3-D digital dentistry and the complete picture—We can’t treat what we can’t see. A widely used axiom in the dental imaging industry has served me well for years. Any treatment plan devised must be preceded by a proper diagnosis and 3-D imaging is the foundation for that diagnosis. The following examples I put forth will illustrate how important cone beam computed tomography (CBCT) is for the premier digital dental practice.
The knowledge one obtains from a CBCT data set is invaluable when constructing a proper treatment plan. My experience has been that very often a periapical X-ray does not reveal a complete picture of the patient’s anatomy, and many times vital information can go overlooked and result in an incorrect diagnosis. A fundamental component of my complete dental examination is to utilize the advanced technology of CBCT to enhance my diagnostic ability and become familiar with the complete picture. I will review clinical findings, periodontal charting and a full volume of CBCT data and use my clinical and professional judgment to evaluate and formulate a customised treatment approach to solve or correct the dental problems each patient presents. Unless the patient declines a complete examination or an emergency exists (which requires immediate attention), my experience is that it is optimal to first provide a thorough diagnosis.
I marry multiple digital dental technologies—Schick 33 X-rays, Canon 6D digital camera, GALILEOS CBCT 3-D imaging and CEREC CAD/CAM—to provide a global view of the disease process and understand the maxillofacial anatomy and dentition associated with each patient’s conditions.
embedImagecenter("Imagecenter_1_2435",2435, "large");
I have incorporated the concept of Co-Diagnosis, fostering a clinical environment where my patients become part of their own dental care. The patient is responsible for their problems and we are responsible for the diagnosis and removal of disease, replacement of missing teeth, and management of their new teeth or dentition. I obtain a quick, comprehensive scan of the entire oral and maxillofacial region which I will review to customise their diagnosis and virtual treatment plan during their initial visit. Although caries as a whole have decreased in some segments of the population, my patient population exhibit extensive dental and periodontal breakdown necessitating extensive rehabilitation to return them to oral and dental health. Many cases are exacerbated by years of dental neglect and will take the total commitment of both the patient and the dental practitioner in any effort to rehabilitate the decimated dentition. I want my patients to receive the best dental care possible and that is why I have invested in the best technology available to aid me in diagnosing and treatment planning while assisting me in providing safety and certainty during surgery.
Why I love cone beam technology
What sets my practice apart from my colleagues’ is my use of GALILEOS CBCT imaging (Sirona). My GALILEOS machine is, in conjunction with my clinical assessment, all that is necessary to evaluate and treatment plan any dentition or edentulous situation. I practice at a higher diagnostic level, which I use to return my patients to optimal dental health and improve the quality of their lives.
With this state-of-the-art 3-D imaging technology I can identify, reveal and propose a treatment plan and treat my patients efficiently and effectively. With these images I can see vital anatomical structures without distortions in real dimensions, which improves my diagnostic ability, surgical planning and patient communication. I will use the results of CBCT imaging to confirm or alter my prescribed treatment.
Digital dental technologies
I have utilised GALILEOS CBCT imaging on a daily basis since it arrived in my office in March 2009. A streamlined digital workflow gives me the ability to access my patients’ anatomy, identify vital structures, reveal unseen pathology, analyse bone volume and bone density and place realistic virtual implants and abutments. The result is that I provide the optimal treatment plan customised for each patient. Practicing with the benefit of GALILEOS CBCT technology, patients have come to understand their problems quickly thanks to the dynamic interaction that 3-D imaging and the GALAXIS software has afforded me. Do not underestimate this technology as it is an important communication tool which facilitates patient education, improves diagnosis and treatment planning and increases case acceptance.
This manuscript will illustrate the distinct advantages of 3-D imaging versus 2-D imaging. CBCT views allow me to interpret maxillofacial anatomy in a superior approach that is not possible with the 2-D periapical or panoramic radiographs. Pathologies are revealed in the three-dimension making a correct diagnosis possible.
Better clinical decisions are the result of having a complete set of data in real dimensions available to the practitioner. I would like to show you how I utilize 3-D imaging on my patients to diagnose and treat various conditions that existed. I am always more confident that my definitive diagnosis will be proper when I diagnose from a CBCT volume of data.
