Search Dental Tribune

Inner surface of the endocrown. (All image: Drs Alejandro Bertoldi Hepburn & Matías Scazzola)

Many authors recommend not using endodontic posts in the reconstruction of endodontically treated molars, as they are not necessary for the retention of the restoration or for a better mechanical prognosis.1, 2 For the restoration of severely damaged endodontically treated molars, endocrowns made of highly filled nano-hybrid composites are a valid alternative to conventional post and cores and fixed partial dentures. Compared with conventional methods, endocrowns offer good aesthetics, better mechanical performance, lower costs and less clinical time for their fabrication, among other advantages.3, 4

Endocrown restorations are luted by adhesive cementation using the enlarged pulp chamber and the remaining coronal structure as the most effective retention area.5 This minimally invasive treatment concept has shown the following advantages in comparison with the classical post and core approach: preservation of healthy tooth hard tissue, reduced risk of catastrophic failures such as root fractures or perforation while preparing the post space, lower contamination of the endodontic system, fewer failures in creating the necessary adhesive interfaces, no need for excessive interocclusal space, fewer clinical appointments and lower costs of treatment.

The longevity of these restorations is similar or even better than that of conventional restorations on glass fibre-reinforced composite posts.6, 7 Compared with the insertion of posts, endocrowns are considered a more conservative approach that allows easier reintervention and access to root canals and that has reduced technical steps during fabrication (avoiding cementation of the post, creating a core build-up, producing a provisional crown, etc.), reducing treatment time and costs and the risk of endodontic reinfection.8 This article presents the endodontic retreatment and coronal restoration of a badly damaged mandibular molar using a hybrid nano-filled composite resin block for the fabrication of an endocrown by means of a CAD/CAM technique.

Case, diagnosis and treatment planning

A 40-year-old male patient came to our endodontics department at the University of Buenos Aires’ School of Dentistry in Argentina due to toothache. At the intra-oral examination, the restoration on tooth #46 presented with a mesial fracture. The preparation margins showed a clear marginal gap all around the restoration, indicating possible microleakage. The massive loss of dental hard tissue was particularly evident on the lingual side, and on the buccal side, the enamel margin was discoloured from grey to brown. The interproximal contact points between tooth #46 and neighbouring teeth had been lost. Teeth #47 and 45 appeared to be tipped towards the first molar.

The reason for the spontaneous pain was the endodontically treated tooth #46, which had been previously restored with an amalgam filling. There was also inflammation in the apical area of the molar evident from the intra-oral palpation.

