The current level of technology and specialisation in all areas of life allow us to assess correctly our capabilities and limitations in the treatment of our patients. We are no longer trying to improve nature, but we are doing everything to imitate it as perfectly as possible, drawing from its best solutions. This is the essence of biomimetics.
It has already been applied in many fields of science and technology, including medicine and dentistry. By applying the biomimetic approach to the treatment of our patients, we can achieve satisfying results aesthetically and functionally. The aim of the biomimetic approach is to respect nature and effect as little irreversible change as possible. It is very important for young adult patients, whose entire lives lie before them, and has a great influence on their treatment planning, especially in patients with multiple agenesis Undoubtedly, this is a therapeutic challenge and requires extensive knowledge, experience and close collaboration between different specialists in dentistry.
Case description
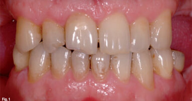
A 19-year-old female sought treatment at the Department of Orthodontics at the Medical University of Warsaw because of her congenitally missing permanent teeth (Figs. 1a & b). During an interview, she reported that her brother and mother also had several missing teeth. Clinical examination revealed a persistent primary maxillary right second molar, the absence of all maxillary premolars, two mandibular second premolars and one mandibular incisor. A panoramic radiograph confirmed the absence of the seven permanent teeth above and all third molars
(Fig. 2).
Occlusal analysis
The midline of the maxillary arch did not co - incide with the facial midline. The midline of the mandibular arch could not be assessed owing to the presence of three mandibular incisors. The lateral crossbite on the right side was present from the lateral incisor to the last tooth in the arch. Transverse and vertical relationships were normal (Figs. 3a–c, 4a & b). During lateral excursions, there was no canine guidance on both sides and traumatic occlusion was present at the second molars.
During protrusion, the incisal guidance was maintained. The incisal edges of the maxillary lateral incisors were rounded, and midline diastemas were present in the maxillary and mandibular arches.
embedImagecenter("Imagecenter_1_1088",1088, "large");
Treatment plan
Combined orthodontic, prosthodontic, and implant treatment was planned, aimed at restoring aesthetics and function with the maximum preservation of hard tissue, while replacing the missing teeth and reshaping the maxillary lateral incisors. It was planned to close the diastemas between the teeth, restore the midline in both arches and canine guidance, and gain the space necessary for one premolar on each side of the maxilla and the second premolars in the mandible. The missing teeth were to be replaced with crowns supported by implants, while the shape of incisors was to be changed with veneers and direct composite.
Orthodontic treatment
The first stage of treatment included the orthodontic treatment to correct the lateral crossbite, close spaces in the anterior segment and restore coincidence between the midline of the maxillary arch and the facial midline. The treatment plan also included restoring the coincidence between the maxillary midline and the line between two mandibular incisors on the left side. Therefore, two incisors were left on the right side, whereas on the left side the canine was moved to the position of the missing lateral incisor. Normal intercuspation and canine guidance were achieved on both sides. In the mandibular arch on the left side, the left canine assumed the function of the lateral incisor and the left premolar that of the canine. During orthodontic treatment, the persistent primary tooth was retained, to provide additional anchorage and to maintain the width of the alveolar process.
Implant-prosthodontic treatment
After orthodontic treatment had been completed, a new occlusal analysis was performed to evaluate the aesthetics and to establish the implant-prosthodontic rehabilitation necessary. Photographs were taken at different angles and diagnostic casts were mounted in an Artex partially adjustable articulator (AmannGirrbach) using the facebow registration and the centric relation registration techniques by Dawson.
Analysis of occlusion and articulation
Normal occlusion was present, and incisal and canine guidance was restored (disclusion of posterior teeth during protrusion and laterotrusion). Normal occlusal contacts and intercuspation were present. In centric relation, no premature contacts and traumatic occlusion were seen in articulation (centric relation = maximum intercuspation). No subjective or objective temporomandibular joint problems were registered. Spaces were closed and tooth contacts were restored in the maxillary and mandibular anterior segments. The space necessary to restore missing teeth 24, 25 and 45 was established by orthodontic treatment. In order to restore missing tooth 14, the space was maintained by retaining the persistent primary molar (Figs. 5a–d).
