Search Dental Tribune

BEST.FIT: A hybrid technique for efficient and aesthetic restoration of anterior teeth

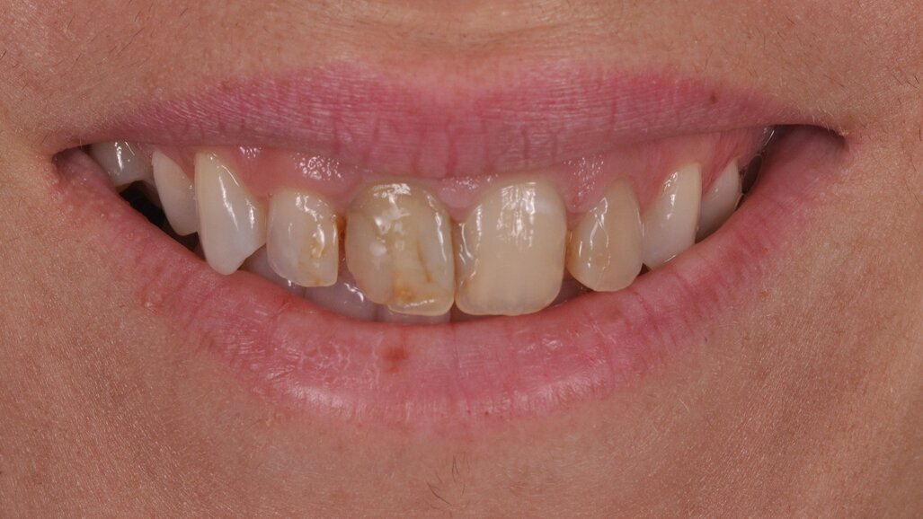
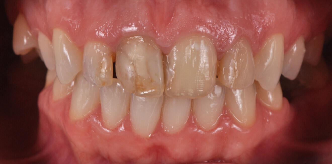
Fig. 1a: Female patient with discoloured anterior restorations desiring a smile makeover. Smile view. (All images: Enzo Attanasio)

Tue. 11. February 2025

save

The introduction of new-generation composites, with high nano-filler loading, has opened doors to new techniques for managing direct and semi-direct restorations. In particular, over the last ten years, there has been a significant revolution in flowable composites. Nowadays, these materials offer a filler percentage very similar to packable composites through precise interventions in resin matrix management. They come in various viscosities, offering numerous advantages both in terms of handling and clinical use, as well as beneficial mechanical and physical characteristics.

Fig. 1b: Female patient with discoloured anterior restorations desiring a smile makeover. Retracted view.

Fig. 1b: Female patient with discoloured anterior restorations desiring a smile makeover. Retracted view.

