Accordding to Dr Ian Lane, NobelProcera individualised abutments offer excellent prosthetic survival and a low rate of complications. (All images: Nobel Biocare)
Dr Ian Lane has more than 20 years of experience as a clinician at Queensway Dental Clinic in the UK under his belt. In this interview, he outlines the promising results at up to 6.4 years of follow-up of a retrospective, multicentre clinical study of Nobel Biocare’s individualised NobelProcera abutments with four different designs.
Dr Ian Lane.
Dr Lane, would you please tell us a bit about yourself and your professional background?
I qualified with an honours degree from Newcastle University in Newcastle upon Tyne in the UK in 1998. In 2001, I was awarded the Membership of the Faculty of General Dental Practice (UK) qualification, and this was followed by the diploma in conscious sedation in 2002 from Newcastle University. I developed an interest in implant and reconstructive dentistry and have been very active in postgraduate education in this field since attending a Nobel Biocare implant introductory course in 2002. Since 2006, I have been a partner at Queensway Dental Clinic and responsible for ensuring that high standards of dental care are provided for all National Health Service and private patients. I have been involved in some university research projects in implant treatment and conscious sedation.
What was the aim of this study?
This was a multicentre retrospective study looking at the complication rates for customised prosthetic abutments using real-world data from four centres in Italy, Germany, the Netherlands and the UK.
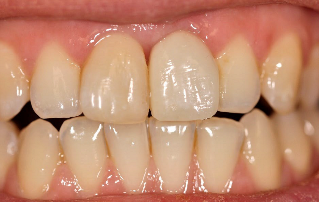
Fig. 1a: NobelProcera abutment designs in the study. NobelProcera full-contour/cutback zirconia implant crown (n = 105).
Why is a fully screw-retained solution important? Is there any indication for potential long-term outcomes?
