Search Dental Tribune

Fig. 1: Tooth #16 with temporary restoration. Total isolation prior to the removal of caries. (All images: Dr Jenner Argueta Endodoncia)

A high percentage of the population decides to visit the dentist when their teeth are considerably affected by caries. In many cases, patients opt for early extraction of teeth owing to the cost of root canal therapy and posterior restoration.1, 2 The importance of keeping the pulp–dentine complex vital, the search for alternatives to root canal therapy and the clinical application of minimally invasive dentistry have led to the increased popularity of conservative approaches to pulp damage. The high success rate reported for vital pulp therapy (VPT) procedures nowadays has been a key factor in the growing frequency of use of this type of therapy.3, 4 The good prognosis of these procedures has been partly achieved thanks to current treatment protocols, an understanding of the biological processes involved and the materials available for use in cases of reversible pulp disease.

A good diagnosis is the most important and complex factor when taking decisions and establishing a course of treatment. Determining the exact degree of pulp inflammation is not an easy task, given the limitations of current diagnostic tests, subjective factors inherent to the patient and the correct interpretation of the clinical information by the operator.5–7 It is well known that, for a VPT procedure to be successful, it should be possible to reverse the pulp inflammation. It is important to bear in mind that current pulp sensibility tests are not entirely reliable.6, 8

Direct pulp capping—clinical technique

 In the clinical case presented in this article, we describe the recommended technique for performing direct pulp capping in cases of frank pulp exposure with a diagnosis of reversible pulpitis. This clinical scenario was selected because it is the one that occurs most frequently.

The patient attended reporting short-term pain in tooth #16 (Fig. 1). Through radiography, clinical assessment and an analysis of the patient’s clinical history, reversible pulpitis was diagnosed, and a deep Class II temporary restoration was found (Fig. 2).

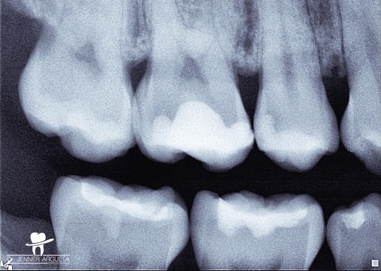
Fig. 2: Bitewing radiograph showing evidence of a deep restoration in tooth #16 at mesial level. Under-mineralised tissue was found close to the mesial pulp horn.

Fig. 2: Bitewing radiograph showing evidence of a deep restoration in tooth #16 at mesial level. Under-mineralised tissue was found close to the mesial pulp horn.

Fig. 3: Pulp exposure at the level of the cavity preparation floor with minimum haemorrhaging that was easy to stop.

Fig. 3: Pulp exposure at the level of the cavity preparation floor with minimum haemorrhaging that was easy to stop.

Fig. 4: Pulp tissue haemorrhaging stopped after disinfection with sodium hypochlorite.

Fig. 4: Pulp tissue haemorrhaging stopped after disinfection with sodium hypochlorite.

Fig. 5: Placing of CeraPutty (Meta Biomed) at the level of the exposed pulp.

Fig. 5: Placing of CeraPutty (Meta Biomed) at the level of the exposed pulp.

Full isolation was achieved using a dental dam and a stainless-steel clamp, and flowable dam (NexTemp LC, Meta Biomed) was placed around the clamp to prevent bacterial contamination of the area to be treated. The temporary restoration material was removed circumferentially from the crown towards the cervical margin to limit the movement of bacteria to the pulp tissue space in case of pulp exposure.9 The mesiobuccal pulp horn was exposed while removing the caries (Fig. 3). It is always advisable to explore the cavity preparation floor with an endodontic explorer, because smaller caries-exposed pulps may be overlooked.

In cases where there is haemorrhaging in the exposed pulp region, it is necessary to apply sustained pressure for 60–120 seconds with a cotton swab dampened with sterile saline solution,10 followed by disinfection of the cavity with sodium hypochlorite (Fig. 4). After this, a putty calcium silicate-based material (CeraPutty, Meta Biomed) was placed to directly cap the pulp (Fig. 5). A thin layer of calcium hydroxide-based light-polymerising material (Biner LC, Meta Biomed) was applied over the direct pulp capping material to protect it (Fig. 6). In this way, the restoration could be done in the same session,11 using composite resin with the oblique layer technique (Figs. 7 & 8) with the aim of minimising the contraction of the material.12

Fig. 6: Protection placed over the direct pulp capping material to speed up the restorative process, through the possibility of immediately applying the adhesive protocol.

Fig. 6: Protection placed over the direct pulp capping material to speed up the restorative process, through the possibility of immediately applying the adhesive protocol.

Fig. 7: Definitive adhesive restoration in tooth #16.

Fig. 7: Definitive adhesive restoration in tooth #16.

Fig. 8: The situation after the removal of the isolation and occlusal adjustment.

