Search Dental Tribune

News Mon. 17. December 2018
Report highlights lack of access to dental care for the elderly

SYDNEY, Australia: The state of Australians’ oral health has been covered extensively down under for many years. As reported by Dental Tribune early in ...

save
News Wed. 1. June 2011
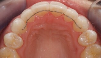
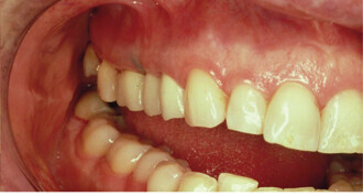
The Inman Aligner: Alignment, bleaching and bonding—A progressive approach to smile design (Part II)

The following article is Part II in a series discussing the use of the Inman Aligner as a tool for MICD.1 The first article (published in cosmetic dentistry...

save
News Mon. 26. November 2018
Exocad’s first international congress hailed a success

DARMSTADT, Germany: Dental software company exocad recently hosted its first international congress, exocad Insights. With over 550 attendees from more than...

save
News Tue. 24. May 2011
Revascularisation of the necrotic open apex

Two years ago, I was struggling to learn how to perform a good apical MTA plug. I used all the existing MTA carriers and absorbable barriers that I could ...

save
News Wed. 13. August 2025
Survey exposes systemic failings behind burn-out in dental teams

DUNDEE, Scotland: A landmark UK study has found that stress and burn-out across the dental workforce stem largely from systemic issues, particularly within ...

save
advertisement
News Mon. 15. June 2009
Cosmetic periodontal surgery: pre-prosthetic soft-tissue ridge augmentation (Part 1)

Dentists understand that patients demand outstanding esthetic, as well as physiological, results in all phases of dentistry today. This places an onus on ...

save
News Tue. 14. December 2021
Rapid Shape evaluates medical device applications in bioresorbable 3D-printing resins

HEIMSHEIM, Germany/BIRMINGHAM, UK: Rapid Shape is evaluating a partnership between its vat polymerisation 3D-printing technology and a new class of ...

save
News Wed. 2. August 2017
Interview: Animal-assisted therapy lowers stress levels

SANTIAGO, Chile: After receiving an increase in requests for dental treatments for children with disabilities, the Universidad de los Andes, Santiago, ...

save
News Tue. 7. May 2024
E-scooters: A new source of dental trauma

BIRMINGHAM, UK: Since their introduction a few years ago, electric scooters have continued to gain popularity in urban mobility worldwide. Alongside this ...

save
Prod Tue. 3. August 2021
Biolase – WATERLASE EXPRESS

The Fast Way to Grow Your Practice!

save
Prod Mon. 11. July 2011
Nobel Biocare – NobelReplace Conical Connection

Proven performance, enhanced esthetics. The original tapered implant with a tight sealed connection and platform shifting for natural looking esthetics.1

save
advertisement
News Thu. 6. April 2017
Essential communication: The use of technology for virtual patient records

Records are an essential and integral component of diagnosis and treatment planning.[1] Moreover, the acquisition of records allows the required ...

save
News Thu. 19. February 2009
Biomechanics in the orthodontic treatment of complex multidisciplinary problems

In recent years, the purview of orthodontics has grown to include an increasing number of adult patients, many of whom present with complex malocclusions ...

save
News Thu. 29. July 2021
Interview: “This could be the beginning of a new way we do local dentistry”

Fiona Perry, from Perthshire in Scotland, started her journey in dentistry as a dental nurse in the early 1980s, and a couple of years later, she qualified ...

save
News Thu. 27. January 2022
New Zealand’s oral health crisis rages on

WELLINGTON, New Zealand: In New Zealand, a trip to the dentist is a significant expense for many middle-income earners and one that is put off for as long ...

save
News Wed. 25. December 2024
Dental health identified as major predictor of preterm birth

SEOUL, South Korea: Identifying risk factors for preterm birth (PTB) is crucial for enabling healthcare providers, parents and policymakers to make informed...

save
Prod Thu. 22. April 2021
Shinseki – ChamLion (PFM) & ChamTiger (Partial framework)

Metal Powders for 3D Printer

save
advertisement
News Mon. 27. May 2019
Edelweiss PEDIATRIC CROWNs: A new and innovative approach to restoring primary teeth

The management of dental caries in children is necessary because caries is a progressive disease which can eventually damage the tooth and can be ...

save
News Wed. 14. March 2018
Google unveils new cloud-based health care application

LAS VEGAS, U.S.: As more technical areas of dentistry become digitalized, so too is the way in which patient data is used. Looking to address some of the ...

save
News Tue. 24. May 2016
A short history of the NiTi file revolution

Nowhere in dentistry is technical progress as rapid as it is in modern endodontics. The development of flexible nickel-titanium (NiTi) files in the late ...

save
advertisement