CEREC has become part of everyday life at our practice where I and three other general dentists work. We treat not only patients from the direct vicinity, but also patients from some 600 km away; indeed, these make up around 25 per cent of our client base today. Treatment in a single session is thus an important “added value” service for our patients. And that is reflected in our system’s take-up rate. As a practitioner, it is important to me not to have to compromise when it comes to restorations and, in particular, to have full control over the process at all times. That may sound trivial, but it has a major impact on the treatment itself, including the dental technology aspect, on my time management, as I can treat another patient during CAD/CAM production, and also on the cost-effectiveness of my practice. And, of course, one should not forget the high levels of patient satisfaction. Our patients couldn’t be more impressed with CEREC, especially when they realise the indications for which it can be used in implantology and orthodontics.
The very latest developments have resulted in numerous improvements in terms of the range of applications. CEREC is far more than just a system to produce crowns and bridges. For example, we also use it for orthodontic indications. Here, a guided scan and model analysis assist treatment. With regards to implantology, digital impressions and chairside production of the suprastructure enable a completely digital workflow.
En route to a “10-click crown”
The changes in the workflow are particularly evident when using the new CEREC software 4.5, which I had the chance to use during the test phase and have now been operating for four months. What stands out most is the time saved and the impressive quality of the initial proposal, with an exceptional accuracy of fit for the desired restoration. In my view, this software is paving the way to a “10-click crown”—made quickly, simply and safely. This is aided by a multitude of integrated automatic features, starting with the restoration itself—for which the software makes direct proposals—and extending to the automatic setting of the correct insertion axis. The individual steps are self-explanatory and the software works rapidly, even in the background. The intuitive software and our wealth of experience from more than 2,500 restorations are what make the system so valuable to us. I also love to share my passion for teeth with my patients, who clearly enjoy keeping track of what I am doing and why. The case described as follows is an apt example of precisely this.
Fig. 1: Initial situation.
Fig. 2: Considerably shortened tooth crowns due to bruxism.
Fig. 3: Clinical situation initially. Worn anterior dentation and compensatory overeruption.
Fig. 4: Clinical situation after nine months of clear aligner therapy. Total of 2 mm of intrusion was achieved.
Fig 5: Result after nine months of orthodontic treatment.
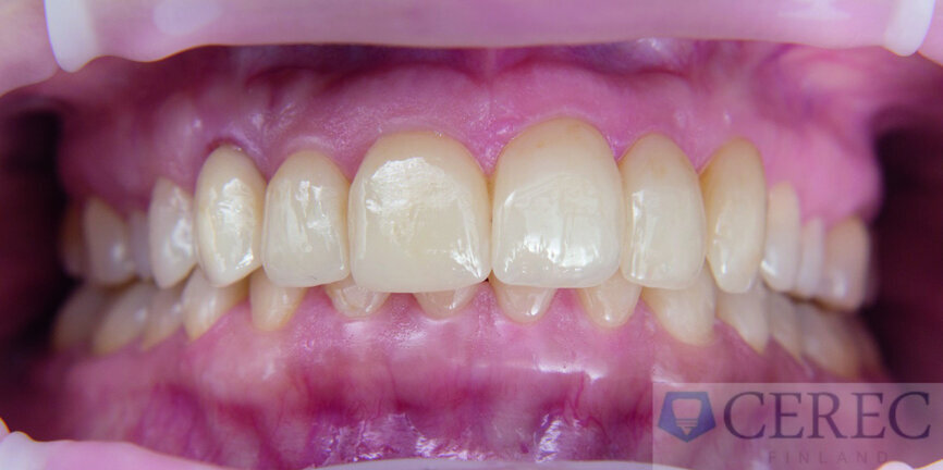
Fig. 6: …and after placement of the veneers in the maxilla.
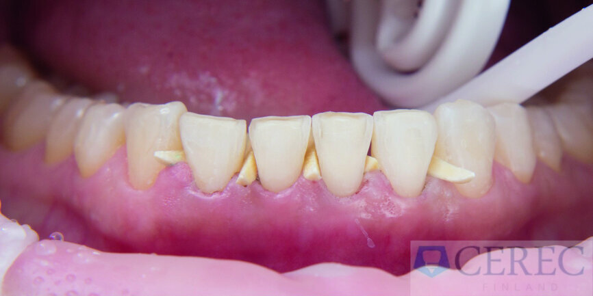
Fig. 7: Preparing the mandible for the veneers.
Fig. 8: Veneers produced chairside prior to fitting.
Fig. 9: Image after fitting the veneers.
Fig. 10: Perfect adaptation of the veneers with optimal margin design.
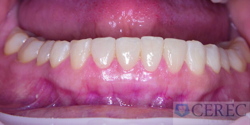
Fig. 11: Final appearance on lip rest position showing good amount of tooth structure.
Fig. 12: Good support for the upper lip.
Stronger together!
