The predictability of dental implant osseointegration has enabled clinicians and researchers to focus on additional success criteria in the overall treatment.[1] Initial assessments of implant therapy considered survival rates, restoration stability, detectable bone loss and presence of soft-tissue infection.[1,2] As implant dentistry advanced, it was necessary to introduce new assessment points in order to broaden the understanding of favourable outcomes and pending failures. These included aesthetics, evaluated by both patients subjectively and clinicians objectively. A more patient-centred approach has led to a better insight into patient satisfaction, which was often overlooked in the past.
It was intriguing to discover that studies including a higher number of success parameters consistently reported lower success rates.[3] However, regardless of failure-indicating parameters being either subjective or objective, their culprits often lie in bacterial colonisation and detrimental force distribution.[4] Their interdependence becomes apparent when the biofilm-induced inflammation is further aggravated by high stresses and strains in the surrounding bone, leading to peri-implant tissue breakdown.
Taking into consideration the refined success outcomes, a greater need for clinicians to revise and upgrade their core implant knowledge exists. Therefore, in order to minimise functional complications in a loaded implant-borne restoration, a thorough understanding of both the pathological processes (peri-implant mucositis and peri-implantitis) and implant biomechanics is needed.
This article will review the core biomechanical considerations for implant placement in demanding conditions and demonstrate these principles on GC Aadva Standard implants (GC Tech.Europe, Germany).
Implant biomechanics
Load distribution of natural teeth depends on the periodontal ligament-dependent micro-movements. As opposed to this, osseointegrated implants behave differently, owing to their rigid connection with the surrounding bone.[5] The lack of periodontal ligament on an implant means the absence of an interposed absorbing layer that would normally diminish the occlusal impact to the bone and adapt to different types of loading.
Fig. 1: Implant positioning should be as parallel as possible with regard to the future occlusal plane.
Fig. 2: Placement of four GC Aadva implants in the interforaminal region.
Fig. 3: Preoperative finding in a pneumatised lateral maxilla.
Fig. 4: Superimposing the pneumatised sinus floor CBCT scan over the surgical area.
Fig. 5: Lateral window access to the maxillary sinus.
Fig. 6: Facilitation of Schneiderian membrane elevation with a collagenous fleece.
Fig. 7: Placement of a GC Aadva Standard 3.3 x 12.0 mm implant in the premolar region after the sinus graft.
Fig. 8: Placement of a GC Aadva Standard 4.0 x 10.0 mm implant in the molar region.
Fig. 9: Covering the access window with an absorbable collagenous membrane.
Fig. 10: Wound closure with monofilament sutures.
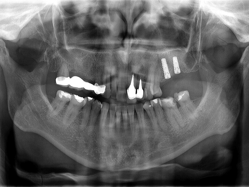
Fig. 11: Panoramic finding after six months of uneventful healing.
Fig. 12: Splinted, screw-retained metal-ceramic restoration for better load transfer.
Fig. 13: CBCT reconstruction of a deficient ridge in the lateral mandible.
Fig. 14: Preoperative intraoral finding in the atrophic posterior mandible.
Fig. 15: Combination of full- and partial-thickness flap elevation.
Fig. 16: Mandibular ridge splitting with vertical cuts.
Fig. 17: Creation of space in between the buccal and lingual lamina with the intact attached periosteum on the buccal.
Fig. 18: Placement of two GC Aadva Standard implants with regard to the future restorative margins.
Fig. 19: Bone defect filled with xenograft and covered with an absorbable collagenous membrane.
Fig. 20: Wound closure with monofilament sutures.