The examples presented will clearly display the powerful advantages that 3-D images give the clinician and in my opinion they cannot be underestimated when diagnosing oral and maxillofacial disease. Patients are better informed and better educated with CBCT imaging and a visual presentation with virtual implants in the patients’ own anatomy increases case acceptance. I rely on 3-D technology to plan and place safe, precise implants. With the benefit of CBCT imaging I have been able to expand the scope of services I provide and increased the geographic reach giving our patients access to the advanced technologies and producing optimal treatment outcomes.
I have become proficient in Guided Bone Regeneration, Computer Assisted Guided Implant Surgery and, along with CEREC CAD/CAM technology, gained complete control over the prosthetic replacement of missing teeth. Restoring implants have been a part of my practice since 2000 but I added the surgical phase of treatment in 2009 with the purchase of my GALILEOS in-office CBCT unit.
I do treatment planning and treatment differently since implementing the use of these technologies and this shift in approach has resulted in positive patient experiences. Patients benefited with correct diagnosis and treatment plans with safer, less invasive treatment experiences. I have grown to greatly appreciate the powerful tool that CBCT imaging is and its impact on my practice.
CBCT and the 3-D difference advance the multifactorial approach to treating the decimated dental patient. I have been fortunate to invest in my patients’ and my personal wellbeing as an early adopter of the use of 3-D imaging. Each member of our team brings a unique skill set and we provide a level of care unmatched in the traditional dental practice.
When constructing a treatment plan it is imperative to interview the patient to verify their desires as opposed to their needs. I will educate while obtaining informed consent and thoroughly assess all risk factors that could impact the treatment outcome. Psychological evaluation for unrealistic expectations and the ability to comprehend their existing condition and what is necessary to improve their dentition can impact whether or not to treat the patient. The imaging and interview will help me decide whether or not I accept the case for treatment. I make each patient my first priority and spend as much time as necessary to explain findings, present options and answer any questions.
The following cases are examples that clearly illustrate the 3-D difference and how this technology can benefit all dental practices. What is significant is that prior to obtaining an in office GALILEOS CBCT scanner I did not have the confidence to provide these services in my office and had to refer these cases to specialists.
Case 1—The reluctant patient
This case is an example of a case that I would have been foolish to treat without the benefit of 3-D imaging and would have placed an unnecessary risk of injury to the patient due to the anatomical limitations present and the desires of this patient. A 52-year-old male patient, presented to my office for an implant consultation on 5 November 2013. He was in good health and his medical history revealed he has controlled hypertension. There were no contraindications for dental treatment.
Patient made it clear that he would like to replace multiple missing teeth in a fixed manner only but he is very anxious about having dental surgery to replace these four missing lower right quadrant teeth. His last dental treatment was for the removal of tooth #27 (over six months before) and concomitant bone graft to preserve alveolar ridge and prepare for its replacement. In addition he was reluctant to be ‘knocked out’ to facilitate any surgery and declined additional bone grafting procedures.
We began by completing the conventional clinical and radiographic examination. Clinically his ridge appeared narrow in the area of tooth #28 and #29, but crestal tissue was keratinised (Figs. 1–3). The patient travelled well over an hour to visit our office and he was aware that we are a proponent of performing flapless guided implant surgery when possible. I explained the benefits and risks associated with this type of implant surgery. The advantages include fast, safe, accurate implant placement with a minimally complicated post-op healing period. Digital 2-D periapical X-rays taken were limited in their diagnostic value. There was no way to be certain as to the exact location of the inferior alveolar nerve or the lingual concavity in the molar area. With that in mind we discussed, and he agreed to accept a CBCT scan to fully evaluate his current condition and determine if enough bone volume existed to perform a guided implant surgery.
This is where my in office CBCT unit becomes invaluable as the information cannot be obtained by any other in office radiographic modality. A medical CT could be requested which exposes the patient to a much larger dose of radiation and could only be taken at a different imaging center. Obviously I could not treat the patient if the existing bone anatomy was deficient and could not accept a properly positioned root form dental implant in solid bone. He was thinking that he could replace four teeth with two implants and a bridge. But that was not appropriate due to the large mesial distal edentulous span of missing teeth. The crest in the area of tooth #29 and #30 exhibited height and labial bone loss. Due to his occlusion, number of missing teeth and the position in the lower right dental arch, I felt it would be necessary to place a minimum of three fixtures to retain a 4-unit fixed bridge.
