Italian dental practitioner Dr Enzo Attanasio at Kuraray Noritake Dental’s booth during this year’s International Dental Show. (All images: Kuraray Noritake Dental)
A passionate dental practitioner with a special interest in endodontics and conservative aesthetic dentistry and a well-known speaker, Dr Enzo Attanasio has valuable insights to share with his audience. At this year’s International Dental Show in Cologne in Germany, he lectured on three topics at Kuraray Noritake Dental’s booth, including the flowable injection technique and BEST.FIT (Buccal Enamel Shape Through Flow Injection Technique), a hybrid technique for efficient and aesthetic restoration of anterior teeth. In this interview, he talks about the most important facts, tips and tricks he presented.
Dr Attanasio, would you please summarise the key messages of your presentations, starting with the flowable injection technique?
If there is a revolutionary technique that combines the benefits of prosthetic and restorative dentistry, it is certainly the flowable injection technique, also referred to as injection moulding. Nowadays, we have exceptional flowable composites at our disposal, which are absolutely on par with the packable ones in terms of mechanical and optical properties. Unfortunately, however, many dental practitioners are not yet aware of these products.
During the International Dental Show, the well-known speaker Dr Enzo Attanasio lectured on three topics, including the flowable injection technique and BEST.FIT, a hybrid technique for efficient and aesthetic restoration of anterior teeth.
In my lecture on the flowable injection technique, I wanted to highlight the potential of these materials and the technique. In addition, my aim was to provide a precise protocol that would enable the audience to reproduce it in their dental office. My presentation covered the whole workflow, including case selection, the production of the wax-up and silicone index, and the injection of the flowable composite.
What about BEST.FIT?
In my lecture, I explored the limits and strengths of this technique. BEST.FIT is an evolution of this technique that seeks to overcome the limits of both the flowable injection and standard anterior direct restoration techniques. At the same time, it leverages the strengths of those techniques, and it has the ultimate aim of putting the clinician in a position to perform an anterior restoration with less stress.
Let us focus on the flowable injection technique first. When and why do you opt for this technique?
The flowable injection technique has the same fields of application as other direct and indirect restoration techniques. It is very well suited for young patients desiring veneer treatment, for example. In the era of social media, images of influencers who have undergone aesthetic dental treatment are omnipresent, so children are growing up with high aesthetic expectations. When they present in our dental offices requesting smile makeovers, they are often too young to be treated with ceramic veneers. Those with a clear need for aesthetic treatment are ideal candidates for a smile makeover with the flowable injection technique. This technique is minimally invasive, produces restorations that are easily modified or repaired at anytime and allows for treatment with ceramics at a later date. Other target groups include individuals who cannot afford highly expensive treatments with ceramics but who also desire high-quality and aesthetic treatment and those with severely worn dentition. For the latter group, we can use the technique to produce medium- to long-term mock-ups that increase the vertical dimension of occlusion.
Prepared teeth and isolated working field prior to treatment using BEST.FIT.
Moreover, direct restorations produced using this technique may be combined with ceramic restorations in this target group to reduce the cost of therapy. Hence, the technique is versatile, and it is very important that a clinician is able to make use of it.
What is the difference between this technique and BEST.FIT, which you developed?
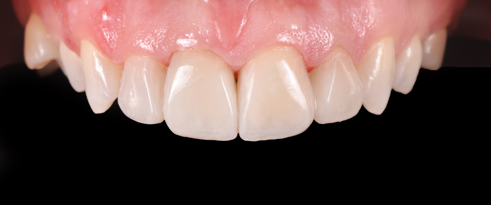
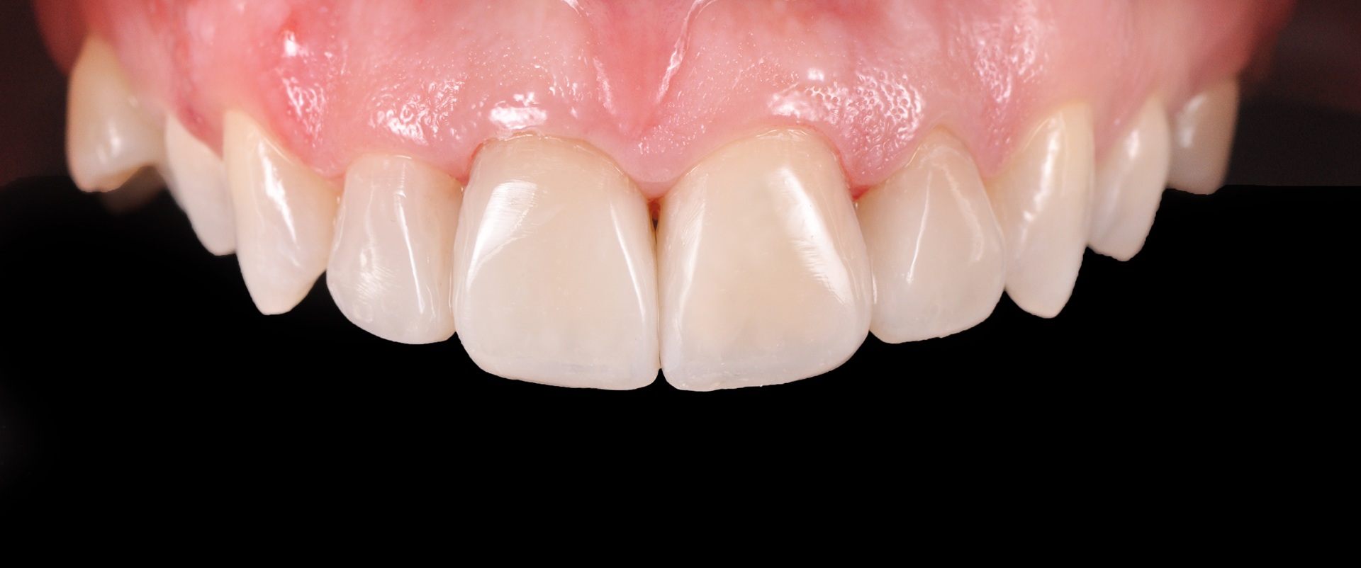
