The absence of the maxillary lateral incisors creates a functional and esthetic problem that can be managed with different treatment modalities.
Case presentation
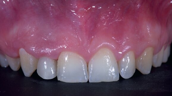
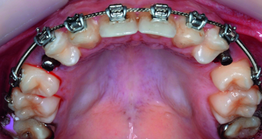
The present case is reported to illustrate an interdisciplinary approach involving orthodontics and restorative dentistry to manage the case of a 24-year-old Caucasian female with agenesis of the maxillary right lateral incisor, presence of the maxillary right canine in place of the lateral incisor, microdontia of the maxillary left lateral incisor, and midline deviation. Treatment included space opening and positioning of a 3 mm implant supporting a single-unit crown, placed using computer-assisted, template-guided surgery.
Conclusion
Comprehensive interdisciplinary rehabilitation according to the CRANIO philosophy was effective in successfully restoring function and esthetics in a young female patient affected by congenitally missing maxillary lateral incisor.
Editorial note: The full article was published in the 1/2017 issue of the Journal of Oral Science and Rehabilitation. It can be accessed free of charge at www.dtscience.com.
Maxillary lateral incisor agenesis (MLIA) is a congenital condition in which at least one of the maxillary lateral incisors is missing in the primary or ...
The purpose of this article is to show the diferent modalities of treatment for upper lateral incisors agenesis. In daily practice, orthodontists often meet...
Having discussed in the previous article (see editorial note), all of the preprosthetic stages for the replacement of a lateral maxillary incisor and having...
The evolution of digital dentistry has revolutionised the way dental procedures are planned and executed. This case highlights the integration of various ...
Faced by a missing lateral incisor, practitioners often consider a wide range of issues and are also faced by numerous treatment options:
1. in a young ...
Taking into consideration the active lifestyle of most of our working patients with maxillary odontogenic radicular cysts, such patients require more ...
Orthodontic treatment generally follows aesthetic, functional, and prophylactic objectives, where individual aspects of isolated cases are accorded varying ...
Placing an implant immediately after tooth extraction offers several advantages, including a reduced treatment time, fewer surgical sessions, possibility of...
The current level of technology and specialisation in all areas of life allow us to assess correctly our capabilities and limitations in the treatment of ...
Oral surgery is an important cornerstone in orthodontic treatment of malocclusions. Tooth movement is only possible to a limited extent and always depends ...
Live webinar
Tue. 26 May 2026
12:00 pm EST (New York)
Live webinar
Tue. 26 May 2026
2:00 pm EST (New York)
Live webinar
Wed. 27 May 2026
8:00 am EST (New York)
Live webinar
Thu. 28 May 2026
12:00 pm EST (New York)
Dr. Anthony Viazis DDS, MS. Inventor & Founder of Fastbraces®
Live webinar
Mon. 1 June 2026
1:00 pm EST (New York)
Live webinar
Wed. 3 June 2026
1:00 pm EST (New York)
Live webinar
Thu. 4 June 2026
2:00 pm EST (New York)
To post a reply please login or register