Having the ability to take a patient from start to finish in a fewer amount of appointments within your practice allows you to position yourself as a provider that can fulfill your patient's surgical and restorative needs. With the proper training, a dental provider may provide extraction, grafting and implant placement within one appointment at one location. Not only does this allow you to reduce the amount of visits for the patient, but this type of service also helps maintain the cost to the patient since they are not seeing multiple dental providers. Most importantly, this enables the dental provider full control of the surgical and prosthetic outcome. Depending on the patient's desires, the clinical conditions of the oral environment present and the skills of the provider, a dentist may choose to extract teeth, level bone, and graft with guided dental implant placement within his/her dental practice.
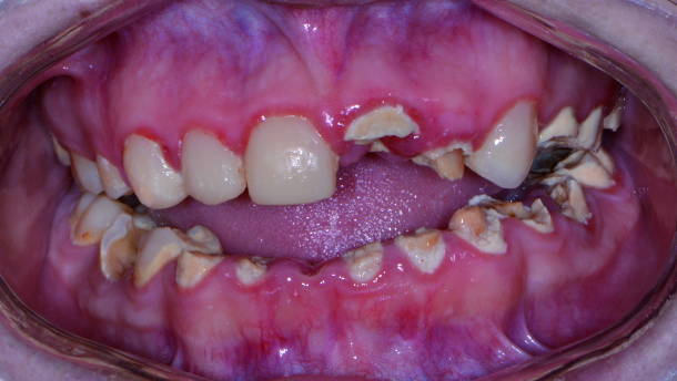
A patient presented to my practice for a consultation wanting to restore her smile (Fig. 1). She complained of generalised discomfort in her entire dentition; probably due to the rampant caries and infection that was already present (Figs. 2–5). Having already visited multiple providers for an evaluation, she was very frustrated with conflicting treatment options offered. Either the suggested treatment would require multiple surgical and restorative visits that would extend for a very long time or dental treatment would require a team approach where little coordination by dentist and specialist was communicated to the patient. Since many of these options did not appeal to her, the patient decided to have me provide comprehensive treatment that would include extractions, bone leveling, grafting, dental implant placement, immediate provisionalisation and prosthetic rehabilitation within my own practice.
embedImagecenter("Imagecenter_1_2766",2766, "large");
When presenting cases like this to my patients, I will always use the Dine Digital Solution camera (Lester A. Dine). Not only is this camera small, light and waterproof, it also is very effective and clear in taking close-up photos as well as full face shots. Additionally, I will always offer my patients a third party payment option like the Lending Club (San Francisco, CA) for their treatment. Lending Club Patient Solutions provides patients great funding flexibility with very low rates and high approvals. Most of all, the support from their staff has been very professional.
Planning
A CBCT scan was taken to accurately treatment plan this case to make certain that no complications would arise from doing all the procedures (extract, graft and implant placement) within one visit. Since her entire dentition had rampant caries present, her treatment would require extracting teeth #2–15 and #18–31, as well as the impacted third molars (teeth #1, 16, 17, 32) to avoid any further complications in the future.
To further develop a treatment plan, diagnostic models were forwarded to the dental lab and mounted on the articulator for further analysis in order to meet the patient’s aesthetic and functional needs. Instructions for a virtual wax-up were prescribed for increasing the patient’s vertical dimension due to a collapse in her bite from the severe wear in her dentition.
As a result of the information gathered from merging the CBCT information with the STML files of the virtual wax-up, it was determined that aesthetics and function could be enhanced by restoring the patient’s entire maxillary and mandibular arches with implant supported restorations. All risks, benefits and alternatives of various treatment options were reviewed with the patient including dentures, over dentures and fixed restorations. Her treatment plan of choice would consist of screw retained fixed zirconia restorations in the upper and lower arches supported by six implants each.
With the combination of their corkscrew thread, built-in platform switching and apical design, the ET III SA (Hiossen) implant system was utilised in this particular case. According to the manufacturer, the enhanced SA (sand blasted and acid etched) surface of this implant has shown a substantial quickening of gene expression, cell differentiation and proliferation that are essential to osseointegration meaning faster bone healing and earlier loading times. Other dental implant systems in the market with high initial stability may include but are not limited to; Biomedical Engage (OCO), Nobel Active (Nobel Biocare), Seven (MIS), I5 (AB Dental USA), Conus 12 (Blue Sky Bio) and Any- Ridge (Megagen).
