The combination of advanced materials and manufacturing techniques makes the industrial production of prosthetic components possible for every clinical situation. Where just a decade ago only single copings could be manufactured, today we are seeing manufacturing versatility that allows not only single abutments, but multi-unit frameworks on the implant or abutment level. The NobelProcera System guarantees unrivalled product quality for almost any patient situation. No other CAD/CAM system has such a celebrated heritage, stemming from decades of experience in producing the highest quality multi-unit frameworks for both natural teeth and implants.
When compared to conventionally fabricated frameworks, CAD/CAM frameworks demonstrate decisively distinctive advantages, including material homogeneity, customised design options, and ease of fabrication. Industrial production also guarantees uniform high quality and consistent cost efficiency by reducing labour-intensive work in the dental laboratory along with its related costs.
Scientific data confirms that material incompatibilities between cast and machined components can be minimised or eliminated when titanium or zirconia are used. Corrosive phenomena at the interface between dissimilar metal alloys can thus be prevented while facilitating precision fit at the same time. This approach also promotes soft tissue stability and marginal bone maintenance.
embedImagecenter("Imagecenter_1_2007",2007, "large");
|
For conventional veneering, three general techniques can be used to achieve aesthetics and function:
- The conventional hand layering technique is the most frequently used method, whichgenerally results in a good aesthetic outcome and proper morphologic contouring. However the specific skills and experience of the technician have a significant impact on the overall outcome and quality of a restoration utilising this technique. A manual process, hand layering can sometimes be uncharitably characterised by its lack of standardisation.
- The ‘press technique’ is an alternative method that reduces operator-induced errors such as cracks, air trapping, etc., and ensures a more homogenous material microstructure. With this technique, a full anatomical contour is waxed, invested, and the ceramic material is pressed onto the framework.
- Full anatomic milling from a homogenous glass-based ceramic or acrylic block material utilising CAD/CAM technologies is the third option. This method produces optimal material microstructure due to its use of high-quality block specimen and the complete elimination of manual manipulation.
|
Crucial choices
In order to ensure longevity when restoring an edentulous patient with an implant-retained restoration, the selection of proper materials, prepared with appropriate precision, is vital. What the ideal protocol for finishing/ veneering CAD/CAM frameworks entails has been intensively debated in recent years. Both metal-based and all-ceramic framework materials can withstand intraoral loading; the veneering material is the weak link.
Despite extensive research activities, chipping—or the partial delamination—of ceramic veneering materials is reported as the chief reason.
In addition to the options dental ceramics provide, polymer-based materials should also be taken into consideration as an alternative material when finishing options for frameworks are considered.
Today, polymers are used in dentistry for a wide array of applications, in which their use ranges from impression materials to direct/indirect restorative materials. They are used as denture base materials and for such standard components in implant dentistry as healing caps, impression transfer units, etc.
By modifying their chemical composition and/ or adding filler particles to the microstructure, the physical properties and material characteristics of polymers can be adjusted to specifically meet the requirements of a given clinical application.
Advances in material sciences
Extensive research activities in recent years have led to new and improved materials—and entire groups of materials—that reduce unwanted or non-beneficial properties and provide safe, easy-to-use (and easy-to-maintain) solutions.
If combined with high-strength framework materials such as titanium or zirconia, polymer veneering significantly reduces the overall cost of the restoration. Cost control, of course, must always be kept in mind, since patient expectations and financial means differ, clinical situations vary, and virtually every laboratory set-up is unique.
Presentation on state-of-the-art techniques and materials
The following case reports from some of our skilled partner clinicians underline the versatility and display the functional and aesthetic outcomes that can be achieved with the NobelProcera Software.
Case 1
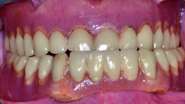
Dr Ferdinando D’Avenia and Master Dental Technician Cesare Ferri of Parma, Italy, utilised a NobelProcera Implant Bridge Titanium veneered with acrylics to accommodate for the clinical situation and the expectations of the patient.