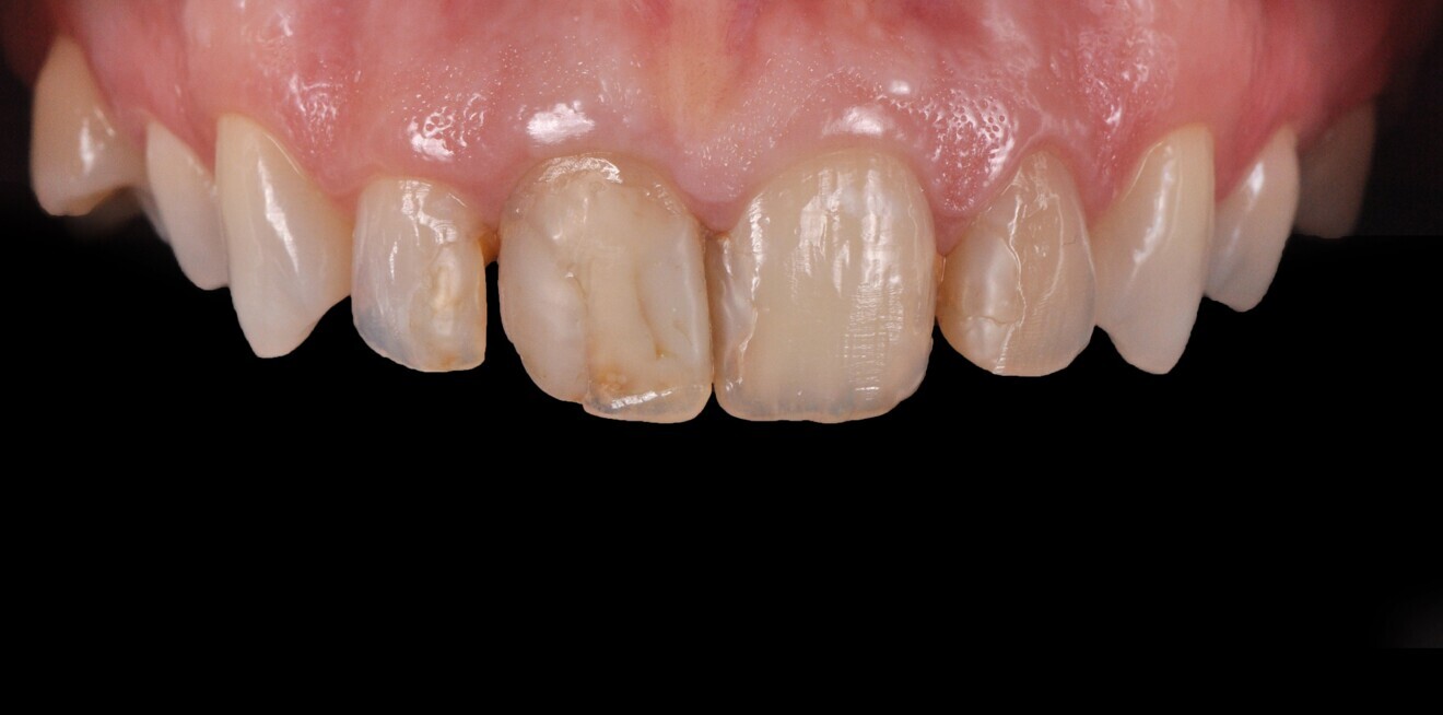
Fig. 2: Close-up of the patient’s maxillary anterior teeth.

Fig. 2: Close-up of the patient’s maxillary anterior teeth.

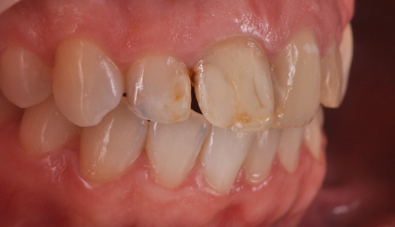
Fig. 3a: Restorations in need of replacement. Lateral view from the right.

Fig. 3a: Restorations in need of replacement. Lateral view from the right.

Fig. 3b: Restorations in need of replacement. Lateral view from the left (b).

Fig. 3b: Restorations in need of replacement. Lateral view from the left (b).

Flowable injection technique

This new era of flowable composites has seen the development of a technique known as the flowable injection technique (also referred to as injection moulding). It enables dental practitioners to reproduce anatomical forms created by a dental technician in the laboratory through a diagnostic wax-up. The shapes planned on the model are transferred directly to the patient’s mouth using transparent silicone matrices or indexes, into which the composite is injected through specific injection holes.

The main difference compared with traditional mock-ups is that the restored teeth remain separate from each other. This technique provides predictable results identical to those developed on the technician’s wax-up, requiring less chair time than direct veneering and offering a longevity similar to traditional composite restorations.

Benefits and challenges

The major benefit of this technique is the faithful reproduction of the morphological details created by the technician on the diagnostic wax-up, and the clinician can reproduce these with minimal effort. The restoration produced through the flowable injection technique, if all steps are followed correctly, requires minimal finishing by the clinician, who only needs to focus on polishing the composite.

However, one limitation is the difficulty in isolating the operative field, often requiring a split-dam technique or lip retractors, and all the associated adhesive challenges. The use of a dental dam is only feasible if the peripheral dental tissue around the restoration is uniform in shade, allowing the technician to create a wax-up with supragingival preparation margins.