Fig. 8: The situation after the removal of the isolation and occlusal adjustment.

The quality of the definitive restoration and its close adaptation to the dentinal structure to prevent leaks are key factors in the long-term success of the procedure. Correct marginal adaptation and the continuity of the restoration with the dental tissue can be seen in the final radiograph of the procedure (Fig. 9).

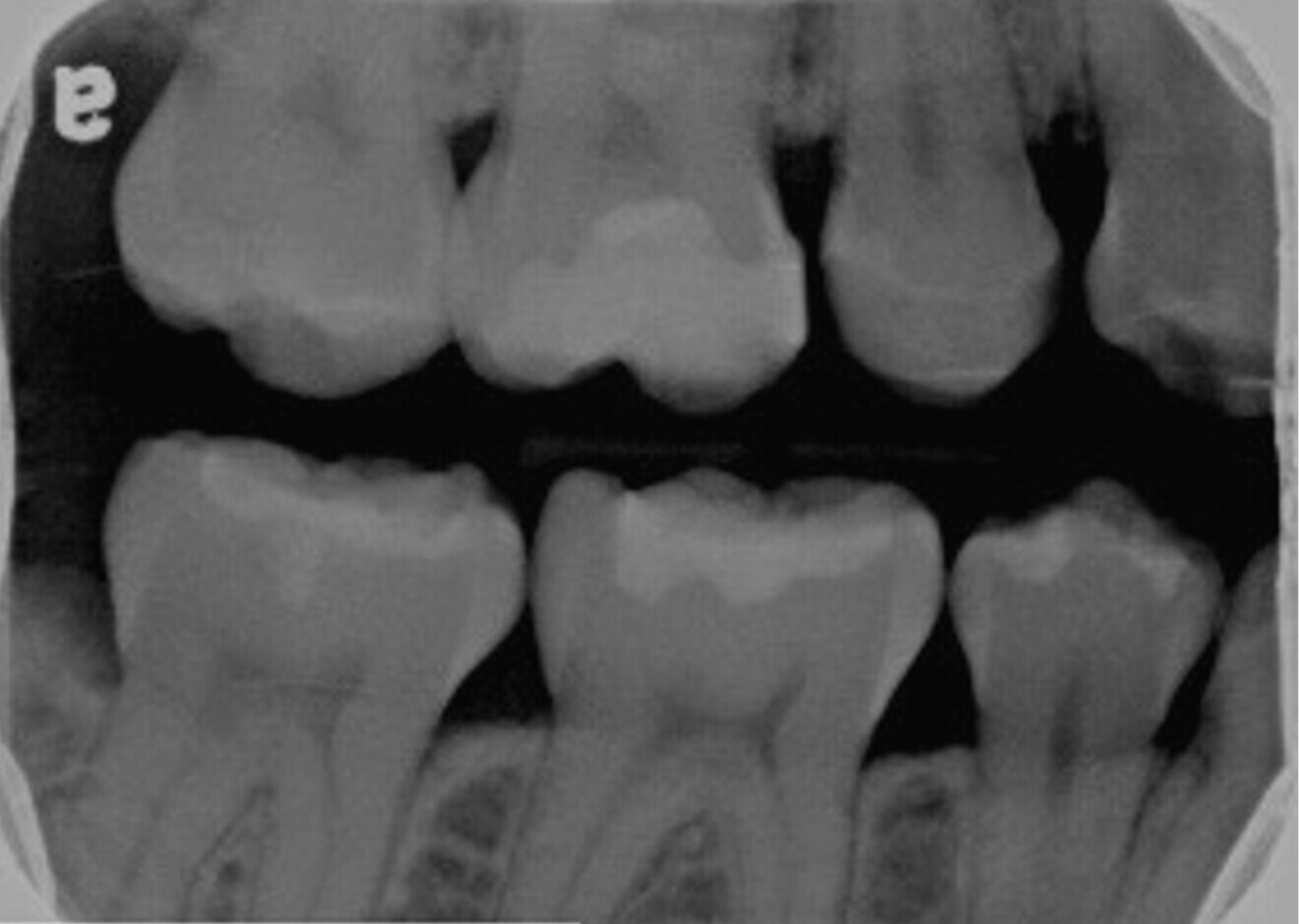
An assessment was made seven days after treatment to ensure that the patient was completely asymptomatic and responded to sensitivity tests in a normal manner. A normal pulp tissue response was obtained in all the tests. On follow-up after two years, mesial pulp horn retraction was observed (Fig. 10).