Capturing 3-D anatomy
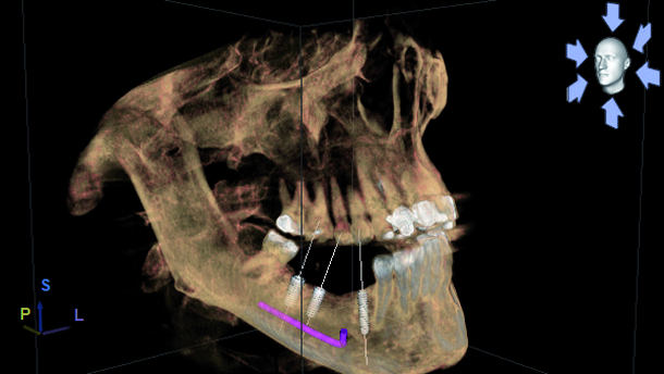
Sirona’s GALILEOS scan travels around the patients’ head in a single revolution that takes 14 seconds to complete the capture of the maxillofacial anatomy and a full volume of data is reconstructed and becomes available to assess within minutes. My patient and I reviewed the 3-D images together on a large computer monitor in my conference room. I was able to place three virtual implants into the residual bone avoiding the IAN, mental foramen and lingual concavity. Patient could clearly visualise this procedure being performed in his jaw. In this case the bone appeared adequate to receive three endosseous implants that could be restored with a 4-unit fixed bridge (Figs. 4–7). So to recap, this patient was reluctant to be treated with conventional flapped implant surgery and declined additional bone grafting to improve any bone volume, but was a candidate for flapless or minimally flapped guided implant surgery which gave him the confidence to accept treatment based upon our initial consultation and treatment plan which was developed during this visit. This first step is essential to gain the patient’s trust and gain acceptance to the treatment plan at his initial visit as he would not return to us if he wasn’t convinced that I could perform his treatment as I described and under local anesthesia and without further bone grafting.
In preparation for guided implant surgery it is necessary to fabricate a computer generated surgical guide based upon the restoratively driven prosthetic design that is developed to return the patients dentition to form and function. I am able to create a plan based on the available bone and the future positions of the prosthetics. Study models were obtained and duplicated so that the laboratory could create a wax up of the four missing teeth in their correct occlusion. I duplicated the wax up and made a .060 omnivac suck down which represented the crowns in their proposed positions. Within this omnivac I inserted radiopaque acrylic in the area of teeth #28–31 and attached a SICAT proprietary biteplate with acrylic, which became the radiographic scan appliance worn while the CBCT scan was taken. It is necessary to scan the patient with a Sirona proprietary biteplate secured over the patients’ dentition so that SICAT can merge the data sets from the 3-D imaging and the patients dentition. I can then place the virtual implants in their best positions relative to the proposed crowns and bone volume present.
Following the scan, a definitive implant plan is created that will mimic the actual dimensions of the Nobel Active implants to be placed at the time of surgery. Sirona provides its clients with a vast library from which to choose whatever implant manufacturer you prefer to work with. This ensures that my plan will be executed properly with the osteotomies performed to my specifications at the surgical visit. Submillimeter accuracy from plan to actual is a clear benefit derived from enhanced imaging and advance treatment planning. I sent the CBCT data and a cast of the patient’s dentition that SICAT optically scans and integrates with the implant plan that I created and used to mill out and fabricate the surgical guide. It takes two weeks to receive an accurately fitting Classic SICAT surgical guide back in my office which would be used during patient’s guided implant surgery.
The Sirona system is the only complete system that doesn’t require a third party software or manufacturer to create their surgical guides. Figures 8–10 show the virtual implants placed into the area of tooth #28, 30 and 31. Please note the measurement taken buccal-lingually at the #28 site and the anatomical limitations dictated by the lingual concavities present at the #30 and #31 sites. Some compromises were necessary to ensure safe, predictable and long lasting success of our implants. They were dictated by the anatomical bone limitations present and the patients’ refusal for any additional bone grafting.