The flowable injection technique uses a digital or conventional wax-up to produce a transparent silicone index that serves as a shell for the injection of flowable composite. Once injected, the composite is cured through the index. In this way, the desired anatomical shape is obtained with minimal effort. However, the technique allows for single-shade restorations only. BEST.FIT is a hybrid technique that I developed to address this limitation and leverage the advantages of both the flowable injection and classical direct anterior restoration techniques. It involves the creation of the dentine core by hand, followed by the injection of the layer imitating the enamel through a transparent index. This is particularly beneficial for treating young people, for whom I feel the need to incorporate incisal translucencies into my anterior restorations. An article describing the technique was published in 2024.1
When do you prefer this technique over the flowable injection technique?
Every time I need to incorporate different levels of translucency into my restorations, BEST.FIT is my first choice. This is especially important when it is not planned to restore the social six but to treat single teeth in the maxillary anterior region. In this case, I have to replicate the adjacent natural teeth with their internal anatomy. Whenever those teeth have a complex internal colour structure, a single-shade technique would not lead to the desired result, and playing with different opacities is essential. This is what BEST.FIT allows me to do in an efficient way.
No matter whether you opt for the flowable injection technique or BEST.FIT, proper isolation of the working field is an important prerequisite for long-term success. What are your tips in this context?
As shown in one of my lectures, it is possible to use a dental dam in some cases. However, any dental practitioner opting for a dental dam should keep in mind that, when placing the dam, there will always be a band of tooth near the gingiva that will remain covered by the dam. This is fine as long as we do not have to cover discoloration in the cervical area. In this case, we can ask the dental technician to start waxing up a millimetre from the gingival margin. Staying supragingival means that the transparent silicone index may be trimmed in that area as well and the dental dam will stay in place during its placement. This significantly reduces the risk of contaminating the bonding surface with saliva. Another factor to be considered carefully is the positioning of the clamps. Ideally, the silicone index is shaped in a way that the clamp does not interfere with its insertion. For protection of the adjacent teeth, PTFE tape has proved its worth.
How important is bonding for both techniques, and what are the key success factors in this context?
Bonding is a fundamental part of every modern restorative treatment. To provide for optimal bonding conditions in the context of restoring teeth using the flowable injection technique or BEST.FIT, we should always try to use a dental dam. If this is not possible, we need to be very careful to keep the working field dry and clean until the injection is completed. This means that any contamination with blood and saliva must be avoided. Especially during the injection step, this is only feasible when the surrounding soft tissue is perfectly healthy.
Palatal silicone index produced over the wax-up model with putty silicone material to allow for the build-up of the palatal wall and the layering of the dentine core by hand.
The selection of a high-quality bonding agent and adherence to the recommended protocols are also important factors for establishing a strong, long-lasting bond on the clean and dry surface. In my daily practice, I started using a universal adhesive in combination with selective etching of the enamel approximately ten years ago. Ever since the introduction of CLEARFIL Universal Bond Quick (Kuraray Noritake Dental), this product has been my universal adhesive of choice for direct and indirect restoration procedures. When I graduated 20 years ago, I started with classical three-step adhesive systems used in the etch-and-rinse technique. I will never go back, because CLEARFIL Universal Bond Quick provides reliable bonding with virtually no postoperative sensitivity.
