Improvements in digital technologies in recent years have transformed several industries, including implant dentistry. These novel methodologies have several advantages over standard procedures, including increased efficiency, accuracy and patient satisfaction.1–3 Furthermore, a digital approach enables the development of customised prostheses supported by conventional and zygomatic implants. The Straumann Zygomatic Implant System provides a predictable, immediate fixed restoration option that does not require bone augmentation, offering a dependable treatment for patients with significant maxillary bone loss and hopeless circumstances.4
Additionally, digital technology improves communication and collaboration between the patient, dental team and laboratory. The computerised process enables seamless information sharing and virtual treatment planning, resulting in a coordinated and exact approach to the production of full-arch implant prostheses.
The following case report was planned and executed using the DIGILOG concept, which is a hybrid of digital and analogue workflows that combines the best features of both approaches for the creation of temporary and definitive prostheses. This concept allowed us to have optimal communication with the implant team and our patient, who received two full-arch implant prostheses. In the maxilla, two Straumann zygomatic implants and two Straumann BLX implants were placed, and in the mandible, four Straumann BLX implants were placed.
Initial situation
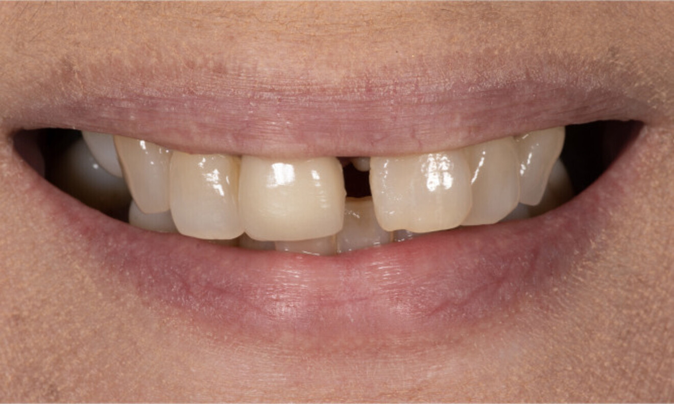
A 57-year-old female patient who was systemically healthy and a non-smoker and had no relevant medical history came to our clinic stating that she was unable to eat without pain and had absolutely no confidence or pride in her smile or overall appearance. She had also noticed flaring and progressive spacing of her anterior teeth and complained of food impaction. She desired a full-mouth fixed rehabilitation and wanted to improve the position of her teeth to regain the confidence to smile.
Fig. 2
Fig. 3
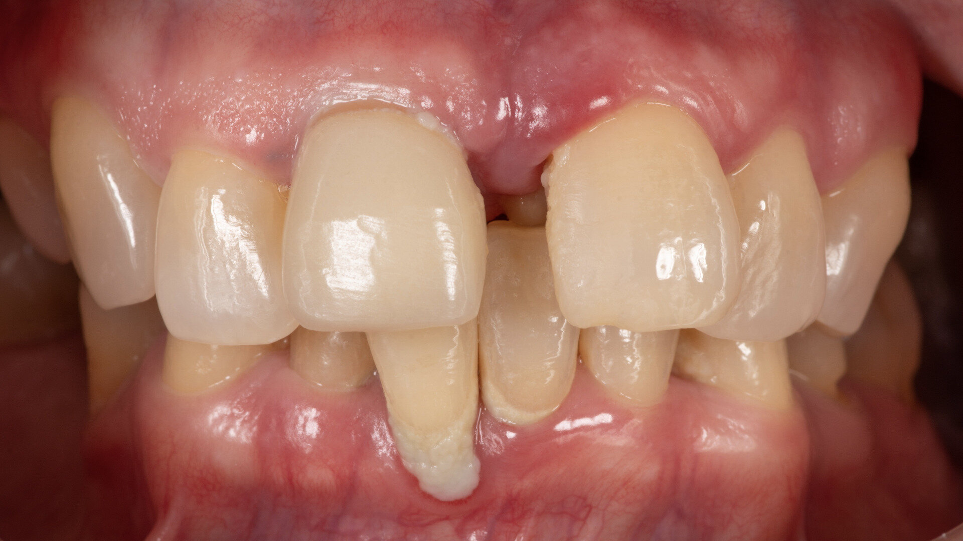
No abnormalities were found during the extra-oral examination. The patient presented with a low smile line. The intra-oral examination revealed terminal dentition due to generalised periodontal disease. The patient presented with severe resorption of the posterior maxilla bilaterally (Fig. 1). The radiographic examination showed generalised alveolar bone resorption with vertical bone defects (Fig. 2).
