Search Dental Tribune

From the inside out—a seamless journey from endodontic therapy to restoration

Advanced endodontics is an integral part of a comprehensive treatment continuum, where precise canal therapy and restorative planning work together to ensure predictable, long-term clinical outcomes. (Image: unai/Adobe Stock/clinical images: Dr Byron Tsivos)

Wed. 25. March 2026

save

Modern endodontics is no longer an isolated discipline. It marks the start of a restorative process that extends all the way to the final composite layer. When endodontics and restorative dentistry work together seamlessly, the result is not just clinical success but harmony from the inside out. This case report demonstrates how an integrated workflow can turn a challenging endodontic treatment into a predictable journey from endodontic therapy to restorative treatment.

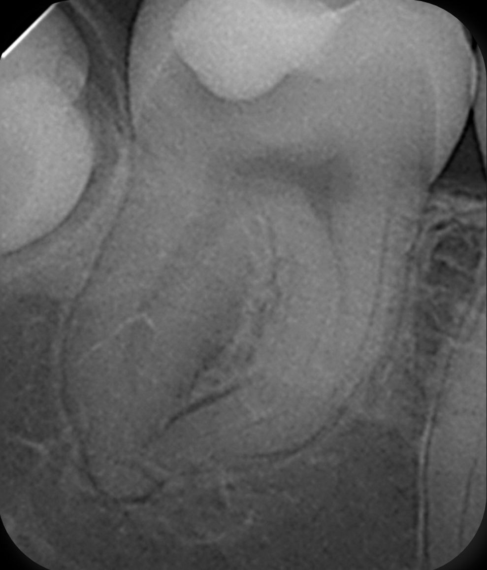
Fig. 1: Pre-op radiograph of the mandibular right second molar showing deep caries beneath the existing restoration and a complex, curved root canal anatomy.

Fig. 1: Pre-op radiograph of the mandibular right second molar showing deep caries beneath the existing restoration and a complex, curved root canal anatomy.

Case presentation

A 19-year-old female patient presented with slight dental anxiety and symptoms of irreversible pulpitis affecting her mandibular right second molar. Under magnification, the existing restoration and carious dentine were carefully removed. The tooth was deemed restorable—strategically important for maintaining occlusal stability in a young patient—and endodontic therapy was indicated. The presence of three highly curved canals posed a particular challenge for both navigation and instrumentation (Fig. 1). The treatment objective was to preserve the tooth while minimising stress and chair time for the anxious patient.

Canal preparation with confidence

Before the endodontic procedure was initiated, a HySolate dental dam (COLTENE) was applied to ensure a dry and aseptic working field. This step is essential for patient safety, infection control and optimal visibility during treatment. After the root canals had been scouted with #6, 8, 10 and 15 stainless-steel K-files (MicroMega), patency was established and the working length was determined using the CanalPro Jeni (COLTENE), which functioned both as a motor and integrated apex locator (Fig. 2). First, the position of the apical constriction was measured using a stainless-steel hand file guided by the signal from the Jeni’s integrated apex locator. This measurement defines the zero line. The Jeni was then set to this zero line, enabling subsequent preparation with HyFlex EDM OGSF files (COLTENE) to proceed precisely to the apical constriction (Fig. 3). By preparing the canals up to the zero reading—the exact position of the apical constriction—apical control can be maintained and blockage of the canal system avoided. This approach proved highly effective in ensuring consistent accuracy in these highly curved canals.

Fig. 2: CanalPro Jeni, used for both canal preparation and working length determination. Its adaptive motion control and integrated apex locator ensured safe and precise shaping to the zero reading.

Fig. 2: CanalPro Jeni, used for both canal preparation and working length determination. Its adaptive motion control and integrated apex locator ensured safe and precise shaping to the zero reading.

Fig. 3: HyFlex EDM OGSF files, applied in combination with the CanalPro Jeni to negotiate and shape the curved canals of the mandibular right second molar. The files’ controlled memory and flexibility minimised stress during preparation.

Fig. 3: HyFlex EDM OGSF files, applied in combination with the CanalPro Jeni to negotiate and shape the curved canals of the mandibular right second molar. The files’ controlled memory and flexibility minimised stress during preparation.

The HyFlex EDM OGSF sequence is an ideal combination for managing canal curvatures in multiple planes, respecting the natural anatomy and minimising the risk of file fracture. When the sequence is combined with the Jeni in Jeni mode, the clinician no longer needs advanced operating skills, because the system automatically adjusts file movement under stress, safely guiding it to the apex. This makes the procedure highly predictable, even in difficult cases.