White and red aesthetics
About 1 mm of the incisal edges was visible with lips in the rest position. During smiling, normal exposure of the maxillary teeth was present and the incisal line did not follow the curvature of the lower lip. In order to maintain the canine guidance, elongation of the maxillary incisors was not possible. The anterior gingival margin line was normal.
Treatment plan re-evaluation
In order to establish the treatment plan and to analyse aesthetics in the anterior segment, the diagnostic wax-up and mock-up were created, which enable an assessment of the proportions and appearance of the final restoration in the patient’s mouth (Figs. 6 a & b). It was decided to recontour the mesial angles of the maxillary central incisors with composite and to apply two ceramic feldspathic veneers sintered on a refractory mass to the lateral incisors. Because the patient did not agree to the recontouring of the maxillary canines, it was decided not to close the gaps between the maxillary lateral incisors and canines to maintain the normal proportions between the central and lateral incisors. The patient is still using permanent and removable retainers The persistent primary tooth 55 was scheduled for extraction. Restoration of all the missing premolars was planned using implant-supported ceramic crowns.
Implant treatment
CBCT was performed to evaluate the anatomical and surgical conditions, and to plan the surgical treatment. Owing to sufficient height and width of the alveolar process at the implant sites, guided bone regeneration was not required. TSIII implants (OSSTEM; 4 mm × 10 mm S, 3.5 mm × 10 mm M) were used in regions 14 and 24, and TSII implants
(OSSTEM; 3.5 mm × 10 mm M, 3.5 mm × 10 mm M) were used in regions 35 and 45. However, delayed implantation in region 14 was performed four weeks after the extraction of tooth 55 (Figs. 7 & 8a–c).
Prosthodontic treatment
Recontouring of the central incisors was performed using the direct method with GRADIA DIRECT composite (GC Europe) and a two-component adhesive system, CLEARFIL SE BOND (Kuraray Noritake). Mesial angles were recontoured using the standard Hawe celluloid matrix system (Kerr). The composite surface was prepared and polished using Sof-Lex discs (3M ESPE; Figs. 9a & b). The contours of the veneers for teeth 12 and 22 were checked again using a mock-up, and then minor adjustments were performed.Using a specially trimmed silicone mock-up, the amount of space for the planned ceramic reconstructions was determined and the preparation of teeth was abandoned. After cleaning the teeth with pumice and introducing Ultrapak #00 retraction cord (Ultradent) into the gingival sulcus, two-layer single-phase impressions were taken using polyvinyl siloxane impression material (Bisico).
Once the final restorations had been received from the laboratory (Fig. 10), their integrity, match to the abutments and colour were checked using a Variolink Try-in paste (Ivoclar Vivadent). The abutment surfaces were isolated with a rubber dam and cleaned with pumice, then rinsed thoroughly with water and etched with 37 % phosphoric acid for 45 seconds. They were then rinsed with water for the same period. Subsequently, Variolink Veneer light-curing adhesive composite was applied. Meanwhile, the inner surfaces of the veneers were etched with 7 % hydrofluoric acid for 1 minute, rinsed with water and then the veneers were placed in the ultrasonic bath for 2 minutes. Silane (Monobond Plus, Ivoclar Vivadent) was applied to the etched surface of the veneers, which were then dried, and the bonding agent (Heliobond, Ivoclar Vivadent) was applied. Vario link Veneer in shade HV+1 was applied to the veneers’ surface and the veneers were placed on the abutments. Excess material was initially removed and precured for 10 seconds. The restoration edges were smeared with glycerine gel to prevent oxygen access and the formation of an oxygen inhibition layer on the composite bond. Curing was continued with an 800 mW/cm2 polymerisation lamp for 60 seconds on each surface. Excess composite was removed with a #12 scalpel blade, and the veneers were polished with strips and rubber polishing burs for composites. Finally, the veneers were checked during occlusion and articulation using 14 μm articulating paper. Corrections were made using a 45 μm smooth diamond-coated bur on a 1: 5 speed-increasing handpiece on a micromotor. The final polishing was performed using rubber burs for composites (Figs. 11a & b). After a week, gingival integration with the veneers had been achieved (Figs. 12a & b, 13 a–d).