What about the silicone index preparation for the flowable injection technique and BEST.FIT?
Usually, a silicone index used for mock-up creation in the patient’s mouth is made of a putty polyvinylsiloxane material that is modelled by hand. Transparent silicone materials used to produce a silicone index for the flowable injection technique and BEST.FIT have a lower viscosity. Hence, an impression tray is needed to record the details of the wax-up. In this regard, it is important to select a tray of the right size, fill it well with silicone material and place it carefully over the wax-up because we need high accuracy and dimensional trueness of the silicone index as well as sufficient wall thickness to give it the required rigidity and avoid distortions during injection moulding.
What composite materials do you combine when using BEST.FIT and the flowable injection technique?
When modelling the dentinal structures by hand, the dentist can use his or her favourite packable composite, because the procedure is the same as any classical anterior restoration procedure. All the materials I usually use for the classical steps of direct anterior restoration production are perfectly suitable for all steps prior to the build-up of the vestibular layer. When employing BEST.FIT, it is essential to leave 0.5 mm of space buccally for the subsequent injection step. When opting for the flowable injection technique, the injection will follow immediately after application of the adhesive. In both cases, it is possible to inject any kind of flowable composite. These materials are typically transparent enough to reveal all the details of the dentine core underneath—like the incisal effects created with BEST.FIT.
Transparent silicone index for the injection step, produced over the wax-up model using an impression tray. The injection holes are ideally integrated with the cannula of the flowable composite syringe, starting inside the index.
Distinct mamelons created by hand to restore the smile of a young patient.
Do you have any recommendations regarding the modelling of the dentine core?
If the dentist has to copy a contralateral tooth, he or she should use a polarised filter on the camera to eliminate all the reflections on the enamel. This will allow the dentist to see through the enamel and analyse the anatomical form of the natural dentinal structure. If he or she cannot copy and is creating an internal colour structure, my advice is to consider the age of the patient being treated. Distinct mamelons are characteristic of younger patients. Every age has its anatomical internal characteristics that must be reproduced to obtain lifelike results in the end.
How do you make sure that the space available is ideal for the buccal enamel layer? It is fundamental to always use a silicone index that is cut vertically to measure the space left buccally or the enamel layer. This layer must not be too thick or too thin— as I mentioned, 0.5 mm seems to be ideal. Too much enamel placed buccally over the dentine framework will make the entire restoration appear low in value. It will look grey and not blend well with the surrounding tooth structure. In contrast, an enamel surface that is too thin will expose the opaque colour of the dentine too strongly, resulting in the opposite effect.
How does the dentist avoid air bubbles during injection?
First of all, it is very important to choose a flowable composite that comes properly pre-filled in a syringe CLEARFIL MAJESTY ES Flow (Super Low and Low) is completely free of bubbles inside the syringe. In addition, the injection technique is really important. It is essential to bring the needle tip to the cervical margin and to start injecting the composite from there. Once the tip is completely surrounded by composite, we can start to move the syringe slowly back towards the incisal area and the insertion hole without releasing the pressure on the plunger, making sure that the tip always remains immersed in the flowable composite. It is very important to maintain a controlled and constant pressure to have a good result.
What are your recommendations for successful finishing of restorations created using the flowable injection technique or BEST.FIT?
As with every composite restoration, it is very important to finish and polish the surface thoroughly because the long-term performance of the restoration depends on the final surface quality. Ideally, the final photopolymerisation is performed under a layer of glycerine gel.