In accordance with the radiographic and clinical evaluation, the patient case was classified as surgically and prosthodontically complex in terms of the International Team for Implantology’s SAC classification (Fig. 3). The SAC classification aids in assessing the degree of difficulty and risk associated with implant-related rehabilitation.
Treatment planning
Our patient was presented with various treatment plans, encompassing both removable and fixed rehabilitation options. Among these, the patient was informed about the DIGILOG treatment concept. After considering the choices presented, the patient chose to proceed with the DIGILOG option.
The DIGILOG concept was developed in collaboration with oral and maxillofacial surgeon Dr Christopher A. Gurries. This approach enables communication between surgeon and prosthodontist with the use of digital technology and analogue surgical treatment, supporting predictable treatment outcomes. Two steps were included in our workflow for immediate full-arch treatment using the DIGILOG concept: the printing of prototypes of the prostheses to assess the peripheral borders, vertical dimension of occlusion, aesthetics, phonetics and occlusion; and the scanning of the intaglio surfaces, peripheral borders and occlusion and transfer of that information to the laboratory to finalise the peripheral borders and vertical dimension of occlusion before milling the monolithic final prostheses.
Fig. 4
Fig. 5
Fig. 6
CoDiagnostiX software (Dental Wings) was used for planning the analogue surgical placement of two Straumann zygomatic implants and two Straumann BLX implants in the maxilla and of four Straumann BLX implants in the mandible. The protocol chosen was immediate placement after atraumatic extraction of the remaining teeth while protecting the remaining bone (Figs. 4 & 5). The patient’s STL file was generated and sent to the in-house laboratory to create a 3D-printed model for the surgical planning, allowing us to obtain a surgical model (Fig. 6).
To avoid complex procedures for implant placement and to decrease morbidity and costs for the patient, no augmentation was planned. On the same day as implant placement, the milled prostheses would be delivered. Six months later, two digitally fabricated fixed full-arch implant prostheses would be placed.
Fig. 7
In summary, the treatment workflow was as follows:
data acquisition for fabrication of two temporary PMMA prostheses;
implant surgery and immediate placement of the temporary prostheses;
digital design and manufacture of the final zirconia prostheses; and
delivery of the final prostheses and an occlusal splint six months after implant surgery.
Surgical procedure
Before surgery, an intra-oral scanner was employed to acquire the digital data for the design of the temporary prostheses (Fig. 7). The teeth were digitally removed, and digital prostheses were created. The data of the virtually constructed prostheses was subsequently transmitted to a milling machine for the fabrication of monolithic PMMA prostheses.
The treatment was carried out under local anaesthesia with 2% lidocaine and 1:100,000 adrenaline. A crestal incision was made and a full-thickness mucoperiosteal flap raised. The implant beds were prepared with the Straumann Surgical Cassette, and two Straumann BLX implants (4.5 × 10.0 mm, SLActive, Roxolid) and two Straumann zygomatic implants (4.3 × 40.0 mm) were placed in the maxilla (Fig. 8). Following the same protocol, four Straumann BLX implants (4.5 × 10.0 mm, SLActive, Roxolid) were inserted in the mandible. Straumann screw-retained abutments were positioned on to the implants (Fig. 9).
The mucoperiosteal flap was carefully adapted and sutured. The temporary screw-retained prostheses were then placed on the day of the surgery (Fig. 10). The protheses were checked for areas of excessive pressure and adjusted. The patient was given postoperative and oral hygiene instructions. Two weeks after surgery, the sutures were removed, and the healing had been uneventful.
