Search Dental Tribune

According to author Dr Sushil Koirala, the MiCD Fiber Filling 4R protocol offers a comprehensive and minimally invasive approach to restorative dentistry. (Image: Hryshchyshen Serhii/Shutterstock)

Mon. 27. January 2025

save

Minimally invasive cosmetic dentistry (MiCD), also known as “do no harm” dentistry, focuses on preserving the natural tooth structure while achieving optimal functional and aesthetic outcomes with a patient-centric approach. This strategy aims to lower the biological, time, financial and emotional costs of treatment, collectively known as “MiCD Cost”.

In the MiCD restorative domain, direct composite resin plays a key role owing to its fundamental advantages. These include being aesthetic, biocompatible and mercury-free, having low thermal conductivity, allowing minimally invasive restoration and supporting the dental tissue remaining after caries removal. However, long-term clinical efficacy, especially in the case of large restorations, endodontically treated teeth, cuspal restorations and large Class V restorations, is limited by the susceptibility to crack formation and propagation. The longevity of composite resin restorations is inversely proportional to their size. Larger restorations are more prone to failure, often due to fractures, especially in teeth with significant crown destruction.1

Based on the interpretation of clinical studies, fracture is the most common reason for failure of a composite restoration, followed by secondary caries and loss of retention.2–6 According to long-term studies, the failure rate of Class II cavities after ten years ranges between 15% and 20% and is mostly associated with fractures.

The limitations of direct composite resin include low fracture toughness and issues related to polymerisation shrinkage. To address these challenges, recent advancements in dental materials have highlighted the significant benefits of incorporating fibres into both direct and indirect composite resin restorative materials.

Fibres in contemporary dentistry

Studies on fibre reinforcement of materials in dentistry date back 60 years. Glass fibres were first used to strengthen acrylic resins in the 1960s. Since then, various types of fibres have been developed to enhance the physical and mechanical properties of direct and indirect restorations. Fibres in dentistry can be classified in multiple ways, including by material type, such as carbon fibres, aramid fibres, polyethylene fibres, glass fibres and nylon fibres. They can also be categorised by fibre orientation, either unidirectional or bidirectional continuous fibres, as well as by fibre shape, which can be flat or round. Another classification is based on resin impregnation status, distinguishing between fibres not impregnated with resin and those pre-impregnated with resin. All these fibres, whether used in direct or indirect restorative procedures, need to be custom-cut to the desired length, width and shape to reinforce teeth or restorations.

In addition to their reinforcing capabilities, fibres enhance the resistance of restorative materials to mechanical forces by acting as stress breakers and dispersants, and they reduce polymerisation shrinkage. In recent years, composite resin materials into which fibre has been integrated, popularly known as fibre-reinforced composites (FRCs), have become increasingly popular in dentistry.

This approach enhances the application of composite resins, especially for large restorations in the posterior region, where the direct method is limited owing to the mechanical properties of traditional composite resins.7 The success of composite restorations has increased with the use of FRC materials. Innovations in the structure of these materials, along with their use in biomimetic restoration techniques, have expanded the indications for composite resins as direct posterior restorative materials.8 FRCs are employed as dentine replacements, and the double-layered composite resin structure is recognised as a biomimetic restoration system, effectively mimicking the dentine–enamel complex.9

The 4R protocol and applications of MiCD Fiber Filling

Incorporating fibres and FRCs into MiCD demands specific skills and knowledge. Clinicians need to be aware of the fundamental materials science and factors affecting the biomechanical properties of FRC materials. These factors include the distribution direction of fibres10, 11 quantity and volume of fibres, surface widths and positions of fibres,12 saturation of fibres with resin,13–16 adhesion of fibres to the matrix16 and surface treatments applied to fibres.13 Additionally, clinicians need to appreciate the crucial role of three biomechanical units in restorative dentistry: the tooth structure, restorative material selected and interface between the restoration and tooth, all of which are vital for the long-term functional and aesthetic success of any restoration.

To streamline clinical practice and teaching methodologies in MiCD, I coined the term “MiCD Fiber Filling” and developed a simplified protocol. The 4R protocol focuses on recognising, reinforcing, restoring and refining the three biomechanical units in restorative dentistry (Fig. 1). By addressing these units, the protocol supports four applications: reinforcement, reconstruction, retention and re-stabilisation in dentistry (the 4R applications; Fig. 2).

Fig. 1: MiCD Fiber Filling 4R protocol: recognise, reinforce, restore and refine.

Fig. 1: MiCD Fiber Filling 4R protocol: recognise, reinforce, restore and refine.

Fig. 2: MiCD Fiber Filling 4R applications: reinforcement (direct restorations, crowns, overlays and removable dentures), reconstruction (dentine substitute, post and core build-up, overdenture frame and adhesive bridges), retention (crowns, overlays, post-orthodontic retainer and space retainer) and re-stabilisation (periodontal splint and post-trauma splint).

Fig. 2: MiCD Fiber Filling 4R applications: reinforcement (direct restorations, crowns, overlays and removable dentures), reconstruction (dentine substitute, post and core build-up, overdenture frame and adhesive bridges), retention (crowns, overlays, post-orthodontic retainer and space retainer) and re-stabilisation (periodontal splint and post-trauma splint).