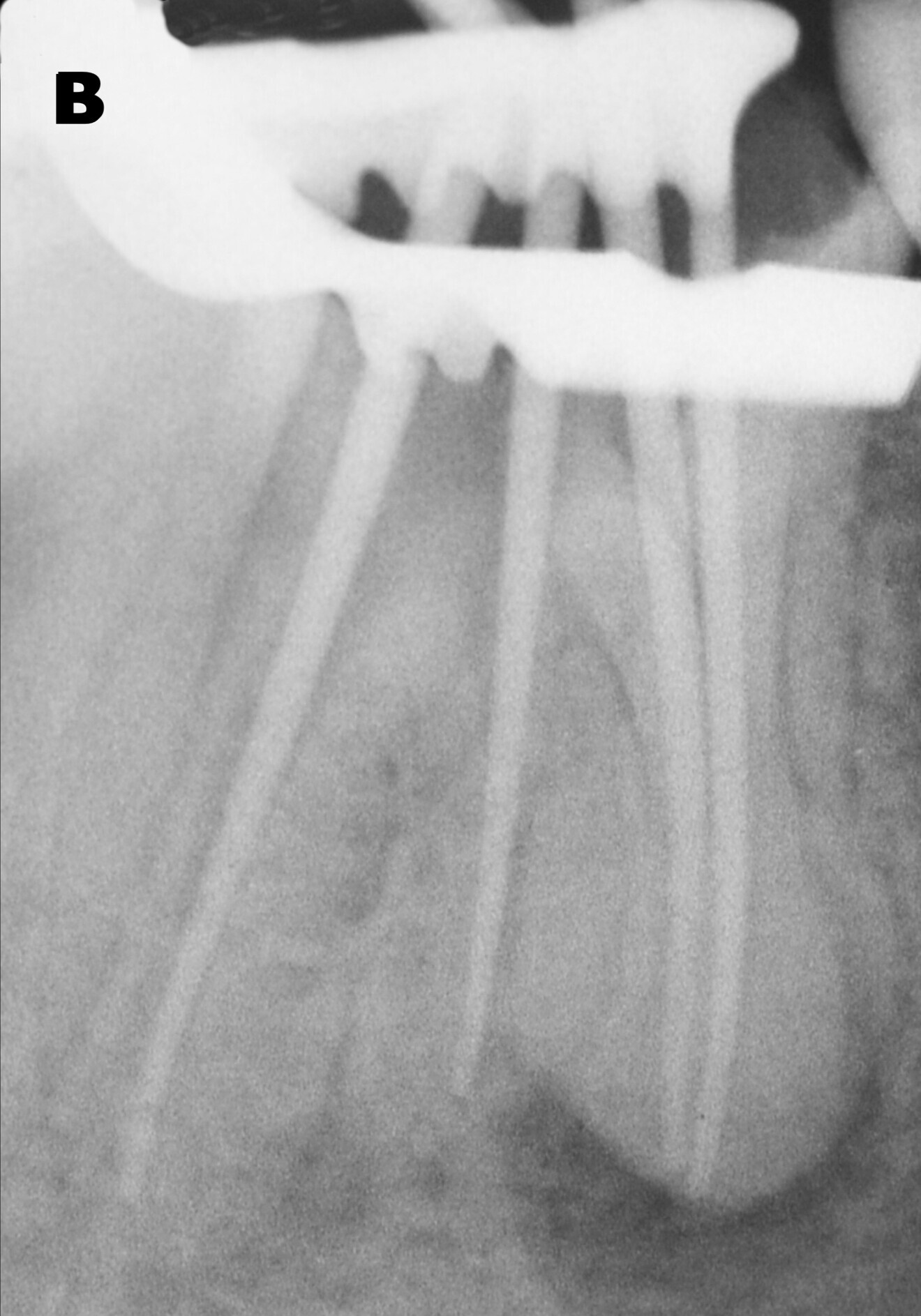
In the radiographic examination, the amalgam restoration showed open margins, especially on the mesial side (Fig. 1). The endodontic treatment was defective: the root canal preparation appeared to have been inadequate, and both the 3D seal and the working length were insufficient. A canal in the distal root seemed not to have undergone any endodontic treatment. Irregular root morphology compatible with hypercementosis was observed in the apical half of the roots of tooth #46, showing an increase of volume of a round shape. A widening of the periodontal space over almost all of its extent could also be observed. A significant apical lesion of the distal root and a smaller one of the mesial root were revealed as well.

The patient was diagnosed with a defective amalgam restoration on endodontically treated tooth #46 with microleakage, acute periapical periodontitis with spontaneous pain, and a ball-shaped morphology of both roots (hypercementosis). The tooth required endodontic retreatment and a new coronal restoration. Endodontic retreatment and immediate fabrication and insertion of the definitive coronal restoration were planned to be carried out in the same clinical session. The clinical situation and the intended therapy were explained to the patient, and the patient accepted the therapy recommended.

Timeline of treatment steps

The first step was the endodontic reintervention. After local anaesthesia, the operative field was isolated with a dental dam, and a dental dam clamp was placed around tooth #46. The old amalgam was removed, taking care to preserve sound tissue. Once the endodontic filling had been reached, remnants of amalgam and cement were carefully removed. The endodontic filling was removed with rotary instruments for canal shaping and retreatment (ProTaper Universal retreatment files, Dentsply Sirona). The coronal third was treated with the D1 file (30/0.09), the medium third with the D2 file (25/0.08) and the apical third with the D3 file (20/0.07). An entirely mechanical removal procedure was performed to avoid the use of endodontic solvents. The non-treated root canal in the distal root was located and manually prepared with size 15, 20 and 25 K-files. The same files were used for the radiographic check of the working length, which was measured with an apex locator (Fig. 2a).