Implant Surgery
The surgical visit was scheduled and I placed the patient on Amoxicillin 500 mg to be taken two days prior to his implant surgery and continued until the prescription was completed. Patient presented on 9 January 2014 and was anxious but ready to proceed with his implant placement. An inferior alveolar block with local anaesthesia was given and was effective to produce profound anaesthesia during our treatment. Osteotomy preparations were completed in a timely manner and three Nobel Active (Nobel Biocare) implants were installed as planned.
The #31 site was completed with a flapless approach but I wanted to examine the #28 site to be certain that my preparation was indeed perfectly accomplished. The #30 site required a flap to move the keratinised tissue from the lingual to the buccal. So the #28 and 30 implants required mini flaps and were second staged, which later required uncovering to access the platform during the impression procedure. The surgery went well and the patient tolerated the 1 hour visit without incidence. He commented post-operatively that he experienced no pain and did not realise how uncomplicated this treatment could be. He was able to resume all normal activities immediately without any restrictions. My years of experience have given me the necessary skills to manage these patients and their surgeries in a quick, minimally traumatic approach resulting in less post-operative problems and faster healing times versus conventional wide flap implant surgeries. Note how the plan and the actual match up well in my periapical X-rays (Fig. 11).
We allowed the necessary time for these implants to integrate uneventfully and he presented for a fixture level impression which began the restorative phase of treatment (Fig. 12). In addition I placed provisional abutments and fabricated an in office 4-unit provisional bridge out of Luxatemp bisacrylic (DMG) and dismissed the patient with a very light occlusion and instructions to slowly introduce varying food densities which would begin placing strain on his implants. Dental laboratory fabricated custom abutments and a metal framework which was tried in and accepted for use as the definitive fixed bridge. A well-fitting and lightly occluding natural looking fixed bridge was inserted on 13 May 2014. This phase of treatment concluded with a very happy patient whose dentition was made whole by a very positive implant experience (Figs. 13 & 14).
One may question, is a surgical guide necessary? In my practice it is the standard. For the well experienced specialist maybe not, but for the general practitioner or less experienced specialist absolutely yes. It ensures predictability, safety, and decreases the possibility of injury to our patient.
Success was achieved on so many levels. First, we managed the patient’s anxieties with a positive implant experience and without any post-operative complication and no untoward reaction. Secondly, my patient was returned to a full complement of teeth that should be long lasting. Third, the 4-unit restoration blended in with his remaining natural dentition and his occlusion was controlled by reducing buccal lingual dimensions and creating light centric stops with no lateral excursion prematurity. Fourth, resultant keratinised tissue was present, without post op bleeding, swelling or pain. Finally, this happy grateful patient was made whole as the treatment went as effortlessly as planned.
The next three cases can be grouped together as they all have a commonality to them. Each patient presented with mild discomfort and two of the three were seen by other dentists, who either refused treatment or never diagnosed a problem. All three were handled similarly in my office. The conventional documentation and diagnostic evaluations were made and in order to gain a more complete picture of their condition, it was recommended and they agreed to have the enhanced imaging of a CBCT scan.
Case 2—The maxillary central incisor, what are you waiting for?
In this case, diagnosing and treatment planning began in 2009, but this patient was also visiting a periodontist who maintained her dentition with prophylaxis visits. He did not want to intervene and intercept teeth that had experienced periodontal bone loss whose prognosis were increasingly worsening. I broached the subject of removing a periodontal weakened maxillary central incisor; fortunately, the patient agreed to an enhanced CBCT scan, which we obtained on 14 June 2010.
Tooth #9 had a long dental history including periodontal surgery, a poor crown-to-root ratio, extrusion and increasing mobility (Figs. 15 & 16). Periapical X-rays clearly showed the horizontal component of the bone loss associated with this tooth but not the extent of bone loss in other dimensions. I felt that increasing bone loss would also jeopardize the adjacent teeth if left untreated. With the CBCT enhanced imaging evaluation, it became clear to us that the labial plate was very thin (Fig.17).
