ig. 2 After producing the mock-up, grooves were prepared through the mock-up.
Fig. 3 To fit two lithium disilicate veneers, a preparation of 1 mm was required. After removing the mock-up, the preparation was perfected.
Fig. 4 Checking the space using a silicone mould.
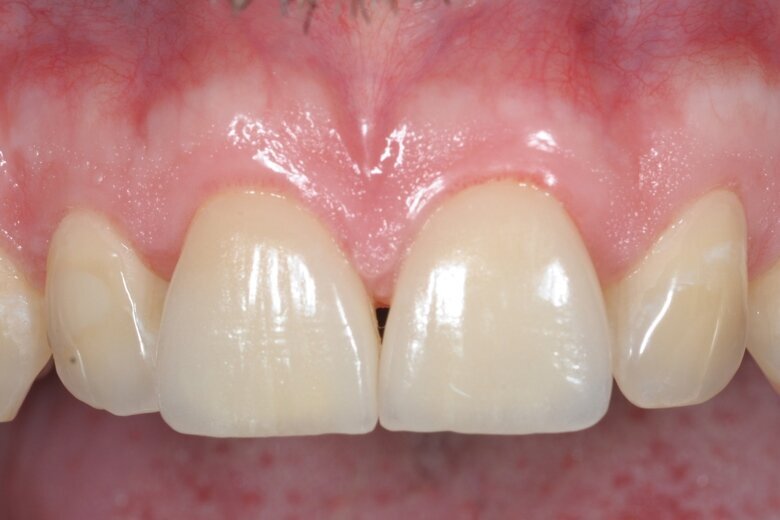
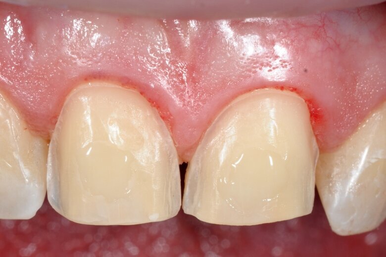
Fig. 5 Definitive preparation (frontal).
Fig. 6 Temporary veneers made from resin-based temporisation material (Protemp; 3M).
Fig. 7 Spot etching before bonding the temporary veneers in place.
Fig. 8 A small amount of flowable composite applied to the etched surfaces.
Fig. 9 Light-activated polymerisation of the entire surface of the temporary veneers.
Fig. 10 Finished temporary veneers.
Fig. 11 The veneers constructed by the dental technician.
Fig. 12 Checking the fit of the veneers.
Fig. 13 Rubber dam fitted to enable controlled adhesive cementation.
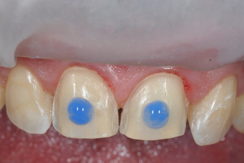
Fig. 14 Etching with 35% phosphoric acid K-ETCHANT Syringe (Kuraray Noritake Dental) for 10 seconds.
Fig. 15 Treatment with the self-etching primer PANAVIA V5 Tooth Primer (left on for 20 seconds).
Fig. 16 Etching of the lithium disilicate veneers with hydrogen fluoride.
Fig. 17 CLEARFIL CERAMIC PRIMER PLUS MDP–silane primer (Kuraray Noritake Dental) applied to the veneers.
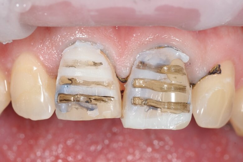
Fig. 18 Veneers secured to a placement instrument before definitive cementation.
Fig. 19 PANAVIA V5 Paste applied to the inner surface of the veneer.
Fig. 20 PANAVIA V5 Paste spread over the veneer.
Fig. 21 Veneer fitted and excess material removed.
Fig. 22 Light-activated polymerization (minimum of 10 seconds).
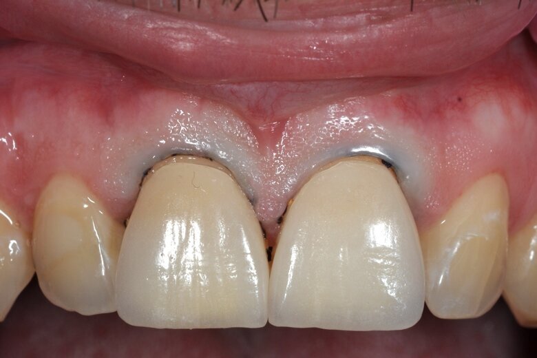
Fig. 23 Immediately after adhesive cementation with PANAVIA V5.
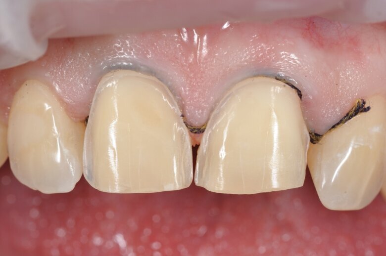
Fig. 24 Immediately post-op.
Fig. 25 Immediately post-op.
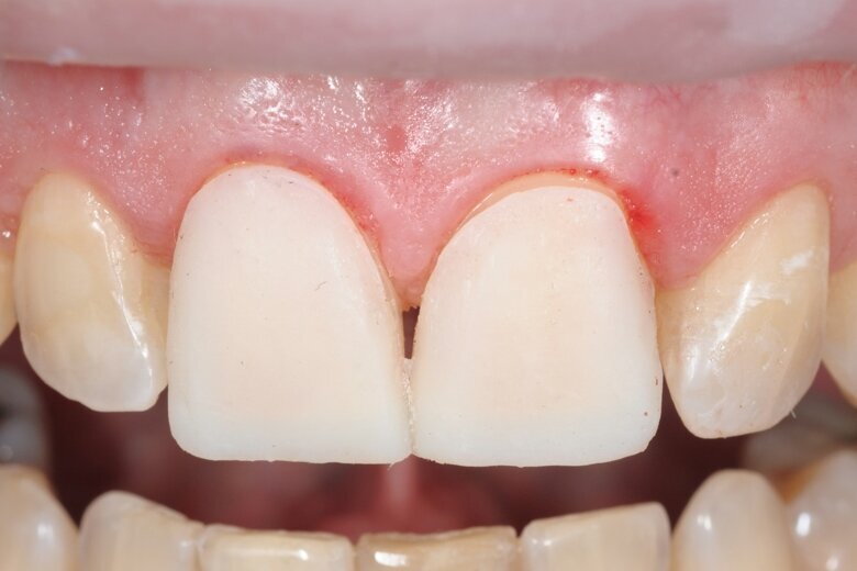
Fig. 26 Two months post-op.
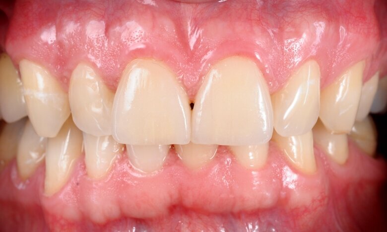
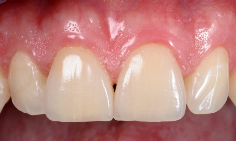
Fig. 27 One year post-op.
Fig. 28 One year post-op.
To post a reply please login or register