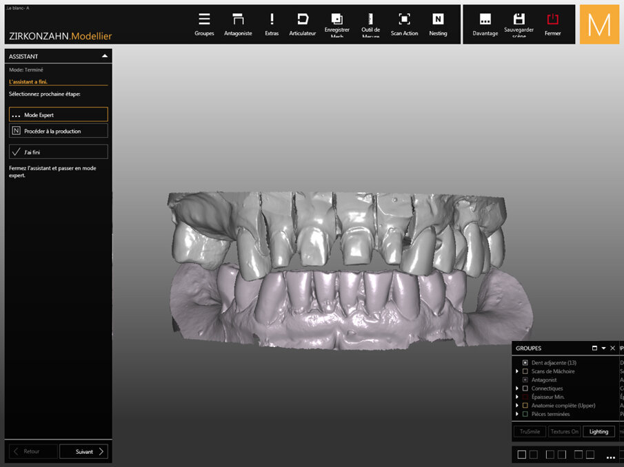
Captured three days earlier, Figures 3–5 show the nesting, using Zirkonzahn.Nesting software (Zirkonzahn), of a polychromatic zirconia disc (Prettau 4 Anterior Dispersive, Zirkonzahn). This material was used for these crowns in order to provide substantial longevity thanks to its resistance to bending and to provide obvious good aesthetics with its high translucency.
The choice of this material was fundamental in this indication, anterior restorations, when an alternative to lithium disilicate was sought. The reader will have to wait to go back in time to understand this alternative.
Fig. 3: Nesting of the zirconia crowns, upper view.
Fig. 4: Nesting of the zirconia crowns, lateral view.
Fig. 5: Milling bur path in the zirconia disc.
Fig. 6: Digital wax-up of the crowns.
Fig. 7: Digital models of the maxillary and mandibular arches.
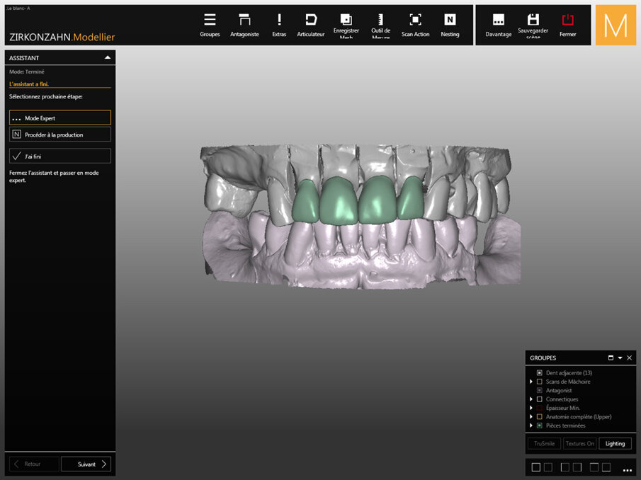
Captured four days earlier, Figure 6 shows the digital wax-up performed in Zirkonzahn.Modellier software (Zirkonzahn). For the dental technician, the main difficulty was rethinking the anatomy of the maxillary incisors while restoring the initial shape of the teeth. The overall shape of the other teeth gives an overview of the geometric typology of the teeth: round, square, triangular.
All forms are possible, but only one form is suitable for this clinical case. CAD/CAM software allows automatic guidance in obtaining a harmonious shape. Then the laboratory technician will take control and proceed individually to bring human touches to a computer system.
Captured five days earlier, Figure 7 shows the virtual model after the digital scan step (Zirkonzahn.Scan, Zirkonzahn). The software makes it possible to digitize physical models to import them into the software suite. The digital models are then mounted in occlusion on a virtual articulator. The preparation boundaries are drawn, and thanks to prior trimming, each prepared tooth can be individualised to move on to the next crown modelling step.
Taken a week earlier, Figures 8 and 9 show the dental preparation and the placement of the first gingival retraction cord. The form of preparation left sufficient margin for the technician to design the crowns. The gingival retraction cord was placed during the preparation phase to avoid injury of the cervical gingiva and to move it apically. It was thus possible to achieve juxta-gingival limits respecting the dental anatomy and periodontal health. It is interesting to note that the tooth shade is not homogeneous between the teeth and within the tooth itself. We will go back in time to understand this phenomenon.
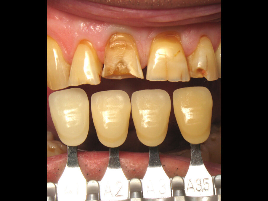
Taken 1 hour earlier, Figure 10 shows a real patchwork of tooth shades. There was translucency of the incisal edge, cervical saturation, cracks, missing restorations and a complex coronary fracture of tooth #11. All these elements caused the teeth to react by building reactionary dentine over time, and that was the source of the several shade differences.
Fig. 8: Tooth preparation and retraction cord placement.
Fig. 9: Close-up of the tooth preparation and retraction cord placement.
Fig. 10: Pre-op tooth shade.