The HyFlex EDM (electrical discharge machining) technology of the OGSF nickel–titanium files added another layer of safety and efficiency. Their unparalleled flexibility and exceptional resistance to cyclic fatigue ensure predictable shaping even in complex anatomies. By applying the OGSF standard protocol, clinicians benefit from a streamlined workflow and fast preparation of daily cases. The optimised match of tip and taper along the sequence supports controlled enlargement and maintains canal integrity, making the process both reliable and time efficient. Under high magnification, the 3D canal anatomy was respected throughout instrumentation. The combination of automated feedback and tactile awareness provided an ideal balance between efficiency and control in these complex, curved canals.

Disinfection and obturation

In my clinical routine, I always emphasise that instruments shape, but irrigants clean. Mechanical instrumentation is essential for shaping the root canal, but it alone cannot achieve complete disinfection. For this reason, I rely on a combination of CanalPro sodium hypochlorite and EDTA solutions. These irrigants play a key role in removing biofilm, smear layer and organic tissue, supporting a thorough and effective cleaning process and can be used easily and safely with the accompanying CanalPro SyringeFill station.

After completing thorough chemomechanical disinfection, it was time to prepare the canals for obturation. Drying was achieved with HyFlex EDM paper points (ISO 30/0.04) perfectly matched to the previously used OGSF file sequence. Their high absorbency and precise fit ensured that every trace of moisture was removed, creating ideal conditions for the next step.

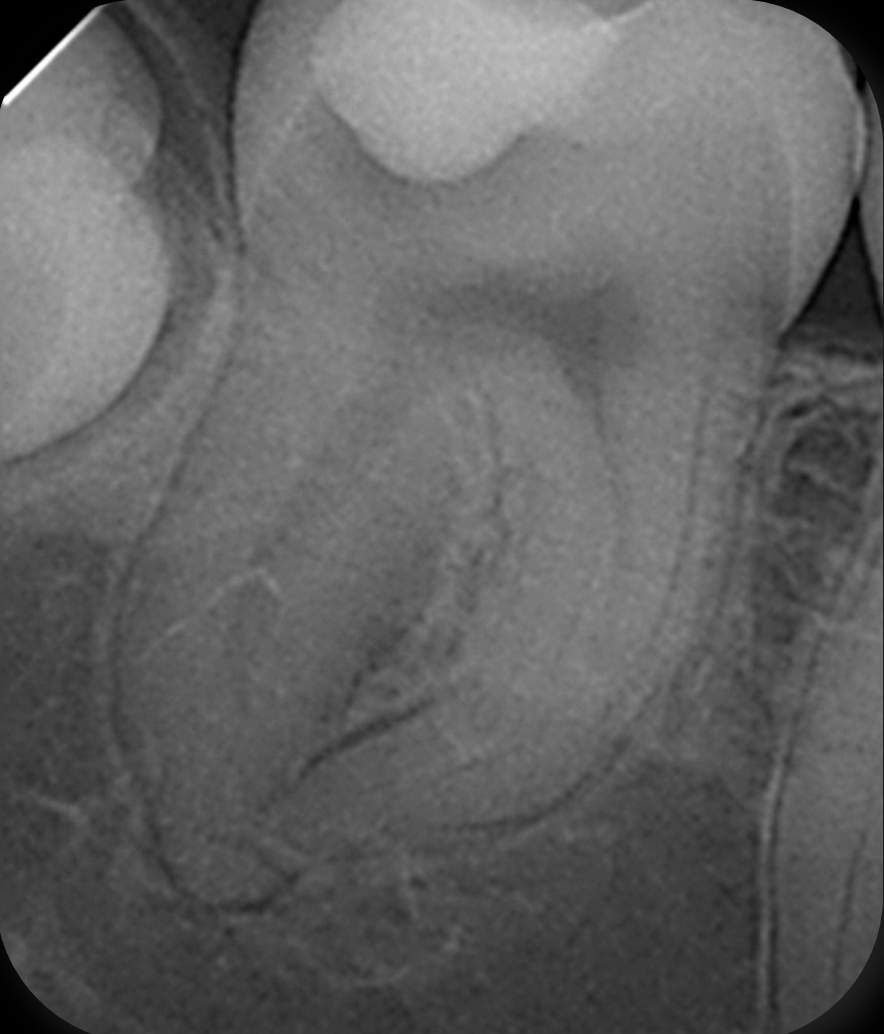
For obturation, a modified warm vertical compaction technique was applied at 150 °C using a customised gutta-percha cone. For the final seal and in support of the healing process, ROEKO GuttaFlow bioseal (COLTENE) was chosen. The angulated postoperative radiograph revealed dense filling of all canals and of an additional lateral canal in the distal root, confirming that the modified warm compaction technique and GuttaFlow bioseal had effectively sealed the entire canal system (Figs. 4 & 5).

