Search Dental Tribune

A vertical root fracture often affects endodontically treated teeth and can be challenging to diagnose. (Image: Alex Mit/Shutterstock; clinical images: Benjamín Rodríguez et al.)

A vertical root fracture (VRF) is a longitudinally oriented fracture of the root that, depending on its cause, can originate from the apex and propagate to the coronal part or the reverse, usually condemning the tooth to extraction. It is more common in endodontically treated teeth, although there are other predisposing risk factors that can trigger cracks that lead to these fractures in vital or necrotic teeth. VRF may develop slowly and without any obvious signs or symptoms, making its diagnosis challenging. Common signs and symptoms are tenderness to percussion, mild pain or dull pain on mastication, gingival swelling, a deep, narrow and isolated periodontal pocket commonly associated with an abscess and the development of a J-shaped radiolucency.1–5

Resective therapies date back to Farrar in 1884 and later to Gottlieb, Orban and Messinger as a treatment modality for furcal involvement in periodontal disease.5–7 In these therapies, a distinction has to be made between root resection or crown and root resection, which includes hemisection. Root resection includes root amputation at the level of the cemento-enamel junction without removal of portions of the crown, whereas a crown resection is a dissection that transverses through the furcation and the crown of a multi-rooted tooth in such a way that a root and the associated portion of the crown may be removed (hemisection or trisection) or retained in the case of premolarisation. The primary indication for resective therapies is severe to moderate furcal involvement, VRFs, subgingival root caries, persistent periapical pathology, root resorption, iatrogenic root perforation and severe bone loss involving one individual root, only when the preservation of the diseased tooth is of high strategic value or a dental implant is not feasible. In our clinical scenario, hemisection was decided on and presented as the treatment of choice for a vertically fractured molar, reported to have a fairly good prognosis in the literature.8–14

Case report

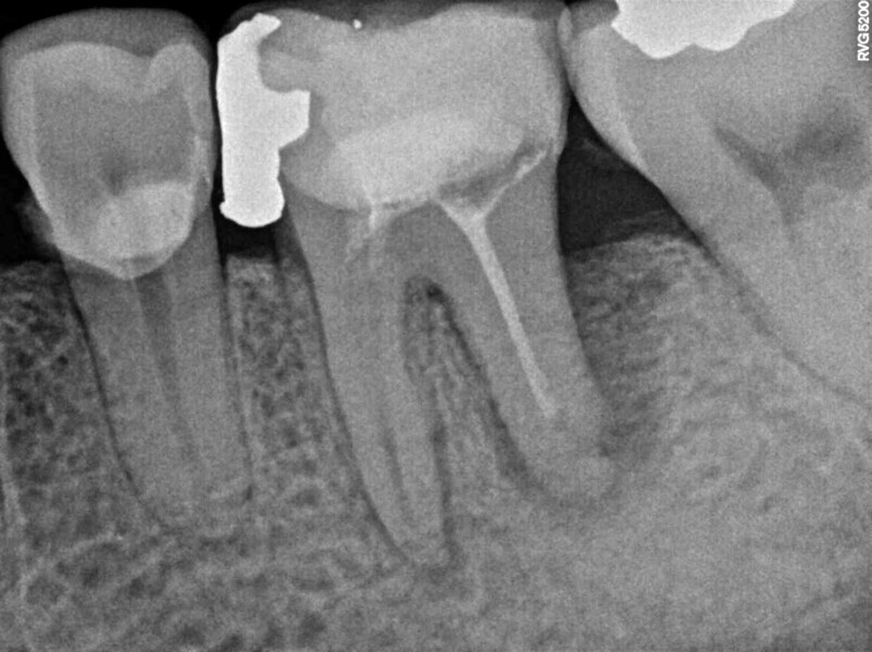
A 50-year-old patient with non-contributory systemic disease presented with the main complaint of pain on mastication. He reported having had a direct restoration on the mandibular left first molar six months earlier. On clinical and radiographic examination, a large, overextended amalgam Class II filling was observed as well as a J-shaped radiolucency on the distal aspect of the tooth (Fig. 1). A buccal swelling oriented distally was also present, as were characteristics of occlusal wear compatible with bruxism on the patient’s dentition. The tooth had pain on percussion and responded negatively to electrical and thermal stimulus tests. When probing in the region of the abscess, a 9 mm isolated pocket was identified (Fig. 2). The tooth was diagnosed with pulpal necrosis and periapical abscess and a suspected VRF. To confirm the presumptive diagnosis, an access cavity was prepared under dental dam isolation and under the dental operating microscope. When the previous restoration was removed, a longitudinal fissure line was detected on the distal aspect of the pulpal floor at higher magnification (10×).