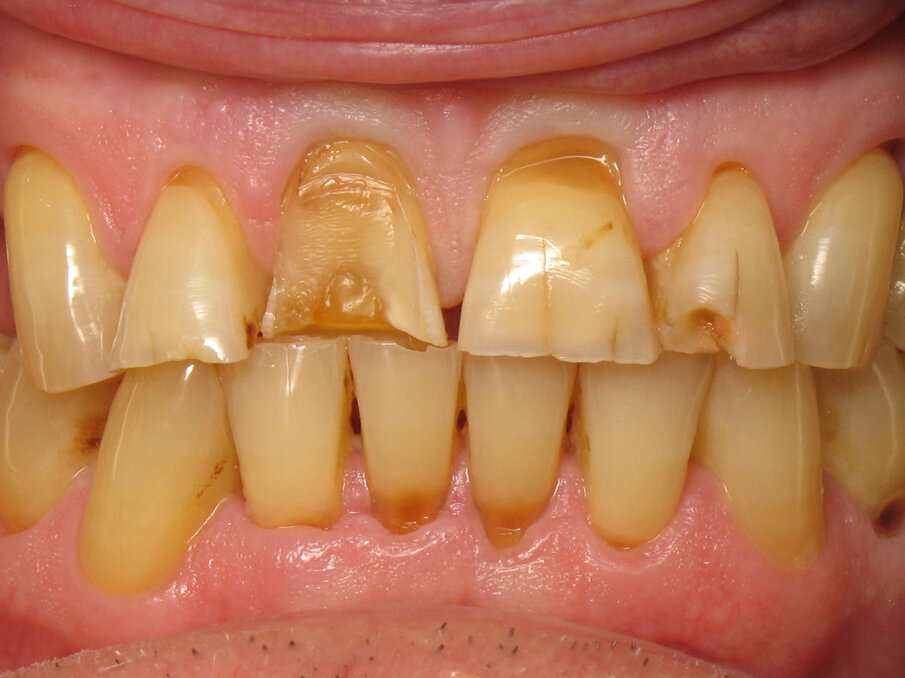
Fig. 11: Initial situation.
Fig. 12: Close-up of the initial situation.
Captured at the same time as Figure 10, Figures 11 and 12 show the initial situation of this patient, who came for a consultation to rehabilitate his maxillary incisors. The diagnosis revealed nocturnal bruxism as the origin of several areas of crown destruction: wear of the incisal edge, abfraction, missing restorations, cracks and a complex coronary fracture. It is easy to understand why the choice of material was zirconia. It is also easy to understand the motivations of this patient to recover his lost smile. This degradation over time is inevitable, but in this patient, it was particularly fast and aggressive. Reversing the course of time was therefore obvious in restoring the dental health of this patient.
Conclusion
One does not have to own a time machine or a time turnstile like in the blockbuster movie Tenet to reverse the effects of time. Dentists have access to technology sophisticated enough to correct the deleterious effects of time and allow patients to regain their former smiles.
“[...] modern dentistry has initiated a digital transition in which new tools and new techniques are emerging”
Far from science fiction, modern dentistry has initiated a digital transition in which new tools and new techniques are emerging. All our patients dream of regaining the smile of their 20s: healthy and beautiful teeth. With current digital tools, it is now possible to restore what was destroyed in the past and give a new future to the smiles of our patients. Digital dentistry therefore move with the times and does not create any damage, which could be summed up with this palindrome sentence: “Live on time; emit no evil”.
Disclosure
The author did not report any disclosures.
Acknowledgement
The author wishes to thank certified dental technician Christophe Pacaud and his team at ACL Dentaire laboratory in France for their skilful work.
Tags:
LONDON, England: The UK College of General Dentistry has released the third edition of Standards in Dentistry, a comprehensive and freely accessible online ...
AMSTERDAM, Netherlands: A focus on academic excellence has resulted in a science system that incentivises scientists to publish in high-impact journals, ...
Today’s retailers certainly will confirm that when the economy takes a turn for the worse, consumer focus shifts from luxury to necessity. Moreover, ...
BRUSSELS, Belgium: Europe is struggling with the effects of the SARS-CoV-2 pandemic and the war in Ukraine, and the bloc could not have picked a worse time ...
Because the long-term success of implant treatment depends on various factors, including oral hygiene, lifestyle habits and health conditions, it is vital ...
Vision 2030: Delivering Optimal Oral Health for All is central to FDI’s advocacy strategy. Since its launch in 2021, it has guided efforts to address ...
Procurement, waste generation and water management are three major categories where dental practices could potentially become more sustainable. This is in ...
ESCHBORN, Germany: Online education has seen an uptick in recent years and gained particular relevance in light of the ongoing global pandemic. Owing to its...
As global health leaders prepare for the 2025 UN high-level meeting on non-communicable diseases (NCDs), oral health is finally gaining the recognition it ...
NEW YORK, US/KUWAIT CITY, Kuwait: Research has demonstrated the link between Candida albicans and severe early childhood caries. However, although C. ...
Live webinar
Wed. 20 May 2026
1:00 pm EST (New York)
Prof. Dr. med. dent. Tim Joda PhD, MSc, eMBA
Live webinar
Thu. 21 May 2026
12:00 pm EST (New York)
Dr. Leonardo Muniz DDS, MSC
Live webinar
Fri. 22 May 2026
10:00 am EST (New York)
Dr. Paweł Aleksandrowicz PhD
Live webinar
Fri. 22 May 2026
11:00 am EST (New York)
Live webinar
Fri. 22 May 2026
12:00 pm EST (New York)
Prof. Dr. Ali Murat Kökat
Live webinar
Fri. 22 May 2026
1:00 pm EST (New York)
Live webinar
Fri. 22 May 2026
2:00 pm EST (New York)
To post a reply please login or register