Once the working length had been determined, the root canals were prepared and cleaned with the ProTaper Next system (Dentsply Sirona). This system has three main files, X1, X2 and X3, with a variable taper. Before moving to the next file in the sequence, the root canals were irrigated with a 2.5% sodium hypochlorite solution (EndoActivator, Dentsply Sirona).

After shaping, irrigation with a 17% EDTA solution was performed for 1 minute in the root canals, this antibacterial solution being indicated for removal of the smear layer. Final irrigation was done with a 2.5% sodium hypochlorite solution. The root canals were finally dried with sterile paper points.

ProTaper Next Conform Fit gutta-percha points (Dentsply Sirona), matched to the size of the canals prepared with ProTaper Next files, were inserted in each root canal and checked with an intra-oral radiograph (Fig. 2b). The root canals were then filled by means of a lateral condensation technique with cold gutta-percha and manual spreaders. Accessory gutta-percha points and an endodontic sealer (ADSEAL, Meta Biomed) were used as well.

Once completed, the gutta-percha points were cut manually with a hot instrument. After cleaning the dentine surface of the pulp chamber floor, a radiographic control was carried out (Fig. 3). The results were promising. The radiograph showed properly prepared, well-filled root canals, including the canal in the critical distal root. In all four root canals, the working and filling lengths were now well established.

Fig. 1: Radiograph of the pre-op situation showing insufcient endodontic treatment of tooth #46. Additionally, an amalgam coronal restoration with microleakage was detected. There were also apical lesions evident around both roots. Both neighbouring teeth had migrated towards tooth #46 and closed the interproximal spaces.

Fig. 1: Radiograph of the pre-op situation showing insufcient endodontic treatment of tooth #46. Additionally, an amalgam coronal restoration with microleakage was detected. There were also apical lesions evident around both roots. Both neighbouring teeth had migrated towards tooth #46 and closed the interproximal spaces.

Fig. 2a: Radiographs of the endodontic treatment. Working length control (a).

Fig. 2a: Radiographs of the endodontic treatment. Working length control (a).

Fig. 2b: Check of the extension of the Master gutta-percha points (b).

Fig. 2b: Check of the extension of the Master gutta-percha points (b).

Fig. 3: Post-op results of the endodontic treatment. A proper 3D seal had been achieved. The working length and sealing had been corrected. The extra distal root canal had been found, treated and sealed.

Fig. 3: Post-op results of the endodontic treatment. A proper 3D seal had been achieved. The working length and sealing had been corrected. The extra distal root canal had been found, treated and sealed.

After the endodontic retreatment, a great loss of tissue was observed in the coronal part of the molar, including the loss of enamel in the distal and lingual sides of the tooth crown, and the residual dentine was thin and strongly discoloured (Fig. 4). Nevertheless, the area that would serve for adhesive bonding to the planned endocrown was large and voluminous. This space, an enlarged pulp chamber, consisted of the original pulp chamber augmented by the access cavity, endodontic instrumentation and iatrogenic tissue removal (Fig. 5).

Fig. 4: Situation immediately after root canal filling. Gutta-percha needed to be cut properly. Poor condition of the residual dentine. No longer any enamel on the distal area.

Fig. 4: Situation immediately after root canal filling. Gutta-percha needed to be cut properly. Poor condition of the residual dentine. No longer any enamel on the distal area.

Fig. 5: Large volume of the enlarged pulp chamber. There were undercuts over the lingual wall. The remaining tissue was thin.

Fig. 5: Large volume of the enlarged pulp chamber. There were undercuts over the lingual wall. The remaining tissue was thin.

Since some excess material had accidentally been left behind, 1–2 mm of gutta-percha inside each root canal was removed using the tip of an ultrasonic device without water cooling and with manual excavators. Removing excess gutta-percha and cleaning away the endodontic sealer are important steps for enhancing adhesion to the floor of the pulp chamber; hence, this was done under the microscope (Fig. 6).