The treatment plan was devised based upon this diagnostic information, and a fixed solution was proposed for the post extraction site of tooth #9. Going into this treatment, we knew before any implant could be placed that an extraction and bone graft would be necessary. It would be impossible if no bone grafting was performed.
Treatment was completed on 27 July 2010 when I gently removed tooth #9 and bone grafted its socket and buccal wall and crest, utilising an Infuse bone graft from Medtronic. Infuse is a rhBMP2 or bone morphogenic protein which was tolerated well and without complications by this patient (Figs. 18–21). A removable acrylic tooth replacement was fabricated and inserted immediately after suturing. Healing was uneventful and on 21 December 2010 a new 3-D scan was taken with a radiopaque scan appliance in position, which was used to evaluate the result of the Infuse bone graft and plan for the virtual implant position and fabrication of a surgical guide (Figs. 22 & 23).
A 2012 AAOMR position paper recommended that 3-D imaging be used for all dental implant planning. Bone regenerated adequately to receive a 3.5 x 13 mm Nobel Active implant in a specifically proposed site, which would avoid the incisive canal and ensure that this implant was properly positioned in three dimensions, thereby extending the longevity of any resultant tooth replacement.
Flapless guided implantology
Flapless guided implant surgery was completed on 25 January 2011 via a SICAT surgical guide. Flapless surgery reduces the inflammatory sequelae that follow when conventional flap surgery is performed. Patient’s post op was uneventful, no swelling no pain. She continued wearing the removable provisional until the implant was fully integrated. Initial torque was 35 ncm and stability was achieved in the regenerated bone. Three months was allowed to pass for complete integration.
A custom Atlantis abutment was digitally produced and restored with a crown that was cemented on 26 April 2011 with premier’s implant cement. The entire process went smoothly without any complications and the result was an aesthetic and functional restoration that satisfied all of the patient’s desires. You can see how well the actual placement followed the virtual plan in a post-operative scan (Figs. 24 & 25). This case is illustrative of how important the 3-D difference is when treatment planning in the aesthetic zone and becoming fully aware of the anatomy you are dealing with, prior to ever surgerising the patient, which led to a successful treatment outcome. It is a good example of how a challenging case becomes routine and manageable (Figs. 26–30).
Case 3—3-D imaging reveals hopeless teeth
The next two cases have become commonplace in my office. A patient will present with a chief complaint of discomfort requiring a focused exam and periapical X-ray. The 2-D X-ray is limited in defining the extent of the periapical or periodontal lesion as compared to a 3-D image. I will present to you the periapical, and 3-D images, which will chronicle the before and after treatment rendered to remove the extensive diseased tissue and replace any extracted teeth.
A patient came to my office after being under the care of another dentist who provided routine hygiene visits over the past 12 years. She had a chief complaint of discomfort upon chewing in her lower right jaw, which had been bothering her for a number of months. Her previous dentist did not find any problem and continued with her routine hygiene visits. I examined her and located a food trap between teeth #30 and #31. Schick 33 digital periapical image did reveal distal decay in tooth #30 (Fig.31). Both #30 and 31 were treated endodontically over 15 years ago and the periapical region appeared unremarkable.
During the periodontal exam, I discovered a 6 mm pocket distal to #31, which I treated with localised antibiotics. I restored the distal of tooth #30 and dismissed the patient. The real problem, however, was tooth #31; she returned after a week with little relief, which prompted me to recommend an enhanced radiographic CBCT. She agreed and I obtained the CBCT scan, which we reviewed together. I was surprised to discover a huge periodontal lesion that encapsulated nearly the entire circumference of tooth #31 (Figs. 32 & 33). The indistinct periapical was replaced by the remarkable 3-D image and there was nothing ambiguous about the origin of her discomfort and the extent of the lesion associated with tooth #31.
My recommendation was to extract and bone graft this area in preparation for an eventual implant if so desired. After seeking a second opinion at a periodontists’ office, she returned to my office for the necessary treatment. The hopeless tooth was sectioned and removed along with the extensive lesion—most of which was attached to the distal root as seen in the photograph doc umenting the extraction and bone graft (Figs. 34–36).