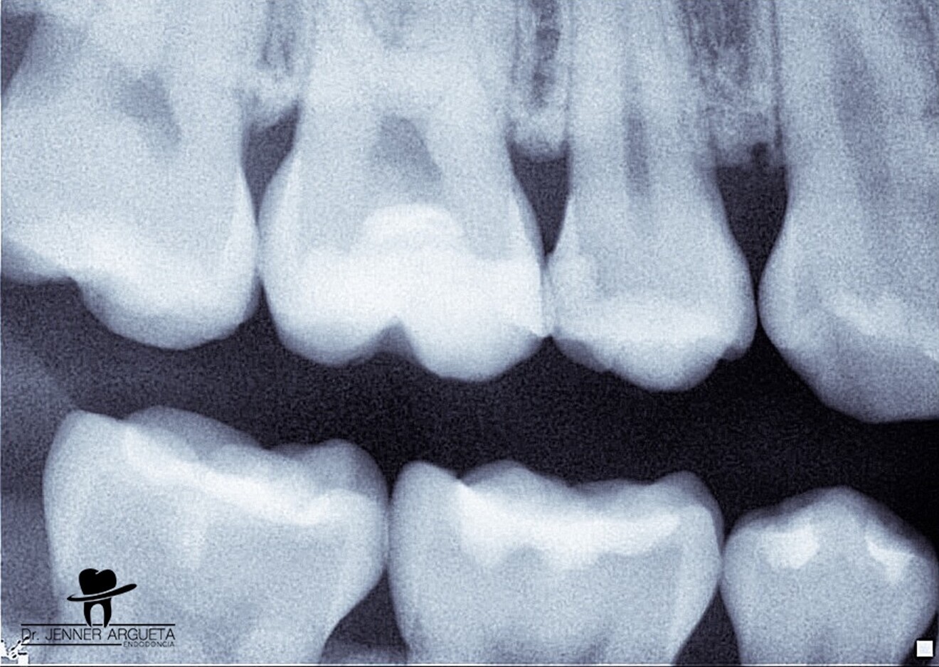
Fig. 9: Final bitewing radiograph of the vital pulp therapy procedure showing the different layers of materials used and the correct marginal adaptation.

Fig. 9: Final bitewing radiograph of the vital pulp therapy procedure showing the different layers of materials used and the correct marginal adaptation.

Fig. 10: Two-year follow-up bitewing radiograph showing retraction of the mesial pulp horn.

Fig. 10: Two-year follow-up bitewing radiograph showing retraction of the mesial pulp horn.

Materials used in VPT

Among the materials described for use in pulp therapy procedures, calcium hydroxide-based cements and bioceramics10 have been mentioned. The latter are biocompatible materials that are divided into three basic groups:

  1. high-resistance bio-inert cements;
  2. bioactive cements that create chemical bonds with mineralised tissue; and
  3. biodegradable materials that are actively involved in metabolic processes of the organism.13

There are many materials that can be used for VPT procedures, the best known being mineral trioxide aggregate (MTA) and the latest-generation calcium silicate-based cements, such as EndoSequence BC RRM, Biodentine and CeraPutty. All these materials belong to the bioactive cements group.

The new generation of calcium silicate-based materials with a putty consistency share the following properties with MTA: creation of alkaline pH in the area where they are placed, biocompatibility, antibacterial capacity, release of calcium and hydroxyl ions, good margin sealing properties and insolubility in oral fluids. One of the most appreciated advantages of these materials, such as the one used in this case, is that they do not alter the colour of the tooth structure.14–18 This last property makes them the materials of choice when it is necessary to perform treatments that involve the coronal and cervical zones, such as performing pulp capping, especially in anterior teeth.

Prognosis

Establishing the right diagnosis is essential for the success of VPT. An ideal scenario is one in which the tooth to be treated is diagnosed with reversible pulpitis.6 It is generally accepted that a history of spontaneous pain or nocturnal pain is associated with irreversible pulp inflammation.19, 20 In such cases, the success of direct pulp capping is in doubt,21 although some studies indicate that VPT can even be successful in such a situation.1, 22–24

For long-term success in VPT procedures, it is extremely important to give the tooth a definitive restoration that guarantees suitable margin sealing, because this factor, together with the absence of bacterial contamination during the procedure, is among the most important aspects to be taken into account to avoid pulp inflammation developing later.25, 26 The reported success rate for VPT using bioactive cements after a follow-up of up to ten years is higher than 85%,3, 27 a good percentage for a dental procedure over that length of time.

Conclusion

From a completely optimistic standpoint, the ultimate aim of any dentist when carrying out a restorative or endodontic procedure should be to maintain pulp vitality and functionality of the tooth with an absence of symptoms.28 Based on the results reported in a number of clinical research studies,1–5, 17, 18, 25, 29–31 we can conclude that VPT of teeth with reversible pulpitis is a highly effective treatment option for maintaining pulp vitality.

Editorial note:

The list of references can be viewed here. This article was published in roots—international magazine of endodontics No. 1, 2023 vol. 19issue 1/2023.

Tags:
To post a reply please login or register
advertisement
advertisement