Upon axial loading of a natural tooth, an apical movement of approximately 25–100 μm is possible, whereas in an integrated implant, the movement is no greater than 3–5 μm, and for the most part depends on bone elasticity. [6] In natural teeth, lateral forces are dissipated quickly at a region further away from the alveolar crest, towards the root apex. This happens owing to the sudden movement of approximately 56–108 μm while rotating around the apical third of the root.[7,8]
With implants that is not the case. The implant movements occur gradually, reaching a maximum of 10–50 μm when loaded with a similar lateral force. The rotation does not take place in the apical third of the implant; rather, it happens around the very tip of the alveolar crest. Therefore, the highest stress and strain in a loaded implant occurs in the crestal part of the peri-implant bone.[9] When the implant-to-bone interface is overloaded, a micro- strain-induced crestal bone resorption can occur.[10] This may add to a pre-existing implant pathology or facilitate the occurrence of a peri-implant disease. Load transfer management depends on the nature of the force applied and the contact surface distributing the forces to the bone. The bone is the most resilient to pressure and the least resilient to shear forces.[11]
Both macroscopic and microscopic properties of an implant body are important in their clinical performance. The microscopic component is very important in the initial healing phase and early loading period. Surface treatment (e. g. sandblasting and acid-etching) increases the bone-to-implant contact by multiple times and facilitates healing.[12] The macroscopic design is responsible for both early and delayed loading. Smooth surfaces on implant bodies increase the risk of bone loss because of non-adequate force transfer. These surfaces easily cause shear forces when loaded with masticatory forces.[13]
Contemporary threaded implants have the capability to transform non-axial loading into a more favourable axial pressure force to the bone. When comparing implant designs, cylindrical implants have a greater functional surface for the load transfer to the bone than conical ones do. In such tapered implants, greater stresses are exhibited in the crestal bone. Biomechanical stress can be diminished with the correct choice of implant design, diameter, length and abutment and by thorough patient assessment.[14–16]
Studies on implant biomechanics have established numerous important facts for clinicians and manufacturers. Load distribution has been shown to be directly related to implant size and shape.[17,18] Implant width has a significant impact on bone-to-implant contact surface. For each millimetre of increase in implant diameter, the contact surface becomes larger by 30 to 200 per cent, depending on implant design.[17]
Since the functional surface is considered the most important of all the design factors, one can conclude that the diameter of a loaded implant can greatly influence alveolar crest remodelling. Wide-diameter implants (up to 6.0 mm) have three and a half times greater bone stress reduction compared with narrow diameter implants (3.5 mm). The greatest stress reduction is noted when increasing the implant diameter from 3.6 to 4.2 mm. The next stress reduction, between 4.2 and 5.0 mm is half the previous amount. Furthermore, implant length, contrary to common belief, influences the functional surface less. A 10-mm cylindrical implant has about a 30 per cent greater surface than a 7-mm implant does and a 20 per cent smaller surface than a 13-mm implant.[19] Analyses have shown that a loaded implant has the highest stress exhibited in the coronal 40 per cent of the implant-to-bone interface.[17,20,21]
Maintaining a favourable load distribution is not only beneficial for the implant-to-bone interface. Implant design plays a major role in the deformations occurring in the implant-to-abutment assembly itself.[22] The mechanical complications include abutment screw loosening, screw fractures, abutment fractures and, rarely, implant body fractures.[23,24]
Regarding the occlusion-related factors, it is important to note that the implant placement should be precise and prosthodontically driven, bearing in mind the biomechanics of the final restoration. This means minimising the adverse leverage loads by centring implants in the mesiodistal plane, placing them perpendicular to the occlusal plane, choosing key implant positions and avoiding cantilevers (Figs. 1 & 2).[24] Moreover, the occlusion must be well-balanced with particular regard to patients with high masticatory forces and parafunctional habits.
Implant applied biomechanics
The aforementioned biomechanically significant properties can be demonstrated on the basis of a GC Aadva Standard implant. This implant is made from Grade 5 titanium alloy (Ti-6Al-4V). The properties of the Grade 5 alloy have been proven mechanically advantageous, with its strength being significantly higher than in commercially pure titanium implants.[25] In vitro results suggest that this implant is less prone to implant body fractures and could sustain higher masticatory forces.
