Search Dental Tribune

Dr Wiktor Pietraszewski

Dr Wiktor Pietraszewski

Website: https://www.drvicthedentist.com/

View biography

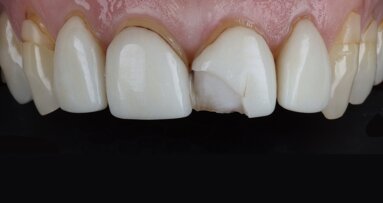
Dr Wiktor Pietraszewski is a general and restorative dentist in private practice in London in England. In his restorative work, he applies biomimetic adhesive protocols and uses gold standard materials to replicate the natural appearance, biomechanical function and internal structure of teeth. Dr Pietraszewski has a particular interest in direct and indirect restorations in the posterior dentition, and his clinical approach is further shaped by his passion for dental photography. From the Medical University of Łódź in Poland to a private clinic in Malta and then in London, his professional journey reflects a strong commitment to clinical excellence.

advertisement
advertisement