Autogenous bone block grafts, bone grafting material or a combination of both can be used to restore an implant site of adequate dimensions in an atrophied maxilla. If the vertical height of the bone is inadequate in the posterior region, a sinus floor lift is often indicated to stabilise the implants safely.
In the case presented here, surgical treatment based on Prof. Fouad Khoury’s [1, 2] biological concept for bone grafting using a combination of autogenous bone block grafts and particulate bone chips is described.
The case report also describes the layering technique as part of a sinus floor lift in conjunction with bone grafting material. The objective of the treatment is a restoration with longterm stability and a good aesthetic result. An im plant-supported bar-latch design based on Dr Friedrich-Wilhelm Pape’s prosthetic concept (Schellenstein concept) was used.[3]
Initial situation
The 60-year-old patient was referred to the practice with a telescopic restoration on natural abutment teeth 11, 21, 22 and 23. Crown and bridge restorations were used in the mandible; however, teeth 21 and 22 could not be preserved and were extracted. Abutment teeth 11 and 23 could not be preserved, but served as abutments for the temporary restoration until fabrication of the final prosthetic restoration.
In the premolar region specifically, pronounced horizontal and vertical bone defects that required comprehensive augmentative measures were identified in the preoperative 3-D CBCT images (Figs. 1–4).
embedImagecenter("Imagecenter_1_1425",1425, "large");
The surgical treatment consisted of three procedures, each performed at three-month intervals. In the first procedure, performed under general anaesthesia, a FRIOS MicroSaw (DENTSPLY Implants) was used to harvest a bone block from the retromolar region of the right mandible (Figs. 5 & 6). The harvested bone plate was thinned and then placed at a distance using osteosynthesis screws (micro-screw, Prof. Khoury and stoma) for horizontal expansion of the right maxilla and the resulting space was filled with particulate autogenous bone chips (Fig. 7).
Particulate bone causes an increase in the surface and therefore better vascularisation of the augmented bone. In the second quadrant, an external sinus floor lift was performed based on the layering technique (Fig. 8). A slow resorbable phycogenic bone grafting material (FRIOS Algipore, DENTSPLY Implants) was placed in the cranial region, while the caudal region was filled with autogenous bone chips. This arrangement of bone grafting material and autogenous bone chips meant that the implants were placed in approximately 10 mm of autogenous bone, accelerating the healing phase. With this technique, the bone grafting material introduced in the cranial region prevented rapid resorption due to the pressure of the maxillary sinus.
The sinus window was covered by a nonresorbable membrane made of medical-grade titanium (FRIOS BoneShield, DENTSPLY Implants) that was fixed using three membrane tacks (FRIOS Membrane Tacks, DENTSPLY Implants; Figs. 9 & 10) for position stability. A mucoperiosteal flap was used for soft-tissue coverage in which the periosteum was slit to ensure tension-free closure over the grafted bone. In the course of this first procedure, four XiVE implants (DENTSPLY Implants) were inserted into regions 12, 22, 24 and 26 (Fig. 11).
After three months, as a part of the second surgical procedure, the previously augmented area was opened. The site appeared to be well regenerated and vascularised. In the procedure, two additional XiVE implants in regions 14 and 16 were inserted, resulting in a total of six implants available with uniform abutment distribution in the maxillae as a basis for later prosthetic restoration (Figs. 12–15).
After another three-month healing phase, the last surgical procedure exposed the implants by means of an apical sliding flap. The natural mucogingival junction was then restored and gingiva formers inserted (Figs. 16–18).
Impression
The soft tissue took three weeks to heal around the gingiva formers. For the prosthetic treatment phase, four appointments were necessary for completion of the final restoration based onDr Pape’s prosthetic concept.[3] In the first session, an impression was taken with the repositioning technique with transfer copings inserted into the implants (closed-tray impression) and an initial impression taken with a stock tray (Fig. 19).
This impression was used in the laboratory to fabricate an initial cast and to prepare a second impression using the pick-up technique. The impression posts were rigidly attached to the cast using PATTERN RESIN (GC). This index was separated again between the implants in the laboratory and the impression posts were placed in the patient’s mouth in the second session (Fig. 20). The separation gaps were reconnected intraorally with PATTERN RESIN to ensure high pre - cision for the second impression (Impregum, 3M ESPE) by stiffening of the posts (open impression with custom tray). In the laboratory, a master cast with a gingival mask was fabricated and a tooth set-up prepared for aesthetic try-in (Fig. 21).
Prosthetics
In the third prosthetic session, the wax try-in (aesthetic try-in) was carried out on the patient. The master cast, related antagonist bite impression and tooth template were sent to the milling centre in Hasselt in Belgium for fabrication of the CAD/CAM framework (ATLANTIS ISUS, DENTSPLY Implants). The dental technician can use the free ATLANTIS ISUS Viewer software in the laboratory to view in 3-D and finalise digitally the bar design proposed by the milling centre. The bar was then milled from cobalt–chromium at the milling centre and the restoration shipped to the dentist’s private laboratory. Owing to the precision of the impression and industrial fabrication, the bar framework exhibited a tension-free fit and served as the basis for fabricating the final superstructure in the laboratory.
