Dental implants are a fantastic addition to the repertoire of any restorative dentist and allow us to provide a tooth replacement in a way that minimises damage to remaining dentition. The restoration of dental implants requires a sound knowledge of restorative dentistry, prosthodontics and periodontology. Traditionally, this has been carried out with an analogue impression taken with an impression coping either via an open or closed tray impression technique. A skilled technician then fabricates this restoration over a 2- to 3-week period. The time and skill required for these restorations both from the clinician and technician command high fees for the patient.
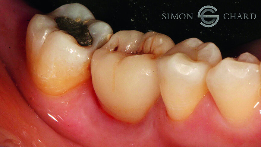
This case report highlights a novel method of restoring implants utilising the modern advances in digital intraoral scanning and chairside milling. It illustrates how an aesthetic single implant retained crown can be provided chairside without the need for analogue impressions (Figs. 1 & 2: Pre-operative condition).
Following a discussion of the options for replacement of LR6, the patient elected for an implant-retained solution. A MegaGen AnyRidge 4 x 10 mm implant was placed utilising a surgical guide for position of the pilot hole. An immediate temporary crown was fabricated using the MegaGen fuse abutment and DMG Luxatemp. A silicone index of the diagnostic wax-up was fabricated and the temporary crown was polished and taken out of occlusion while the implant fully integrated (Fig. 3).
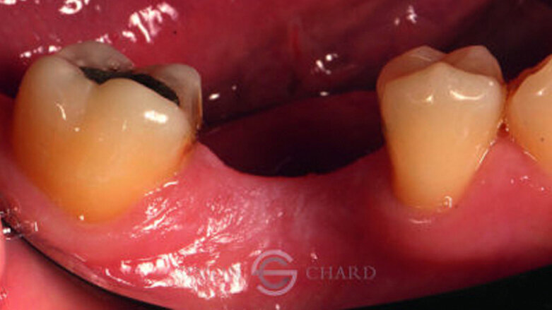
Following 3 months of integration, the patient attended the practice for the restoration of the implant with a definitive crown. During this period, the soft tissue had been given time to mature and a beautiful molar soft tissue profile had formed (Figs. 4 & 5).
Traditionally, capturing the detail of this soft tissue profile with analogue methods is complicated and time consuming; however, utilising a digital intraoral scan (CEREC Omnicam) a “gingival mask scan” can be taken to accurately replicate this soft tissue and use it to guide the subgingival emergence profile of the restoration (Fig. 6).
Following removal of the temporary crown, a TiBase was placed into the fixture head and a scan body used as a reference point for the scanning of the implant (Figs. 7 & 8).
Following digital intraoral scanning (DIOS) of the opposing arch, working arch and buccal bite, a digital design was created using the biogeneric individual design mode. In this design mode on the CEREC Omnicam, the software evaluates the other teeth captured in the DIOS and tries to recreate what it believes to be the closest match to the original missing tooth (Figs. 9–11).
This tooth design is then positioned digitally within an e.max meso block. This meso block has a predetermined hole within it that acts as the access hole for the screw-retained crown, as well as the orifice into which a TiBase will be bonded (Fig. 12).
This restoration is then milled from the low translucency monolithic e.max CAD Block in its purple phase (taking around 18 minutes) and checked for precision of fit on the TiBase (Figs. 13 & 14).
It is tried in intraorally to assess contacts and occlusion in static and dynamic function (Figs. 15 & 16). The restoration is then stained using Ivoclar e.max Crystall Glaze so as to provide an aesthetically harmonious restoration and glazed with Glaze Spray. It is placed in an Ivoclar Vivadent Programat CS2 firing furnace for 15 minutes to crystalise the ceramic, turning it from purple to tooth-coloured (Fig. 17).
The ceramic restoration is then bonded onto the TiBase extraorally. The fit surface of the ceramic is treated with 5 % Hydrofluoric acid and silanated with Monobond Plus (Ivoclar Vivadent). The TiBase is sandblasted and also silanated. Finally, the ceramic and TiBase are bonded with multilink hybrid resin cement (Ivoclar Vivadent; Figs. 18–21).
Following the bonding, the restoration is steam cleaned to remove any residue. The final restoration (Fig. 22) is now ready to be inserted, approximately 2 hours after the patient arrived in the practice (Fig. 23).
The restoration is finally torqued down to 25 Ncm. Following this, occlusion is rechecked, but no adjustment is required at this stage following the try-in adjustments. PTFE is placed in the access cavity and the access hole filled with opacious composite (OMC Venus Pearl) and stained with Venus tints (Figs. 24–26).
In conclusion, as you can see in the final result (Figs. 27–29) an aesthetic, biologically designed and durable restoration has been fabricated. The patient has been delivered the final restoration in a single visit without the need for traditional analogue impressions.
Editorial note: A list of references is available from the publisher. This article was published in CAD/CAM - international magazine of digital dentistry No. 04/2017.
Guided surgery has been around for a long time. However, very few dentists in the UK place implants using surgical guides. The reasons for this are ...
With the advancement of dental implantology techniques, implant treatment has become more affordable and thus easier for patients to accept, even though ...
In an earlier article on this topic,1 I demonstrated the workability of thermo-viscous composites. After warming, the composite can be easily handled for ...
CHARLOTTE, N.C., US: CEREC on DS Core simplifies chairside workflows for teams new to digital dentistry. The cloud-based approach supports starting with ...
Many factors can be related to apical root resorption and rounding, among them orthodontic movement and occlusal trauma. In severe cases, the tooth can even...
The Class II restoration remains one of the most common—and technically demanding—procedures in dentistry. Every day, clinicians must deliver durable, ...
The evolution of digital dentistry has revolutionised the way dental procedures are planned and executed. This case highlights the integration of various ...
The combination of advanced materials and manufacturing techniques makes the industrial production of prosthetic components possible for every clinical ...
For many years, the trend in restorative dentistry has been to place only one- or two-shade composite restorations in daily practice. However, with this ...
The latest generation of two-piece ceramic implants (zirconia) is considered an alternative treatment option to titanium implants owing to their excellent ...
Live webinar
Tue. 12 May 2026
1:00 pm EST (New York)
Live webinar
Thu. 14 May 2026
12:00 pm EST (New York)
Live webinar
Thu. 14 May 2026
2:00 pm EST (New York)
Prof. Hani Ounsi DDS PhD FICD
Live webinar
Tue. 19 May 2026
11:00 am EST (New York)
Live webinar
Tue. 19 May 2026
1:00 pm EST (New York)
Prof. Dr. med. dent. Ivo Krejci
Live webinar
Wed. 20 May 2026
7:00 am EST (New York)
Dr. Graham Carmichael BDSc (Hons), DClinDent (Pros), FRACDS, Dr. Robert Gottlander DDS
Live webinar
Wed. 20 May 2026
9:00 am EST (New York)
To post a reply please login or register