Fig. 8
Fig. 9
Fig. 10
Prosthetic procedure
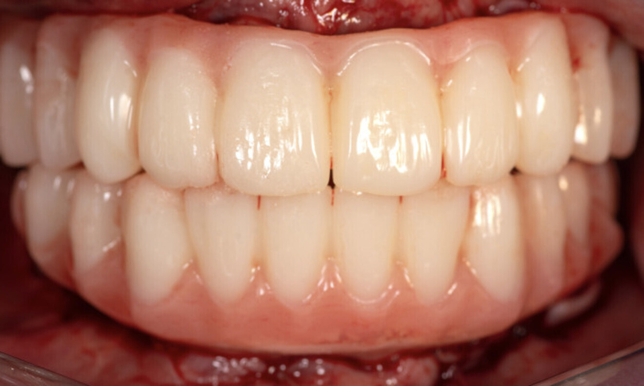
The patient was followed up, and at six months after implant placement, an indirect digitisation of the back-poured master cast was done, allowing for superimposition of the tooth position to the implant position (Fig. 11). The final tooth set-up and occlusal scheme were done digitally to ensure optimised aesthetics and function (Fig. 12). Once everything had been digitally verified, the final zirconia prostheses with layered porcelain gingivae were fabricated (Fig. 13). The occlusion was checked, and the patient was given a 3D-printed occlusal splint to protect the implant-supported prostheses, acting as an absorber and distributor of occlusal forces (Fig. 14). A panoramic radiographic was taken to monitor the health around the dental implants at delivery of the prostheses (Fig. 15). The patient was provided with hygiene instructions and scheduled for regular check-ups to ensure ongoing care and monitoring.
Fig. 11
Fig. 12
Fig. 13
Fig. 14
Fig. 15
Treatment outcomes
Digital and analogue can be seamlessly integrated to enable a comprehensive assessment and treatment. Optimal planning and meticulous examination play pivotal roles in determining the outcomes of the treatment. A personalised surgical approach is imperative to address the diverse needs and requirements of each individual patient.
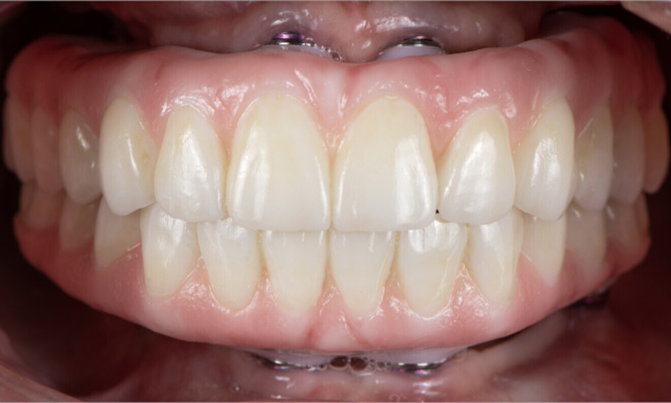
On the same day as extraction surgery, employing the principle of immediacy and without the necessity of guided bone regeneration, an outstanding functional and aesthetic outcome was accomplished with two Straumann BLX implants and two Straumann zygomatic implants in the maxilla and four Straumann BLX implants in the mandible. Six months later, the patient was very pleased with the retention and aesthetics of the final full-arch implant prostheses. The clinical and radiographic evaluation yielded stable and favourable results, indicating positive progress. The prostheses fulfilled the patient’s expectations and needs. She was delighted with the significant change in her smile and in her quality of life (Figs. 16 & 17).
Fig. 16
Fig. 17
Authors’ testimonial
The DIGILOG concept, using digital technology to complement fundamental surgical and prosthetic principles, along with a scientifically designed armamentarium, allowed for treatment of this case and a predictable outcome.
As an oral surgeon and prosthodontist specialising in full-mouth rehabilitation, I have consistently sought to integrate advanced technologies into my ...
Successful immediate implant placement associated with immediate loading remains one of the greatest clinical challenges. In addition to the placement of an...
BASEL, Switzerland: Webinars are a brilliant way to keep up to date with the latest developments in dentistry and gain continuing education (CE) credits. ...
BASEL, Switzerland: The Straumann Group has posted strong financial results for the first half of 2019, with organic revenue up around 16%. Founding new ...
DUBAI, UAE: Immediacy has become a major part of implant dentistry today. It affords several benefits for both patient and practitioner. In addition, it ...
LONDON, UK: When it comes to implants, the Straumann Group has been one of the major dental brands leading the way. In a free upcoming Straumann Group ...
BASEL, Switzerland: Straumann is pleased to report the very positive results of the first human case study to track the condition and progress of a patient ...
Straumann Campus provides dental professionals with a myriad of webinars with a focus on implant dentistry and orthodontics. In the coming weeks, the online...
To post a reply please login or register