Using a fully digital workflow in a dental practice to create an occlusal splint is a highly efficient and cost-effective method for delivering a high-quality splint quickly. (Image: nito/Shutterstock)
In traditional practice, occlusal splint fabrication was generally delegated to the dental laboratory. Common fabrication methods are printing and milling. Milled splints are produced from a solid puck or block of material via a subtractive process, whereas 3D printing uses an additive process to build the splint.
Milling can provide a durable, optically clear appliance, but milled splints cost more for the material and require the use of an expensive mill and milling tools. Utilising 3D-scanning and -printing techniques, this same appliance can easily and predictably be fabricated in-house using Dental LT Clear Resin (V2; Formlabs) and a and an SLA 3D printer (Form 3B/+) at a significant cost-savings without compromising on the quality of the appliance. Addition of this technology in the dental clinic not only allows a faster turnaround for the appliance, but allows for reduced cost for the appliance, reduced chair time for delivery and quick fabrication of a secondary appliance in cases of loss, without significant additional cost. The ability to print this type of appliance quickly and predictably can be a substantial benefit by providing quick relief to patients suffering pain from occlusal problems.
Case presentation and diagnosis
A 17-year-old male patient presented to the dental clinic after his parents were told by his paediatric dentist that his teeth were shorter than is normal. Review of his medical history showed no current medications and only seasonal allergies. His dental history included orthodontic treatment that was completed at age 15 and annual dental cleanings. His last dental examination had been approximately 12 months prior.
Fig. 1: Extra-oral photograph.
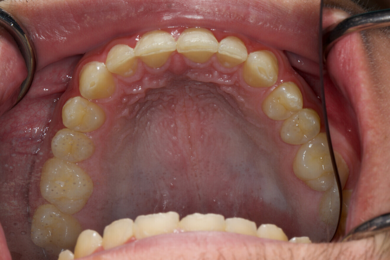
During the clinical examination, it was detected that oral hygiene was poor and patient motivation for brushing and flossing was low (Figs. 1–4). Interproximal caries was noted on teeth #21 and 22. Evaluation of the dentition showed a parafunctional wear pattern of moderate anterior wear on the maxilla and mild wear on the mandible. The maxillary anterior teeth were estimated to have lost approximately 1.5–2.0 mm of tooth structure and the posterior premolars and mandibular anterior teeth to have lost approximately 1.0 mm. The patient reported that he sometimes wore his traditional Hawley retainers, but could not recall the last time he had worn them. He did not report any current jaw discomfort, awareness of tooth grinding or a visual change in the length of his teeth. On examination, the muscles of mastication and maximum jaw opening were all within normal limits, and there was no joint sound or deviations of the mandible upon opening. The patient did not report any sleep sounds or disturbances with sleep, and airway evaluation was within normal limits. When the patient and his parents were informed of the parafunctional wear, they were alarmed, as they stated that this finding had never been mentioned by any other dentists.
Fig. 2: Intra-oral photograph showcasing the extensive wear.
Fig. 3: Intra-oral photograph of the maxillary arch.
Fig. 4: Intra-oral photograph of the mandibular arch.
Upon further questioning, it was determined the patient did not have any digital records from the orthodontist. Such records could have been valuable in assessing the final orthodontic tooth position and amount of wear that could have occurred after orthodontic treatment, since the case had been completed a few years before. It was decided that an in-house splint would be fabricated to minimise the wear on the teeth and to track the wear on the splint, which could help show the patient and his parents how active the parafunctional process was and determine whether any other treatment would be necessary.
Treatment plan
The following treatment plan was presented to the patient:
dental prophylaxis and oral hygiene instruction;
caries management in the form of direct dental composite restorations on teeth #21 and 22;
digitalisation of the case via intra-oral scanning to obtain virtual 3D models for wear tracking and occlusal splint fabrication and to facilitate discussion with the patient’s parents regarding advanced wear in the patient; and
occlusal splint fabrication.
Execution of the treatment plan
First appointment
Although hygiene and scanning can take place in one appointment, it was decided to provide dental prophylaxis and oral hygiene instruction in one visit and then to evaluate changes in this regard at the composite appointment one week later, when scanning would be done too.
Second appointment
Caries was removed from teeth #21 and 22, and they were restored with composite. Intra-oral scanning (Medit i700) was done after the composite restorations had been completed to obtain virtual 3D models for occlusal evaluation in addition to occlusal splint fabrication. The occlusal records were taken in the maximal intercuspal position. The case was sent to an external design service (Evident) after the digital impression taking. The design service requires maxillary and mandibular full-arch scans in addition to at least one bite scan. Upon completion of the design, the design centre provides the design file and, if desired, a FORM format file to simplify the print process using the native PreForm printing software (Formlabs).
Fabrication stage
The following morning, the occlusal splint design (STL file) was downloaded and uploaded to the PreForm software, oriented and sent for printing to the Form 3B/+ printer (Formlabs) utilising Dental LT Clear Resin (V2) (Fig. 5). This biocompatible material is indicated for high-quality, long-term occlusal splint fabrication and a Class I (US) and Class IIa (EU) medical device.