Fig. 1a

Fig. 1a

Fig. 1b

Fig. 1b

Fig. 2

Fig. 2

Upon this finding, the hemisection procedure was discussed with the patient, and he gave his full consent to perform it. Initially, the distal canal was gently irrigated with sodium hypochlorite at a 5% concentration and the canal medicated with calcium hydroxide (Fig. 3). At a second appointment 15 days later, the buccal abscess had receded (Fig. 4). The mesial root canal was then treated conventionally, determining the working length with an electronic apex locator (Root ZX II; Morita), performing instrumentation with nickel–titanium files (Pro-Flexi Files, Denco) and obturating with gutta-percha and a bioceramic sealer using the single-cone technique (CeraSeal, Meta Biomed). A resin core was placed with a dual-polymerising composite (CompCore AF, Premier Dental; Figs. 5 & 6).

Thereafter, the hemisection procedure was done under local anaesthesia (4% articaine with 1:100,000 adrenaline; Septodont). Under the microscope, an intra-sulcular incision was performed with a #15C blade, and a partial-thickness flap without vertical incisions was raised to observe the furcal area and resect the distal root and its coronal portion with a fissure diamond bur (Figs. 7–9). Curettage of the granulation tissue was performed and the area rinsed with saline, and a synthetic bone graft (DM Bone, Meta Biomed) was placed in the alveolar socket (Fig. 10). Posteriorly, the flap was repositioned and sutured with #6-0 polypropylene material. The sutures were removed seven days later, and the patient was followed up until three months later. At this point, the tissue had healed, and the definitive restoration procedure was initiated. The tooth remnant was prepared, and a fixed bridge with two cast metal extensions cemented on to previously prepared rests on the occlusal aspect of the neighbouring teeth was placed (Fig. 11).

At the three-year follow-up clinical examination, the patient had no pain on percussion or palpation, there were no signs or symptoms of disease and the patient reported that the tooth felt comfortable. Unfortunately, after six months, the restoration debonded, and it was decided to replace it with a definitive CAD/CAM zirconia crown.

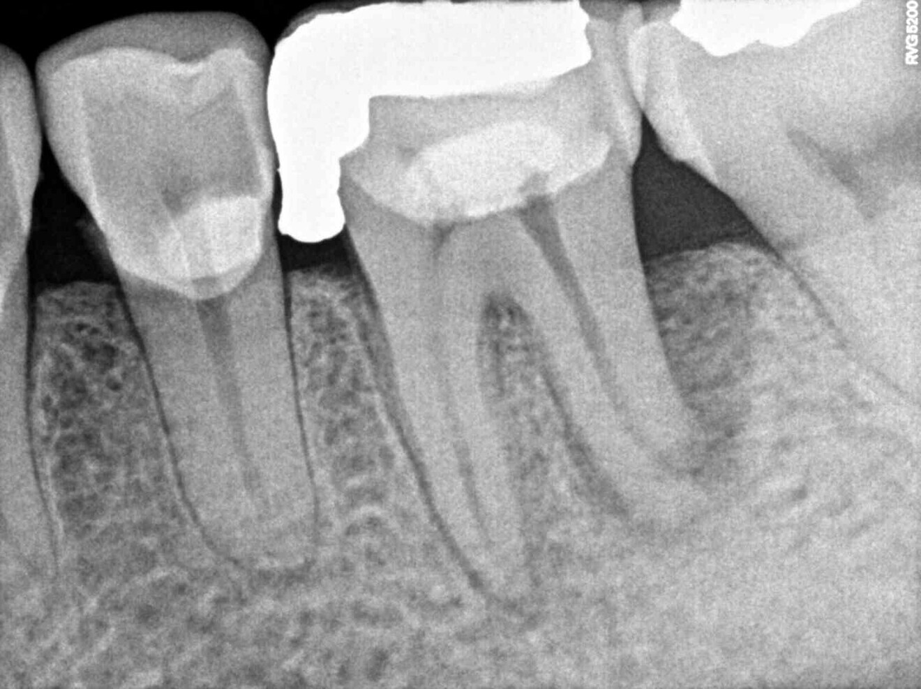
One year later, the restoration was performing well and the patient was asymptomatic. Radiographs and a CBCT control scan showed complete bone healing. On the periapical radiograph, the tooth showed a healthy periodontal ligament and no signs of failure in the restoration (Fig. 12). The cross-sectional, axial and coronal views of the CBCT scan showed good bone width and height and no pathological findings (Figs. 13–16). The oclusal scans and clinical images showed good adaptation of the new restoration and a healthy gingiva (Figs. 17–20).

