The maxillary sinus is the largest paranasal sinus and overlies the maxillary alveolar process. [1] The topographic anatomical relationship between the maxillary posterior teeth and the maxillary sinus necessitates great care in performing endodontic treatment. It has been suggested that the incidence of sinusitis of dental aetiology is increasing. One reason for this apparent increase may be the availability of improved imaging, specifically in-office cone beam computed tomography (CBCT) scanning. [2]
In fact, many accidents can occur during endodontic treatment that can affect the sinus, starting from the cleaning and shaping phase. A simple #10 K-file (Kerr Dental) can pass beyond the apex and perforate the sinus membrane, and the periodontal ligament will be damaged by losing its resistance to pressure, making it very easy for pressure irrigation to irritate the sinus cavity. The accidental extrusion of sodium hypochlorite into the maxillary sinus can cause a burning sensation, accompanied by nasal bleeding, swallowing of blood and interrupted breathing. [3] The use of the EndoVac system (negative pressure; Kerr Dental) safely delivers irrigants to the apical terminus of root canals. [4]
During the obturation phase, endodontic sealers that contain zinc oxide are considered to be a growth factor for Aspergillus (fungus). The authors suggest that the possibility of contaminated obturation material introducing spores into the sinus should be considered. [5]
Clinical Case 1
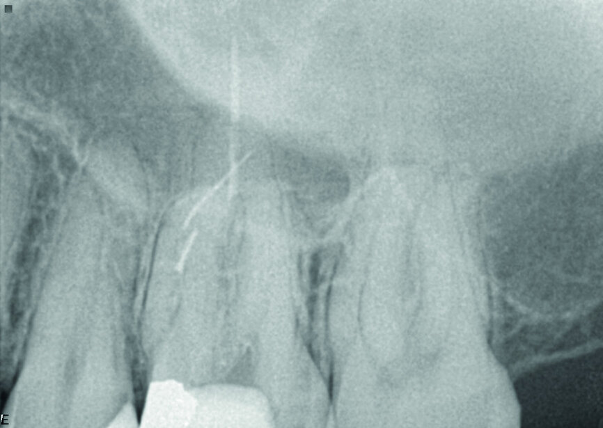
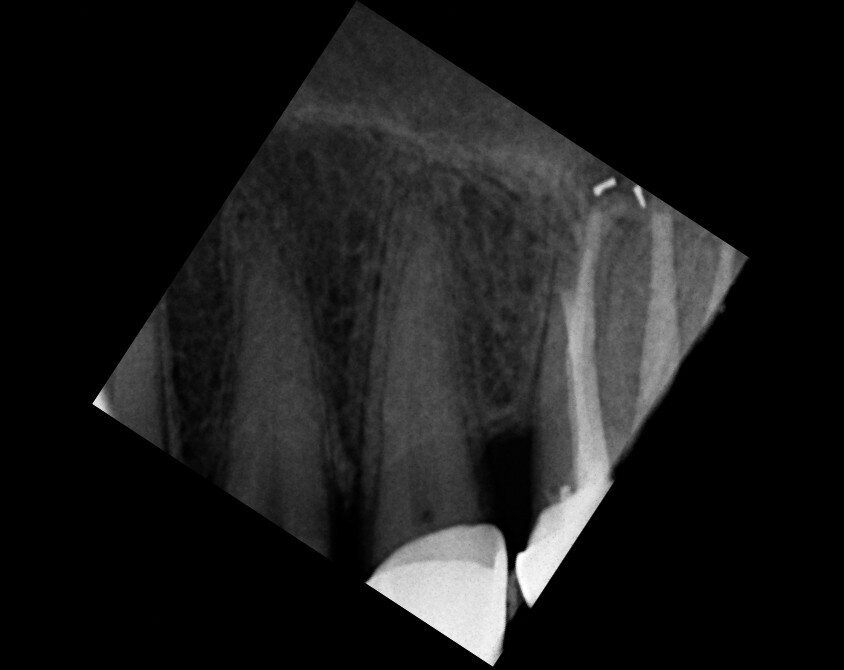
A patient was referred to the office with problems related to separated files. He was a pilot and was complaining of pus draining from his nose when flying. From the preoperative radiograph (Fig. 1), it was clear that there were two separated file fragments in the mesial canals and one cone passing beyond the apex in the palatal root. I requested an iCAT scan, and from this, the left sinus was clearly almost full with inflammatory fluid (Fig. 2) and the cone in the palatal canal was clearly emerging into the sinus. We could also see the two separated files in the two mesial canals clearly in the MPR view (Figs. 3 & 4), as well as another file entering the sinus and not attached to the canal (Fig. 5). We could see the file using different filters (Figs. 6–9), as well as the inflammation inside the sinus and the separated file. We additionally gained a better idea of the location of the cone protruding from the palatal canal into the sinus.
