Search Dental Tribune

Meeting high functional and aesthetic demands with ceramic solutions

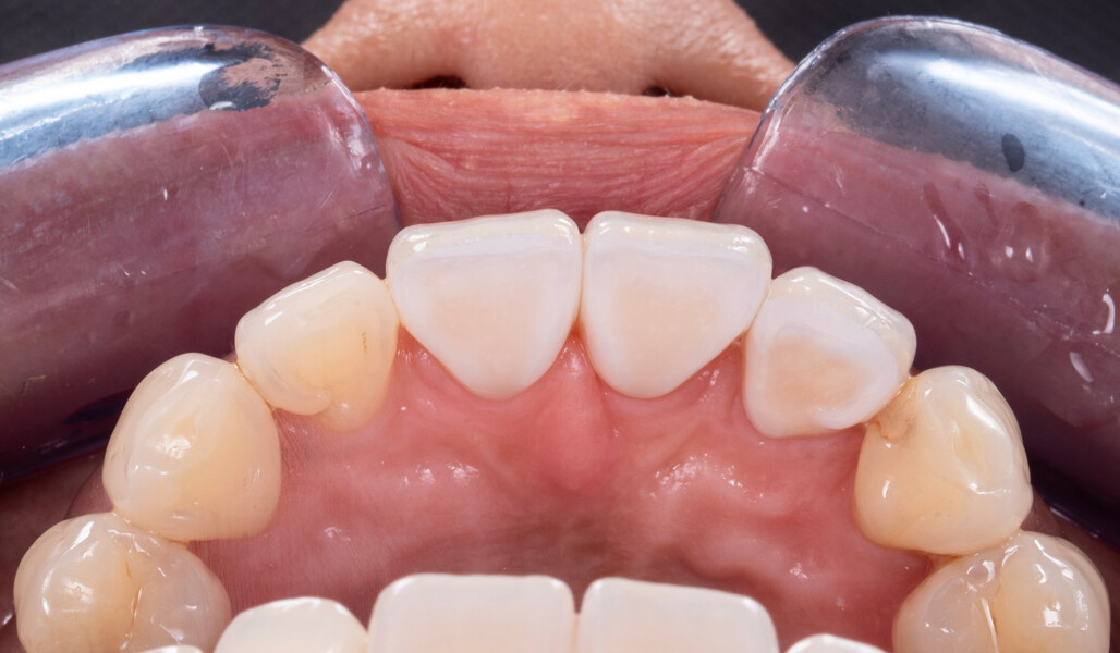
Fig. 1: Initial clinical situation. (All images: Tomas Forejtek and Dr Ladislav Gregor)

Fri. 30. January 2026

save

In prosthodontics, assessing the individual needs and expectations of every patient is a crucial factor for successful treatment. In the production of fixed dental prostheses, the art is in tailoring the material combination, framework design and finishing protocol precisely to the functional and aesthetic demands of the patient and the case. In this regard, the availability of high-performance evaluation tools and the freedom to choose between different variants of high-strength ceramics are invaluable.

