The use of three-dimensional (3-D) CBCT imaging has evolved quickly as the worldwide method of choice to aid in the diagnosis and treatment planning for dental implants, bone grafting, and a variety of other treatment modalities.
As each patient presents with their own unique anatomical reality, it is the power of the interactive treatment planning software that helps to convert the CBCT data set onto the computer screen for interpretation and analysis. However, having a CBCT scan by itself may not provide the clinician with the most definitive appreciation of the patient’s anatomy as it relates to the proposed treatment. Often, to improve diagnostic accuracy, it is helpful to establish a relationship between the underlying bone and desired restorative outcome with a scannographic, or radiopaque template worn by thepatient during the scan acquisition. After duplication of a diagnostic wax-up, or duplication of a patient’s denture with a radiopaque material (BariOpaque, Salvin Dental Specialties), the template prosthesis seated intraorally, and the scan acquired.
The radiopaque template as seen in the cross-sectional slice, reveals several important aspects of the patient’s anatomy (Fig. 1):
- the template seen in relationship to the underlying edentate alveolar maxillary ridge (red arrow)
- the flange of the denture template defines the superior extent of the labial vestibule (yellow arrow)
- the grey area surrounding the template and bone representing the soft tissue components
- and the anatomy of the nasal cavity above the alveolus
- For an edentulous or partially edentate patient presentation, the application of a radiopaque scanning template is an invaluable part of the diagnostic phase.
embedImagecenter("Imagecenter_1_1713",1713, "large");
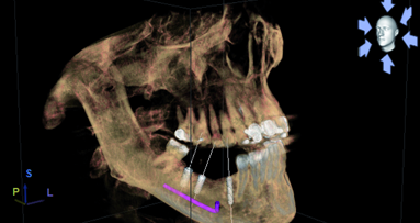
When teeth are to be extracted and implants placed, it is difficult to fabricate a radiopaque scanning template unless the teeth have been prepared to accept an acrylic transitional restoration. The appearance of the cross-sectional slice of a maxillary anterior incisor tooth can be seen in Fig. 2. The position of the tooth appears to be facial to the alveolus, which the author has termed as the ‘reality of anatomy’. The apex of the root gives the impression that it dehiscences through the facial cortical plate of bone (red arrow). The facial aspect of the root appears to be approximately 4mm above the alveolar crestal bone (pink arrow). The patient’s lip rests against the facial aspect of the alveolus and the tooth (yellow arrows). A maxillary canine tooth on another patient presents a similar pattern in the cross-sectional slice (Fig. 3). The tooth root does not reside within the greatest volume of bone, at a different trajectory from the alveolus. This can lead to complications if an implant osteotomy is prepared within the actual tooth socket, potentially perforating through the thin facial cortical plate (pink arrows). Again, the lip rests against the alveolar-tooth-root complex, limiting the appreciation of the thickness of the soft tissue, and aiding to define the facial cortical housing (yellow arrows). In either cross-sectional example (Figs. 2 & 3), the extent of the labial vestibule cannot be determined.
The use of interactive treatment planning software adds advanced software tools to help remove scatter, improve the diagnostic capabilities, while creating three dimensional reconstructed volumes that can be seen in all planes of view. The ability to navigate and ‘slice through’ 3-D volumes, known as ‘clipping’, provides unprecedented visualisation of the maxillo- mandibular structures. A maxillary 3-D volume ‘clipped’ through the right canine (marked in red) is seen in Figs. 4a and b. The 3-D reconstructed volume helps to further define the maxillary alveolar anatomy, tooth, and root position within the bone. An advanced software feature allows for manipulation of the grayscale density of the scan data (thresholding). This tool known as ‘segmentation’ can be used to reduce scatter from metal artifacts, such as crowns or fillings, and to separate one object from another. Through software segmentation, the maxillary right canine can be virtually extracted from the alveolus, illustrating the socket anatomy, the thin facial cortical plate (yellow arrows), and the palatal bone thickness (green arrow) (Fig. 5). The software allows the images to be enlarged for closer inspection (Fig. 6). Note the areas of good density and where the density is poor within the alveolus, superior to the root socket.
The capability to virtually remove a tooth and root from the bone can aid clinicians in making educated decisions regarding immediate extraction-to-implant placement, immediate-to-transitional restoration, and an appreciation of the potential ‘gap distance’, which may be present after implant placement. A simulated implant of the appropriate diameter and length can be positioned within the virtual socket to gain initial stabilisation as related to the desired restorative outcome (Fig. 7). The thin facial cortical bone can be clearly seen (yellow arrow), as can the thicker palatal bone (green arrow). The facial ‘gap’ between the implant and the facial cortical plate can be fully appreciated, and decisions made whether or not to fill the gap with bone (red arrows).
The diagnostic information from CBCT data can be significantly improved by taking one simple step prior to the scan, regardless of the software application, and without regard to advanced software tools. For almost two decades, the author has advocated the use of a ‘lip-lift’ technique: moving the lip away from the teeth with the use of a simple cotton roll (Fig. 8). Placing a cotton roll under the lip as demonstrated in the cross-sectional slice, brings the lip (yellow arrows) far enough away from the tooth, root and alveolus to fully appreciate the region of interest. The vestibule can be defined (red arrow), and the thickness of the soft tissue attached to the alveolus superior to the tooth root. The soft tissue biotype can also be seen as thick or thin (pink arrow), as well as the facial cortical bone. The enhanced diagnostic appreciation of the tooth-root-alveolar complex can help prevent complications when implants are placed parallel to the tooth socket (Fig. 9a). If the implant were to be placed as per the simulation in Fig. 9a, with an abutment trajectory projecting through the clinical crown (green) the implant would perforate into the incisal canal. If the desired restoration was to be a screw-retained crown, the screw-access hole would need to project through the lingual/palatal aspect of the crown, dictating a different trajectory for the implant (Fig. 9b). At minimum, the resulting implant position would require bone grafting to cover the exposed threads. Therefore, the trajectory of the tooth in relationship to the alveolar housing could not be confirmed without cross-sectional imaging, avoiding potential iatrogenic damage, or complications from a malpositioned implant.
