With the advancement of dental implantology techniques, implant treatment has become more affordable and thus easier for patients to accept, even though implant surgery is quite an invasive procedure. In addition, an increasing number of dentists are becoming specialists in the field of dental implantology.
All these factors contribute to the flourishing of implantology and implant treatment. In the case presented in this article, the treatment was carefully planned with the aim of restoring function and correct occlusion to regions #13 and 15 with a bridge supported on two implants.
Implant insertion
Two implants (Nobel Biocare) were inserted in place of teeth #13 and 15 (Fig. 1). The next stage of the treatment was performed a few months later to ensure proper osseointegration. This increases the possibility of long-term success of the treatment.
Intra-oral scan
After ensuring that the emergence profiles were correct and the soft tissue around the implants healthy, the intra-oral scanning was performed with Aoralscan 3 (SHINING 3D) to capture the digital impression. The first step was to obtain full-arch data without scan bodies (Fig. 2), then to choose and delete gingival data around the implant, and then insert the scan bodies for intra-oral scanning (Fig. 3). The last scan recorded the occlusion data (Fig. 4). Although there was a metal crown on tooth #47, Aoralscan 3, employing the function of active scanning of metal surfaces, captured its morphology very well without additional powder spray (Fig. 5).
Figs. 2 & 3: Scan without the scan bodies attached.
Fig. 3
Fig. 4: Scan with the teeth in occlusion.
Fig. 5: Scan of the metal crown.
CAD of the restoration
The restoration was designed in exocad software (Figs. 6–8). There are many factors to consider when designing a prosthetic restoration, such as location, stress distribution of the implants, the occlusal relationship and the number of artificial teeth the implants can support—generally, two implants can support three to four artificial teeth.
Figs. 6–8: Design of the final restoration.
Fig. 7
Fig. 8
Try-in provisional restoration
DM12 resin (SHINING 3D) was used to print the model (Figs. 9 & 10) with the AccuFab-D1s printer (SHINING 3D). The printed model was used for quality inspection of the provisional restoration, which was placed in the patient’s mouth until the final restoration was ready.
Fig. 9: 3D-printed models.
Fig. 10: Scooping the models off the printing platform.
Final restoration
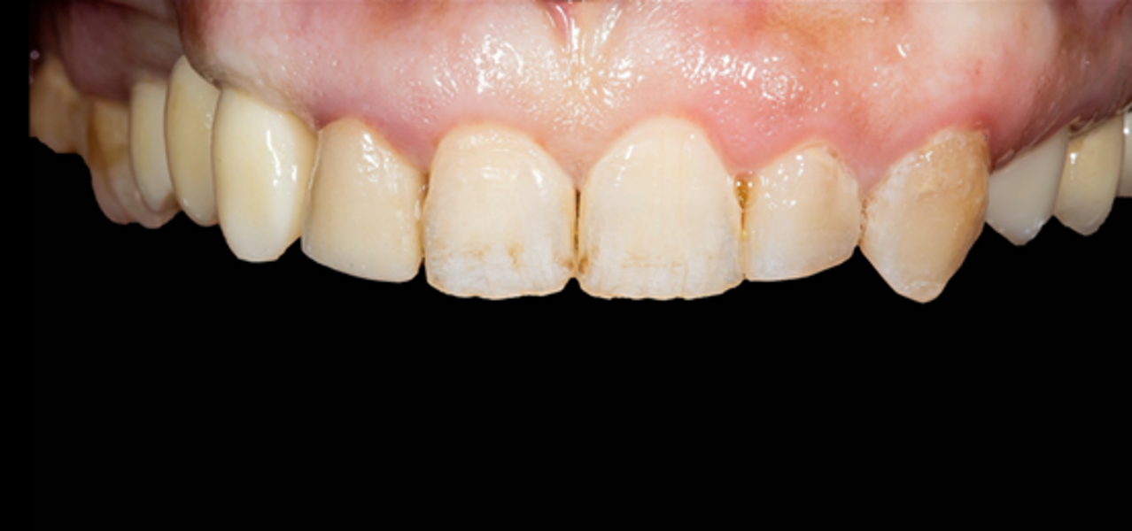
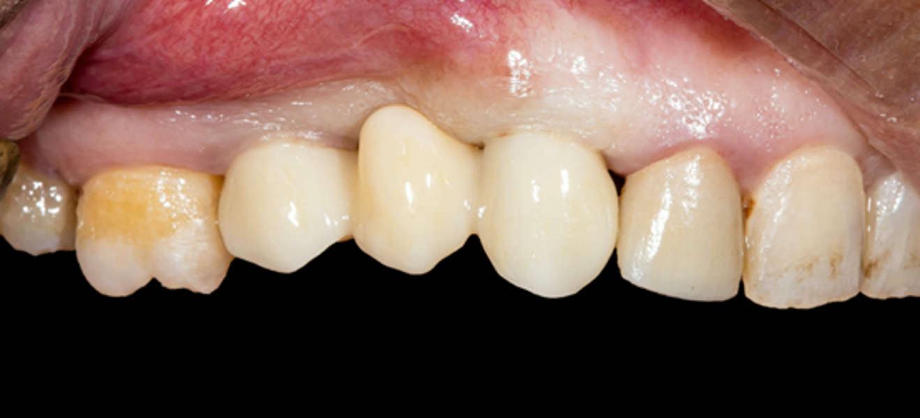
The final restoration was produced with monolayer zirconia. After try-in on the model (Figs. 11 & 12), the restoration was placed into the patient’s mouth. The morphology, occlusion and colour of the final restoration were satisfying, and the patient was very pleased with the final outcome of the treatment (Figs. 13–15).
Fig. 11: Final restoration on the model, buccal view.
Fig. 12: Final restoration on the model, occlusal view.
Fig. 13a-c: Implants with healing abutments (a). Emergence profiles, a few months after implantation (b). Final restoration in situ (c).
Fig. 14: Final restoration in the patient’s mouth, left lateral view.
Fig. 15: Final restoration in the patient’s mouth, frontal view.
Dental implants are a fantastic addition to the repertoire of any restorative dentist and allow us to provide a tooth replacement in a way that minimises ...
Full-arch implant-supported reconstruction continues to provide viable solutions to restore and improve function, enhance aesthetics and change quality of ...
Single-unit and short-span restorations present clinicians with an excellent opportunity to utilise digital workflows. These high-accuracy appliances ...
The combination of advanced materials and manufacturing techniques makes the industrial production of prosthetic components possible for every clinical ...
In recent years, 3D-printed polymer-infiltrated ceramic resins, also defined as hybrid composites, have emerged as a promising option for definitive dental ...
The evolution of digital dentistry has revolutionised the way dental procedures are planned and executed. This case highlights the integration of various ...
Planmeca is known for high-tech innovations and continuous product development. The company’s powerful Planmeca Romexis software platform allows all ...
The latest generation of two-piece ceramic implants (zirconia) is considered an alternative treatment option to titanium implants owing to their excellent ...
Education
Live webinar Sun. 3 May 2026 12:00 pm EST (New York)
MADRID, Spain: Periodontal disease in children and adolescents can be difficult to diagnose and manage due to inconsistent definitions and the limitations ...
On 3 and 4 October, dental professionals from around the world will gather in Tokyo in Japan for the sixth GC International Dental Symposium. Organised as ...
RIYADH, Saudi Arabia: Koelnmesse and dmg events have announced the launch of the annual International Dentistry Exhibition and Meeting in Saudi Arabia (IDEM...
To post a reply please login or register