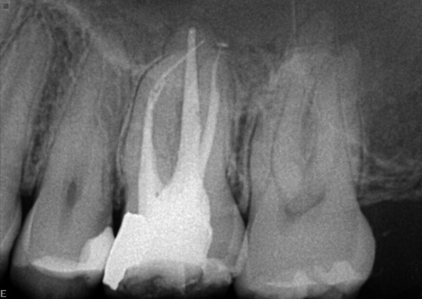
The treatment plan was to try to solve it with a conventional approach and if necessary to perform microsurgery to save the tooth. With the help of H-files, I managed to retrieve the cone from the palatal root, but the files inside the mesial root were impossible to bypass or even to reach with ultrasonic tips. I decided not to overdo it in order to avoid creating an additional problem, like perforating the canal, and decided to seal the canals (Fig. 10). A surgical approach was immediately taken for the mesial canals, cutting 3 mm of the mesial root using the Impact Air handpiece (SybronEndo), and this gave me a direct view of the Schneiderian membrane, where the third file was barely hanging (Figs. 11 & 12). I managed to delicate grab it and to remove it (Fig. 13). Figure 14 shows the postoperative situation, after performing retrograde preparation of the mesial canals.
Clinical Case 2
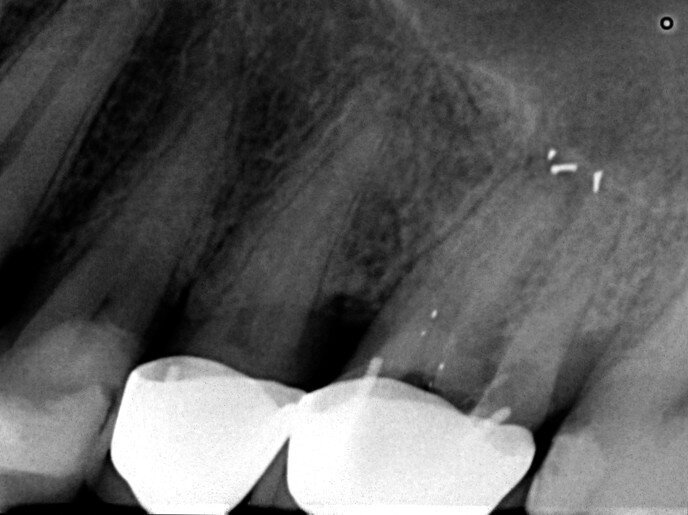
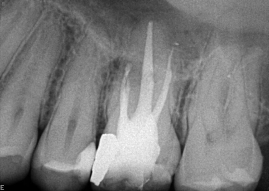
The patient was referred for a dull pain affecting a maxillary molar. On the preoperative radiograph, we could see a diversity of obturation materials, including single cones, resin cement and silver cones, with some of them already fragmented and one piece protruding from the root. Looking closely at the sinus and the sinus membrane, we could see that the membrane had been perforated by the inflammatory/infection process, which had led to sinus infection (Fig. 15).
Under the operating microscope and using ultrasonic and K3XF rotary files (Kerr Dental), I managed to clear the root system of all the previous obturation materials, and placed a dry cotton pellet and temporary cement, as the patient had become tired during this long appointment (Fig. 16). Figure 17 shows some minor debris of silver cones that had passed beyond the mesial apex and using the MacroCannula of the EndoVac, I managed to retrieve one small piece of the silver cone and to complete the chemical cleaning of the root canal system.
Figure 18 shows the immediate postoperative situation, focusing on the obturation of the mesial canals, and a slight improvement of the membrane and the sinus is evident. Figure 19 shows the three-month follow-up with an almost complete closure of the membrane and the bone of the sinus floor.
