Haemostasis is fundamental to the prevention of excessive blood loss and for wound healing after injury, or wound setting. It is a basic prerequisite for flawless work in restorative dentistry. There are numerous tissue management systems available on the dental market for haemostasis and retraction today. Both purely mechanical techniques and locally acting chemical agents in the form of solutions, gels and pastes are available, which can be applied alone or in combination with retraction sutures.
In a German survey, 510 dental professionals tested the practicality of various haemostatic agents and compared them. The thixotropic HEMOSTASYL (Pierre Rolland, Acteon Group) achieved the best results. The gel received a rating of very good, primarily for its astringent and haemostatic effects, as well as for its handling properties.
The best means of avoiding possible bleeding complications is a conservative procedure that causes little trauma to the tissues and vessels. In many cases, a sufficient local therapy can also help prevent bleeding complications during and after surgical procedures or reconstruction.
In addition to the body’s own haemostatic mechanisms, there are a number of measures and substances in dentistry that support the achievement of haemostasis. They can be of a mechanical, chemical, thermal or surgical nature, as well as a combination of these. The products or techniques selected depends on the clinical situation (localisation, and the extent or risk of bleeding), as well as on the practitioner’s preferences.
Rapid haemostasis with aluminium chloride and kaolin
Since the products available on the dental market at the time did not adequately meet the requirements for a local haemostatic agent (risk free for patients; quick, effective and reliable bleeding control; easy handling; and fast), the Pierre Rolland company introduced a new type of gel in Germany in October 2007, which adopts a different approach to the problem of haemostasis.
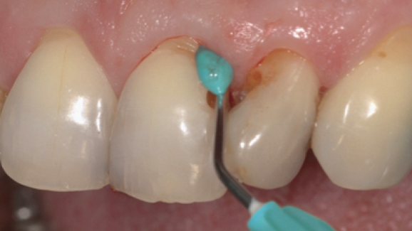
HEMOSTASYL is a thixotropic product for light to moderately heavy bleeding, and contains aluminium chloride. Its angled syringe applicator facilitates direct, precise application. Indications for the haemostatic wound dressing include composite fillings, tooth preparation, impression taking, temporary crowns and bridges, root tip resections and cementation.
The haemostatic effect of HEMOSTASYL is brought about through the combination of aluminium chloride and kaolin, and is mechanically augmented by the thixotropic properties of the material. Haemostasis should begin to take effect in less than 2 minutes, after which the treated location should be free from (seepage) bleeding. The gel is applied with the application cannula, with no pressure exerted on the gingiva. After haemostasis has been achieved, the turquoise-blue substance is removed with a light air and water spray and simultaneous suction (Figs. 1–4).
embedImagecenter("Imagecenter_1_1326",1326, "large");
Methods
In order to determine whether this medical product offers advantages over other products used for haemostasis, some 1,000 sample packs were distributed to dentists, orthodontists and oral surgeons throughout Germany, along with instructions for use and a questionnaire. Of these, 510 respondents agreed to test a sample pack and return the completed questionnaire within a period of three months of receipt.
Questionnaire
The questionnaire was developed in collaboration with the Institute for Medical Biometrics and Epidemiology at the University Medical Center Hamburg-Eppendorf. It was divided into two sections. The first dealt with general information on other products used for haemostasis and their indications. In the second part, the study respondents were asked to evaluate HEMOSTASYL and compare it with other products with respect to haemostatic properties, handling and application time.
Results
Comparator products and indications
HEMOSTASYL was tested 2,542 times, having been applied four to ten times by the majority (69.4%) of the study respondents. During the study, its properties were compared with those of more than 13 other haemostatic products. The three most frequently mentioned comparator products (ViscoStat, Ultradent; Astringedent, Ultradent; and Racestyptine, Septodont) made up more than half (56%). On the question regarding primary indication, just under half of the respondents cited impression taking. The second leading indication was composite fillings, at just under 40%. This was followed, by a wide margin, by tooth preparation, which was listed as an indication by 10% of the testers. Relatively rarely cited indications included cementation, temporary crowns, bracket bonding, retainer bonding, and amalgam and CEREC restorations.
Haemostatic properties (Graphic 1)
Using the Mann–Whitney test, it was determined that the respondents rated haemostasis with HEMOSTASYL statistically significantly better than with one of the other products for the listed indications. Haemostasis with the thixotropic gel was rated 1 or 2 by 86.9% of the respondents (443).
Only 69.4% of the respondents (354) gave this very good grade to their comparator product.