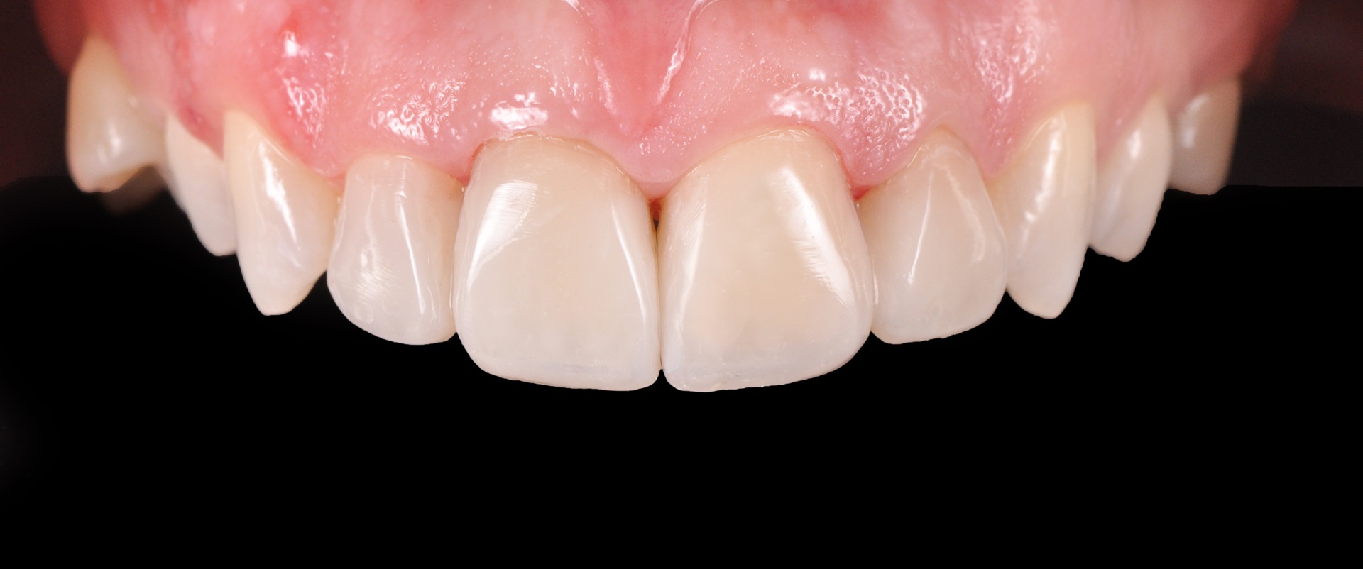
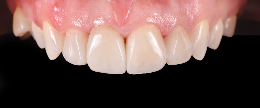
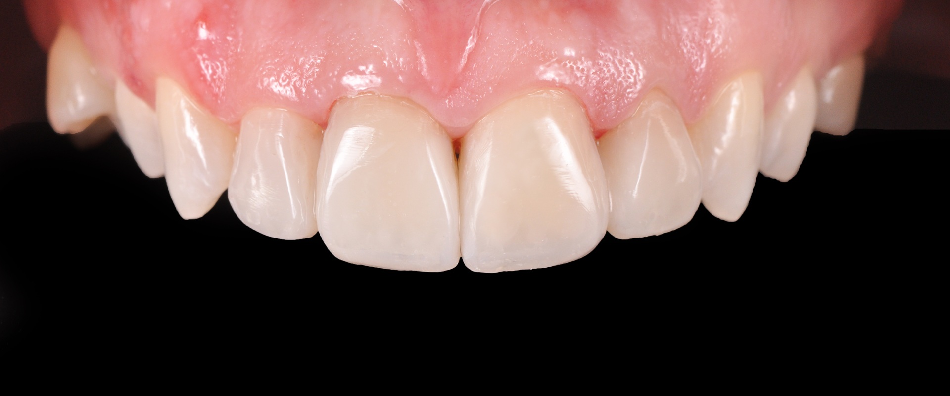
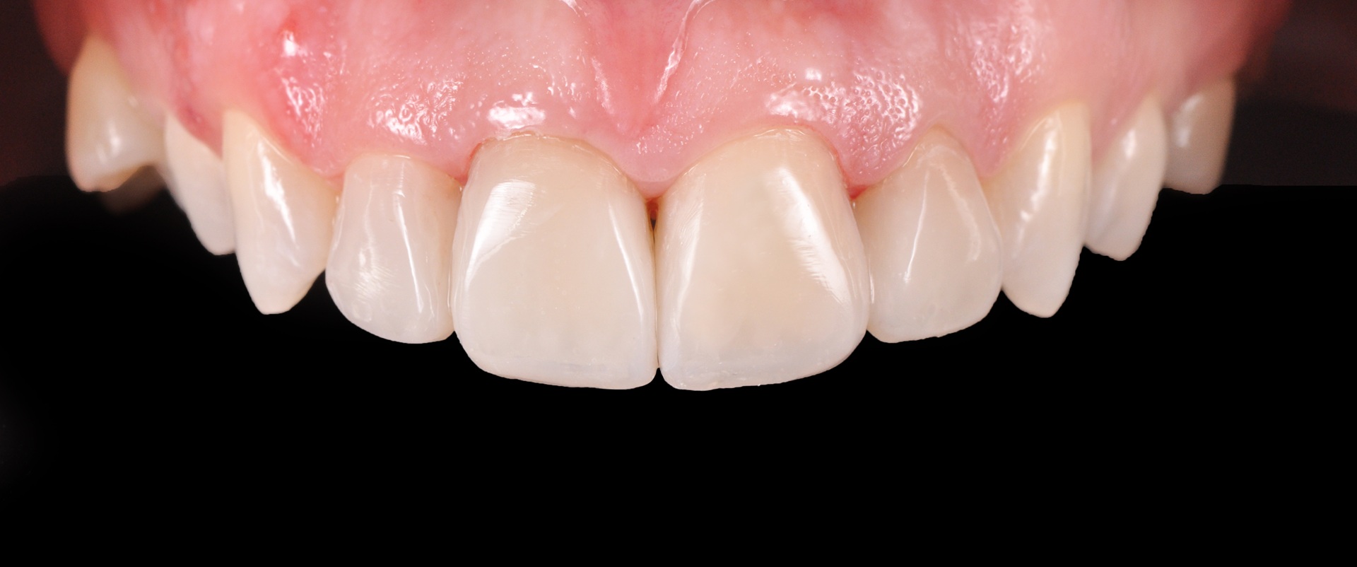
High-gloss surfaces of restorations created with CLEARFIL MAJESTY ES Flow.