Case presentation

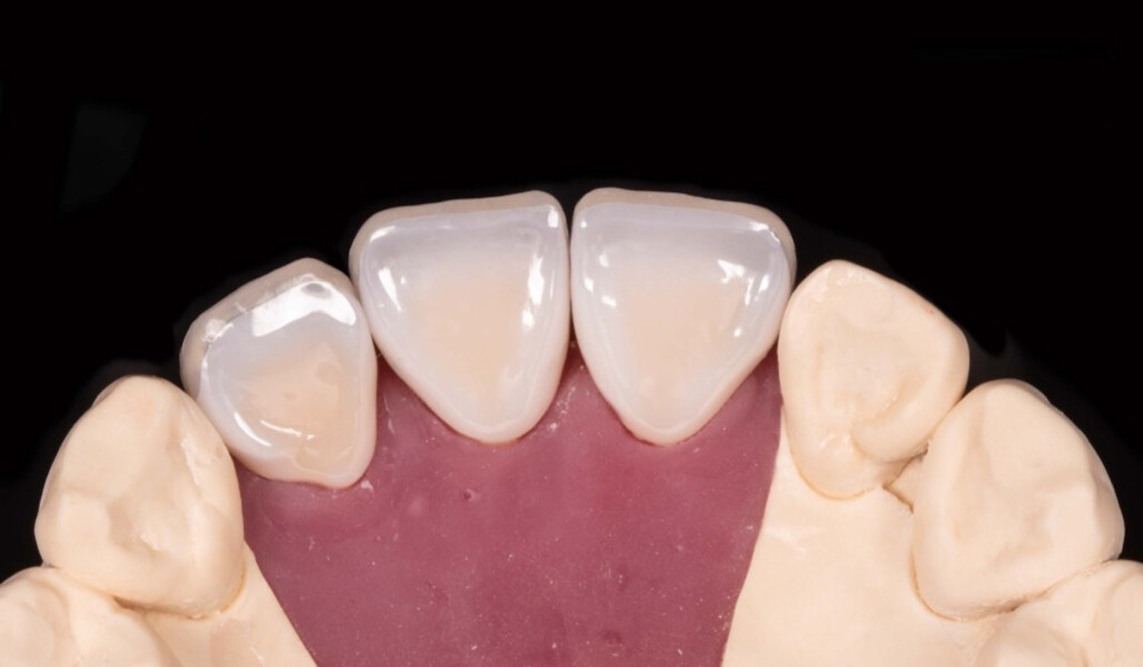
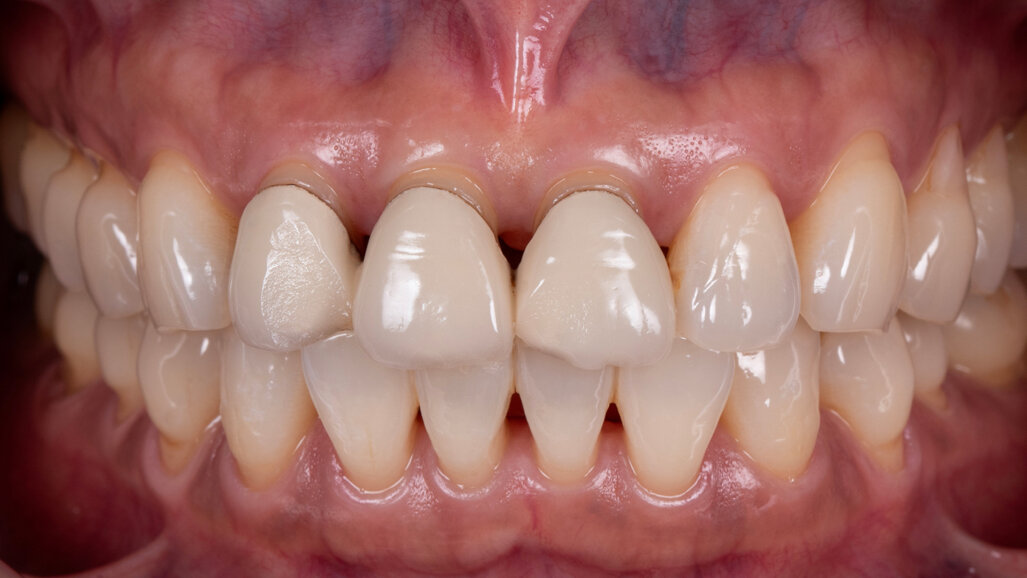
In this article, this point is demonstrated based on the case of a middle-aged female patient who presented with very unsatisfactory metal–ceramic crowns and asked for an aesthetic improvement of the situation (Fig. 1). The crowns on her maxillary central incisors and right lateral incisor clearly needed to be replaced not only for aesthetic reasons but also for functional ones. As anterior interferences were present and orthodontic treatment was not an option, the decision was made to select a ceramic material with a particularly high strength—KATANA Zirconia HT (Kuraray Noritake Dental)—and to opt for a design that would support the incisal edge with zirconia. Consequently, porcelain layering with CERABIEN ZR (Kuraray Noritake Dental) would be limited to the vestibular region (Figs. 2–11).

The key to success: Individualised approach and high-quality materials

The present case is a perfect example of an aesthetically and functionally challenging situation that needed an individual treatment approach. By taking into account the patient- and case-specific requirements and using our material-related knowledge wisely, it was possible to develop an appropriate treatment plan.

High-quality materials and a smartly selected design approach laid the foundation for long-term success. Valuable tools used during porcelain layering (specifically the eLAB system) supported the precise reproduction of the patient’s tooth shade, despite the challenging individual aesthetics. Consequently, the crowns were delivered on the first attempt.

Topics:
Tags:
To post a reply please login or register
advertisement
advertisement