The next step was the covering of the floor of the enlarged pulp chamber and its walls with a flowable composite material in order to close the access to the root canals, to fill the undercuts and to shape the final preparation. Pretreatment with total etching using 37% phosphoric acid of enamel and dentine was carried out over the enlarged pulp chamber for 15 seconds, the phosphoric acid was aspirated and the conditioned surface rinsed for 20 seconds (Fig. 7a). Afterwards, a universal dual-polymerising adhesive (Futurabond U, VOCO) was applied to the conditioned surface, which had been dried off according to the instructions for use (Fig. 7b). The adhesive was rubbed carefully for 20 seconds and for at least 5 seconds with a gentle air stream for the evaporation of the solvent and remaining water. Light polymerisation of the adhesive was then performed for 10 seconds with a high-power LED curing light (Celalux 3, VOCO).

Subsequently, a layer of a dual-polymerising core build-up composite (Rebilda DC, VOCO) was applied over the cavity floor and the lingual wall where the undercuts were present (Fig. 8). The build-up material was light-polymerised immediately thereafter (Fig. 9) and the cavity reshaped (Fig. 10), resulting in a smooth floor and preparation margins and a voluminous enlarged pulp chamber. The residual tissue, especially the enamel over the mesial side, could be preserved.

Owing to the loss of interproximal contact points that had occurred in the previous years, both teeth #47 and 45 had tipped towards tooth #46, bringing it into contact with them subgingivally. After their separation with a thin diamond bur, the appropriate space needed was recreated to allow proper coronal restoration of tooth #46. Finishing and polishing reciprocating tips for the EVA system (KaVo Dental) were used afterwards to smooth and polish the reduced interproximal surfaces. Immediately thereafter, the dental dam was removed and retraction cord was placed around the molar (Fig. 11). A digital impression was carried out using the CEREC Omnicam (Dentsply Sirona; Fig. 12), capturing the preparation margins of the endocrown cavity perfectly.

Fig. 11: Final preparation prior to taking the digital impression, for which retraction cord had been placed.

Fig. 11: Final preparation prior to taking the digital impression, for which retraction cord had been placed.

Fig. 12a & b: Margins and various details of the cavity preparation well captured in the digital impression.

Fig. 12a & b: Margins and various details of the cavity preparation well captured in the digital impression.

Fig. 12b.

Fig. 12b.

Figs. 13a–d: Design performed in exocad (a & b). Restoration digitally placed inside the block to support the milling process (c & d).

Figs. 13a–d: Design performed in exocad (a & b). Restoration digitally placed inside the block to support the milling process (c & d).

After general design of the restoration, the impression file was transferred to another design program (exocad) in order to digitally generate the restoration (Fig. 13). After completion of the digital design of the endocrown, the file was returned to the CEREC system. Once this had been done, the restoration was fabricated by milling a block of a highly filled nano-ceramic hybrid material (Grandio blocs, VOCO; Fig. 14). The processing of the composite block took about 10 minutes. Afterwards, a light-polymerising characterisation material (FinalTouch, VOCO) was applied to pretreated furrows and fissures (Fig. 15), light-polymerised and occlusally covered with a packable or flowable composite (or a mixture) and light-polymerised. The endocrown was polished with rubber points and brushes (Figs. 16 & 17).

During the CAD/CAM of the restoration, the patient remained in the clinic. Once the restoration had been finished, it was taken to the clinic, disinfected in alcohol for 3 minutes and tried in the cavity. The fit was very precise and so was the occlusal relationship, so no adjustments were done. The restoration covered the remaining tissue, and the portion inserted in the enlarged pulp chamber was voluminous to guarantee the retention of the endocrown and protect the residual dental tissue.

After several try-in tests, the adhesive luting could take place. For this purpose, the inner surface of the endocrown had been previously roughened through sandblasting with 50 µm aluminium oxide particles at 100–200 kPa, cleaned using brushes and distilled water and detergent, rinsed with water and dried with air stream (Fig. 18a). Thereafter, a silane coupling agent (Ceramic Bond, VOCO) was applied and let dry for 60 seconds (Fig. 18b). Once again, retraction cord was placed in the gingival sulcus to displace the free gingivae and prevent fluids from affecting the adhesive process, and Teflon tape was used to protect the neighbouring teeth (Fig. 19).

