In this article, I present a restorative case study that demonstrates how I used the new iTero Element 5D Plus digital scanner at several stages in the treatment workflow and how it enabled my patient to be confident in the ceramics my dental laboratory had produced.
The patient came to see me as she had had a veneer treatment performed many years ago and was not satisfied with the final result, so she decided that the time was now right for a new set. During an initial consultation, she described the changes that she wanted to achieve, and while they were subtle, they were all very important to the patient. We went through the usual process of consultation, noting down the desired modifications, and took a series of photos of the patient’s teeth.
I then scanned the teeth with an iTero intra-oral scanner to record the current status and sent the records to our laboratory with the requested restorative changes. The laboratory used the scanned copy of the patient’s teeth and went through the requested changes to make a wax-up and stent to create temporary veneers.
At the next appointment, six of the patient’s veneers were removed using the clinic’s laser without picking up a drill. The temporary veneers were placed, and a review appointment was booked the next day to allow the lip to return to its natural position after the treatment.
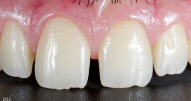
Initial iTero scan records previous veneer treatments to share with the laboratory. (Image: Manrina Rhode)
At the follow-up consultation, the patient asked for some changes to the temporary veneers, and these were made. The newly approved temporary veneers were then scanned with the iTero scanner, and the image files were sent to the laboratory for the fabrication of the final veneers.
Two weeks later, the patient returned to the clinic for the fitting of the veneers. A mirror was held up to the patient’s face for the approval of the final ceramics. However, after seeing the veneers in situ, the patient questioned whether the upper left lateral was the same size as the upper right lateral. I suggested that we scan the new ceramics in place in the mouth with the iTero scanner and then superimpose the scan of the final ceramics on the scan of the approved temporary veneers. By doing so, we would obtain data on any changes to a fraction of a millimetre and could then decide whether to go ahead and cement or send some of the ceramics back to the laboratory.
I scanned the new veneers and then removed the delicate ceramics from the patient’s mouth, as they had not yet been cemented. We used iTero’s TimeLapse feature to superimpose the scan of the amended temporaries onto the final ceramics placed in the mouth and assessed the results.
We found that the two temporaries were almost identical, thanks to the great job carried out by the laboratory. The patient was happy to accept the final ceramics, and this allowed me to go ahead and cement them with full confidence that the patient was receiving the desired veneers.
The use of porcelain veneers to improve and restore the shape, shade and visual position of anterior teeth is a common technique in aesthetic dentistry. The...
HUDDERSFIELD, UK: Intra-oral scanners are completely redefining patient communication and practice growth. Align Technology is a leading brand in the ...
TOKYO, Japan: Some companies mainly use basic technologies developed by others to improve their products and introduce new ones, whereas others conduct ...
BOSTON, US: Boston Micro Fabrication (BMF), a leader in advanced 3D-manufacturing solutions, has recently announced that it is entering the dental market ...
LONDON, UK: For clinicians specialising in cosmetic dentistry, many patients may wish to have their smiles modelled on those of others. Cosmetic dentists ...
This clinical case describes an aesthetic approach to the anterior dentition using veneers. The differential thickness of each veneer was obtained on the ...
Education
Live webinar Sun. 3 May 2026 12:00 pm EST (New York)
MADRID, Spain: Periodontal disease in children and adolescents can be difficult to diagnose and manage due to inconsistent definitions and the limitations ...
On 3 and 4 October, dental professionals from around the world will gather in Tokyo in Japan for the sixth GC International Dental Symposium. Organised as ...
RIYADH, Saudi Arabia: Koelnmesse and dmg events have announced the launch of the annual International Dentistry Exhibition and Meeting in Saudi Arabia (IDEM...
To post a reply please login or register