With regard to the following finishing steps, there is one substantial difference between the techniques described and free-hand layering: both moulding techniques allow reproduction of the surface texture created by the dental technician on the wax-up in a very precise way. With a high-quality index and correct injection, it is possible to skip the surface texturing step during finishing. We just have to remove the peripheral excess and polish with rubbers, discs and filters. Fortunately, a flowable composite like CLEARFIL MAJESTY ES Flow is very easy to polish, and its gloss retention is great.
How do the restorative techniques described fit into your daily procedures?
Every time I need to restore or modify the aesthetic appearance of my patients’ teeth, I start with definition of a target. If the desired outcome is achievable with composite instead of ceramic, and whenever a minimally invasive approach is needed, I opt for one of the two techniques. They are good enough to solve a lot of restorative cases in a great way, and they allow me to save a lot of chair time. Consider that all finishing steps dedicated to the texture of an anterior restoration are no longer necessary. For example, I would expect a treatment involving free-hand modelling of restorations from canine to canine to take 3–4 hours, whereas the flowable injection technique can enable me to accomplish the task within 1.5 hours!
Is it difficult to implement those techniques in a general dental practice?
Absolutely not! Of course, it is essential to understand the materials and follow the correct protocols to apply them effectively. However, when compared with techniques like the direct layering of composite veneers, these approaches are significantly simpler and more accessible to every clinician. It all starts with a correct diagnosis and a good treatment plan together with the technician, whose work is as important as the clinician’s for the success of the case. The wax-up and the silicone index are fundamental. My suggestion is also to learn the fundamentals of digital smile design when starting to use the flowable injection technique and BEST.FIT. Digital smile design allows for streamlined communication between practice and laboratory—but also with the patient.
Would you like to make any final comments?
Good knowledge, reliable protocols and excellent materials are essential to perfect results. If even one is lacking, failure will be just around the corner.
LEGNICA, Poland: A composite restoration should be homogeneous in order to ensure the seal of the filling and its durability. However, air bubbles are a ...
In many clinical situations, composite restorations offer advantages over ceramic restorations. The treatment is less costly and usually less invasive, and ...
A specialist in minimally invasive dentistry, Dr Michał Jaczewski graduated from Wroclaw Medical University in 2006, and today he runs his own private ...
TOKYO, Japan: In modern dental practice, there is a great need for materials that combine convenient handling and procedural efficiency with aesthetic, ...
For many clinicians, flowable composites are seen as a useful liner or base material below stronger, packable composites or indirect restorations, or as a ...
If we ask dental patients what they expect from direct restoration treatment, they will most probably mention a quick procedure—as nobody wants to sit in ...
As the manager of a dental practice and the co-founder of the Deutsches Zahnärztinnensymposium (DZÄS), an event that provides a forum for female dentists ...
HATTERSHEIM AM MAIN, Germany: Contrary to the uniformity suggested by the name, ceramic primers vary widely in composition and efficacy. Most common primers...
Though traditionally a male-dominated discipline, dentistry is increasingly welcoming women into the fold, and female dental students now outnumber their ...
TOKYO, Japan: Every dental practitioner aims for smooth and efficient procedures that deliver optimal patient experiences and treatment outcomes. Kuraray ...
In my experience, the cementation of glass-ceramic veneers is one of the most technique-sensitive procedures in restorative dentistry, owing to the minimal ...
TOKYO, Japan: Dentistry is evolving rapidly, and expectations regarding restorative materials continue to rise. Today, most dental practitioners are aware ...
To post a reply please login or register