Direct composite resin restoration is a viable treatment option for an aesthetic restoration with minimal tooth reduction, especially in the case of uncomplicated tooth fractures.1,2 Such fractures are quite common amongst children and teenagers and may cause aesthetic and psychosocial problems.3
In the past, the outcome of direct resin restorations was compromised as they reproduced the optical properties of natural teeth poorly. Recent advances in adhesive technology and material properties, as well as improved understanding of the optical properties of the natural tooth, have helped achieve improved vitality and depth of a restoration. The direct resin build-up of a Class IV restoration based on a contemporary layering technique allows clinicians to provide conservative treatment and a virtually imperceptible blend with adjacent tooth structures.4
Case report
A 19-year-old male patient presented with a fractured upper-left central incisor and a chipped upper-right central incisor from a sports injury (Fig. 1). Radiographic examination and the cold test did not reveal any pulpal damage. After discussing various treatment options with the patient, conservative restoration using direct composite resin was selected.
Shade selection
The tooth shade was analysed before tooth preparation and thereafter evaluated for each layer of composite. Shade selection involves the dentist visually comparing the natural teeth shade to standard dental shade guides.8 Such selection does not ensure that the same-shade composite will yield the desired outcome, as the inherent opacity and layer thickness will determine shade outcome. Shade matching, on the contrary, is a highly technical process, but also with an unpredictable outcome because it depends on individual skill and knowledge.8 Shade matching has to be an integral part of the layering technique.
Using the Tetric N-Ceram shade guide system (Ivoclar Vivadent), the shade was determined to be A3, with a high incisal edge translucency and an orange-red final effect. Occlusal view of the fractured teeth reveals the difference in opacity and translucency of dentine and enamel in tooth 21 (Fig. 2). Dentine is an opaque and fluorescent tissue that determines the tooth’s hue and chroma by reflecting light through the enamel. Enamel is a translucent and opalescent tissue that determines the tooth’s value.3,6 As the patient is young, the incisal mamelons were intact (Fig. 1).
Preparation design
A 1mm bevel was placed along the margin of the chipped enamel surface of tooth 11 (Fig. 3). An envelope preparation design extending 2mm with a 1mm bevel was prepared on the buccal surface of tooth 21 (Figs. 3 & 4). On the palatal surface of tooth 21, a rounded butt margin was prepared (Fig. 4).
The cavity preparation was disinfected using a 2% chlorhexidine antibacterial solution. Etching was done for 15 seconds using 37% phosphoric acid (Fig. 5). Thereafter, the etchant (Total Etch, Ivoclar Vivadent) was removed and the tooth surface rinsed with water spray for 30 seconds, followed by air drying, taking care not to dry the tooth surface excessively (Fig. 6). A fifth-generation nano-optimised adhesive (Tetric N-Bond, Ivoclar Vivadent) was placed in the preparation and agitated for 10 seconds, then gently air-thinned (Figs. 7 & 8) and polymerised for 20 seconds (Fig. 9).
Composite layering
Composite layering was accomplished using the anatomic stratification technique, which aids the natural appearance of restorations. Each layer has different shades and opacities when stratified, giving a polychromatic effect with a more realistic depth of colour by creating an illusion of the way light is reflected, refracted, transmitted and absorbed, to simulate that of dentine and enamel. This is crucial to overcome the disadvantage of ‘shine through’ (silhouette of the fractured area is highlighted by the darkness of the oral cavity) of traditional single- or two-layer techniques.6
Current composite resin systems use dentine materials that reproduce the fluorescence of natural dentine and enamel materials that mimic the opalescence and translucence of natural enamel.4
Although there is no exact formula for stratification with such results, as shade layering varies from case to case, the general rules are:
1. Replace palatal/lingual wall with an opaque composite. As they have higher colour saturation, when light strikes the optically dense layer more light is reflected back to the eyes, which contributes to the hue and chroma by optically replacing dentine.6,7
2. Use thin increments and observe shade after curing each layer, so that the shade of the next layer can be planned. An advantage of this technique is that it minimises the negative effects of shrinkage by creating small incremental shrinkage.5
3. Use translucent composites to encapsulate the dentine core. This alters the quantity and quality of the light reflected and thus determines the value of the restoration by optically replacing enamel in the restoration.6,7
4. Finish and polish to replicate natural tooth textures.
In this case, a nano-composite resin (Tetric N-Ceram) was selected as the material of choice for restoring these teeth. Stratification was initiated with a thin layer of flowable resin (Tetric N-Flow, Ivoclar Vivadent; Fig. 10) and thereafter 1mm of Bleach light shade (Tetric N-Ceram) was placed and cured to replicate the opaque dentine layer (Fig. 11). A metal matrix strip was placed interdentally and a triangular, mesio-incisal layer of the A2 and A3 dentine shades (Tetric N-Ceram) was placed and sculpted to reconstruct the proximal surface (Figs. 12 & 13).