This could be the reason that the manufacturer does not contra-indicate the use of a narrow-diameter (3.3 mm) implant in premolar sites. However, the authors advise exercising caution in such applications and splinting the final restoration to another regular-platform implant. Although the narrow implant itself may withstand higher masticatory forces than usual, the loading of narrow implants in general can cause less than ideal force distribution to the surrounding bone, as has already been mentioned. If placed as a single-implant restoration, a 4 mm diameter implant would be preferred for the premolar region. Available diameters are 3.3, 4.0 and 5.0 mm, with lengths ranging from 6.0 to 14.0 mm.
Another design trait of the regular GC Tech implant is the cylindrical implant body with slightly tapered threads towards the apex. The threaded cylindrical body is shaped to re-route and resist non-axial forces, while the discrete taper enables clinicians aiming for a more pronounced primary stability to achieve higher insertion torques. The surface is treated by sandblasting and acid-etching in an unconventional manner—there are three different surface regions, each with its own roughness, which may facilitate osseointegration in the respective bone compartments. Micro-threading in the neck area is beneficial for load transfer in the cortical part of the crest.
Furthermore, this implant has a conical connection and an internal hex as an anti-rotational feature. The two are commonly used by implant manufacturers to diminish the micro-movements and micro-gaps at the implant-to-abutment interface. These detrimental occurrences can lead to bacterial colonisation with a “pumping effect”[26], screw loosening and breakages, as well as abutment fractures.
Implants with conical abutment connections seal well and provide better abutment fit and stability.[27] Zipprich et al. investigated the dynamics of micro-gaps and micro-movements of numerous brands and implant designs.[28] The results showed that the implants with precision conical connections (Ankylos and Astra Tech, Dentsply Sirona) performed superiorly to others and exhibited no measurable micro-movements and micro-gaps. A follow-up of that research indicated that the GC Aadva Standard implant also belonged to that group, showing no relevant micro-gap upon loading under the same conditions.[29]
Application in demanding cases
In the following cases, we will demonstrate the use of GC Aadva Standard implants in biomechanically unfavourable conditions.
The highest load-bearing positions are posterior regions of the jaws. Posterior maxillary bone presents the highest risk for implant longevity. Owing to its spongious structure, the bone-to-implant contact in that region is the lowest in the mouth. Moreover, as it is prone to resorptive processes on the oral side, it is also prone to pneumatisation from the maxillary sinus side. In our clinical work, we often see maxillary sinuses reaching the alveolar crests, leaving little subantral bone for implant placement. The standard clinical approach in such cases is performing subantral grafts—sinus lifts.
Case 1
An example of the solving of such a case is shown in Figures 3 to 12. This case reports a middle-aged woman who had lost her natural teeth in the lateral maxilla owing to dental caries many years before. She was a non-smoker, performed good oral hygiene and had no history of periodontal disease or health related issues. The atrophic posterior maxilla was further weakened from the inner side by sinus pneumatisation, which prevented conventional implant placement.
Therefore, we decided to perform a sinus lift by a lateral-wall approach. The Schneiderian membrane was elevated and protected with a collagenous high-density fleece (PARASORB Fleece Genta HD, RESORBA) to allow the placement of a xenogeneic bone graft in the subantral area (Figs. 3–6). Two GC Aadva Standard implants, one of 3.3 mm in diameter and 12.0 mm in length and the other of 4.0 mm in diameter and 10.0 mm in length, were respectively placed in the premolar and molar regions (Figs. 7 & 8). The access window was covered with an absorbable collagenous membrane (PARASORB RESODONT Forte, RESORBA) and the flap was sutured with a polyvinylidene fluoride (PVDF) monofilament suture (RESOPREN 6/0, RESORBA; Figs. 9 & 10).
After the uneventful integration period of six months, the implants were restored with a splinted, screw-retained metal ceramic restoration (Figs. 11 & 12). This was done to minimise the stress in both the peri-implant bone area and on the implants themselves, all according to the previously discussed biomechanical facts.
Case 2
The lateral mandible is also a region of special biomechanical concern. While its structure is often beneficial for good implant stability and bone-to-implant contact surface, the anatomical landmarks and resorptive processes often impede conventional implant insertion. The inferior alveolar nerve, mental nerve and lingual notches are just some of the anatomical concerns.