GuttaFlow bioseal is a bioceramic material that does not just fill space, but interacts with the body. Once in contact with natural fluids, it initiates the formation of hydroxyapatite crystals, essential components of bone and dentine. This chemical reaction strengthens the seal and supports healing, turning a technical step into a biological advantage. Thanks to its tight seal and controlled expansion, it also provides protection against reinfection, ensuring reliable long-term outcomes.

Fig. 4: Post-op radiograph of the mandibular right second molar showing dense obturation of all three curved canals and of a lateral canal in the distal root, indicating complete sealing of the canal system.

Fig. 4: Post-op radiograph of the mandibular right second molar showing dense obturation of all three curved canals and of a lateral canal in the distal root, indicating complete sealing of the canal system.

Fig. 5: Angulated post-op radiograph of the mandibular right second molar demonstrating the curvature of the mesial canals and the dense 3D obturation achieved up to working length.

Fig. 5: Angulated post-op radiograph of the mandibular right second molar demonstrating the curvature of the mesial canals and the dense 3D obturation achieved up to working length.

From root canal to restoration

Once the canals had been sealed and the endodontic work completed, the focus shifted to protecting that success. A strong coronal seal is the final safeguard against reinfection and the key to long-term durability. The dentinal surface was carefully etched and bonded for 20 seconds using the light-polymerising ONE COAT 7 UNIVERSAL (COLTENE), creating a secure foundation.

Next, a 1–2 mm layer of BRILLIANT Bulk Fill Flow (COLTENE) was applied as a base, ensuring strength and reducing polymerisation stress (Fig. 6). This layer was light-polymerised according to the manufacturer’s instructions.

For the final aesthetic and functional seal, BRILLIANT EverGlow (Shade A2/B2) was placed and sculpted to achieve smooth contours and a natural appearance (Fig. 7). Thereafter, light polymerisation, finishing and polishing completed the restoration, providing durability, aesthetics and protection against reinfection.

To ensure long-term stability and prevent fractures, it is crucial that all molars have crowns or overlays at the end of endodontic treatment. Therefore, this case was referred back to the referring dentist for the final restoration. The planned approach was to provide cuspal coverage with a BRILLIANT Crios overlay. This innovative reinforced CAD/CAM composite is processed using a digital manufacturing process, enabling reliable, aesthetic and fast restorations without the need for a separate firing process.

 

Fig. 6: BRILLIANT Bulk Fill Flow, used as a base layer after adhesive application to efficiently fill the access cavity and ensure reliable adaptation to the cavity walls.

Fig. 6: BRILLIANT Bulk Fill Flow, used as a base layer after adhesive application to efficiently fill the access cavity and ensure reliable adaptation to the cavity walls.

Fig. 7: BRILLIANT EverGlow (Shade A2/B2), used as the final restorative layer placed on top of BRILLIANT Bulk Fill Flow, providing high aesthetics, smooth handling and a durable surface finish.

Fig. 7: BRILLIANT EverGlow (Shade A2/B2), used as the final restorative layer placed on top of BRILLIANT Bulk Fill Flow, providing high aesthetics, smooth handling and a durable surface finish.

Integrated workflow for predictable outcomes

Endodontic phase
The synergy between adaptive motion control and instrument flexibility proved especially beneficial in this case. Throughout preparation, the Jeni motor continuously adapted to canal resistance, while the HyFlex EDM OGSF files followed the natural curvature with remarkable precision. This combination of mechanical intelligence and material design ensured a safe, controlled path to the apex and contributed to the overall predictability of the procedure.

Restorative phase
The system’s material compatibility simplified the workflow and reduced the risk of interfacial defects. Efficient polymerisation, smooth handling and a natural gloss provided both functional stability and aesthetic integration—all within a single session. The one-visit approach minimised patient stress and delivered an immediate functional result. For final restoration, all molars should receive crowns or overlays at the end of endodontic treatment to safeguard the tooth structure and minimise fracture potential.

Conclusion

From canal preparation to the final polish, every step in this treatment was guided by precision and integration. The workflow—from adaptive instrumentation and effective irrigation to a carefully layered restoration—provided safety, efficiency and long-term reliability. This case underscores the value of consistency: each instrument, irrigant and restorative material builds on the last, enabling complex procedures to yield reliable, predictable results.

Editorial note:

This article was published in roots–international magazine of endodontics vol. 21, issue 2/2025.

Topics:
Tags:
To post a reply please login or register
advertisement
advertisement