Search Dental Tribune

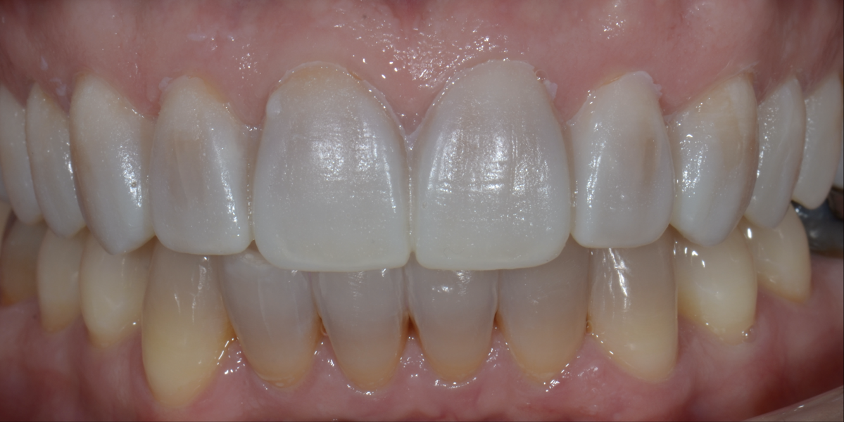
Fig. 1: Discolouration in the aesthetic area. (All images: Giuseppe Romeo)

Mon. 9. December 2024

save

Tetracycline exposure results in intrinsic tooth staining that varies in severity based upon timing, duration and form of tetracycline administered. Routine vital whitening procedures cannot satisfactorily remove dark tetracycline staining.1 Traditionally, dental aesthetics compromised by tetracycline staining have been restored with modalities requiring aggressive tooth preparation. These measures have included complete crowns, composite bonding and porcelain veneers after aggressive preparation of the tooth structure.2

Advances in the technology of bonding porcelain to enamel created the possibility of porcelain veneers as an alternative to the use of complete crowns for the treatment of many clinical conditions, such as diastemas, misaligned teeth, worn dentition, chipped teeth and excessively discoloured teeth.3 Porcelain veneers can offer a conservative method of restoring the appearance of such teeth that provides extremely good aesthetic results and avoids restorative procedures that are more extensive.

In this case involving a patient with severe staining of healthy and aesthetically shaped dentition, a calibrated deep tooth preparation strategy and porcelain feldspathic veneers were utilised to preserve tooth shape and arch form while restoring natural colour.4 This case demonstrates that clear communication with the dental technician is required before beginning treatment. The technician must determine which materials he or she can use to predictably mask the discoloured tooth and that will guide the dentist’s tooth preparation.

Case report

A 43-year-old male patient presented with severe staining of all the teeth in the aesthetic zone, and the result was the anaesthetic appearance of the dentition, but the health of the teeth was not compromised (Fig. 1). Despite the extreme discolouration of his teeth, the patient had rejected prior treatment plans in order to preserve the existing tooth structure.5 The patient recognised that the aggressive preparation required for conventional restorative options would have removed large amounts of tooth structure and may have delivered unnatural aesthetics. He had thus delayed treatment to ensure that he would be treated with a calibrated invasive technique that would deliver natural aesthetics.6–9 His treatment necessitated exceptionally thorough and detailed communication between the clinician and the ceramist that included a trial of alternative restorative materials.

Fig. 3b: Diagnostic mock-up.

Fig. 3b: Diagnostic mock-up.

Fig. 3c: Diagnostic mock-up.

Fig. 3c: Diagnostic mock-up.

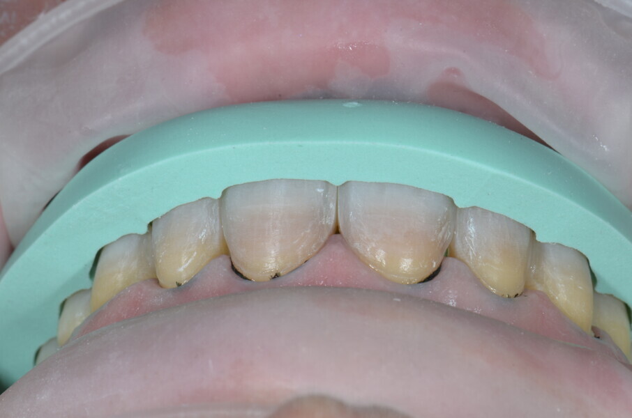
Fig. 2: Pre-op diagnostic model.