Discussion

Cracked teeth can lead to a VRF. This is a common clinical scenario in endodontically treated teeth and less common in non-endodontically treated teeth. When a VRF develops, it represents a frustrating scenario, limiting lasting treatment options.15 Multiple treatment strategies have been proposed; however, many of these solutions fail prematurely.16 Retrospective epidemiological studies and case reports do not offer encouraging findings on the long-term treatment outcomes, and there is not a standardised protocol for treating these teeth to date because of the heterogenicity of the clinical situations. Therefore, the prognosis in these cases relies on multiple factors, such as the progression of the fracture line and the damage to the surrounding periodontal structures caused by the infiltration of bacteria and their by-products.15–17

Once the diagnosis of a tooth has been confirmed as VRF, a proper assessment has to be made, considering patient expectations as well as treatment options and their prognosis, especially if the tooth is considered for preservation. In the context of heroic treatments aimed at preserving the tooth, it has to be clearly explained to the patient that there is a risk of developing bone loss, inflammation and infection, which could progress and consequently limit or prevent the future placement of an implant.

As the majority of VRFs involve loss of periodontal attachment, substantial bone loss is observed as well.17 If a fissure is detected early, a VRF can be avoided, emphasising the importance of a thorough clinical and radiographic examination under the operating microscope and with CBCT imaging.

The clinical and radiographic findings and their interpretation in these cases are of vital importance. The reported subjective findings most of the time are pain on biting and sharp pain without any other possible cause, and the objective findings are the formation of an abscess that is usually accompanied by an isolated deep probing defect, which evidences a deep periodontal pocket that radiographically is coupled with a J-shaped pattern of bone loss.2, 4, 15 However, this can be wrongly diagnosed as pathognomonic of VRF; apico-marginal periodontal defects can also mimic this appearance.

In the present case, alveolar preservation was performed, aiming to preserve sufficient bone volume and width to permit a possible implant placement or prosthetic restoration in the future. An important aspect to consider for the hemisected tooth is the definitive restoration. In the present case, the restoration aimed at preservation, minimal invasiveness to neighbouring teeth and preparation of the remaining tooth structure for proper adaptation and a correct design. It also aimed to direct occlusal forces in a balanced pattern. In spite of this, at the 3.5-year recall, the restoration failed, and a CAD/CAM fixed prosthesis was placed.

VRFs have been treated with multiple methods besides root amputation, hemisection and extraction.18–22 Vertucci removed a major portion of the buccal half of the root and applied 20% citric acid solution for 5 minutes on all exposed root surfaces on one molar.18 The tooth was functioning normally and there were no periodontal defects or radiographic pathosis at the three-year follow-up. However, the author considered that the long-term prognosis was doubtful. Barkhordar used calcium hydroxide dressing to promote healing in teeth with VRFs, placing glass ionomer as a root canal sealer to bond the fractured segment. He reported healing of the osseous defect at the six-month follow-up.19

In a study with a greater sample size, Hayashi et al. reported a four- to 45-month follow-up case report series in which a survival rate of up to 83.0% at 12 months and 36.3% at 24 months was observed after intentional replantation and bonding of the fractured segments with 4 META/MMA-TBB dentine-bonded resin.20 The same group of researchers reported a survival rate of 88.5% at 12 months, 69.2% at 36 months and 59.3% at 60 months for 26 teeth with VRFs treated with the same bonding protocol and observed for up to 76 months of follow-up.21

Floratos and Kratchman removed the fracture line by resecting the root fragment and then performed retrograde filling with mineral trioxide aggregate and placed a resorbable collagen membrane to cover the bone defect. After eight to 24 months of follow-up, the teeth were asymptomatic and periapical healing with periodontal ligament formation was noted.22

Overall, the prognosis of these case reports varies greatly. For the hemisection scenario, Setzer et al. conclude in a meta-analysis of the literature that, based on proper case and patient selection, crown and root hemisection can be a good option for saving teeth, as it showed an overall cumulative survival rate of 85.6%, comparable with that of primary endodontic treatment (87%–97%), non-surgical retreatment (89%) and surgical retreatment (88%).8 They concluded that this may encourage dental clinicians to use these procedures to prolong the lifespan and save the natural dentition.8 We strongly believe in this as well, as our case is periodontally stable and has remained without any signs or symptoms of disease, confirmed radiographically and with CBCT analysis. However, at the three-year recall, the previous fixed prosthesis had debonded, and the area presented with gingival inflammation and marginal maladaptation. A decision was made to change the design to a CAD/CAM zirconia crown limited to the contours of the remaining tooth structure of the hemisected tooth.

Conclusion

Within the limitations of this case report, it is our opinion that, with proper case planning and patient selection, crown and root hemisection can be a valid option with a fairly good prognosis after a four-year follow-up. CBCT analysis showed a good healing pattern and ideal bone parameters for implant placement if needed in the future. It is important to state that the patient maintained good hygiene and attended regular periodontal control appointments every four to six months and was monitored radiographically, all of which we think has contributed to the outcome obtained.

Editorial note:

This article was published in roots—international magazine of endodontics vol. 20issue 2/2024. The list of references can be found here.

Topics:
Tags:
To post a reply please login or register
advertisement
advertisement