As a clinician, it is really important to try and have a fully screw-retained solution in nearly all cases. In our practice, the NobelProcera angulated screw channel (ASC) abutment is something that we have used for a long time. Alongside our clinical observations, we have a laboratory that beta-tested this abutment in 2014. Since then, we have routinely used it in our restoration for many implant cases. In fact, in the last five years, the laboratory delivered over 2,000 single-unit ASC abutments to internal clinicians and external clients.
It is a very stable and well-tested solution for us. In our study, we’ve investigated over 460 abutments across a wide range of implant types, all from Nobel Biocare, and a wide range of abutment types as well: NobelProcera ASC, titanium, zirconia, full-contour (Figs. 1a–d & 2a–h).
What are the study’s conclusions?
The conclusions really match with the very low complication rates that we’ve found in our own clinical practice. There was a 98% prosthetic survival rate and only nine failures. In clinical practice, we have also audited nearly 1,300 ASC abutments and found very similar low complication rates. Finally, patient and clinician satisfaction is high at 96% and 98%, respectively. In summary, industrially manufactured individualised abutments offer excellent prosthetic stability and retrievability and a low rate of complications, providing great patient and clinician satisfaction.
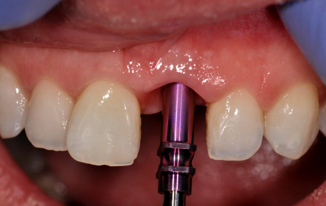
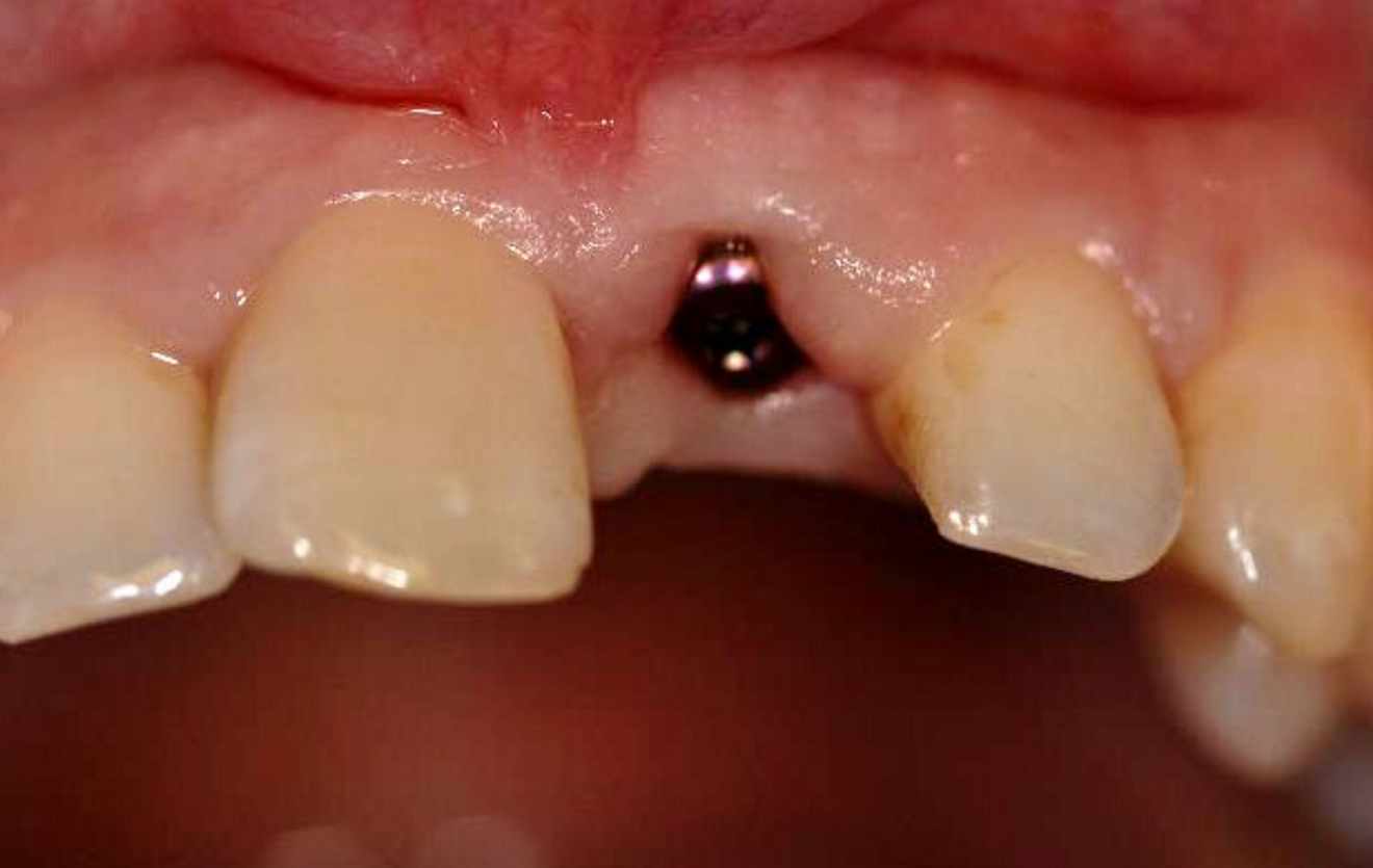
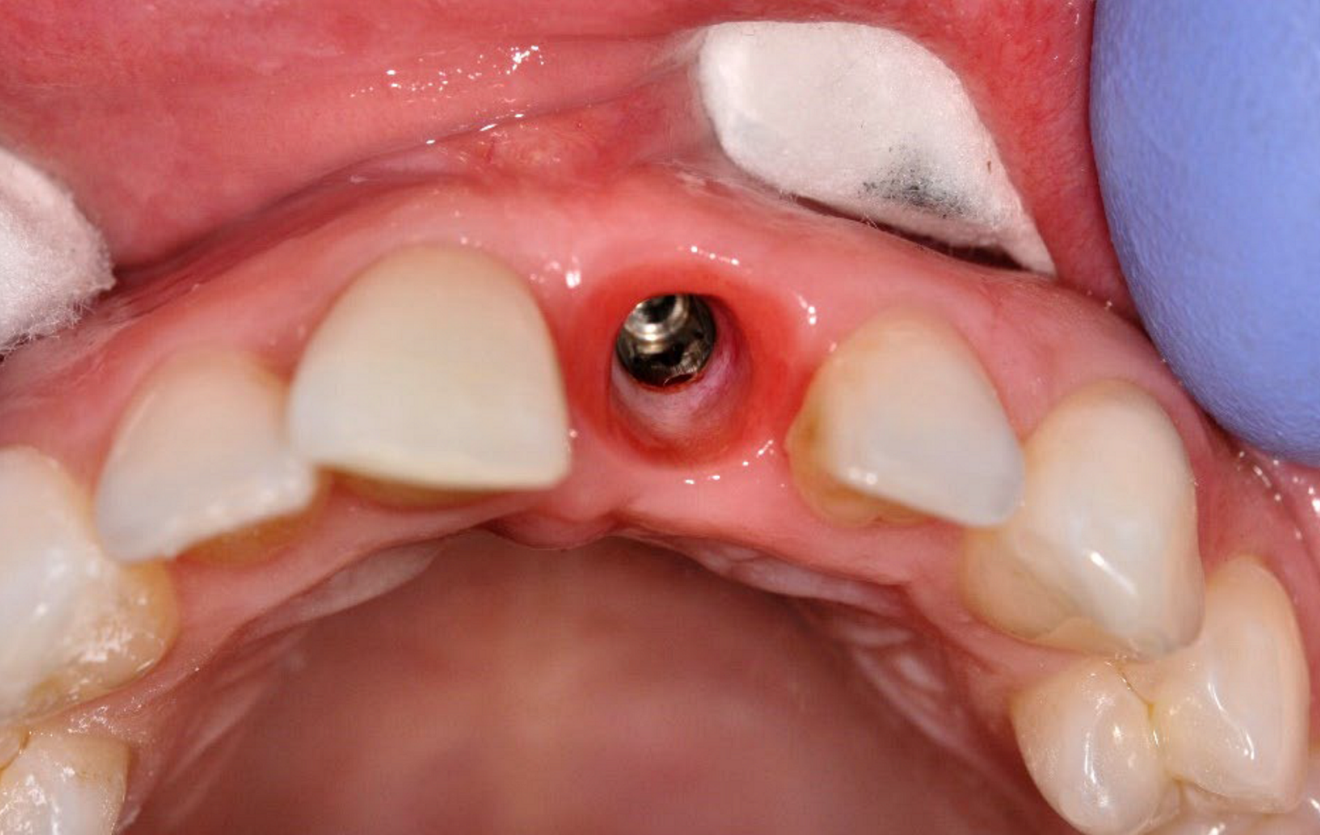
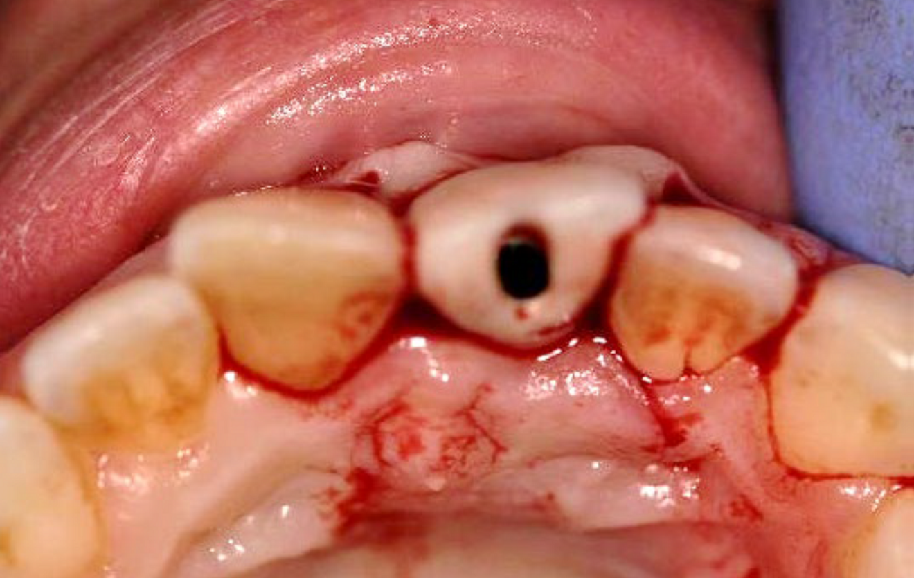
Figs. 2a–h: Demonstration of the study results through the case of a non-smoking 34-year-old female patient with a missing maxillary central incisor. Radiograph (a)...
...and clinical view at insertion of a narrow-platform 15 mm NobelActive implant (b).
Immediate temporary crown (c) ...
... and intra-oral view 32 weeks post-op (d).
Healing abutment (e) ...
... and the resulting contoured tissue at 12 weeks post-op (f).
Radiograph (g) ...
.. and clinical view at the seven-year follow-up (h).