After a period of healing, the emergence profile of the implant restorations was reshaped using crowns on temporary abutments (Figs. 14a & b). After obtaining a satisfactory effect for implants 24, 35 and 45, permanent zirconia crowns on standard zirconia abutments were fabricated (Figs. 14c & d, 15a–c, 16a & b). Owing to the thick layer of soft tissue, a modified screw-retained zirconia crown on a zirconia abutment was placed on implant 14 (Figs. 17a & b). The emergence profile was reshaped using a crown bonded to the standard zirconia abutment and the crown was veneered with feldspathic ceramics only at the supragingival zone, owing to the unavailability of individually shaped zirconia abutments for the OSSTEM system (Fig. 18).
Conclusion
Working with patients missing so many permanent teeth is extremely difficult and sometimes marked with compromise. Achieving a satisfactory result both functionally and aesthetically is possible only through the close co-operation of specialists from various fields of dentistry and meticulous planning from the commencement of treatment to the final aesthetic stage (Figs. 19a & b, 20). As I mentioned at the beginning, apart from other crucial issues, it is important to preserve the patient’s own tissue as far as possible, which translates into the longevity and stability of the restorations. The case presented demonstrates that. We achieved satisfactory long-term aesthetic and functional results with minimum intervention.
After two years, there is perfect bone stability around the implants (Fig. 21a–d) and excellent gingival integration with the prostheses on both the implants and the natural teeth (Figs. 22a & b, 23a–d, 24).
This article was published in the cosmetic dentistry_beauty and science magazine 4/2013.
The process of decision making is nowadays influenced by the continuous flux of information, the advancement of technology and the development of new ...
Clear aligners are not always a perfect alternative to conventional orthodontic appliances.1–4 Although theoretically it is possible to achieve good ...
Adult orthodontic patients insist on aesthetic treatment options that have the least possible impact on their work and life. Clear aligners are an excellent...
Traditionally, the practice of dentistry has been a reparative model. We have waited for disease to express itself, and then repaired it. What if we could ...
The absence of the maxillary lateral incisors creates a functional and esthetic problem that can be managed with different treatment modalities.
Taking into consideration the active lifestyle of most of our working patients with maxillary odontogenic radicular cysts, such patients require more ...
GC, an internationally renowned manufacturer of dental materials, is committed to delivering dental professionals easily accessible, high-quality ...
Successful full mouth fixed rehabilitation of a mutilated dentition is always a prosthodontic and surgical challenge. Accurate diagnosis, proper treatment ...
Introduced in 2023, the Invisalign Smile Architect is an effective orthodontic and restorative treatment planning software on the Align digital platform. ...
Dr Robbie Hughes is a leading figure in digital dentistry, and his clinical expertise is supported by extensive postgraduate training in implantology, ...
Live webinar
Tue. 19 May 2026
11:00 am EST (New York)
Live webinar
Tue. 19 May 2026
1:00 pm EST (New York)
Prof. Dr. med. dent. Ivo Krejci
Live webinar
Wed. 20 May 2026
7:00 am EST (New York)
Dr. Graham Carmichael BDSc (Hons), DClinDent (Pros), FRACDS, Dr. Robert Gottlander DDS
Live webinar
Wed. 20 May 2026
9:00 am EST (New York)
Live webinar
Wed. 20 May 2026
11:00 am EST (New York)
Live webinar
Wed. 20 May 2026
1:00 pm EST (New York)
Prof. Dr. med. dent. Tim Joda PhD, MSc, eMBA
Live webinar
Thu. 21 May 2026
12:00 pm EST (New York)
Dr. Leonardo Muniz DDS, MSC
To post a reply please login or register