Another clinical case that utilised the ‘lip-lift’ clearly illustrates the advantages of placing a cotton roll in the labial vestibule (Fig. 10a). The lip is positioned away from an area where a tooth had been lost (yellow arrows). A simulated implant is placed within the remaining alveolar bone with an abutment projecting (orange) through a radiopaque marker, which helped to define the desired tooth position (yellow outline). The facial thickness of the soft tissue can be appreciated and measured (pink arrow), as the shape of the remaining alveolus curved superiorly to the floor of the nose (red arrow). The incisal canal can also be seen (green arrow). Using only the outline of the simulated implant (green) and virtual tooth (yellow outline), inspection of the potential implant receptor site, thickness of the soft tissue (pink arrow) and adjacent vital structures can be greatly enhanced (Fig. 10b). The apical portion of the implant can be seen in close proximity to the incisal canal (green arrow). Ideally, in order to support the soft tissue emergence profile, a bone graft should be considered. However, it should be noted that without the actual abutment trajectory, the position of the implant may not provide the best aesthetic or functional outcome. The use of the ‘lip-lift’ technique in coordination with the interactive treatment planning software helps to define the volume of bone required to fill the defect to achieve optimal results (yellow outline) (Fig. 11). Measurements can be determined, and a decision can be made to obtain the projected volume of bone from an autologous source, bone bank allograft, processed xenograft, or synthetic material. In addition, understanding the shape and extent of the labial vestibule can aid in planning the flap design, and tissue release to obtain tension-free closure after graft/membrane placement.
Conclusion
The application of three-dimensional imaging has been greatly enhanced through the continued evolution and adoption of lower dosage CBCT devices. The image resolution and image quality have benefitted from improvements in sensors, graphics processors, increased computing power, and software applications. CBCT has become an essential tool for pre-operative assessment of potential dental implant receptor sites, bone grafting procedures, and other oral surgery applications. The diagnostic power of the imaging modality has been greatly augmented by newer and upgraded tools included in interactive treatment planning software applications.
The important tools include (but are not limited to):
- availability of realistic virtual implants
- library of abutment components
- advanced software segmentation/thresholding
- clipping functionality
- 'selective transparency’ as defined by the author
- and calculation of bone graft volumes.
Despite all of these improvements, diagnostic accuracy can also be greatly enhanced if certain steps are taken prior to the CBCT scan. The use of a radiopaque scanning template helps to provide a concrete relationship between the desired tooth position and the underlying bone, allowing for true restoratively driven planning. Through specific case examples, this article demonstrated important concepts of using interactive treatment planning that can increase diagnostic acuity. When it is important to understand the soft tissue biotype, soft tissue thickness, emergence profile, facial or buccal plate thickness, enhanced implant and/or abutment planning, and extent of the labial vestibule, a cotton roll placed within the vestibule prior to the scan acquisition can provide a simple and effective solution.
Editorial note: This article was published in cone beam – international magazine of cone beam dentistry No. 01/2015.
MALMÖ, Sweden: New research conducted at Malmö University has found that radiation exposure from dental imaging can be reduced for paediatric patients ...
3-D digital dentistry and the complete picture—We can’t treat what we can’t see. A widely used axiom in the dental imaging industry has ...
Diagnostics is the ultimate key to success for any treatment, and it can be particularly challenging in clinical situations that require a great deal of ...
As an award-winning dental hygienist and experienced Guided Biofilm Therapy (GBT) clinician, Faye Donald’s passion lies in educating, motivating and ...
Glass hybrid restoratives offer a unique combination of advantages in dentistry. They are biocompatible and require neither the application of bonding ...
Dr. José Carlos Martins da Rosa has a Master of Science in Prosthodontics and a PhD in implantology, and specializes in periodontics and prosthodontics. He...
Head and neck cancer may have drastic, long-lasting consequences, and dental professionals can play a crucial role in the patient’s treatment plan. Dental...
PEMBROKE, Ontario, Canada: Dental hygienist Patricia Blundon is the developer of a mirror that clips on to a saliva ejector to aid dental hygienists, ...
Implant placement in the atrophic posterior maxilla is a challenge. Bone augmentation (sinus floor elevation) is very often indicated. [1] When the ...
BUENOS AIRES, Argentina: As a global leader in digital imaging, Planmeca provides a range of solutions designed to suit all imaging needs. All of the ...
Live webinar
Sun. 3 May 2026
12:00 pm EST (New York)
Dr. Rickard Brånemark MSc, MD, PhD, Dr. Robert Gottlander DDS
Live webinar
Sun. 3 May 2026
8:00 pm EST (New York)
Live webinar
Tue. 5 May 2026
10:00 am EST (New York)
Live webinar
Tue. 5 May 2026
12:00 pm EST (New York)
Live webinar
Tue. 5 May 2026
1:00 pm EST (New York)
Dr. Maximilian Dobbertin M.Sc
Live webinar
Tue. 5 May 2026
3:00 pm EST (New York)
Live webinar
Wed. 6 May 2026
1:00 pm EST (New York)
To post a reply please login or register