Figs. 18a & b: Inner surface of the endocrown after sandblasting with aluminium oxide particles, followed by cleaning of the surface with distilled water and detergent (a). Application of Ceramic Bond (b).

Figs. 18a & b: Inner surface of the endocrown after sandblasting with aluminium oxide particles, followed by cleaning of the surface with distilled water and detergent (a). Application of Ceramic Bond (b).

Fig. 19: Tooth ready for the adhesive pretreatment with Futurabond U. Teon tape protecting the neighbouring teeth and retraction cord placed.

Fig. 19: Tooth ready for the adhesive pretreatment with Futurabond U. Teon tape protecting the neighbouring teeth and retraction cord placed.

The newly covered cavity was etched with 37% phosphoric acid, rinsed with water, dried and pretreated with Futurabond U. A dual-polymerising cementation composite material (Bifix QM, VOCO) was applied to the endocrown (Fig. 20) so that it could be luted in the tooth. After application of continuous light pressure, it was fitted into place correctly. Excess cement was removed with micro-brushes from the lingual and buccal sides and with dental floss from the interproximal spaces. The material was then light-polymerised for 1 minute from the lingual and buccal sides. The margins were optimised with finishing diamond burs and polished with rubber points and brushes. The interproximal spaces were checked for excess material. The occlusion was checked, and no adjustments were needed (Figs. 21 & 22).

Fig. 20: Cementation of the restoration with Bifix QM after acid etching, rinsing and drying of the tissue and core build-up composite and application of Futurabond U.

Fig. 20: Cementation of the restoration with Bifix QM after acid etching, rinsing and drying of the tissue and core build-up composite and application of Futurabond U.

Fig. 21: After placement of the restoration and removal of excess adhesive cement and polishing of the margins and the surface.

Fig. 21: After placement of the restoration and removal of excess adhesive cement and polishing of the margins and the surface.

Fig. 22: After polishing of the occlusal surface. The gingivae had been injured and needed to heal.

Fig. 22: After polishing of the occlusal surface. The gingivae had been injured and needed to heal.

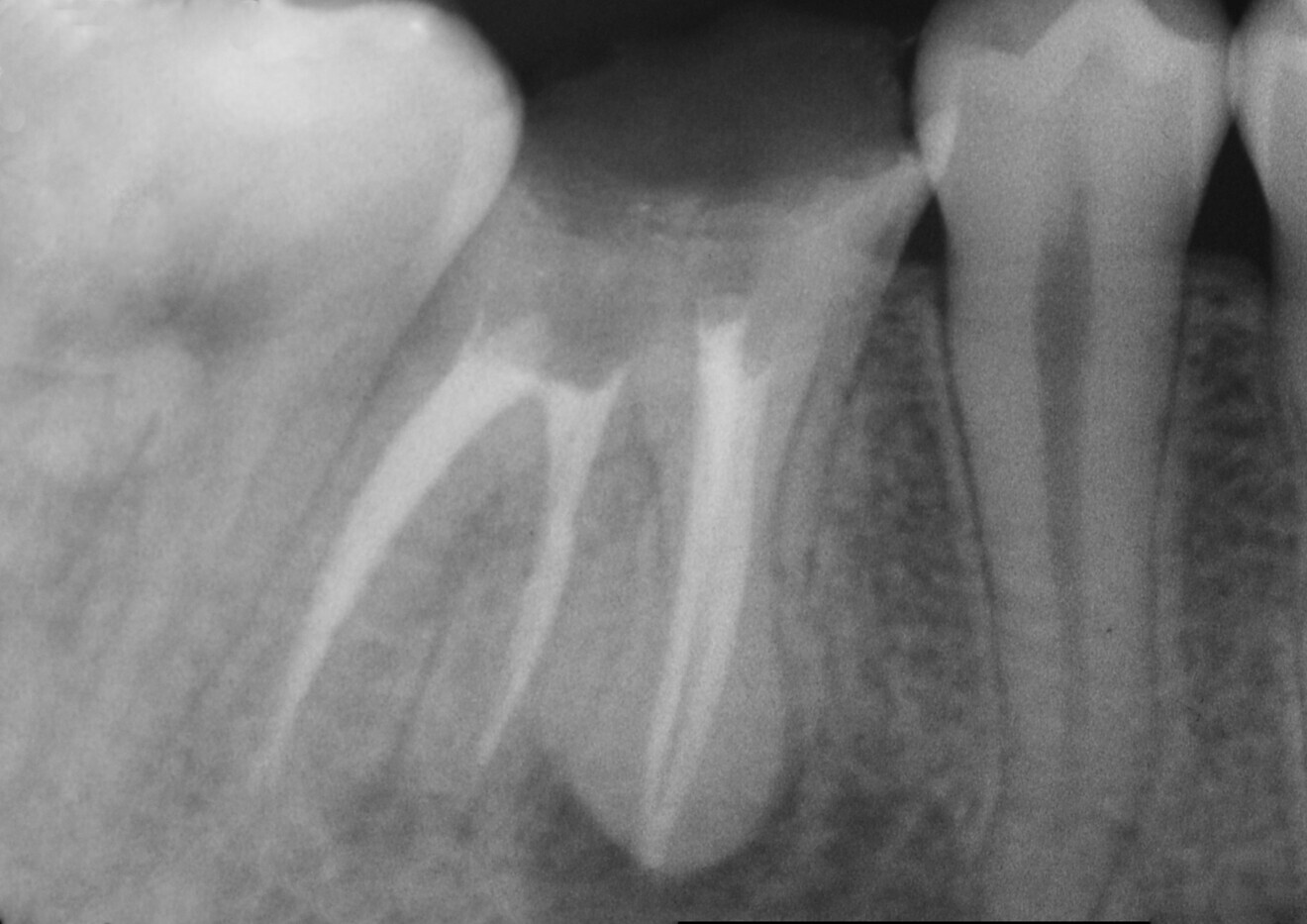
Figs. 23a & b: Radiographs before (a) and after (b) treatment, showing dramatic differences. The endodontic treatment had been corrected and the restoration was well adapted and shaped. The interproximal relationships had been re-established through the anatomy of the endocrown. There were no gaps between the restoration and the endodontic filling. The sealing of the endodontic treatment was complete and tight.

