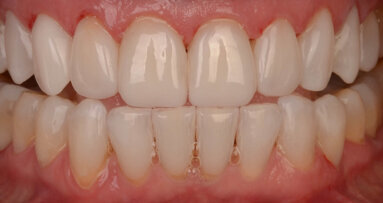
An important aspect of a direct composite restoration is aesthetics. Choosing the right opacity, chroma and value is an absolute necessity for natural-looking results. However, working with a composite with built-in light diffusion technology will make life much easier. Due to this technology, a composite can blend seamlessly with the adjacent tooth structure.
Simply put, light diffusion refers to a material’s ability to scatter and reflect light rays in many different angles. Composites without a form of light diffusion technology are less forgiving and that’s why preparation borders are still often visible through the composite. Alternately, a composite can be so opaque that the filling often stands out from the tooth tissue. With aesthetic composites, the ability to diffuse light in all directions, in a way that emulates these natural teeth, is crucial to their success. With the help of Kuraray Noritake Dental’s Light Diffusion (LD) technology—which incorporates light diffusion particle fillers to augment the opacity of restorations—our CLEARFIL MAJESTY family of composites can do just this.
Both CLEARFIL MAJESTY ES-2 Premium and Classic, as well as CLEARFIL MAJESTY ES Flow, faithfully reproduce the diffusive properties of tooth structure. This means that they show a higher level of light diffusion in the more opaque shades (dentin) and a lower level in the more translucent ones.
The actual effect of our LD technology can be clearly seen in the following images. On the laminated Light Diffusion Card there are three discs, each made of a composite material less than 1mm thick. The composite on the left (the CLEARFIL MAJESTY Esthetic) is the most translucent of the three when the card is placed directly on top of another surface—this composite best allows the text to be read through it. However, increasing the distance from the text by inserting a pair of two-euro coins underneath the card reverses this outcome—thanks to the light diffusion properties of CLEARFIL MAJESTY Esthetic, it is the only composite through which the text can no longer be read.
When put into practice, the end result is simple: this light diffusion helps create a restoration that merges effortlessly with the surrounding natural dentition.
TOKYO, Japan: In modern dental practice, there is a great need for materials that combine convenient handling and procedural efficiency with aesthetic, ...
For many clinicians, flowable composites are seen as a useful liner or base material below stronger, packable composites or indirect restorations, or as a ...
Founded in 1926, Kuraray has a long and storied history of providing high-quality solutions in a number of fields. Since 1978, we have produced dental ...
Every dentist aims to polish to a high gloss without damaging the freshly modelled occlusal surface. To achieve this, it is essential to use high-quality ...
LEGNICA, Poland: A composite restoration should be homogeneous in order to ensure the seal of the filling and its durability. However, air bubbles are a ...
Dr Max Andrup, a 2010 graduate of Umeå University, currently runs a private practice in the city of Hudiksvall in Sweden, where he maintains a passion for ...
CLEARFIL MAJESTY ES-2 is a composite that allows for the effortless creation of natural-looking aesthetic restorations. The combination of its self-adaptive...
A specialist in minimally invasive dentistry, Dr Michał Jaczewski graduated from Wroclaw Medical University in 2006, and today he runs his own private ...
No matter whether you are a dental practitioner or a dental technician, there is one thing you surely want to avoid: failure of restorations. While it is ...
Highly aesthetic lithium disilicate or zirconia-based framework materials combined with a micro-layer of porcelain are becoming the new standard for ...
Live webinar
Wed. 28 January 2026
11:00 am EST (New York)
Dr. Algimante Lošytė – Jančė
Live webinar
Wed. 11 March 2026
12:00 pm EST (New York)
Dr. Andreas Chatzimpatzakis
To post a reply please login or register