The lasting success of any root canal therapy is always only apparent after long-term observation. In this article, based on a case study, the author demonstrates how a strongly curved canal in the posterior maxilla was prepared using pre-bendable nickel-titanium (NiTi) files, ensuring that a bacteria-proof seal is created that can last for as long as six years after the procedure. Here, the use of a reduced file sequence is just as important as the advantages of a flowable obturation material.
Fig.1: Inital situation.
A curvature of close to 90° is far more common among roller coasters than in the human anatomy. The following patient case illustrates that such “breakneck” bends in endodontics do not necessarily lead to the same adrenaline rush at the practice of the treating dentist. Owing to modern NiTi file systems, competent, long-term, reliable preparation succeeds even with strongly curved canals—without going off track.
Initial situation
A 36-year-old patient presented with acute pain in tooth #26 to our practice in October 2012. Radiographic diagnostics showed a deep carious defect distally (Fig. 1). On the basis of these clear findings, we recommended a root canal therapy. The patient agreed to the treatment. After application of the rubber dam, the affected tooth was first built up with composite for greater stability, and then a diamond drill was used to create the appropriate access. The pulp chamber was then opened. All crown pulp tissue was removed from the infected tooth in the process. Canal clearance was checked with a 10/.05 glide path file.
Fig. 2: File surface under the microscope. (Image: COLTENE)
COLTENE’s HyFlex EDM NiTi file system with its modular design and comparatively simple handling was used for the actual preparation of the canal. The sequence more or less functions according to a modular system: depending on the indication and the respective anatomical conditions, the dentist can select from a large number of different file sizes and special files. The HyFlex EDM greatly simplifies the process, especially for beginners in mechanical preparation, owing to its special material properties. The abbreviation “EDM” stands for “electrical discharge machining”, a specifically developed manufacturing process which creates a unique surface structure (Fig. 2). The rough, textured surface increases the cutting performance and makes the instrument particularly fracture-resistant. This makes the NiTi file predestined for dentists who want to achieve reliable results quickly with a reduced sequence.
Nature-like preparation with only a few files
Another feature of the file system used in this case is the controlled memory (CM) effect. NiTi files with this CM effect can be pre-bent in a similar manner to classical stainless-steel files and remain reliably in this pre-bent form even after insertion into the canal. If the distal molars are difficult to access or if the root canals are unusually curved, such a feature of the otherwise extremely flexible file may well prove helpful (Figs. 3 & 4). In addition, the file moves safely in the centre of the canal and adapts to the natural profile of the canal. This avoids any straightening, zipping or similar unwanted effects. The risk of causing iatrogenic damage cannot be neglected if the procedure is too invasive, particularly in the case of challenging anatomical conditions.
Fig. 3: Pre-bendable NiTi file.
Fig. 4: NiTi file in pre-bent condition.
Fig. 5: HyFlex EDM OneFile 25/~. (Image: COLTENE)
Furthermore, endodontic experts continue to argue passionately about the ideal file sequence. In the search for the ultimate simplification of the workflow, the sequences presented by the industry have been consistently shortened for years. Especially in the case of canals that deviate greatly from the textbook anatomy (in so far as they actually exist), the question inevitably arises as to whether preparation with a few files is possible or even meaningful.
In the case study, the focus was on working with a universal EDM file of ISO size 25 (Fig. 5). Using this instrument was perfectly adequate for preparing the canal anatomically correctly to working length in only a few minutes. The NiTi file completed a curvature of almost 90° without blocking when introducing the file gradually into the canal in dabbing up and down movements. Only a 40/.04 file (or palatal with a 50/.04 file) of the HyFlex EDM or CM series was necessary to provide the final touch.
Of course, executing the classical rinsing protocol contributed significantly to the effective cleaning of the canal. It is advisable in practice to ensure that sufficiently long rinsing phases are adhered to during preparation.
Follow-up after six years
GuttaFlow 2 was used for the long-term sealing of the canal. The two-in-one obturation material combines flowable gutta-percha with a suitable sealer at room temperature. The biocompatible material exhibits almost no solubility, thus providing a long-term stable filling. The filled areas are clearly visible in the final radiograph (Fig. 6). On the one hand, this exemplifies how anatomically perfectly the natural canal profile was followed. On the other hand, one can see the advantages of a flowable filling material that reliably penetrates up to the apex and thus provides the best basis for a long-lasting restoration. Of course, such extremely curved root canals, as in the patient case described, are the exception; nevertheless, the example shows that even complex canal profiles can be prepared safely with the standard files of a modern NiTi system.
Fig. 6: Final check after root canal filling.
Fig. 7: Radiographic follow-up after two years.
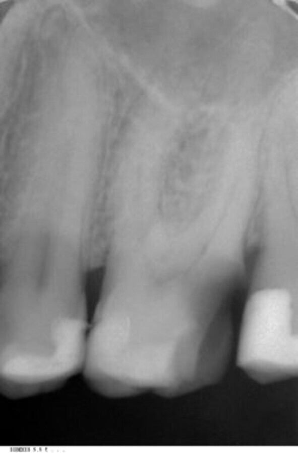
Fig. 8: Radiographic follow-up after six years.
After two years and as part of follow-up, the radiographic check confirmed the reliability of the obturation (Fig. 7). The situation in the root canals was unchanged and the patient was evidently still free of complaints. In the past year, that is six years after treatment of the tooth, a further recall image again showed no abnormalities or changes to the final findings (Fig. 8). The long-term prognosis seems to be pleasingly positive despite the strong curve of the mesial root.
Summary
Cavities with difficult access and unusually curved canal profiles place particular demands on the craftsmanship of the endodontic expert, as well as on the flexibility and fracture resistance of the instruments used. Modular NiTi systems allow natural, lifelike preparation with only a few files. Pre-bendable files with the CM effect, such as the HyFlex EDM, can be navigated easily through the centre of the canal. The long-term follow-up impressively demonstrates the longevity of a cleanly prepared canal structure.
Although the final goal of the endodontic therapy is to provide symptom-free functional teeth with healthy periapical tissue long term,1 the severely ...
A vertical root fracture (VRF) is a longitudinally oriented fracture of the root that, depending on its cause, can originate from the apex and propagate to ...
“Faster, higher, stronger”—this motto certainly no longer applies only to the Olympic Games. How can certain tasks be performed even more precisely, ...
Irrigation dynamics deals with the pattern of irrigant flow, penetration, exchange and the forces produced within the root canal space. Current modes of ...
DRESDEN/ROSTOCK, Germany: A common challenge faced during root canal treatment is the frequent jamming of the rotating file, necessitating regular cleaning....
The patient reported on in this article was referred to my dental office by his general dental practitioner. There was a large cavity and symptoms of ...
Irrigation is a major step in endodontic treatment. A variety of chemicals are used to achieve what I like to consider the chemical preparation of the ...
INDIANAPOLIS, US: Though there have been many studies on the survival rate of endodontically treated teeth, only a relatively small proportion of these have...
What is the secret behind waking up every day, looking forward to peering into the microscope in search of a new adventure or a fresh challenge to solve? ...
Education
Live webinar Mon. 19 January 2026 1:00 pm EST (New York)
Very Good!!!