Next, increments of A3 enamel shade (Tetric N-Ceram) were layered (Figs. 14–16) with a long-bladed instrument and texture lines created with a sable brush before curing (Fig. 17). The mamelon effect was completed using the highly translucent Incisal shade (Tetric N-Ceram) at the inciso-lingual matrix, and two notches were placed to duplicate the external contours of the mamelons. The last increment was done using a thin layer of Translucent Opal Shade (Empress Direct Composite, Ivoclar Vivadent).
Finishing and polishing
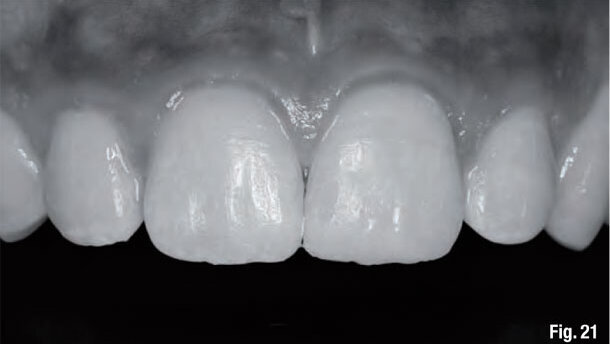
Finishing focuses on contouring, adjusting, shaping, texturing and smoothing the restoration (Fig. 18), while polishing concentrates on producing a surface lustre (Fig. 19) and highly reflective surface.6 For creating texture in finishing, various areas on the buccal surface of the tooth were highly polished to give a lifelike effect to the restoration.1,2 Eminence of the proximal convexity, the horizontal and vertical ridges, the lobe effect and facial flattening were effectively projected. The black and white image of the finished restoration shows that the value of the tooth and restoration is similar (Figs. 20 & 21).
Conclusion
The success of the anatomic stratification technique lies largely in the fact that it draws inspiration from the natural layering of dentine and enamel. Continuous technological advances have provided us with materials that can successfully replicate tooth characteristics and retain the characteristics built into them through layering them on tooth surfaces. With this technique, it is possible for clinicians to provide more conservative, yet functional and aesthetic, treatment to their patients.
Contact info
Dr Ratnadeep Patil and Dr Kavita Mahesh can be reached at
Smile Care
13, Geetanjali, 234, S. V. Road
Bandra (West), Mumbai – 400 050
India
The introduction of new-generation composites, with high nano-filler loading, has opened doors to new techniques for managing direct and semi-direct ...
For many years, the trend in restorative dentistry has been to place only one- or two-shade composite restorations in daily practice. However, with this ...
TOKYO, Japan: In modern dental practice, there is a great need for materials that combine convenient handling and procedural efficiency with aesthetic, ...
LEGNICA, Poland: A composite restoration should be homogeneous in order to ensure the seal of the filling and its durability. However, air bubbles are a ...
SHANGHAI, China: Although root canal therapy and vital pulp therapy can be effective in controlling infection and preserving tooth structure, they do not ...
CEREC and oral surgery? In times when patients go to a practice to receive complete, aesthetic, state-of-the-art treatment as quickly as possible, I think ...
A specialist in minimally invasive dentistry, Dr Michał Jaczewski graduated from Wroclaw Medical University in 2006, and today he runs his own private ...
A passionate dental practitioner with a special interest in endodontics and conservative aesthetic dentistry and a well-known speaker, Dr Enzo Attanasio has...
Digital workflows are becoming more popular and are in demand among clinicians and laboratory technicians owing to the increased incorporation of CAD/CAM ...
BASEL, Switzerland: Pulp canal calcification (PCC) is a common consequence of dental injuries and may occur in patients after a luxation. Researchers at the...
Education
Live webinar Sun. 3 May 2026 12:00 pm EST (New York)
On 3 and 4 October, dental professionals from around the world will gather in Tokyo in Japan for the sixth GC International Dental Symposium. Organised as ...
RIYADH, Saudi Arabia: Koelnmesse and dmg events have announced the launch of the annual International Dentistry Exhibition and Meeting in Saudi Arabia (IDEM...
To post a reply please login or register