A result of no bleeding after application of HEMOSTASYL was recorded by 32.2% of the respondents (164), while only 20.2% of the respondents (103) found the same effect for one of the comparator products. Moderate bleeding with HEMOSTASYL was reported by only 10.4% (53) of the respondents. By contrast, moderate bleeding after application of one of the comparator products was, notably, relatively frequent at 26.3% (reported by 134 of the respondents).
Handling/application (Graphic 2)
HEMOSTASYL also achieved a statistically significantly better result in the evaluation of its handling: 91.4% of the respondents (480) rated its handling as very good (301) or good (179), while this rating was given to the other haemostatic products in only 54.5% (278) of cases. The comparator products received a score of 1 from only 13.9% (71) and a score of 2 from 40.6% (207) of the respondents.
Time to haemostasis (Graphic 3)
Using the chi-squared test, it was determined that the rating for HEMOSTASYL regarding time to haemostasis was also statistically significantly better than for the comparator products. More than three-quarters of the respondents (386) reported that haemostasis using the gel required little time. Only 34.7% of the respondents (177) rated the other products just as highly.
Direct comparison (Graphic 4)
As to the question regarding overall impression (haemostasis, handling/application properties and time to haemostasis), HEMOSTASYL was rated better overall by 305 of the respondents (approximately 60%) than the comparator products.
Discussion
With regard to haemostasis, HEMOSTASYL received a score of 1 or 2 more often than the other products. The aluminium chloride contained in the gel for its astringent effect thus appears to offer additional enhancement of the haemostasis. Because the gel can be applied directly and precisely in the mouth with the angled syringe applicator, it also fared better with the testers with regard to its handling and application properties. Other advantages are that it can be removed easily with an air and water spray, and is easy to detect because of the contrasting turquoise colour.
HEMOSTASYL was also rated better by most of the users with respect to the time factor. Treatment (such as taking an impression or bonding inlays) can be continued immediately after haemostasis with the haemostatic wound dressing under optimal conditions.
Further advantages reported by the testers included painless treatment, particularly when the wound dressing is applied to a healthy periodontium, and good tolerability without undesirable systemic side-effects, such as can be the case with haemostatic agents containing epinephrine.
Overall HEMOSTASYL distinguishes itself with its thixotropic properties and consequent ease of application and very good adhesion to the tissue without exerting pressure, as well as the associated mechanical effect.
Conclusion
The results of this study make it evident that HEMOSTASYL is indicated for efficient haemostasis in cases of light to moderate bleeding. With clear indications for use and easy application without risk to the patient, it offers quality assurance to the dental practice.
Editorial note: A complete list of references is available from the author.
RHODES, Greece: Researchers have recently presented the results of a five-year multicentre clinical study involving the EQUIA Forte glass-hybrid restorative...
JENA, Germany: In a new meta-analysis, German scientists have examined the efficacy of various non-drug interventions against psychological stress and ...
This study explores how heat treatment less significantly influences (increasing or decreasing) torsional resistance when compared to the high increase in ...
GREIFSWALD, Germany: Periodontitis has been associated with a risk for Alzheimer’s disease in previous studies. The long-term Study of Health in Pomerania...
TORONTO, Canada: A new study has shown that dentists are playing an important role in detecting oral cancer. After examining data gathered over an 11-year ...
SEATTLE, USA: Researchers in the U.S. have found that genetics that shape dental and thus facial features might also increase the likelihood of specific ...
The aim of the current investigation was to review techniques and materials available to achieve bleeding control during periapical surgery. An adequate ...
DÜBENDORF, Switzerland: Swiss dental innovator Odne has announced the closing of a successful financing round, having raised CHF 4.2 million (€4.5 ...
Owing to the introduction of magnification principles in dentistry, new techniques have been implemented for the successful performance of endodontic ...
The long-term clinical success of dental implants is dependent upon osseointegration, which is defined as a direct functional and structural connection ...
Live webinar
Tue. 12 May 2026
1:00 pm EST (New York)
Live webinar
Thu. 14 May 2026
12:00 pm EST (New York)
Live webinar
Thu. 14 May 2026
2:00 pm EST (New York)
Prof. Hani Ounsi DDS PhD FICD
Live webinar
Tue. 19 May 2026
11:00 am EST (New York)
Live webinar
Tue. 19 May 2026
1:00 pm EST (New York)
Prof. Dr. med. dent. Ivo Krejci
Live webinar
Wed. 20 May 2026
7:00 am EST (New York)
Dr. Graham Carmichael BDSc (Hons), DClinDent (Pros), FRACDS, Dr. Robert Gottlander DDS
Live webinar
Wed. 20 May 2026
9:00 am EST (New York)
To post a reply please login or register