After printing, the build platform was removed from the printer in order to do the post-processing of the parts (Fig. 6). The parts were washed in Form Wash (Formlabs) for 15 minutes in 99% isopropyl alcohol (IPA), then removed and washed again in fresh IPA for another 5 minutes. The parts were dried with compressed air and allowed to air-dry completely for 30 minutes. The parts were then polymerised in Form Cure (Formlabs) at 60°C for 60 minutes (Figs. 7 & 8).
Fig. 5: 3D printing ecosystem.
Fig. 6: Printed occlusal splint and Kois deprogrammer on the build platform.
Fig. 7: Printed occlusal splint still on the supporting structures after polymerisation.
Fig. 8: Printed occlusal splint still on the supporting structures after polymerisation.
The support structures were removed, and the following polishing steps were taken. A cross-cut tungsten carbide bur was used to remove the support structure indentations in the occlusal surface. A rubber silicone polisher was used to smoothen the surface. Finally, a muslin/rag wheel was used for high-gloss polishing (Figs. 9–13).
Fig. 9: Splint after support removal and polishing instruments.
Fig. 10: Polishing sequence for the occlusal splint.
Fig. 11: Polishing sequence for the occlusal splint.
Fig.12: Polishing sequence for the occlusal splint.
Third appointment
The occlusal splint was delivered to the patient 24 hours after the second appointment. The occlusion was checked and balanced. The patient was instructed on proper cleaning of the appliance with water and a soft brush in addition to reinforcing proper oral hygiene. A follow-up appointment was scheduled for two weeks later for re-evaluation of bite on the appliance and compliance with wearing of the appliance (Fig. 14).
Follow-ups
Evaluation of the splint at the post-insertion appointment showed that the material was holding up well, that the fit was the same and that the colour stability of the material was excellent. The overall patient satisfaction was positive. The patient reported that the fit of the splint was comfortable, that it was easy to insert and remove and that the material was easy to clean.
Fig. 13: Kois deprogrammer and occlusal splint after polishing.
Fig. 14: Occlusal splint delivered to the patient.
Conclusion
Utilisation of a complete digital workflow for fabrication of an occlusal splint in the dental office is a very efficient and cost-effective way to provide a high-quality occlusal splint with a short turnaround time. The cost to design and print a splint can be less than US$40 in addition to no associated shipping costs; this is significantly lower than the cost of a laboratory-fabricated splint. It simply starts with an intra-oral scan that is then electronically sent to an external design service for the design team to create the splint design. This design process can be done in-house if the office has the proper software, but outsourcing the design can make the process more efficient for the clinic.
Once the design has been completed, 3D printing of the appliance is begun by simply hitting the print button once the material has been loaded into the printer. Washing and polymerising of the splint takes a few hours, and final polishing can be completed by the dental assistant. Chairside delivery can occur in less than 24 hours after the patient has been scanned, and the delivery of the appliance takes only a few minutes. The fit of the appliance can be calibrated by the design team to ensure that the fit is compatible with the practitioner’s preferences. Dental LT Clear Resin (V2) is clear and after polishing, which takes only a few minutes, looks just like a traditionally fabricated laboratory splint.
It should be noted that initial fitting tests may need to be done to calibrate the clinic scanner, splint design and 3D printer to the clinician’s preferences—similar to the traditional laboratory process. This can help with the efficiency of the delivery appointment.
Digitally designed and printed appliances are great because a new one can be fabricated by simply printing another one should the patient lose or damage the appliance—most often without needing to rescan the patient. If a patient desires multiple splints, as sometimes is the case when patients travel for work, then a second appliance is fabricated based on the initial design, and there is no additional design cost to the clinic—only the cost of the materials for printing the splint.
Today’s retailers certainly will confirm that when the economy takes a turn for the worse, consumer focus shifts from luxury to necessity. Moreover, ...
KOBLACH, Austria: Amann Girrbach has announced the 4.2 upgrade of its Ceramill Mind and Ceramill Match software, which will allow dental professionals and ...
In recent years, dental implants have emerged as a pivotal advancement in dentistry, offering a popular solution for replacing natural teeth lost owing to ...
Hypertrophy of the masseter muscle is defined as the excessive growth of muscle mass in the transverse direction and is more common between the second and ...
During the 2024 Implant Solutions World Summit, held this month in Miami in the US, DTI had an opportunity to talk to Tony Susino, group vice president of ...
When oral health is neglected for extensive periods of time, dental conditions like tooth decay and periodontal disease can advance to a point that, prior ...
At a practice in which digital technologies have been prioritised right from the start, new devices are a real pleasure rather than a duty. That’s why Dr ...
Dr Robbie Hughes is a leading figure in digital dentistry, and his clinical expertise is supported by extensive postgraduate training in implantology, ...
During the SureSmile 2025 Global Orthodontics Symposium, which took place on 13 and 14 September in London, Dental Tribune International spoke with Dentsply...
Education
Live webinar Thu. 12 March 2026 12:00 pm EST (New York)
To post a reply please login or register