Search Dental Tribune

News Mon. 27. June 2022
TePe’s business strategy is focused on integrated sustainability

MALMÖ, Sweden: On the occasion of EuroPerio10, which was held in Copenhagen in Denmark from 15 to 18 June, TePe held a party at its headquarters in Malmö ...

save
News Wed. 1. April 2020
BIOLASE begins shipping essential materials amid coronavirus shutdown

IRVINE, Calif., U.S.: Limited shipping activities have restarted at the California facility of medical device company BIOLASE, as its technology and ...

save
News Wed. 18. May 2016
Lateral maxillary incisor implant—Key issues for esthetic success Part II

Having discussed in the previous article (see editorial note), all of the preprosthetic stages for the replacement of a lateral maxillary incisor and having...

save
News Sun. 24. March 2013
Restoration of orofacial aesthetics: A new multidisciplinary concept

Since ancient times, humanity seems to focus on the characterization of aesthetics standards which modulate the individuals and make them being noted and ...

save
News Tue. 26. March 2019
Align takes another step forward in the clear aligner industry

COLOGNE, Germany: As technology in the field of clear aligners continues to improve, the prospective market too will increase. At IDS 2019, Align Technology...

save
advertisement
News Fri. 2. August 2019
Predictable guided implant placement for full-mouth reconstruction

When a patient presents to your dental practice with questionable and/or non-restorable teeth requiring full-mouth extractions, the greatest concern is ...

save
News Fri. 3. February 2017
MIS announces release of B+ implant surface

BAR-LEV, Israel: This March, MIS Implants Technologies is officially launching its latest in implant engineering, the B+ implant surface treatment, at the ...

save
News Fri. 1. April 2022
US military utilising 3D printing to deliver dental care on and off battlefield

SAN DIEGO, US: 3D printing is a powerful technology that the military has begun to apply across the board. Military physicians are now utilising the ...

save
News Wed. 27. March 2019
Poll reveals dentists have lost faith in the Dental Board of Australia

SYDNEY, Australia: The role health professionals play in society is a key one, so too is the role of the regulator. Recently, the Australian Dental ...

save
Prod Fri. 28. December 2012
Structur 3 temporary material: Nano-filled, quick-setting, strong

VOCO is introducing Structur 3, a new temporary crown-and-bridge material for the quick fabrication of strong and esthetic provisional crowns and bridges (short term and long term), inlays and onlays,...

save
News Mon. 25. May 2009
The age of digital imaging (Part 1)

Orthodontics is moving into the 21st century with digital and 3-D imaging. However, advancing one’s mindset and practice into the 21st century can be ...

save
advertisement
News Wed. 6. August 2025
Finnish study evaluates long-term outcomes of periodontal treatment

HELSINKI, Finland: The prevalence of adult periodontitis continues to pose a major global public health challenge, highlighting the need for evidence on the...

save
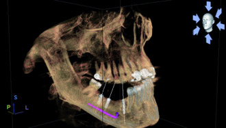
News Tue. 18. October 2016
The 3-D difference: CBCT diagnostics to enhance treatment—Part 1

3-D digital dentistry and the complete picture—We can’t treat what we can’t see. A widely used axiom in the dental imaging industry has ...

save
News Wed. 14. February 2018
Successful communication in your daily practice Part I: Grumbling patients

Imagine getting to your clinic every day and feeling confident that whatever happens to you, you will be able to resolve it. Resolve a problem easily—in a...

save
News Fri. 17. April 2020
The role of interdental cleaning for oral health, general health and quality of life

Recent research shows that oral health is an essential prerequisite for people’s well-being and quality of life. In order to reach the global goals for ...

save
News Mon. 15. June 2020
Pioneers at heart: 3Shape aims to become go-to resource for digital dental learning

Digitalisation is one of the most important trends that have reshaped dentistry in recent years. Copenhagen-based dental company 3Shape has been one of the ...

save
Prod Wed. 15. June 2011
Endo-Mate TC2

{{REQUEST}} ENDO-MATE TC2: Work Smarter and Safer with Freedom of Movement A large LCD, simple 5-key operation and a lightweight, cordless handpiece assure easy use even during the most delicate ...

save
advertisement
Prod Fri. 14. February 2025
Imagoworks – Dentbird Crown

Redefining AI in dental prosthetics

save
News Mon. 30. January 2012
The filter principle: Is every patient a finals patient?

You remember finals, don’t you? Of course you do. Your examiners carefully selected a patient(s) for you to examine and diagnose and for whom to ...

save
News Wed. 23. July 2025
Aligning the future: Growth and strategic shifts in aligner markets

BURNABY, British Columbia, Canada: Aligners have become a popular treatment modality for malocclusion in adults, owing to their convenience and aesthetic ...

save
advertisement