CAD/CAM technology allows dental professionals to manufacture solid all-ceramic crowns chairside. A digital image of the preparation is captured with an intra-oral camera and the crown is designed accordingly.
A variety of ceramics are available for the construction of the crown, for example an aesthetic, easy-to-mill ceramic such as IPS Empress CAD (Ivoclar Vivadent). As this leucite glass-ceramic is weaker than zirconium oxide, these crowns must be seated with the adhesive technique (for example with Syntac/Variolink II or Multilink Automix, all Ivoclar Vivadent). This makes them strong enough to withstand masticatory forces in the long term.
IPS e.max CAD (Ivoclar Vivadent), which has been on the market for some time, is a lithium disilicate glass-ceramic that demonstrates a flexural strength of 360 MPa. This ceramic is machined to the desired shape while it is still in its metasilicate or blue state (approximately 130 MPa). Subsequently, the ceramic is crystallised for 20 minutes. During this process, the material attains its final state and obtains its excellent mechanical and aesthetic properties. IPS e.max CAD is available in a low translucency (LT) version, which is suitable for the fabrication of crowns and implant-retained crowns. The high translucency form is intended for the construction of inlays and partial crowns. The stains and glaze are applied before the crystallisation process. As a result, subsequent polishing is unnecessary. Owing to the high strength of the restoration, adhesive cementation with a separate dentine conditioner is not indicated as long as the thickness of the ceramic is not less than 1.5 mm. Self-adhesive cementation materials can be used. The new self-adhesive composite cement SpeedCEM (Ivoclar Vivadent) is particularly suitable for this purpose.
In this case report, the chairside creation of a crown is described on the basis of a clinical case using IPS e.max CAD LT and the new SpeedCEM luting cement.
embedImagecenter("Imagecenter_1_754",754, "large");
Clinical case report
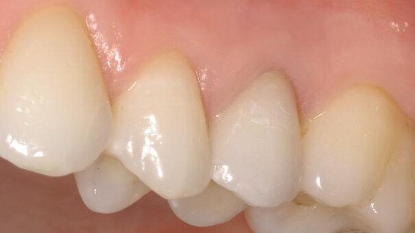
Tooth #25 of a 32-year-old female patient was restored with a crown owing to extensive destruction of the dental hard tissue (Fig. 1). First, the tooth was prepared with a shoulder of approximately 1 mm in width (epigingivally). Subsequently, the preparation was dusted with IPS Contrast Spray (Ivoclar Vivadent) and a digital impression was taken with the CEREC Bluecam camera (Sirona). The Version 3.8 of the CEREC software generates a visual image of the antagonists, which replaces the centric bite record. In order to match the maxillary and mandibular teeth, an image of the centric situation was captured from the buccal aspect (Fig. 2). The maxillary and mandibular teeth were matched semi-automatically (Fig. 3). The 3.8 version is capable of designing biogeneric occlusal surfaces for full crowns. The software provides a design proposal for the tooth morphology, which is based on the occlusal surface of the distal neighbouring tooth and the antagonist (Fig. 4). The image of the bucco-oral cross-section of the crown allows the user to check the minimum occlusal thickness of 1.5 mm (Fig. 5). The minimal densification of the ceramic (0.2 vol.%) during the crystallisation process is taken into account by the software and adjusted accordingly.
After the crown had been milled, the proximal and occlusal contacts were adjusted on the patient (Figs. 6 & 7). In this case, the white and creme materials from the corresponding stain assortment (IPS e.max CAD Crystall./Stains, Ivoclar Vivadent) were sparingly applied to the cusp tips and the sunset material to the tooth neck and in the fissures. Immediately afterwards, a glaze in spray form (IPS e.max CAD Crystall./Glaze Spray) was applied to the outer surfaces of the crown. The spray was applied several times. Once the restoration had been fully coated with a white-opaque glaze layer, the crown was fired in a combined crystallisation and firing process in the Programat CS furnace (Figs. 8 & 9). Before the restoration was cemented in place, the inner surface of the crown was etched with 4.9 percent hydrofluoric acid (IPS Ceramic Etching Gel, Ivoclar Vivadent) for 20 seconds. Subsequently it was silanised for 60 seconds (Monobond Plus, Ivoclar Vivadent). The crown lumen was filled with the self-adhesive SpeedCEM. Next, the crown was securely seated on the prepared tooth by applying even pressure (Fig. 10). The cement residue was polymerised for one second per surface (mesio-oral, disto-oral, mesiobuccal, distobuccal) with a curing light (bluephase in the low power mode, Ivoclar Vivadent) at a distance of about 5 mm. In this cured state, the cement was removed with great care using a scaler and a probe. The cement was fully cured with the bluephase in the high power mode. Subsequently, the cement margin was polished. The final inspection revealed the restoration to be in harmony with the overall situation (Figs. 11 & 12).
This article was published in CAD/CAM international magazine of digital dentistry, No. 4/2012.
Today’s computer-aided design and manufacture (CAD/CAM) technologies contribute greatly to restorative dentistry and provide clinicians with advanced ...
No-preparation ultrathin veneer is one of the most minimally invasive restorations. Its thickness ranges from 0.3 to 0.5 mm. In the right circumstances ...
Over the past decade, digital dentistry has significantly transformed prosthetic treatment workflows. Advances in intra-oral scanning and CAD/CAM ...
Guided surgery has been around for a long time. However, very few dentists in the UK place implants using surgical guides. The reasons for this are ...
Prudent clinical judgement and careful consideration of the risks and benefits of various treatment options are essential for the treatment planning and ...
REGENSBURG, Germany: In CAD workflows, differences in software algorithms and design strategies may result in clinically relevant variations in crown ...
Immediate implant placement is a well-recognised and successful treatment option after tooth extraction.[1, 2] Success rates for both immediate and ...
Dr. Gary Hack is an associate professor at the University of Maryland School of Dentistry, where he teaches in the Department of Advanced Oral Sciences and ...
Despite the increasing popularity of the current CAD/CAM laboratory systems and continuing technical advances, some clinicians have remained reluctant to ...
ANKARA, Turkey: Given that the long-term performance of CAD/CAM restorative materials depends on both their intrinsic properties and response to staining ...
Live webinar
Wed. 20 May 2026
7:00 am EST (New York)
Dr. Graham Carmichael BDSc (Hons), DClinDent (Pros), FRACDS, Dr. Robert Gottlander DDS
Live webinar
Wed. 20 May 2026
9:00 am EST (New York)
Live webinar
Wed. 20 May 2026
11:00 am EST (New York)
Live webinar
Wed. 20 May 2026
1:00 pm EST (New York)
Prof. Dr. med. dent. Tim Joda PhD, MSc, eMBA
Live webinar
Thu. 21 May 2026
12:00 pm EST (New York)
Dr. Leonardo Muniz DDS, MSC
Live webinar
Fri. 22 May 2026
10:00 am EST (New York)
Dr. Paweł Aleksandrowicz PhD
Live webinar
Fri. 22 May 2026
11:00 am EST (New York)
To post a reply please login or register