A world-leading authority on dental implant surfaces, Prof. Ann Wennerberg, from the University of Gothenburg in Sweden, recently led a systematic review of...
YORBA LINDA, Calif., U.S.: Nobel Biocare is inviting dental professionals to join what it calls the Mucointegration era with the launch of its Xeal and ...
BURNABY, British Columbia, Canada: According to a new market report by iData Research, a leading provider of international dental market research, the Asia ...
KLOTEN, Switzerland: In the ever-evolving world of dental regenerative solutions, Nobel Biocare has consistently set the benchmark for innovation and ...
The recent Nobel Biocare Global Symposium saw many of the world’s leading voices on implantology and digital dentistry gather in the Spanish capital of ...
ZURICH, Switzerland: At its 2019 Global Symposium in Madrid, Nobel Biocare will present a new implant system designed to challenge conventional methods of ...
LEIPZIG, Germany: Exactly six months from today, the 2021 International Dental Show (IDS) is slated to open. The 39th edition of the world’s leading ...
AMSTERDAM, Netherlands: Last week at EuroPerio9 in Amsterdam, Nobel Biocare announced a global exclusive partnership agreement with GalvoSurge Dental, a ...
AMSTERDAM, Netherlands: Recent trends in dental implantology have indicated increasing patient demand for ceramic-based solutions with the appearance and ...
SINGAPORE: At IDEM Singapore, which is taking place this weekend, from 13 to 15 April, visitors can see Nobel Biocare’s new full-arch solution in action: ...
ZURICH, Switzerland: Global implant dentistry company Nobel Biocare has announced the first recipients of its newly established Medal of Excellence in ...
KLOTEN, Switzerland: Nobel Biocare has announced that it is adding the DEXIS Imprevo intra-oral scanner to its digital dentistry portfolio and distribution ...
ZURICH, Switzerland: Nobel Biocare has announced that it is now an official distributor of 3Shape’s TRIOS intra-oral scanners, which are known for their ...
To post a reply please login or register