Another compromise with the flowable injection technique is the management of the composite as a single mass. This makes it only possible to reproduce natural incisal translucencies typical of young patients by performing complex cutbacks and subsequent incisalstaining. Without the necessary operator skills, the outcomes of this time-consuming manual procedure are unpredictable.

Hybrid technique: BEST.FIT

To leverage the advantages of both the classical direct anterior restoration and flowable injection techniques and to eliminate the limitations, a hybrid technique known as BEST.FIT (Buccal Enamel Shape Through Flow Injection Technique) has emerged. This technique allows the operator to manage the delicate phase of reproducing the facial enamel layer of the anterior restoration through the flowable injection technique, keeping certain aspects in mind during the injection phase.

Procedure

The transparent silicone matrix used for the creation of the buccal enamel layer is similar to the one used in the original flowable injection technique. The initial phase of restoration management follows all the classical steps of the direct technique, requiring isolation with a dental dam. The palatal enamel layer is recreated with a highly translucent packable composite, and the palatal portion of the interproximal walls is produced using a suitable matrix system. The core of the restoration is then defined with opaque masses, creating mamelons and adding incisal effects. It is crucial to control the residual enamel thickness using a vestibular silicone index, aiming for about 0.3 mm of space. The buccal portion is finally reconstructed during the injection phase. The transparent silicone matrix created on the wax-up should be tested after each reconstruction phase to ensure passive insertion.

After creating the restoration core, the tooth to be injected is separated from the contiguous ones with thin PTFE tape. The transparent matrix is then inserted, and fluid composite is injected through the injection holes to precisely reconstruct the buccal enamel thickness. The composite tip should be positioned at least halfway through the buccal surface, and the injection should be slow and controlled to avoid air bubbles in the material.