Time was allowed for healing and a follow-up CBCT scan was taken to evaluate and treatment plan for the replacement of her only missing tooth. Additionally, I obtained an optical CEREC impression to integrate with the CBCT imaging and restoratively plan the implant placement for this case. The data sets were merged and a restoratively driven implant was planned in preparation for the production of an optiguide surgical guide. This type of guide is completely digitally fabricated and was returned by Sirona’s SICAT production facility within six days. The bone graft used in this case is RTI biologics Puros mineralised allograft Cortico-Cancellous mixture covered by a resorbable collagen membrane, which resulted in regenerating a great volume of bone.
You can clearly see the newly regenerated bone that was to receive the root form implant necessary to retain a screw-retained crown and return this patient to a full complement of teeth. This case required a flap approach, and the implant placed via the surgical guide without incidence, which I followed until it was fully integrated and ready to restore. It was necessary to alleviate this patient’s anxiety after placement to obtain a follow-up scan, which one can see how well the actual placement matched the virtual one (Fig. 37).
The final restoration was torque in at 35 ncm on 9 February 2015. I expect this implant to have a long favorable life expectancy serving her well for many years to come (Figs. 38–40). The occlusion is handled like always by narrowing the occlusal dimensions and programme in a single centric stop without over characterising the occlusal anatomy. Dr. Carl Misch calls this occlusal scheme, implant protected occlusion.
Case 4—Extract, bone graft, and implant to replace the hopeless molar
The last case took a similar course of action as the previous one. A patient complained months earlier of discomfort in his upper right quadrant, which subsided for about nine months after treatment of a 6 mm pocket with Arestin, a localized antibiotic. He returned on 12 December 2014 for reevaluation, where a periapical X-ray and periodontal probing of greater than 10 mm inter-radicularly was apparent (Fig. 41). This tooth had been previously treated with an endodontic therapy but now appeared to be failing.
An enhanced radiographic CBCT scan was taken which revealed a huge infrabony lesion extending from the buccal plate through to the palatal wall (Figs. 42 & 43). The diagnosis was given of a hopeless tooth necessitating extraction and alveolar ridge regeneration in preparation for its future replacement. The tooth was sectioned and removed in three pieces and the socket and alveolar ridge was bone grafted immediately post extraction. Healing was uneventful and the patient’s symptoms were resolved.
The follow up CBCT scan was obtained to prepare for a guided surgery, and as in the previous case I integrated a CEREC Omnicam optical impression with my GALILEOS data and planned for the placement of a Nobel Active 5 x 10 mm fixture. You can note how well the bone regenerated which made the placement of an implant possible. The use of an optical scan precludes the need for a stone cast and increases the accuracy by overlaying the dentition closely with the radiographic images when planning the restoratively driven implant. In this case, it was necessary to plan the placement to avoid entering the maxillary sinus. The SICAT surgical guide was ordered and returned to my office well in advance of the scheduled surgery (Fig. 44).
The implant osteotomy was completed via a surgical guide and the implant torqued in at 30 ncm and was monitored for integration. I placed a contoured healing abutment to control soft tissue contours for a proper emergence profile. I utilised Nobel’s new 5.5 x 10 mm implant in this case as the regenerated ridge was wide enough to accommodate this size fixture (Fig.45). The patient required no post-op pain medications and returned to normal immediately after the effects of the local anesthetic abated. The procedure was finished within 20 minutes, progressing at a comfortable pace that resulted in the uneventful post-op experience for this patient (Figs. 46 & 47). Flapless guided implant surgery provides numerous advantages, including preservation of circulation,decreased surgical time, improved patient comfort and accelerated healing.
