In today’s fast-paced world, instant gratification is expected to be synonymous with worthwhile results. This also applies to dental treatments. While there have been many recent technological innovations specifically for chairside restorations, dentists have faced complications when mastering complex and time-consuming protocols.
The E4D Dentist System (D4D Technologies) eliminates those obstacles by providing outstanding clinical results in a single visit using intuitive, efficient and state-of-the-art technologies.
The E4D Dentist System’s three-dimensional software simplifies designing and milling multiple restorations. This provides dentists with more control over the aesthetic process. The E4D in-office
CAD/CAM system is equipped with a high-speed intraoral laser scanner for capturing digital impressions, which provides restorations with better quality fit and function because it incorporates intraoral digital impressions, traditional impressions and models.
The E4D Dentist System streamlines work for dentists, who gain the enhanced confidence of producing reliable restorations for every patient case. Meanwhile, patients receive both enhanced and more efficient care with faster treatment times.
embedImagecenter("Imagecenter_1_1060",1060, "large");
Contributing to efficiency and accuracy is the E4D design software, which facilitates required modifications to finalize restorative designs in record time.
Restorative designs are then sent to the E4D precision milling unit, which incorporates dual spindles and diamond burs to efficiently form CAD materials into restorations that exhibit exceptional fit, maximized strength and lifelike aesthetics. In fact, restorations fabricated using CAD/CAM processing have demonstrated less chipping or fracturing, which enhances the predictability of the restoration.(1)
Among the materials that can be processed chairside with the E4D Dentist System is lithium disilicate (IPS e.max CAD, Ivoclar Vivadent), which is available for processing CAD/CAM restorations indicated for placement in the anterior and posterior.
The material is also indicated for an assortment of dental procedures, including partial and full coverage inlays and onlays, thin veneers (0.3 mm) and implant superstructures. Lithium-disilicate glass ceramic
trumps traditional ceramic materials because of its durability and high flexural strength values.
Case presentation
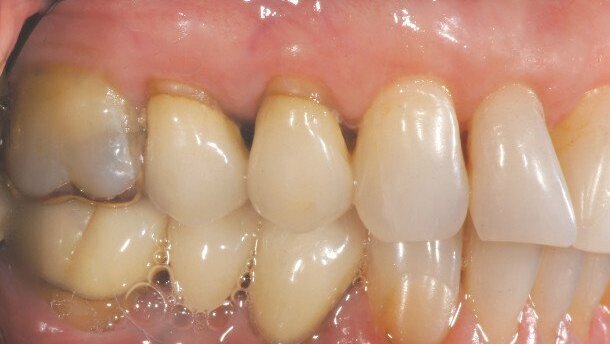
A 55-year-old woman presented requesting removal of the maxillary left bicuspid and molar crowns. Their unsightly margins and the gold restorations were visible in her smile (Figs. 1 & 2), and the patient had grown weary of their un settling and lackluster appearance. Her goal was to whiten her dull-looking teeth in order to reflect the brighter colour of her natural anterior dentition.
In-office CAD/CAM restorations (IPS e.max CAD) were discussed with and agreed to by the patient. The optical qualities of IPS e.max CAD, which include a fairly low refractive index, optimal light transmission and lifelike translucency, would provide natural appearing and highly aesthetic
Restorations.(2,3)
Preparation and digital impression taking
The existing crown restorations were removed and the teeth were prepared for IPS e.max CAD crowns. Preparations included a 2 mm occlusal reduction and a 1–1.2 mm shouldered margin. A scan was performed of the patient’s arch and prepared teeth, and the margins were identified
(Fig. 3).
Digital restoration creation
The autogenesis feature in the E4D DentaLogic intuitive software was used in conjunction with E4D
CAD proposals (Fig. 4), which incorporated images of the buccal and occlusal aspects (Figs. 5 & 6) and contact intensity (Fig. 7).
The restorations were designed and then sent to the E4D milling unit, where lithium-disilicate hightranslucent (HT) blocks (IPS e.max) were milled. After completion, the monophasic crowns were first tried in the patient’s mouth to appraise fit, contour and anatomical harmony, then crystallized.
Customization
The restorations were removed from the furnace, then cleaned and dried. To fulfil the patient’s desired goal of having a more natural coloured smile, the restorations were appropriately stained and glazed. The ideal shade stain was placed on the tip of a hygienic brush and applied to the restorations.
Once staining was complete, the crowns were fully crystallized and fired. The case was ready for seating using universal cement (Multilink, Ivoclar Vivadent).