It is not rarely seen that extensive horizontal and vertical resorption dictate augmentative procedures in this area. If the vertical bone dimension proves adequate and the future restorative margins lie in a favourable position with regard to the remaining crest, it is possible to predictably augment the bone and place the implants simultaneously by utilising ridge-splitting techniques. Otherwise, the use of guided bone regeneration, cortical shells, block grafts and other approaches is advisable to gain additional bone volume.
A demonstration of this technique is shown in Figures 13 to 20. This case presents an elderly woman who had lost her teeth in the lateral mandible decades ago. Being a healthy non-smoker with good oral hygiene, no history of periodontal disease and low masticatory forces, she was an adequate candidate for bone grafting together with implant placement. The future restorative margins allowed the usage of ridge splitting (Figs. 13 & 14). Therefore, we opted for a ridge split with vertical releases carried out utilising a partial-thickness flap. The periosteum was left attached in order not to impede the perfusion of the buccal plate (Fig. 15). After ridge splitting, the buccal and lingual plates were separated with the use of bone spreaders (Split-Control Plus, Meisinger) to allow the placement of two GC Aadva Standard implants, one of 3.3 mm in diameter and 8.0 mm in length and the other measuring 4.0 mm in diameter and 8.0 mm in length (Figs. 16–18).
The bone void was filled with a xenogeneic bone graft and covered with an absorbable collagenous membrane (Fig. 19). Closure was obtained by the use of a PVDF monofilament suture (RESOPREN 6/0; Fig. 20). Healing was uneventful and the final prosthodontic restoration was a premolar and molar splinted together for a more beneficial load transfer to the surrounding bone.
Conclusion
Understanding biomechanical concepts in implant dentistry is essential for the longevity of implants and their respective restorations. Patient-related factors, implant and restoration design, and implant placement itself influence the load transfer of the future assembly.
A quality implant selection will add to the long-term predictability of demanding procedures, as the implant-toabutment interface is a highly dynamic point subjected to repetitive stress and strain. Contemporary implant design incorporating advantageous material and design traits lowers the detrimental effects of occlusal load.
Editorial note: A list of references is available from the publisher. This article was published in implants - international magazine of oral implantology No. 02/2018.
The number of universal adhesives being offered by the dental industry nowadays can make it difficult to decide whether it may be worth switching to another...
VIENNA, Austria: At EuroPerio11, which is currently being held in Vienna in Austria, GC will present a dedicated symposium focusing on the clinical ...
FLORIANÓPOLIS, Brazil: Between 27 and 30 April, more than 1,200 dental professionals took part in the many engaging activities and learning opportunities ...
LEUVEN, Belgium: GC is committed to giving dental professionals easy access to educational resources. After a number of successful online symposia, the ...
SIENA, Italy: From 22 to 24 September, the annual European Prosthodontic Association (EPA) Conference took place in Siena under the presidency of Prof. ...
In order to avoid the shortcomings of conventional metal-based materials and to create natural-looking dental restorations, lithium disilicate has become ...
MADRID, Spain: The International Society for Minimum Intervention Dentistry (MIS) has recently announced that it will be holding its first international ...
SÃO PAULO, Brazil: This year, the Brazilian division of the International Association for Dental Research (IADR) honored the chairman and former president ...
Through the Minamata Convention on Mercury in 2013, the countries of the EU committed themselves to completely or largely eliminating mercury-containing ...
RHODES, Greece: Researchers have recently presented the results of a five-year multicentre clinical study involving the EQUIA Forte glass-hybrid restorative...
Live webinar
Mon. 8 June 2026
1:00 pm EST (New York)
Dr. Anthony Mak B.D.S, Prof. Marleen Peumans
Prof. Judith Jones D.D.S; M.P.H., Prof. Kakuhiro Fukai D.D.S., Ph.D, Dr. Bathsheba (Bethy) Turton
Dr. Poonam Jain BDS, MS, MPH
Dr. Kostas Karagiannopoulos, MDT Stefan M. Roozen MDT
Dr. Julie Driscoll DMD, FAGD
To post a reply please login or register