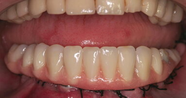
In the final session, before positioning the finished restoration, the fit of the bar in the patient’s mouth was checked using the Sheffield test. The fit of the bar again appeared tension free, allowing the bar to be permanently screwed to the implants (Figs. 22–24).
The primary splinting of the implants by the bar gives the restoration great stability in the augmented bone in particular. Owing to the uniform distribution of the implants in the ridge and creation of a large support polygon, good force distribution across the implants is possible, which in turn achieves a good long-term result. Because the bar construction is screw-retained, the risk of leaving excess cement in the periimplant region, which poses the risk of periimplantitis and should not be underestimated, according to the latest studies, is avoided.[4]
The removable palate-free prosthesis is provided with latches (MK1 attachment) on both sides to anchor the prosthesis to the bar firmly. The latches counteract pull-off forces and prevent abrasive wear on the bar when the canine guidance is set and the resulting friction loss of the bar-latch design (Figs. 25 & 26).
Conclusion
Owing to primary splinting of the implants with a bar construction and the large support polygon created, maximum stability is achieved directly in the augmented bone. In atrophied maxillae, it is often observed that the maxillae are smaller than the mandible owing to centripetal shrinkage. The advantage of the bar restoration over a telescopic restoration with regard to this problem is the decoupling of tooth and implant position. The bar can be placed in front of the alveolar ridge and, despite an unfavourable initial situation, still achieve good occlusion and lip support.
The bilateral latches for this restoration give the patient direct control of the anchoring of the restoration and thus a feeling of security. In addition, access for cleaning is not affected in any way because the restoration is removable. The use of latches takes into account the patient’s desire for a fixed restoration and the requirement for longterm stability, which is the basis of the easy-toclean design. Furthermore, the removable restoration allows quick and easy repair, and chipping is never an issue because ceramics are not used.
Unlike a fixed restoration, no aesthetically or phonetically compromising cleaning channels are required. The cleaning channels of fixed implant bridges often make it difficult for patients to form the ‘s’ sound. This can bring into question the success of the entire restoration because it can make the patient feel uncomfortable and insecure owing to speech impediment. In contrast, the restoration presented here does not affect pronunciation at the buccal plate.
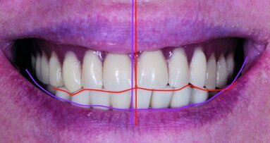
The final restoration exhibits a functional, aesthetically pleasing, and phonetically unimpaired
result that meets the patient’s wishes. Therefore, this treatment concept is a good option for restoration of edentulous atrophied maxillae.
Editorial note: A complete list of references is available from the publisher.
This article was originally published in CAD/CAM_international magazine of digital dentistry 03/2014.
Rehabilitation of the edentulous jaw can be achieved with various treatment modalities. Removable implant-supported overdentures can provide a comfortable, ...
The efficacy of dental implant treatment is well-documented and its further development includes protocols for simplifying the procedures. The immediate ...
BOSTON, US: Around 120 participants from 27 countries gathered in Boston from 16 to 18 June for a landmark moment in implant dentistry, the first ...
IOANNINA, Greece: Numerous finishing techniques are available for zirconia-based screw-retained implant-supported prostheses; however, most of them are ...
Dental erosion caused by direct acid exposure without bacterial involvement has become increasingly clinically relevant in recent years.1 The extent of ...
In contemporary dental medicine, computers and implants are closely linked. By dealing with this topic, the question arises whether one can speak about a(n)...
In dental implantology, the optimal and truly passive fit of the framework is essential for the long-term success of a restoration owing to the physiology ...
In the first part of this article (published in CAD/CAM 1/2017) the different phases of diagnostics, planning and implantological treatment were presented. ...
Patients who visit our clinic and wish to receive prosthetic treatment are frequently unaware of the possibilities that modern medicine has to offer. ...
SEOUL, South Korea: Osstem Implant, one of the world’s leading dental implant manufacturers, has published a new consensus statement outlining prosthetic ...
Live webinar
Wed. 20 May 2026
7:00 am EST (New York)
Dr. Graham Carmichael BDSc (Hons), DClinDent (Pros), FRACDS, Dr. Robert Gottlander DDS
Live webinar
Wed. 20 May 2026
9:00 am EST (New York)
Live webinar
Wed. 20 May 2026
11:00 am EST (New York)
Live webinar
Wed. 20 May 2026
1:00 pm EST (New York)
Prof. Dr. med. dent. Tim Joda PhD, MSc, eMBA
Live webinar
Thu. 21 May 2026
12:00 pm EST (New York)
Dr. Leonardo Muniz DDS, MSC
Live webinar
Fri. 22 May 2026
10:00 am EST (New York)
Dr. Paweł Aleksandrowicz PhD
Live webinar
Fri. 22 May 2026
11:00 am EST (New York)
To post a reply please login or register