Fig. 2: Pre-op diagnostic model.

Fig. 3a: Diagnostic mock-up.

Fig. 3a: Diagnostic mock-up.

The first laboratory step was to perform a diagnostic wax-up (Figs. 2 & 3a-c). Silicone tools for pressing the mock-up and checking the spaces during the preparation were created together with the diagnostic wax-up. The clinician executed the intra-oral preview, explaining to the patient the envisioned realisation of the new smile makeover (Figs. 4 & 5).

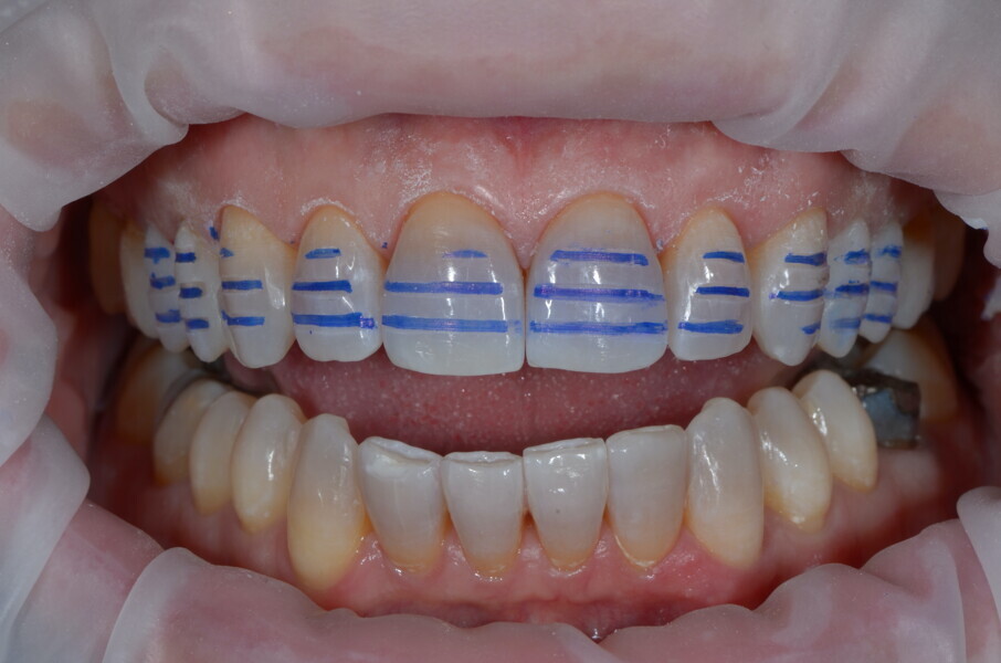
After treatment plan acceptance by the patient, a chairside appointment was scheduled for the preparation of the veneers. The challenge in this difficult colour scenario was to perform a calibrated preparation to allow the dental technician to mask the colour with the veneers (Figs. 6–10). It is important to bear in mind that, as the tooth is prepared and the enamel is either thinned or removed, the discoloration generally appears more intense.

The material used was feldspathic ceramic, performing a sophisticated multilayering technique on a refractory die.10, 11 The first substrate of ceramic material was a mix of dentine bleaching with 5% of ceramic modifiers or white stain to create a cover of the natural tooth discoloration. The ceramic firing was done at 960 °C to obtain a good adaptation of the layer on the entire facial area. Subsequently the ceramic layering procedure was done by applying dentine Shade A1 in the cervical area and a mix of dentine Shade A1 and bleached dentine Shade A from the middle third to the incisal third of each veneer. On top of the dentine design, several translucent opal masses, alternating with enamel, were applied to create an incisal wall. Several effects of ceramic modifiers and stains were infiltrated inside the translucent incisal area. These internal characteristics would impart vitality to the final restorations (Figs. 11a & b, 12).

The next step was surface staining, firing at a lower temperature, and then a correction shape layering completed the veneers. The dental technician shaped the veneers manually, completed the texture and glazed the restorations. The final texture was harmonised manually to create a more natural appearance.12–15 All the veneers were removed from the refractory die and placed on the master dies, achieving high precision when checked under the microscope (Figs. 13a-d & 14a-c).

