Search Dental Tribune

The preoperative radiograph and access cavity under the operating microscope (Images: Philippe Sleiman)
Drs Philippe Sleiman & Alexey Volokitin

Drs Philippe Sleiman & Alexey Volokitin

Mon. 8. June 2020

save

Maxillary second molars are always a challenge for root canal therapy. This difficulty is related to the location of the tooth, way back in the maxilla with limited access, and the variety of anatomical situations. In this article, we will focus on some of those anatomical variations and how to handle them.

Case 1

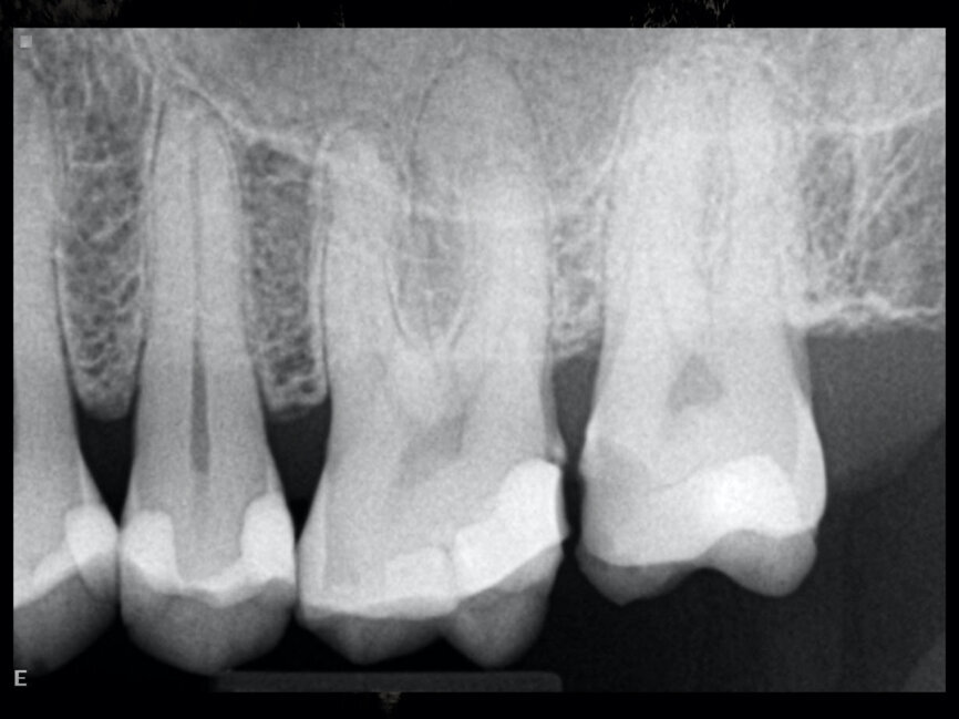
The preoperative radiograph (Fig. 1) revealed that the roots had an uncommon shape, particularly regarding the palatal root, the periodontal ligament and the apex of the mesial root. Upon creating the access cavity (Fig. 2), under the operating microscope, I noticed bleeding from the mesiopalatal angle. Extending the access cavity to that side led to the discovery of a separate canal, which may have been a second palatal or an independent mesial canal.

For shaping, you need to start, after establishing a glide path, with 21 mm stainless-steel hand files. I use a 17 mm orifice opener because it allows me to work way in the back with indirect vision, and this step will shape the first part of the canal, making it easy for the remaining rotary files to follow the path that has been created. The final radiographs revealed four separate root canals (Fig. 3). Figure 4, a micro-CT scan done by Dr Volokitin, shows almost the same anatomy.

Case 2

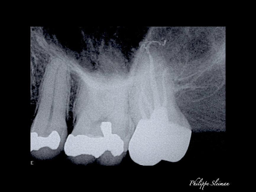
The patient was referred for a root canal therapy of his maxillary molar. Upon creating the access cavity under a clinical microscope, we could see that the entry to the second mesial canal was at a distance from the entrance to the first (Fig. 5). Figure 6 shows the proximity of the second mesiobuccal canal to the palatal canal. Increasingly, second mesial canals are being treated in the maxillary second molar owing to the use of the microscope, ultrasonic instruments and irrigation and of course owing to the clinical knowledge regarding the use of these and owing to the use of CBCT imaging sometimes.

Figure 7 shows an immediate postoperative radiograph of the treatment. A micro-CT scan of a similar root canal system is shown in Figure 8.

Case 3

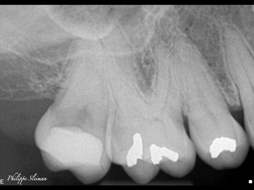
Irreversible pulpitis was causing this patient a great deal of pain. When examining the preoperative radiograph (Fig. 9), I saw doubled periodontal ligament on the mesial root, which clearly indicated a second canal in this root. The opening of the second mesiobuccal canal was very tight and very small; nevertheless, it had a separate exit.

The immediate postoperative radiograph in Figure 10 does not show it, but an image at a further 15° angle would clearly show the independent exit of the second mesiobuccal canal. A micro-CT scan of a similar anatomy—as we can never find two identical anatomies—is illustrated in Figure 11.

Case 4

This type of anatomy is the most challenging, as it requires all your skills and high-tech equipment. The patient was referred for irreversible pulpitis of a maxillary second molar. Upon examining the preoperative radiograph (Fig. 12), we could see that the anatomy was not clear. When creating the access cavity (Fig. 13), I saw only a small opening in the centre of the buccal area of the access cavity. Using ultrasonic instruments, very carefully and gently, I extended the access cavity more to the distal side and a bit deeper, preceding very slowly. It was like creating a second access cavity inside the first one. I had to go down almost 5 mm in order to uncover the opening of the distal canal, and the mesial canal and the isthmus between the two canals can be observed in Figure 14.

The immediate postoperative radiograph (Fig. 15) shows how deep the furcation and the isthmus between the two canals were. This kind of anatomy is very difficult to establish and treat in teeth to which access is relatively easy. We could unfortunately not find a micro-CT reconstruction of such an anatomy, as performing a root canal therapy on a maxillary second molar is not common, being rather difficult. We can easily miss a canal and thereby the whole treatment is jeopardised.

It is necessary to use the proper tools, such as a good dental microscope with good-quality lenses, good-quality front surface mirrors and high definition, ultrasonic instruments that will allow you to microsurgically create good access, and a suitable file system and chemical preparation to complete the treatment.

Editorial note: A list of references is available from the publisher. This article was published in roots—international magazine of endodontics No. 02/2020

Tags:
To post a reply please login or register
advertisement
advertisement