Search Dental Tribune

Company Wed. 3. February 2010
FKG Dentaire

  Founded in Switzerland in 1931, FKG Dentaire gained a new momentum in 1994, when the Rouiller family took over the reins of the company. The family propelled FKG to the forefront in the ...

save
News Tue. 26. January 2010
An evidence-based endodontic implant algorithm; untying the Gordian Knot

Over the years, endodontics has diminished itself by enabling the presumption that it is comprised of a narrowly defined service mix; root canal therapy ...

save
News Thu. 21. June 2018
EFP welcomes visitors to EuroPerio9 in style

AMSTERDAM, Netherlands: With an entertaining mix of performance and pageantry, the ninth edition of EuroPerio was officially opened on Wednesday at the RAI ...

save
News Tue. 3. December 2019
Cost-savings for dental tourists in Hungary are increasing

BUDAPEST, Hungary: For thousands of Europeans, the cost of dental treatment in their home countries is enough to send them packing. Hungary is a major ...

save
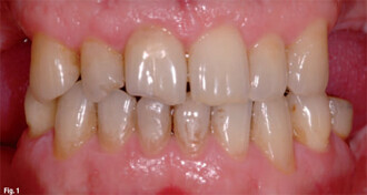
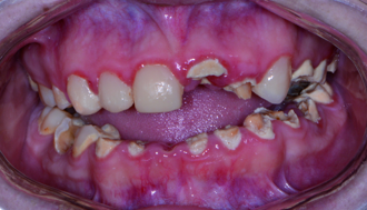
News Tue. 5. May 2009
Fixed prosthodontic management of a mutilated dentition: A team approach

Successful full mouth fixed rehabilitation of a mutilated dentition is always a prosthodontic and surgical challenge. Accurate diagnosis, proper treatment ...

save
advertisement
News Mon. 27. January 2025
MiCD Fiber Filling: 4R protocol and applications

Minimally invasive cosmetic dentistry (MiCD), also known as “do no harm” dentistry, focuses on preserving the natural tooth structure while achieving ...

save
News Wed. 14. February 2018
Photodamage of dental pulpa stem cells during 700 fs laser exposure

Material and methods Cells Human stem cells from the dental pulp of adults (given by S. Gronthos, NIH, Bethesda, USA) were cultivated in α-modified ...

save
Prod Mon. 27. January 2025
Straumann – iEXCEL

Versatility, simplicity and digital integration

save
News Thu. 29. August 2019
Interview: “There is constant innovation in the area of whitening”

Tooth whitening treatments are of increasing importance in general dental offices and patients’ expectations of their family dentist are rising, as more ...

save
News Thu. 7. January 2021
Five steps to practicing pain-free dentistry

PORTLAND, Ore., U.S.: Research shows that 75% of dental professionals complain of musculoskeletal pain, and now the COVID-19 pandemic is adding to the ...

save
News Fri. 17. July 2020
Endocrowns: Study reviews success and survival rates

JEDDAH, Saudi Arabia: Endocrowns provide an alternative approach to restoring extensively damaged endodontically treated teeth. However, owing to a lack of ...

save
advertisement
News Tue. 14. May 2019
Researchers detect lead contamination in children’s primary teeth

LOS ANGELES, U.S.: Researchers have recently examined shed primary teeth of children living near the Exide Technologies plant in Verona, California. Two ...

save
News Tue. 4. April 2017
Replacing a failing dentition with new technology

Having the ability to take a patient from start to finish in a fewer amount of appointments within your practice allows you to position yourself as a ...

save
Prod Wed. 31. January 2024
Andrew Medical – Type K

Andrew Medical’s implants use a revolutionary dental implant technology utilising laser-fused titanium powder to create implants with a 3D surface that closely mimics natural bone structure, ...

save
News Fri. 3. April 2020
How to attract new patients by offering ceramic dental implants

The demand for ceramic implants is steadily increasing. In a forthcoming webinar, on Wednesday, 8 April, Dr Joan Pi-Anfruns will explain how dentists can ...

save
News Wed. 23. June 2021
Key learning from first pan-European dental hygienist webinar

STOCKHOLM, Sweden: The European Dental Hygienists Federation (EDHF) held a webinar on 9 June that focused on two topics: understanding and supporting oral ...

save
News Mon. 26. August 2019
Dentures discovered in larynx days after general anaesthetic

GREAT YARMOUTH, UK: Dentures need to be taken out before a general anaesthetic is administered, doctors have warned after a 72-year-old man’s dentures ...

save
advertisement
News Fri. 2. October 2015
Implant planning affects periimplant diseases: A time shift link

Implants are becoming increasingly popular with low-cost offers promoting this development. The number of customers preferring implants to customary ...

save
News Wed. 18. February 2009
A simple, esthetic & inexpensive technique for a custom implant abutment

In implant reconstruction, the dimension from the implant platform to the crest of tissue, especially in esthetically critical areas, is often more than 2 ...

save
News Wed. 21. December 2022
Researchers suggest their 3D-printed veneers are the future

MOSCOW, Russia: Researchers from Austria, Germany and Russia have collaborated in successfully using lithography-based ceramic manufacturing (LCM), a form ...

save
advertisement