The clinician received the veneers for try-in and cementation after patient approval. By mixing a variety of ceramic masses and maintaining the quality of translucency, the laboratory created veneers that provided a fresh and translucent shade that masked the discoloration. Based on the patient’s request, the incisal area exhibited a smooth translucency, avoiding obviously unnatural effects (Figs. 15 & 16).

Discussion

The case demonstrated that even extreme tetracycline staining can be aesthetically and conservatively treated provided that the key principles of treatment are followed: thorough patient consultation, careful material selection and meticulous laboratory communication.

The patient’s determination to preserve his natural smile in this case established the parameters for planning the case. Calibrated clinical preparation removed only what was necessary to obtain an acceptable aesthetic result. Understanding and respecting the patient’s needs and desires are fundamental.

The technical capabilities of restorative materials differ. Testing alternative restorative products verified the feasibility of the patient’s ideals and allowed selection of the most appropriate material. The technical capabilities and requirements of the restorative material determined the preparation design. These could only be established with the complete involvement of the ceramist.

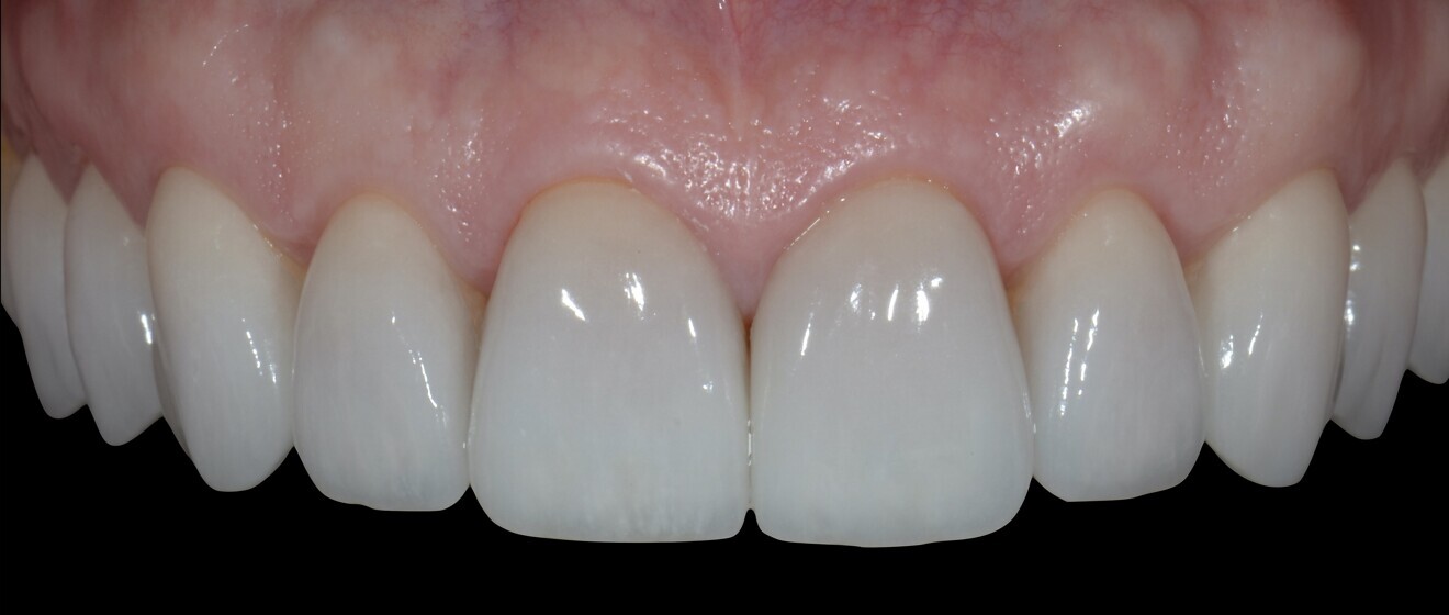
Fig. 15: New customised smile, fulfilling the patient’s expectations.

Fig. 15: New customised smile, fulfilling the patient’s expectations.

Fig. 16: Restorations at the three-year follow-up.

Fig. 16: Restorations at the three-year follow-up.

Acknowledgements

I would like to thank Drs Lorenz Moser, Ute Schneider-Moser and Monica Imelio for their clinical work.

Editorial note:

This article was published in cosmetic dentistry—beauty & science vol. 18, issue 1/2024. A complete list of references can be found here.

Topics:
Tags:
To post a reply please login or register
advertisement
advertisement