Figs. 23a & b: Radiographs before (a) and after (b) treatment, showing dramatic differences. The endodontic treatment had been corrected and the restoration was well adapted and shaped. The interproximal relationships had been re-established through the anatomy of the endocrown. There were no gaps between the restoration and the endodontic filling. The sealing of the endodontic treatment was complete and tight.

Results

The endodontic retreatment and endocrown restoration of a badly damaged molar were carried out in a single clinical session. Postoperative clinical photographs and radiographs verified the results of the treatment: the molar recovered its anatomical forms and thus its function.

The endocrown restoration and the build-up material occupied the enlarged pulp chamber completely; the access to the root canals was thus closed hermetically. The margins of the endocrown also showed an adequate seal. The tight seal of the restoration will play a crucial role in the long-term results of the endodontic treatment.

Regarding the endodontic retreatment, the preparation and seal of the root canals were appropriate, a suitable 3D seal was achieved and the working length was corrected. Also, the previously untreated root canal in the distal root was properly prepared and sealed (Fig. 23).

Discussion

 The radiographically diagnosed hypercementosis of tooth #46 was a factor with no therapeutic consequences. This hyperplastic formation of radicular cementum could have arisen from irritation of infected root canals and/or by the hyperactivity or hypoactivity of the tooth root due to dysfunctional occlusal forces associated with the defective anatomy of the old restoration.

In one clinical session, the badly damaged tooth #46 was endodontically retreated and restored with an endocrown fabricated chairside by means of CAD/CAM technology. This combination is both time- and money-saving.

The microscope-assisted cleaning of the gutta-percha and endodontic sealer are expected to enhance the adhesion over the floor of the cavity.1 The quality of the coronal restoration is at least as important for periapical health as the quality of the endodontic treatment itself.9

In the case of endodontically treated teeth, several advantages result from carrying out the definitive coronal restoration in the same session as the post-endodontic treatment of the root canals.10 It ensures a better coronal seal and increases the success of the endodontic treatment. Moreover, the time between the root canal filling and the coronal restoration should be as short as possible to avoid root canal recontamination.11 Better mechanical protection is provided to residual tissue from the very beginning of the process if a definitive restoration is inserted in the same session. In fact, the probability of dislodgement of the definitive restoration is much lower compared with that of a provisional one. The final function of the tooth is restored from the very beginning of the process, subsequently offering greater comfort to the patient. Patients normally appreciate having the process finished in just one clinical appointment although it is a longer session.