Not only was the type and size of the implant selected because of CBCT planning, but also its relationship to the planned restoration and its proximity to vital structures determined before performing the surgery. Guided bone leveling, as well as immediate implant placement, would be accomplished at the surgical appointment by using CT-based bone leveling and implant drilling guides. Additionally, prefabricated screw-retained fixed provisional restorations would be directly picked up with acrylic over dental implants in the maxilla and mandible in the key implant positions if adequate fixation was acquired.
When performing this many procedures in one visit, I will utilise IV sedation to make the procedure more efficient and comfortable for the patient as well as for myself. Since the patient is sedated, a mouth prop, Logibloc (Common Sense Dental Products), is used to keep her mouth open. Logibloc’s unique design stabilizes and comfortably supports the jaw while allowing unrestricted visual and physical access to the working area for the provider.
Once the patient was completely sedated and anaesthetised, the teeth were extracted in a systematic manner, working in sections at a time starting from the anterior maxillary teeth. Acting like a modified class I lever, the Physics Forceps (Golden Dental Solutions) were used to atraumatically extract the teeth with the goal of trying not to disturb the underlying bone. The beak of the forceps was placed on the lingual cervical portion of each tooth, where the soft bumper portion was placed on the buccal alveolar ridge at the approximate location of the mucogingival junction. During the extraction process, the beak grasps the tooth and the bumper acts as the fulcrum. Extractions were accomplished with only slight wrist action in a buccal direction taking about 40 to 60 seconds each depending on the tooth morphology and density of bone.
Once all the maxillary teeth were extracted, the alveolar crest was leveled 2–3 mm apically following the parameters set by the bone leveling guide with the AEU-7000 surgical motor/handpiece (Aseptico), so that the patient’s transition line from the ridge to the prosthesis would not be visible when the patient smiled. Once completed, the surgical drilling guide was inserted and the sites for the implants were initiated with the Hiossen-Osstem Guided kit (Fig. 6).
In the upper arch, six 4.0 mm diameter ET III SA dental implants were placed in the areas of teeth #4, 6, 8, 9, 11 and 13 to support an All on Six restoration. The most distal implants were angled in order to avoid the maxillary sinus cavities and any augmentation in that area. In the lower arch, several different widths (3.5, 4.5 and 5.0 mm) of the ET III SA dental implants were used due to various widths of bone available in the remaining ridge. Here, the tooth areas that would have dental implant placement included #19, 22, 23, 25, 27 and 30.
A baseline ISQ reading was taken of these implants utilising the Osstell ISQ unit. Since the initial readings were all above 65 and the quality of bone after leveling was good, temporary Cylinders (Hiossen) were placed on the multiunit abutments (Hiossen) for immediate provisionalisation. Any residual areas around the implants or in the sockets were grafted with a putty blend of cortical mineralised and demineralised bone grafting material to optimise the area for regeneration. Primary closure was achieved by suturing the tissue with resorbable sutures.
The immediate provisional restoration was tried in to insure a passive fit over the temporary abutments (Fig. 7). Once confirmed, block-out material was placed to avoid the restoration from locking on and chairside hard denture reline material (Rebase II, Tokuyama) placed within recesses around the temporary abutments to pick up the restoration. After the material completely set, the immediate provisional restoration was removed and any access material trimmed and polished with the Torque Plus (Aseptico) lab handpiece and acrylic bur (Komet). A similar series of steps was utilised for the mandibular arch. In fact, the ISQ values were even higher due to the type and quality of bone present in the patient’s mandible. At this point, a Panorex was taken to confirm the placement and position of the dental implants with their corresponding multi-unit abutments and temporary cylinders.
Seven days postoperatively the patient returned with very little discomfort, swelling, or bruising. She was very pleased with her fixed provisional restorations (Fig. 8). Now that the patient was no longer anaesthetised, the occlusion was checked again to confirm there were no interferences in lateral and protrusive movements. The next step in her treatment would consist of impressions for the definitive upper and lower restorations approximately 4 to 5 months postoperatively.
Approximately 16 weeks after implant placement, the patient returned for the prosthetic phase of her treatment. The gingival tissue around the implants looked healthy, so the healing caps were removed and the implants evaluated. Each implant was tested with the Osstell ISQ (Osstell, Linthicum, Md.) implant stability meter. Since the ISQ readings were all very high (above 75), impression posts (Hiossen) were inserted on the multi-unit abutments.
Since all the dental implants were well integrated, impressions were taken for the definitive restorations. For both arches, impressions were taken using Instant Custom C&B Trays (Goodfit) with a heavy and light body vinylpolysiloxane impression material (Take 1 Advanced, Kerr).