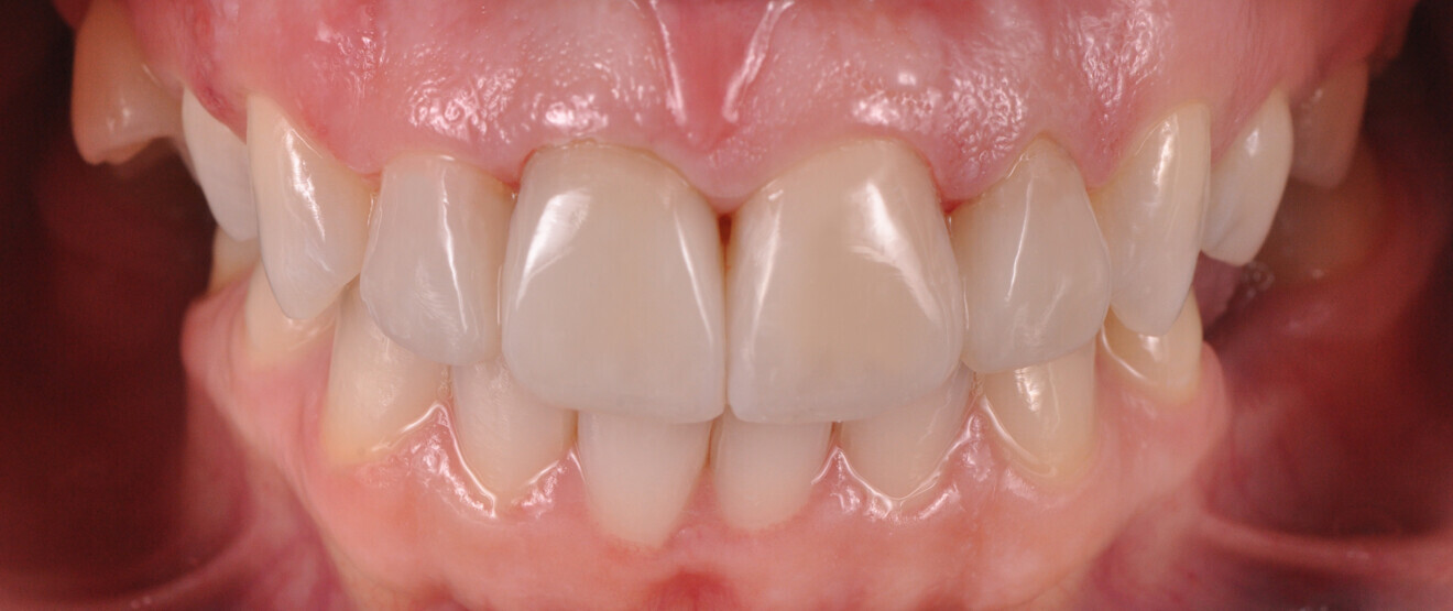
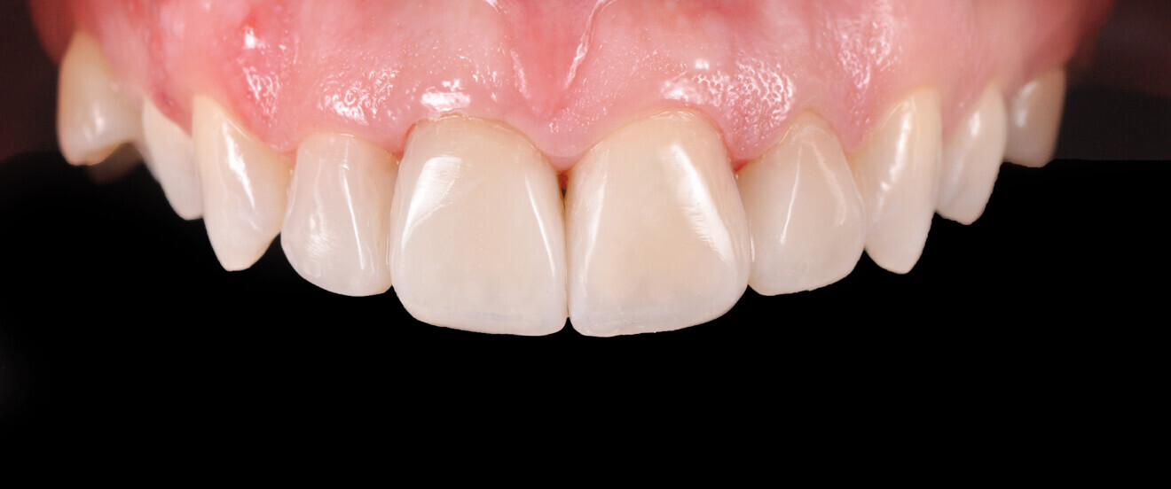
Fig. 20a: Treatment outcome. Smile view (a).

Fig. 20a: Treatment outcome. Smile view (a).

Fig. 20b: Treatment outcome. Retracted view (b).

Fig. 20b: Treatment outcome. Retracted view (b).

Fig. 21: Close-up of the treatment outcome, showing the mamelons and natural incisal translucencies.

Fig. 21: Close-up of the treatment outcome, showing the mamelons and natural incisal translucencies.

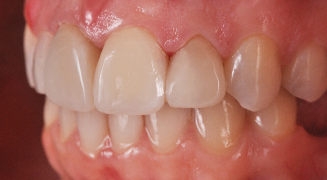
Fig. 22a: Final restoration with lifelike anatomical shape. Lateral view from the right.

Fig. 22a: Final restoration with lifelike anatomical shape. Lateral view from the right.

Fig. 22b: Final restoration with lifelike anatomical shape. Lateral view from the left (b).

Fig. 22b: Final restoration with lifelike anatomical shape. Lateral view from the left (b).

Conclusion

Each work phase must be executed with extreme care to lay the foundation for a passive linking of all subsequent steps without creating difficult management situations. The BEST.FIT technique is a convenient and useful method for dental practitioners to manage multiple direct anterior restorations simply and predictably, especially in situations requiring complex rehabilitation with large restorations.

Editorial note:

This article was published in cosmetic dentistry—beauty & science vol. 18, issue 1/2024.

Tags:
To post a reply please login or register
advertisement
advertisement