Cementation
Lithium-disilicate glass ceramic restorations (IPS e.max CAD) can be traditionally cemented or bonded adhesively. As a result, any restrictions that may be presented due to placement or location within the mouth are eliminated.(4,5)
The internal aspects of the crowns were cleaned with Ivoclean and etched with Ceramic Etching Gel. The Ceramic Etching Gel was applied for 20 seconds, rinsed with water and dried in preparation for silanating using the Monobond Plus Primer (Fig. 9).
The Monobond Plus Primer was applied with a microbrush for 60 seconds to the internal surfaces of the restorations to ensure a sound bond between the restorations and cement, as well as increase bond strength (Fig. 10). Excess primer was air dried.
The solution was then applied to the prepared teeth and allowed to sit for 40 seconds. The Multilink
A&B solution (Fig. 11) was air blown gently to remove excess. Note that the patient’s surrounding gingival tissues may turn white temporarily (Fig. 12).
Next, the internal aspects of the IPS e.max CAD crowns were loaded with Multilink Automix (Ivoclar Vivadent) (Fig. 13) and seated on both the maxillary left bicuspid and molar with slight pressure applied. The “wave” technique was then used to cure the excess cement to a gel like state, which enabled easy removal (Fig. 14).
Excess cement was removed from interproximal and cervical areas using a microbrush, after which complete polymerization was achieved by curing from the buccal, lingual and distal aspects.
Conclusion
The combination of lithium-disilicate blocks (IPS e.max CAD) and the E4D Dentist System is a state-of- the-art material and technology solution that enhances the predictability, aesthetics and ease-of-use of in-office CAD/CAM procedures. Restorations completed with this complementary combination demonstrate excellent fit, function and aesthetics (Figs. 15 & 16). As a result, dentists can provide progressive, one-day treatments to patients, eliminating more invasive and time-consuming procedures that can require multiple appointments.
By incorporating the essential components of smile design and accurate scanning, the E4D Dentist System helps to ensure the accuracy and predictability of resulting restorations.
When milled from highly esthetic lithium-disilicate blocks (IPS e.max CAD), the restorations enable dentists to provide exceptional treatments tailored to the patient’s authentic esthetic characteristics.
Editorial note: A complete list of references is available from the publisher.
This article was published in CAD/CAM international magazine of digital dentistry No. 3/2013.
Today’s consumers are always searching for the ultimate bargain, even when it comes to their dental care. They want high-quality results and minimally...
The prevalence of edentulous patients in Germany has been steadily declining for many years. According to the Sixth German Oral Health Study, the prevalence...
Today’s computer-aided design and manufacture (CAD/CAM) technologies contribute greatly to restorative dentistry and provide clinicians with advanced ...
The E4D in-office CAD/CAM unit (Editorial note: Planmeca E4D Technologies) has been employed in an investigative laboratory study to design and mill an ...
Dental crowns have been used for decades to restore compromised, heavily restored teeth, and for aesthetic improvements. New Computer Aided Design/Computer ...
BRAZIL: In June, a team of Doctors Without Borders (DSF), a Brazilian NGO that provides dental assistance to the indigenous peoples of the Amazon region, ...
No-preparation ultrathin veneer is one of the most minimally invasive restorations. Its thickness ranges from 0.3 to 0.5 mm. In the right circumstances ...
In dental implantology, the optimal and truly passive fit of the framework is essential for the long-term success of a restoration owing to the physiology ...
Despite the increasing popularity of the current CAD/CAM laboratory systems and continuing technical advances, some clinicians have remained reluctant to ...
As a full-time general dentist, CAD/CAM technology is a subject that has been of significant interest to me. I incorporated CAD/CAM into my practice more ...
Live webinar
Mon. 19 January 2026
1:00 pm EST (New York)
Philipp Kopp, Michael Seeber
Live webinar
Thu. 22 January 2026
9:00 am EST (New York)
Prof. Judith Jones D.D.S; M.P.H., Prof. Kakuhiro Fukai D.D.S., Ph.D, Dr. Bathsheba (Bethy) Turton
Live webinar
Thu. 22 January 2026
2:00 pm EST (New York)
Dr. Nicola M. Grande DDS, PhD
Live webinar
Wed. 28 January 2026
8:00 am EST (New York)
Live webinar
Wed. 28 January 2026
11:00 am EST (New York)
Prof. Dr. Jan-Frederik Güth
Live webinar
Wed. 28 January 2026
11:00 am EST (New York)
Dr. Algimante Lošytė – Jančė
Live webinar
Wed. 28 January 2026
12:00 pm EST (New York)
To post a reply please login or register