A 55-year-old male patient, suffering from bimaxillary severe bone atrophy, presented with discomfort and chewing deficiencies. He was wearing two severely worn, 20-year-old complete dentures and requested implant-supported fixed restorations. Following diagnostic and radiographic examinations, the definitive treatment plan compensated for the extensive resorption of alveolar ridges (hard- and soft-tissue architecture) via prosthetic means.
In addition to functional and aesthetic rehabilitation, the patient needed a cost-efficient solution that would not require high maintenance costs. To meet his needs and expectations, the treatment team decided to go for the following solution: four NobelActive implants were placed in both the maxilla and the mandible according to the All-on-4 concept.
Treatment planning and execution were carried out with NobelClinician/NobelGuide technology, and an immediate provisional restoration was provided. To reduce additional costs for the patient, the existing dentures were transformed into an immediate, screw-retained provisional (readapted to a correct VDO). Following a four-month healing period to allow for osseointegration of the fixtures, the provisional was subsequently replaced with definitive restorations, i.e. NobelProcera Implant Bridge Titanium veneered with conventional denture teeth and coldcure acrylics (Figs. 1–7).
Why this approach?
The team’s rationale for selecting this approach has to do with a number of clinical and technical advantages.
First of all, the titanium framework represents an economical solution, which also demonstrates beneficial biomechanical properties in combination with Nobel Biocare’s Multi-unit Abutments (MUA).
Not only does this solution provide excellent periimplant, soft tissue biocompatibility, it is also associated with a straightforward handling protocol for both the clinician and the dental technician.
MUAs provide ease of use through accessibility. At the same time, their use supports biologic stability of the peri-implant tissues, as this critical interface remains undisturbed during the change from a provisional to final restoration (e.g. abutment-level impression and fixation of the definitive framework).
From a technical and longevity perspective, the performance of the chemical bond between titanium and acrylic has ample scientific background, can be easily achieved, and is stronger than a zirconiaceramic bonding.
What is more, costs for the patient can be significantly reduced through material selection and the choice of prefabricated standard acrylic denture teeth. In fact, there are any number of time- and cost-saving production steps in the dental laboratory when this option is chosen.
Reduced maintenance costs in case of late prosthetic reintervention can be expected and most repairs can be performed intraorally. Finally, this restorative approach produces highly aesthetic results thanks to an optional outer layer of composite resin that can be added after a cut-back of the denture teeth (depending on the aesthetic needs and expectations of the patient).
Case 2
Drs Mario Imburgia and Giovanni Cricchio, and Ceramicists Angelo Canale and Angela Giordano of Italy chose a NobelProcera Implant Bridge Zirconia, manually veneered with feldspathic ceramics as a solution in their daily routine.
The 64-year-old female patient was affected by generalised severe periodontal disease. She had been wearing an upper partial removable denture for approximately 10 years prior to her first consultation for implant-supported restorative treatment.
Her chief complaint was discomfort and lack of masticatory efficiency and aesthetics. Migration and increased mobility of her teeth had resulted in altered speech and contributed significantly to her sense of insecurity.
She made it clear that aesthetics were as important as the functional outcome. She wanted to regain a natural and aesthetically pleasing appearance without the “Hollywood smile” effect.
The treatment team had to comply with two conditions:
1) The patient did not want to be subjected to invasive surgical procedures.
2) She was unwilling to wear removable dentures during the provisional phase.
To accommodate both needs and stipulations, the treatment team decided to go for the following solution: Implant treatment planning in both the maxilla and mandible was carried out using NobelClinician Software. Post-extraction, immediate flapless implant placement was done with a two piece radiographic guide, after which an immediate provisional restoration was provided.
Fixed implant-supported zirconia bridges (NobelProcera Implant Bridge Zirconia) were produced for the definitive restoration in order to ensure high comfort, stability and good aesthetics. In the mandible, five implants were placed and restored with screw-retained, single tooth restorations and a screw-retained implant bridge (zirconia) (Figs. 8–13).
Rationale behind the choice
The team chose this combination of zirconia frameworks and veneering ceramic for a number of reasons. From extensive earlier experience, they knew that this option would allow them to obtain an optimal aesthetic result, achieving natural-looking colour and translucency in the individual dental restorations while elsewhere preserving soft tissue volume and architecture.
