Search Dental Tribune

Dental News

Hydroxyapatite toothpaste provides alternative to fluoride, study suggests

WÜRZBURG, Germany: The use of hydroxyapatite as an artificial tooth enamel to prevent erosion and even to contribute to the regeneration of natural tooth ...

save

Nobel Biocare N1

Tue. 16. July 2019

save

Interview: What is Deep CBCT analysis and what does it mean for the orthodontist?

Russian start-up 3D Smile was founded in response to a lack of software applications for aligner treatment. Marina Domracheva, the founder and CEO, ...

save

The history of plastic toothbrushes and how they pollute our planet

LEIPZIG, Germany: A couple of weeks ago, the US company 4Ocean, which specialises in removing plastic waste from the ocean, shared a post on Facebook that ...

save

Dentsply Sirona World CIS on the Road

Mon. 15. July 2019

Russia is the world's largest country by area, spanning 11 different time zones. It stretches 4,000 kilometers from north to south and 9,000 kilometers from east to west at its extremes. In order to ...

save
advertisement

Interview: I try to think of solutions for common problems

Dr Luis Carrière is the inventor of both the Carriere SLX Self-Ligating Bracket System and the Carriere Motion 3D Appliance. He travels the world teaching ...

save

New antibacterial fillings may combat recurring dental caries

TEL AVIV, Israel: Dental caries is among the costliest and most widespread bacterial diseases worldwide. In a new study, researchers have developed novel ...

save

New dental clinic to open in Brooklyn in 2020

NEW YORK, U.S.: More access to dental care facilities can only be a positive step toward improving the general health of people and benefiting the ...

save

Mouthrinse for human papillomavirus DNA may be biomarker in head and neck cancer

BALTIMORE, U.S.: In a recent study, scientists from the Johns Hopkins University School of Medicine investigated whether a mouthrinse to detect human ...

save

Interview: “DTX Studio suite really can be used on a daily basis”

The recent Nobel Biocare Global Symposium saw many of the world’s leading voices on implantology and digital dentistry gather in the Spanish capital of ...

save

South Auckland dental clinic on track to be finished in 2020

AUCKLAND, New Zealand: The current state of many New Zealanders’ oral health is well below where it should be. Access and cost play important roles in ...

save
advertisement

ITOP developer Jiří Sedelmayer dies at 73

Today, Swiss oral health company CURADEN is commemorating collaborator and friend Dr Jiří Sedelmayer, who passed away last week aged 73, having lived a ...

save

Align Technology hosts second annual European Growth Summit

BERLIN, Germany: These days, moving a dental practice forward takes more than excellent clinical capabilities. Networking skills, marketing strategies and ...

save

Queensland government removes sugary drinks from its facilities

QUEENSLAND, Australia: After having made a commitment to ban the promotion of unhealthy food and drinks from the advertising spaces it owns, the Queensland ...

save
advertisement

Nobel Biocare Global Symposium 2019: A landmark event for implant dentistry

MADRID, Spain: Throughout our 60+ years of history, we have consistently stood for genuine innovation, based on science, that was created to help improve ...

save
advertisement

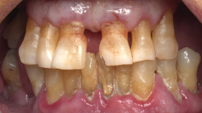
Root canal therapy versus dental implant

BRISBANE, Australia: Root canal therapy (RCT) or extraction—which one is better? This is a common question posed by patients who come into a dental clinic...

save

Poor brushing habits affect performance in school

GHANA, Africa: Dentists in Ghana are planning to adopt a new approach to handling oral health, in response to research funded by Pepsodent, a Unilever oral ...

save
advertisement

Interview: Antibiotics are often overprescribed in an arbitrary manner in dentistry

The use of antibiotics remains a controversial topic. A recent study investigated the necessity of antibiotics for the prevention of dental implant ...

save

Study examines mother’s perception of her child’s oral health status

PITTSBURGH, U.S.: Mothers play a primary role in the health of their children. This function may be particularly important for children in Appalachia, a ...

save

Interview: “Bioactive endodontics is the future”

In the medical field, cryotherapy is used in an effort to relieve pain and swelling after soft-tissue management or surgery. Currently, researchers in the ...

save
advertisement

Excessive computer use can impact oral health, study finds

WARSAW, Poland: There has long been a debate around what constitutes excessive time spent on devices and the adverse health effects of this. In a new study ...

save

First Invisalign European Scientific Symposium welcomed 190 orthodontists from 25 countries

A full-day programme in the beautiful setting of Valencia’s City of Art and Sciences complex awaited the 190 orthodontists who registered to attend Align ...

save

Nobel Biocare – Rescue instrumentation

Fri. 5. July 2019

Solutions for every situation. A complete retrieval portfolio.

save
advertisement
advertisement