Discussion
The maxillary sinus is located at a lower level than the floor of the nasal cavity, and it is closely associated with maxillary tooth roots. [6] Some studies have shown that the palatal root of maxillary first molar is most commonly found inside the maxillary sinus, [7] while others have found that the mesiobuccal roots of the second molars have the greatest protrusion into the sinus. [8]
Diagnosing maxillary sinusitis of dental origin requires a careful clinical and radiographic examination. It has been suggested that the incidence of sinusitis of dental origin is increasing, [9] or at least we are becoming more aware of it. One reason for this finding may be the availability of improved imaging, such as in-office CBCT scanning. [10] CBCT provides an accurate evaluation of maxillary bone quality and quantity around posterior root apices without the distortions and superimposition caused by teeth and the surrounding structures, and it can give us a clear idea about the position of the roots and apices vis-à-vis the sinus cavity and the membrane. If the Schneiderian membrane has a thickness of 0.5 mm and greater, with or without the presence of an apical radiolucency, the tooth is considered to have an endodontic infection. Sinus membrane perforations can have several sequelae, including reduced resistance to infection, and the most frequent complications are nose bleeding, sinus obstruction, and acute or chronic sinus infection. [13]
In the presence of a periapical lesion, studies have shown that potent virulence factors are produced because of pulp necrosis, such as collagenase and lysosomal enzymes, which promote the destruction of periapical tissue and may reach the maxillary sinus. [11] Bacteria and toxins in apical lesions may infiltrate the maxillary sinuses via direct diffusion through porous maxillary bone or through blood and lymph vessels, causing thickening of sinus mucosa. [12]
During obturation, extrusion of the obturation materials is dependent on the root filling technique used and the skills of the operator: the root may have been over-instrumented and the apical seal not created, which can result in the extrusion of obturation material into the sinus. Also, bacteria may colonise the surface of the extruded material, sustaining apical inflammation/infection. [14] Furthermore, the extrusion of endodontic sealers that contain zinc oxide is considered to be a growth factor for Aspergillus. The authors suggest the possibility of contaminated root canal obturation material introducing spores into the sinus. [15]
The authors recommend the following to avoid iatrogenic errors:
- respecting the working length during the initial shaping procedure and taking the working length at the first exploration of the roots;
- keeping the working length stable on the rotary files by placing two rubber stops and retaking the working length after the coronal flaring;
- using the negative pressure technique in order to avoid any extrusion of any chemical product beyond the apex in the irrigation phase;
- a carefully adjusted tug-back of the cone and respecting the protocol of obturation in order to avoid any extrusion of the material beyond the apex (over-extrusion) and into the sinus in the obturation phase;
- respecting proper mixture and dosage of the sealer so that a creamy mixture not a fluid one results—paste fillers are not to be used to push the sealer into the canal.
Editorial note: A list of references is available from the publisher. This article was published in roots - international magazine of endodontics No. 03/2018.
Maxillary second molars are always a challenge for root canal therapy. This difficulty is related to the location of the tooth, way back in the maxilla with...
BRISBANE, Australia: Root canal therapy (RCT) or extraction—which one is better? This is a common question posed by patients who come into a dental clinic...
Irrigation dynamics deals with the pattern of irrigant flow, penetration, exchange and the forces produced within the root canal space. Current modes of ...
DUNDEE, Scotland: Management of irreversible pulpitis in permanent teeth is undergoing a gradual but meaningful shift. Advances in diagnostic understanding ...
LONDON, England: Although periapical periodontitis can increase systemic inflammation and is associated with cardiovascular risk and impaired glycaemic ...
ROSTOCK, Germany: In Germany, about 7.5 million root canal therapies are carried out annually. With the help of an innovative system, it may soon be ...
COLOGNE, Germany: The Swiss endodontic company Produits Dentaires (PD) has introduced a new-generation root canal sealer at IDS 2019. EssenSeal, which is ...
Irrigation is a major step in endodontic treatment. A variety of chemicals are used to achieve what I like to consider the chemical preparation of the ...
ADELAIDE, Australia: Self-reporting of dental health suggests that Australian patients find that root canal therapy is no worse than any other dental work. ...
SYDNEY, Australia: A man was recently convicted of falsely representing himself as a dentist and performing invasive procedures, including root canal ...
Live webinar
Wed. 3 June 2026
1:00 pm EST (New York)
Live webinar
Thu. 4 June 2026
2:00 pm EST (New York)
Live webinar
Mon. 8 June 2026
12:00 pm EST (New York)
Live webinar
Mon. 8 June 2026
1:00 pm EST (New York)
Dr. Anthony Mak B.D.S, Prof. Marleen Peumans
Live webinar
Mon. 8 June 2026
2:00 pm EST (New York)
Live webinar
Wed. 10 June 2026
11:00 am EST (New York)
Live webinar
Wed. 10 June 2026
2:00 pm EST (New York)
Nacho Fernández-Baca DDS, MSc
To post a reply please login or register