The material of choice for this endocrown was an industrially polymerised highly filled nano-ceramic hybrid material. Together with lithium disilicate-reinforced glass-ceramics, feldspathic ceramics and polymer-infiltrated feldspathic ceramics (hybrid ceramics), highly filled nano-hybrid composites are considered among the most suitable for the fabrication of endocrowns. Case reports and clinical studies have shown additional advantages of the fabrication of endocrowns with nano-ceramic hybrid materials like the one used for this case: the greater elasticity results in higher absorption of mechanical stress and thus higher protection of weakened tooth tissue.8, 12, 13

Compared with a conventional provisional indirect restoration made of regular composite inserted and polymerised over a plaster model, an industrially polymerised highly filled nano-ceramic hybrid material such as Grandio blocs used in this case shows better physical and mechanical properties13 and features a higher degree of polymerisation. The higher degree of polymerisation reduces water absorption and degradation in the oral environment. A restoration made from Grandio blocs is expected to have a higher fracture resistance, no chipping fractures and no deformation (because it is prepolymerised). Compared with analogue procedures, the CAD/CAM approach adds precision to the final restoration.12

The cavity preparation is also a sensitive aspect when working with endocrowns. Butt joint occlusal margins are preferred, and axial reduction is not recommended.4, 2 Some recent investigations have suggested that butt joints implemented with 20° bevels are more effective than flat butt joints.14 In this case, no axial reduction was performed.

Subgingival preparation margins must be accessible, and this can be achieved, among other methods, by placing retraction cord before taking conventional or digital impressions. No contact should be present between the cavity and the adjacent tooth. The occlusal space should be adequate as well and have been carefully checked previously.12

According to various studies, the adhesion protocol when cementing the restoration is also crucial. The dentine of an endodontically treated tooth and especially the dentine of the root canal and of the floor of the pulp chamber might represent an altered substrate, offering lower adhesive power.15 Clinically, tooth #46 had become brown and translucent because several years had passed since the tooth had lost its vitality. Research indicates that dentine in this condition might have modified collagen (lower density collagen with short and cut fibres). This could negatively affect the adhesive technique when depending exclusively on the collagen fibre–adhesive–hybrid layer. Dentinal tubules should be open in order to generate resin tags and compensate for the loss of adhesion due to the poor quality of the collagen.16

In this clinical situation, by the time the restoration process had started, the dentinal tubules were open, endodontic treatment having just been completed and before the adhesive post-endodontic treatment. Here, it was important not to use rotary instrumentation for removing the excess gutta-percha, as this would have generated a secondary smear layer. This is more difficult to dissolve, the usual smear layer being associated with plasticised gutta-percha and endodontic sealer.17 Thus, for such cases, the use of ultrasonic tips and hand instrumentation is preferable for removing excess gutta-percha. Excess endodontic sealer should also be carefully removed with alcohol or a detergent substance using micro-brushes or sponges (e.g. Pele Tim, VOCO). Carrying out total-etch conditioning using a 35%–40% phosphoric acid gel after removing gutta-percha and sealer excess will also help keep the dentine clean and its tubules open.

Conclusion

Performing the restoration immediately after endodontic treatment ensures a better and immediate coronal seal, ensures immediate protection of the sound tissue, saves time, and offers comfort and confidence to the patient and the clinician. Endocrowns made of the highly filled nano-ceramic hybrid material Grandio blocs represent a new alternative for treating badly damaged teeth, especially molars, while freeing the dentist from the use of root posts. In vitro and clinical studies as well as clinical experience with this material are promising. These endocrowns represent a less invasive and better mechanical option compared with posts and crowns.

Editorial note:

This article was published in digital—international magazine of digital dentistry vol. 4, issue 2/2023. The list of references can be found here.

Tags:
To post a reply please login or register
advertisement
advertisement