CEREC Omnicam restoration
Appropriate time for complete integration passed and a prefabricated Nobel Biocare aesthetic abutment was torqued in, which I modified to allow for supra-gingival cement margins (Fig. 48). Optical impressions were quick and accurate with my CEREC Omnicam machine. The adjacent premolar tooth was also crowned at the same time. The definitive e.max CAD/CAM restorations were designed, milled and cemented with Ivoclar’s multilink resin cement. Post-operative photographs exemplify a superior result with metal free, all ceramic, strong, and natural appearing crowns (Fig. 49). The CEREC-GALILEON integration digital workflow was essential to my providing a safe, accurately positioned dental implant (Fig. 50). This process leads to a restoration that returns the patient to proper form and function with a perfectly occluding, morphologically correct crown.
We owe much of the current advancements to the dental manufacturers for their development of innovative technology and amazing software that integrate radiography with our patients’ maxillofacial anatomy and facilitate computer assisted and digital dentistry to a point where it should be considered by every dental practitioner. Digital dentistry has given me a way to produce high quality, all ceramic natural looking and well fitting crowns in a single visit. Restoratively driven implant dentistry is the way to develop successful and optimal treatment for our implant patients. Placing the implant becomes less challenging and less stressful for both the patient and the dentist and with the use of our surgical guide more precise. This will result in turning anxious dental phobics into positive advocates for the dental industry.
Conclusion
Investing in the technologies that make 3-D digital dentistry possible has transformed my practice. Since 2009 I have seen and treated patients, from near and far, who would have otherwise never ventured into my practice. I do diagnosis, treatment planning and treatment differently. It always begins with gaining the exceptional diagnostic information only possible via CBCT. The CBCT 3-D images are striking: the extensive nature of the bony lesions presented are not adequately revealed in the 2-D periapical views and only become apparent with the use of such advanced radiography. Focus on designing your cases with enhanced diagnostic and treatment planning before implementing the plan. Following such a blueprint for success directly results in positive patient experiences along with happier, more appreciative patients. In short, practicing with the 3-D difference is like playing chess while the competition is playing checkers.
Editorial note: A complete list of references is available from the publisher. This article was published in CAD/CAM international magazine of digital dentistry No. 01/2016.
This article will deliberate advanced implant dentistry using the 3-D difference to diagnose and treatment plan the failing maxillary arch in the third ...
The use of three-dimensional (3-D) CBCT imaging has evolved quickly as the worldwide method of choice to aid in the diagnosis and treatment planning for ...
According to a recent study, aligner force depends on the type of material and the direction of movement, and multilayer materials are superior to ...
Until very recently, my patients would have considered undergoing complete treatment including a ceramic crown or a bridge in one visit science fiction. The...
CZĘSTOCHOWA, Poland: Pixel Clinic is a modern dental clinic in Poland with a strong focus on aesthetics and digital workflows. At the clinic, the most ...
PHILADELPHIA, US: New developments in small-scale robotics and nanotechnology offer previously unimagined opportunities for new diagnostic and therapeutic ...
SEOUL, South Korea/BIRMINGHAM, Ala., U.S.: Root canal treatments currently rely on clotted blood to fill the empty tooth canal. In order to find a more ...
CRAWLEY, Australia: Alveolar bone loss is a common problem for patients seeking dental implant placement. A barrier between the bone substitute and gingiva ...
Endodontics is a field of dentistry that requires precision and accuracy at their highest levels. The same preconditions apply to the image quality needed ...
You might think that in fi nancially challenging times the last thing you need is a new member of staff. For a practice to thrive and prosper in a difficult...
Live webinar
Wed. 20 May 2026
7:00 am EST (New York)
Dr. Graham Carmichael BDSc (Hons), DClinDent (Pros), FRACDS, Dr. Robert Gottlander DDS
Live webinar
Wed. 20 May 2026
9:00 am EST (New York)
Live webinar
Wed. 20 May 2026
11:00 am EST (New York)
Live webinar
Wed. 20 May 2026
1:00 pm EST (New York)
Prof. Dr. med. dent. Tim Joda PhD, MSc, eMBA
Live webinar
Thu. 21 May 2026
12:00 pm EST (New York)
Dr. Leonardo Muniz DDS, MSC
Live webinar
Fri. 22 May 2026
10:00 am EST (New York)
Dr. Paweł Aleksandrowicz PhD
Live webinar
Fri. 22 May 2026
11:00 am EST (New York)
To post a reply please login or register