With this combination of materials and techniques, they also knew that they would be using a highly biocompatible material to make a prosthetic restoration that would provide excellent integration and stability of the peri-implant tissues. The team also chose this combination in order to obtain an optimal aesthetic result in a fully customizable prosthetic solution; one that would be, at the same time, both simple and retrievable.
From a technical point of view, the team points out, ‘This choice has allowed us to maintain an excellent fit of the framework due to CAD/CAM technology and the high stability of zirconia during the firing of the veneering ceramic.’
Finally—and not least of all—they chose this combination of zirconia and veneering ceramics because of the NobelProcera Software features, which allow for fully customised frameworks, designed to support the veneering materials for stable, long-term results.
Case 3
Professor Alessandro Pozzi and Master Dental Technicians Paolo Paglia and Alberto Bonaca of Rome, Italy, presented a case of the 62-year-old female patient who had been wearing a porcelain fused-to-metal restoration in the upper jaw since the late 1980s. She presented with a failing dentition in both the maxilla and mandible and a moderate bone resorption pattern.
After some discussion, it became clear that she was looking for full mouth rehabilitation and requested a minimally invasive approach that would provide natural-looking, lifelike prosthetic emergence from the gingival tissue. No artificial gingival was acceptable for the patient.
Because of the daily administration of oral anti-coagulant medications, a minimally invasive surgical approach, avoiding any major bone grafting procedures, was medically essential (Figs. 14–20).
Treatment choices
A novel fixed restorative option, comprising single CAD/CAM lithium disilicate crowns cemented onto a precision zirconia framework, was used to rehabilitate the upper and lower jaws.
NobelClinician Software was used to prepare the digital treatment plan—and to communicate that plan with the patient. NobelGuide was employed to allow for ideal implant position and angulation based on available bone in order to reduce the surgical in vasiveness and post-operative morbidity, and still ensure ideal framework design.
Editorial note: This article was published in CAD/CAM - international magazine of digital dentistry No. 03/2015.
In dental implantology, the optimal and truly passive fit of the framework is essential for the long-term success of a restoration owing to the physiology ...
NEW YORK, U.S.: Innovation and technology are moving at a rapid pace, with many of the developments influencing the role of implant therapy in the dental ...
A 72-year-old patient in good general health presented with partial edentulism in the maxillary posterior region. The main goal was to achieve a rapid fixed...
With the advancement of dental implantology techniques, implant treatment has become more affordable and thus easier for patients to accept, even though ...
BURNABY, British Columbia, Canada: In recent years, patient preferences for fixed restorations have driven significant growth in both the US and European ...
During bonding procedures for metal-free fixed dental prostheses (FDPs), try-in with specific cement shade matching glycerine paste is necessary for ...
Dental implants are widely accepted as a successful method for replacing missing teeth. The success of dental implant treatment depends on many factors, ...
Dental implants are a fantastic addition to the repertoire of any restorative dentist and allow us to provide a tooth replacement in a way that minimises ...
Autogenous bone block grafts, bone grafting material or a combination of both can be used to restore an implant site of adequate dimensions in an atrophied ...
Historically, when a patient’s dental condition reached a state of total tooth loss, treatment was limited to a complete denture with no hope of ...
Live webinar
Thu. 14 May 2026
12:00 pm EST (New York)
Live webinar
Thu. 14 May 2026
2:00 pm EST (New York)
Prof. Hani Ounsi DDS PhD FICD
Live webinar
Tue. 19 May 2026
11:00 am EST (New York)
Live webinar
Tue. 19 May 2026
1:00 pm EST (New York)
Prof. Dr. med. dent. Ivo Krejci
Live webinar
Wed. 20 May 2026
7:00 am EST (New York)
Dr. Graham Carmichael BDSc (Hons), DClinDent (Pros), FRACDS, Dr. Robert Gottlander DDS
Live webinar
Wed. 20 May 2026
9:00 am EST (New York)
Live webinar
Wed. 20 May 2026
1:00 pm EST (New York)
Prof. Dr. med. dent. Tim Joda PhD, MSc, eMBA
To post a reply please login or register