A female patient (43 years old) came to us with a rather unusual problem: she experienced discomfort when talking, and it also appeared as if she was edentulous. Her upper lip was thin and shortened; she appeared significantly older than her years. This was due to abraded anterior and posterior teeth caused by severe bruxism (Figs. 1 and 2).
Following a detailed consultation, it was decided that the patient would firstly undergo short orthodontic treatment. Due to the abrasion, both maxillary and mandibular incisors were compensatory overerupted. This creates a situation where all teeth and gingiva moves. In order to correct this kind of situation,
We first have to intrude the incisors. This leads to a situation before the eruption and to an open bite anterior. The aim was to intrude the incisors to their original position and to create space for no-prep veneers. The second goal was to add as much upper lip support as possible. This can be then corrected with no-prep veneers.
In the first stage, a scan of the complete jaw was performed using the CEREC Ortho software and the CEREC Omnicam. This formed the basis for creating the therapeutic aligners for intrusion in the maxilla and mandibula in order to correct the bite (Fig. 3).
The patient wore Invisalign aligners for nine months. This created ideal gingival harmony and sufficient space to place no-prep veneers on the anterior teeth (Fig. 4).
It proved very simple to produce the veneers with the new CEREC software 4.5. The complete scan had a very positive impact on the quality of the initial proposal, enabling the software to use several teeth as a reference for the initial proposal. In line with expectations, a first-class proposal was produced for the desired restoration as previously configured. We provided the patient with a total of six veneers (13 to 23) in the maxilla in a single visit. The shape of the upper veneers was designed to maximise upper lip support.
We also orthodontically modified the position of the teeth in the mandible in order to prepare teeth 32 to 42 for veneers. The no-prep veneers were produced chairside from e.max blocks using extra-fine milling tools and were 0.2 to 1 mm thick (we use both CEREC zirconia and CERASMART in our practice). The margins were designed optimally thanks to the new software-controlled milling algorithms.
This meant no corrections at all were required; adaptation to the natural teeth was immediate and created a highly attractive result.
We were fascinated by the accuracy of the fit. Adaptation is especially good in the lingual area; the interface between the natural tooth and ceramic is barely visible. This is ultimately what we had hoped to achieve.
For enhanced quality of life
Our approach of starting out with orthodontic correction enabled us to greatly influence the overall visual impression of the patient’s face. Following treatment, the patient appeared younger; the teeth can now be seen when the patient talks, and the upper lip is well supported by the teeth. For us, this meant an ideal result after nine months without compromises; for the patient it meant a greatly improved quality of life.
Editorial note: A list of references is available from the publisher. This article was published in CAD/CAM – international magazine of digital dentistry No. 04/2017.
CAD/CAM technology and materials are currently used in a number of clinical applications, including the fabrication of indirect restorations. CAD/CAM gives ...
Dr. Gary Hack is an associate professor at the University of Maryland School of Dentistry, where he teaches in the Department of Advanced Oral Sciences and ...
CAD/CAM restorations made chairside with CEREC are among the most intensively studied restorations in dentistry. Numerous studies show that the clinical ...
BENSHEIM, Germany: Dentsply Sirona has appointed Dr Alexander Völcker as Group Vice President of CAD/CAM. Since starting at the company in 1990, Völcker ...
Janne Ruokola, Planmeca’s sales manager for CAD/CAM products, has been working with CAD/CAM technology for more than ten years. In his career, he has seen...
Now more than ever, it behoves dentists and laboratories to work together as part of an interdisciplinary and collaborative team to coordinate treatment, ...
Until very recently, my patients would have considered undergoing complete treatment including a ceramic crown or a bridge in one visit science fiction. The...
No-preparation ultrathin veneer is one of the most minimally invasive restorations. Its thickness ranges from 0.3 to 0.5 mm. In the right circumstances ...
CAD/CAM technology continues to influence how dental practices and laboratories plan, design and deliver restorative treatment, and dental teams need to ...
Dental crowns have been used for decades to restore compromised, heavily restored teeth, and for aesthetic improvements. New Computer Aided Design/Computer ...
Live webinar
Wed. 20 May 2026
7:00 am EST (New York)
Dr. Graham Carmichael BDSc (Hons), DClinDent (Pros), FRACDS, Dr. Robert Gottlander DDS
Live webinar
Wed. 20 May 2026
9:00 am EST (New York)
Live webinar
Wed. 20 May 2026
11:00 am EST (New York)
Live webinar
Wed. 20 May 2026
1:00 pm EST (New York)
Prof. Dr. med. dent. Tim Joda PhD, MSc, eMBA
Live webinar
Thu. 21 May 2026
12:00 pm EST (New York)
Dr. Leonardo Muniz DDS, MSC
Live webinar
Fri. 22 May 2026
10:00 am EST (New York)
Dr. Paweł Aleksandrowicz PhD
Live webinar
Fri. 22 May 2026
11:00 am EST (New York)
To post a reply please login or register