Search Dental Tribune

3D reconstruction of the canals in different colours, showing the detailed length segment by segment for each canal. (All images: Philippe Sleiman)

Fri. 14. July 2023

save

Root canal anatomy is often complex. Traditional 2D radiographs can give us an idea about the anatomy and its complexity or indicate whether we are dealing with a retreatment or calcification, but only 3D vision can provide the necessary accuracy. In this article, I will be sharing with you cases with different scenarios for which I used the DTX Studio Clinic dental imaging software (DEXIS) to create a digital model and a road map for me to follow clinically.

Case 1

This patient attended in an emergency owing to sharp pain in a second maxillary molar. This was confirmed upon clinical examination. A standard radiograph was taken (Fig. 1), showing a very complex anatomy and calcified pulp chamber. The history of this tooth, as described by the patient, was that an inlay had been placed on it and discomfort developed after a while that had lasted several years untreated. On check-up, he had been told that everything was fine.

I asked for an i-CAT scan to be taken in order to better understand what was going on. Studying the horizontal view of the 3D image, the level of calcification in the pulp chamber compared with the pulp chamber of the first molar could be seen clearly (Fig. 2).

The endodontic mode in the new DTX Studio Clinic software allows the addition of many views and sections and adjustment of the thickness of the sections in order to check the level of calcification. An additional benefit is that it allows tracing of the internal anatomy of the roots, individually and together. When tracing the root canals, a colour can be selected for each canal. This is of great benefit for visualising the internal anatomy (Fig. 3).

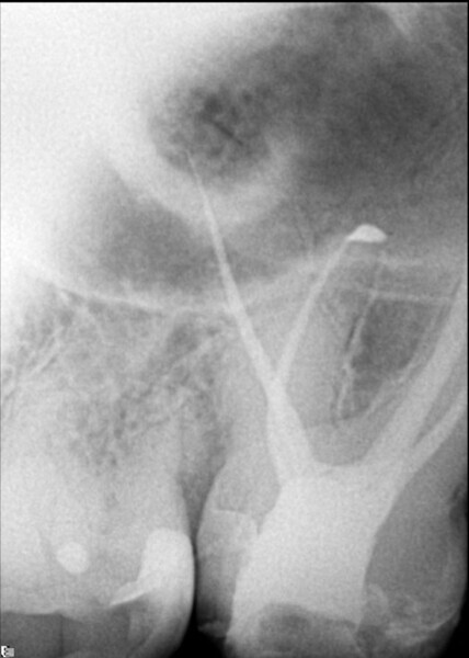
Fig. 1: Pre-op radiograph, showing a very complex root canal system and a calcified pulp chamber.

Fig. 1: Pre-op radiograph, showing a very complex root canal system and a calcified pulp chamber.

Fig. 2: Horizontal cross section taken from the i-CAT scan (DEXIS) showing total calcification of the root canal orifice at the level of the cemento-enamel junction, in comparison with the first molar.

Fig. 2: Horizontal cross section taken from the i-CAT scan (DEXIS) showing total calcification of the root canal orifice at the level of the cemento-enamel junction, in comparison with the first molar.

Fig. 3: Endodontic mode in DTX Studio Clinic tracing the anatomy of the canals and providing an approximate working length in different colours for each canal. Four separate roots are shown.

Fig. 3: Endodontic mode in DTX Studio Clinic tracing the anatomy of the canals and providing an approximate working length in different colours for each canal. Four separate roots are shown.

With this software, a 3D model of the tooth with the canals traced with their approximate working lengths can be visualised, giving us an idea of what to expect (Fig. 4). For example, in this case, the average working length was around 27 mm for this second maxillary molar with four canals and this kind of anatomy—I call these cases a double espresso because they are a bit of a challenge. For example, the distal canal had a sharp curve like a hook at the apex. All this data can help in choosing a file sequence for the shaping and cleaning of the root canal system. Traverse and ZenFlex files (Kerr Dental; Fig. 5) were used to shape the canals. In the distal root, the 30/.04 file was not used in the last 2 mm, in order to avoid any misshaping of this area. The irrigation was performed according to the Sleiman sequence of irrigation (published in roots magazine 1/2014). 3D obturation of the canals was performed with the elements IC obturation system (Kerr Dental; Fig. 6). Obturation was completed, and the immediate postoperative radiographs showed that all the canals were filled and sealed (Figs. 7a–c).

Case 2

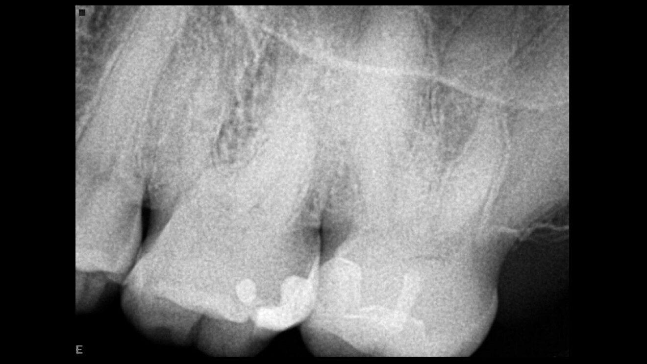
The same patient had a fistula in the buccal area at the furcation level of his mandibular molar, resulting from occlusal contacts being too high and not being adjusted after placing the inlay on the maxillary molar (Fig. 8). This had caused activation of substance P that then created the calcification in the maxillary molar and the irreversible inflammation of the mandibular molar—micro-trauma effects.

Using the endodontic mode in DTX Studio Clinic (Fig. 9), each slide and cut were examined, searching for the reason for the fistula of the mandibular molar. A possible cause of the fistula may have been the complex of lateral canals seen in the coronal part of the distal root (Fig. 10). Root canal therapy was initiated using the Traverse and ZenFlex files in the same sequence as that used for Case 1, and 3D obturation with elements IC was performed (Fig. 11).

Case 3

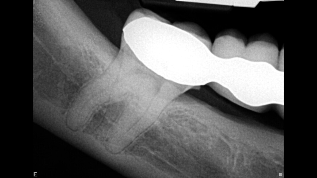
The third case highlights the artificial intelligence incorporated into DTX Studio Clinic, one feature of which is automatic tracing of the mandibular canal. In this case, it was a very helpful feature to have. The patient was suffering from irreversible pulpitis of a mandibular third molar. He wanted to save the tooth at any cost because did not want to have an implant (the molar was an abutment tooth for a bridge). The radiograph showed the roots of the molar overlapping the mandibular canal (Fig. 12). A 3D radiograph was taken, and on this, the software traced the mandibular canal overlapping the molar in the panoramic view. The endodontic mode revealed that the canal bypassed the buccal area, slightly touching the mesiobuccal canal (Figs. 13–15). The radiograph taken immediately after the root canal therapy, performed through the crown, showed complete obturation of all the canals (Fig. 16).

Conclusion

Using digital imaging software can significantly improve the outcome of root canal therapy by providing additional information about the complex anatomy of the root canal system. Modern dental imaging software such as DTX Studio Clinic allows visualisation of the complexity of the root canal system with great accuracy—I liken it to a map which I can follow during treatment. This map makes endodontic treatment more predictable and effective.

Editorial note:

This article was published in digital—international magazine of digital dentistry vol. 4, issue 1/2023. A list of references can be obtained from the publisher.

Tags:
To post a reply please login or register
advertisement
advertisement