Irrigation is a major step in endodontic treatment. A variety of chemicals are used to achieve what I like to consider the chemical preparation of the root-canal system.
Sodium hypochlorite (NaOCl) is a major component of the chemical preparation, mainly owing to its ability to attack the collagen component of the pulp tissue, and it is very cost-effective. However, one of the problems of using NaOCl is its safety, especially during its delivery inside the root-canal system and the ability to limit its delivery strictly to root-canal space and nothing but the root-canal space.
Going beyond the limit of the root-canal space causes serious problems, the gravity of which depends on the amount of NaOCl passing to the margins of the periodontal ligament or even attacking the periodontal ligament. A small amount can result in pain or discomfort after treatment, whereas a larger amount, especially in cases of large andor open apices, can accidentally be delivered inside the maxillary bone, travel via veins and arteries to primary anatomical organs and cause extensive, serious and very dangerous reactions. It is possible that the majority of such incidents are treatable with steroids and antibiotics, as they are limited to muscle and bone inflammation and slight reversible necrosis.
embedImagecenter("Imagecenter_1_668",668, "large");
Sometimes we are not that lucky. Irrigating the last few millimetres in the root-canal space is an important key to treatment success, and a certain amount of NaOCl may be delivered into the maxillary sinus especially in the area of the maxillary second premolar and first molar. The case discussed below was the result of accidental NaOCl delivery into the maxillary sinus.
Case report
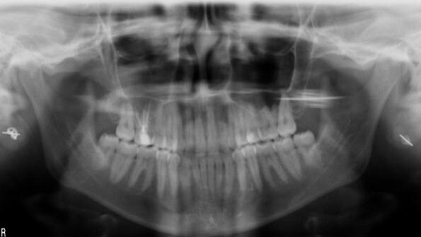
The patient was referred to my office for a complaint regarding the maxillary molar. After examining the patient and looking at her preoperative X-ray, I saw nothing wrong with the existing root-canal treatment, at least concerning the roots, but found a vague image in the sinus that I thought could be related to the maxillary molar and could be the cause of the problem. I asked my assistant to take a panoramic X-ray, which demonstrated a much larger problem inside the sinus but at that point I did not realise the scale of the issue.
Turning back to the patient, I went into some questions related to the issue, such as “Do you have problems breathing through your nose on this side?”, “Can you describe to me the pain or discomfort you are having?”, “Can you tell me if anything unusual happened during your previous root-canal treatment?” and “What were the indications for this treatment several months before?”. The patient, quite unexpectedly, told me that during the procedure she had had a chlorine taste in her throat arising from her nose as if a liquid was dripping internally. Also, after the treatment was over and she was on her way home, a strange liquid with the same chlorine smell began dripping from her nose.
Upon hearing that, I asked the patient to have a CBCT scan of the maxilla because it was necessary to establish the situation in the sinus. The patient was nervous and anxious, so I asked the radiology centre if they could capture the CBCT scan for her on the same day as a favour.
A couple of hours later, the patient returned to my office and I took the time to examine the images. In the panoramic view, it was clear that half of the sinus was filled with inflammatory tissue (Fig. 2); in the sectional views, I noticed that the posterior wall of the sinus was non-existent in some places (Figs. 3–5). Potentially, it could be the position of the patient during the root-canal procedure that made NaOCl stagnate on the posterior wall and aggravate the damage.
The patient was informed of my opinion and recommended to see her otorhinolaryngologist, who took over the case, since it was already beyond the specialty of the dental profession and so she did.
Conclusion
As we have seen, what seems to be a normal root-canal treatment can hold serious implications for human health. Although it is very true that we need irrigation to clean the root-canal system, those chemicals need to be limited to the root-canal system only, as even a few drops of NaOCl approaching the periodontal ligament may create an inflammatory region and area of tissue damage as a result of an aggressive chemical reaction.
Sometimes this process is limited and may only cause minor discomfort for a couple of days, but when the amount of chemical is larger more severe problems may occur, for which the use of steroids and antibiotics is recommended. A major accident can still happen at any time when an amount of chemical travels outside the oral cavity and causes a more serious complication.
One of the safest options that we currently have at our disposal is the EndoVac system (SybronEndo), which is designed specifically to deliver fresh irrigant all along the root-canal system and, most importantly, to clean the last 3 mm of the root-canal system using the MicroCannula. It allows us to be certain that no chemicals can go beyond the limits of the root-canal space, nor cause any serious or even minor damage.
I would like to thank Yulia Vorobyeva, interpreter and translator, for her help with this article.
Irrigation dynamics deals with the pattern of irrigant flow, penetration, exchange and the forces produced within the root canal space. Current modes of ...
After access preparation and location of anatomy, the next challenge facing the endodontic clinician is to select the proper file alloy and sequence for the...
The patient reported on in this article is a student in dentistry and his parents are both dentists. They referred their son to a good endodontist, who then...
The patient reported on in this article is a student in dentistry and his parents are both dentists. They referred their son to a good endodontist, who then...
A new generation of root canal sealer engineered and manufactured by the Swiss endodontic company PD (Produits Dentaires SA) enables more effective root ...
The introduction of nickel-titanium (NiTi) rotary instrumentation has made endodontics easier and faster than with hand instrumentation. In addition, ...
Much has changed in endodontics during the last 20 years, except the anatomy, which is still just as complex. We can improve our protocols and techniques, ...
ROSTOCK, Germany: In Germany, about 7.5 million root canal therapies are carried out annually. With the help of an innovative system, it may soon be ...
The maxillary sinus is the largest paranasal sinus and overlies the maxillary alveolar process. [1] The topographic anatomical relationship between the ...
COLOGNE, Germany: The Swiss endodontic company Produits Dentaires (PD) has introduced a new-generation root canal sealer at IDS 2019. EssenSeal, which is ...
Live webinar
Thu. 14 May 2026
12:00 pm EST (New York)
Live webinar
Thu. 14 May 2026
2:00 pm EST (New York)
Prof. Hani Ounsi DDS PhD FICD
Live webinar
Tue. 19 May 2026
11:00 am EST (New York)
Live webinar
Tue. 19 May 2026
1:00 pm EST (New York)
Prof. Dr. med. dent. Ivo Krejci
Live webinar
Wed. 20 May 2026
7:00 am EST (New York)
Dr. Graham Carmichael BDSc (Hons), DClinDent (Pros), FRACDS, Dr. Robert Gottlander DDS
Live webinar
Wed. 20 May 2026
9:00 am EST (New York)
Live webinar
Wed. 20 May 2026
1:00 pm EST (New York)
Prof. Dr. med. dent. Tim Joda PhD, MSc, eMBA
To post a reply please login or register