Bite relations was accomplished by picking up clear duplicates of the provisional restorations (Fig. 9). Instructions for size shape and color for the definitive restorations was forwarded to the dental laboratory and any changes indicated easily communicated to the dental laboratory technician.
A FP3 prosthesis would be fabricated for the patient’s upper and lower restorations. The pink gingival areas of this prosthesis type were needed to reconstitute the maxillary and mandibular tissue contours, as substantial bone leveling was required to even out the patient’s smile.
With improvements in materials and advancements in CAD/CAM technology (Fig. 10), full-arch prostheses can now be precisely milled from monolithic zirconia, offering aesthetics and functionality with the added benefit of long-term durability. Exhibiting exceptional fracture toughness and flexural strength, Zenostar zirconia has the ability to withstand the functional stresses that full-arch implant restorations are subject to over time.
Unlike hybrid dentures, the entire body of the Zenostar Implant Prosthesis (Arrowhead Dental Lab) including the gingival and tooth areas is constructed from the same robust material. The strength and durability offered by Zenostar is complemented by lifelike aesthetics and excellent translucency. The teeth of the prosthesis exhibit colour that is very similar to natural dentition, and advanced staining techniques are used to establish gingival areas that blend well with the patient’s soft tissue.
Within three weeks, the definitive maxillary and mandibular restorations were delivered from the dental lab (Fig. 11). Utilising a right angle prosthetic driver, both provisionals were removed and the definitive restorations inserted (Figs. 12 & 13). Care was given to torque the retention screws according to the manufacturer’s recommendations. A Panorex X-ray was taken to verify the restorations were completely seated. Once confirmed, a piece of Teflon tape was placed followed by composite material (Figs. 14 & 15).
The occlusion was checked and verified with the T-Scan (Tekscan) to make sure that all the proper points of contact were in their ideal positions to ensure longevity of the reconstruction. The patient no longer experienced pain and was very pleased with her new enhanced ‘whiter’ smile (Fig. 16).
Conclusion
Computer generated 3-D virtual treatment plans allow the dental provider or team to accurately place dental implants efficiently and effectively. With a variety of different software and associated surgical instrumentation available, dental implant diagnosis and treatment has become more simplified. This development has created an interdisciplinary environment in which better communication and precise execution leads to better patient care and outcomes.
Editorial note: This article was published in CAD/CAM international magazine of digital dentistry No. 01/2017.
Many clinicians have experienced the frustration of being unable to anaesthetise a patient sufficiently despite trying various approaches or using a ...
WELLINGTON, New Zealand: Public health experts were taken by surprise when New Zealand’s new government announced that it would repeal the country’s ...
Successful immediate implant placement associated with immediate loading remains one of the greatest clinical challenges. In addition to the placement of an...
Successful full mouth fixed rehabilitation of a mutilated dentition is always a prosthodontic and surgical challenge. Accurate diagnosis, proper treatment ...
COLOGNE, Germany: Neoss has strengthened its presence in Switzerland by entering into a new distribution partnership with local company Kaladent. The latter...
Placing an implant immediately after tooth extraction offers several advantages, including a reduced treatment time, fewer surgical sessions, possibility of...
TEMPE, Ariz., US: Align Technology has introduced a new digital tool that uses advanced algorithms to provide in-face visualisation of a patient’s ...
NEW YORK, U.S.: According to the Autism Society of America, more than 3.5 million Americans have some form of autism spectrum disorder. With prevalence of ...
OPORTO, Portugal: Align Technology has announced a new collaboration with the European Aligner Society (EAS) at the society’s summer meeting that is ...
Broken file management is one of the most challenging parts of endodontic treatment. Regardless of whether the clinician is faced with a retreatment ...
Live webinar
Sun. 3 May 2026
12:00 pm EST (New York)
Dr. Rickard Brånemark MSc, MD, PhD, Dr. Robert Gottlander DDS
Live webinar
Sun. 3 May 2026
8:00 pm EST (New York)
Live webinar
Tue. 5 May 2026
10:00 am EST (New York)
Live webinar
Tue. 5 May 2026
12:00 pm EST (New York)
Live webinar
Tue. 5 May 2026
1:00 pm EST (New York)
Dr. Maximilian Dobbertin M.Sc
Live webinar
Tue. 5 May 2026
3:00 pm EST (New York)
Live webinar
Wed. 6 May 2026
1:00 pm EST (New York)
To post a reply please login or register