Recognise

The first step in the MiCD Fiber Filling 4R protocol involves recognising the tooth status, existing occlusal forces and potential tooth preparation design. This starts with a thorough assessment of the patient’s dental condition, occlusal patterns and occlusal contact mapping using articulating paper of suitable thickness and the progressive colour transfer technique. Every tooth has its own stress pattern, and each contact location on a tooth behaves differently under stress. Recognising these patterns is vital for designing a restoration that avoids potential failure in the long term. Additionally, designing the restoration with tooth and restoration reinforcement in mind helps address specific structural requirements and challenges, ensuring that the final outcome is both functional and durable.

Reinforce

The second step focuses on reinforcing the restoration through careful fibre and FRC selection and placement. Tooth preparation should involve minimal removal of tooth structure to preserve as much natural tooth as possible in preparing the cavity for the restoration. Fibres or layers of FRC (flowable, paste, cube, etc.) are then strategically placed within the prepared tooth and composite material to reinforce areas susceptible to high stress and occlusal forces based on occlusal contact mapping. This strategic selection and placement of fibres and layers of FRC is crucial for enhancing the strength and longevity of the restoration.

Restore

The third step is to restore the tooth to its natural form, function and aesthetics. Composite resin, along with fibres or fibre-reinforced flowable or fibre-reinforced dentine substitute materials, is carefully applied to the prepared tooth structure. A layering technique is often used to ensure proper adhesion and integration of the reinforced materials with the composite material, enhancing the overall strength and functionality of the restoration. The composite resin is then polymerised using a curing light, ensuring that the materials are securely bonded within the restoration and providing a stable and long-lasting result. During this restorative process, the clinician should take special care not to expose fibres or FRC layers to the oral environment, as this can cause tissue irritation and water absorption by the materials in the long run. Therefore, the final layers of the restoration should always be a suitable aesthetic conventional composite resin.

Refine

The final step of the MiCD Fiber Filling 4R protocol is refining the restoration to ensure optimal occlusal and proximal contacts, functional comfort and aesthetics. Adjustments are made to ensure proper distribution of occlusal forces during functional occlusion, which is critical for the patient’s comfort and the functionality of the restoration. The surface of the restoration is then polished to achieve a smooth and natural appearance, enhancing the aesthetic appeal and ensuring that the restoration blends seamlessly with the surrounding teeth while reducing the possibility of plaque accumulation. This final refinement step ensures that the restoration not only functions optimally but also contributes to an aesthetically pleasing and healthy oral environment.

Self-guided learning

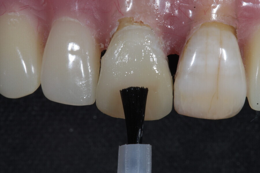
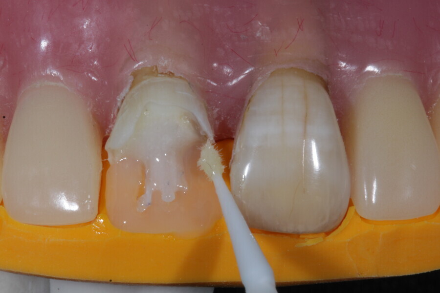
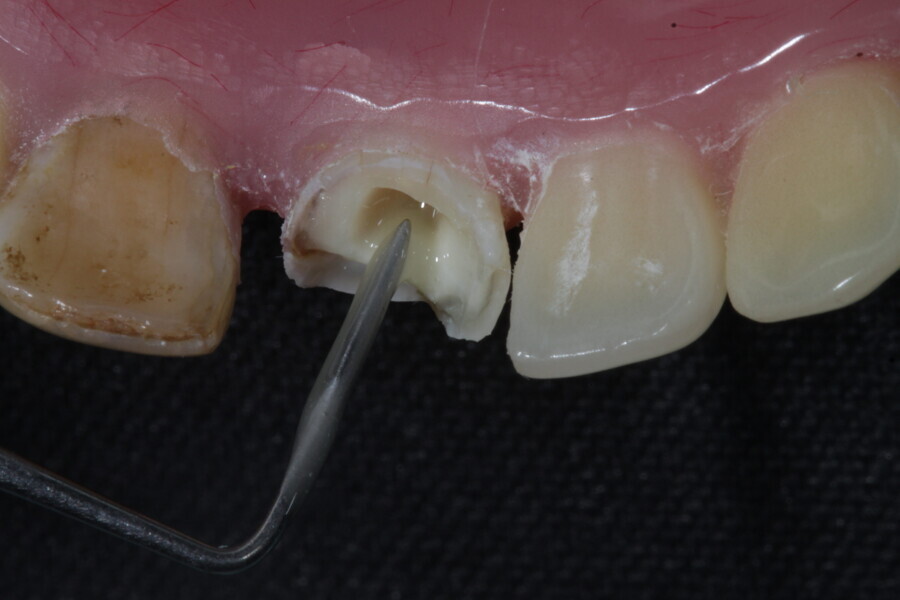
To support clinicians interested in learning the MiCD Fiber Filling 4R protocol and applications through self-guided, hands-on training, I present here three examples of the basic clinical steps using extracted teeth, demonstrating:

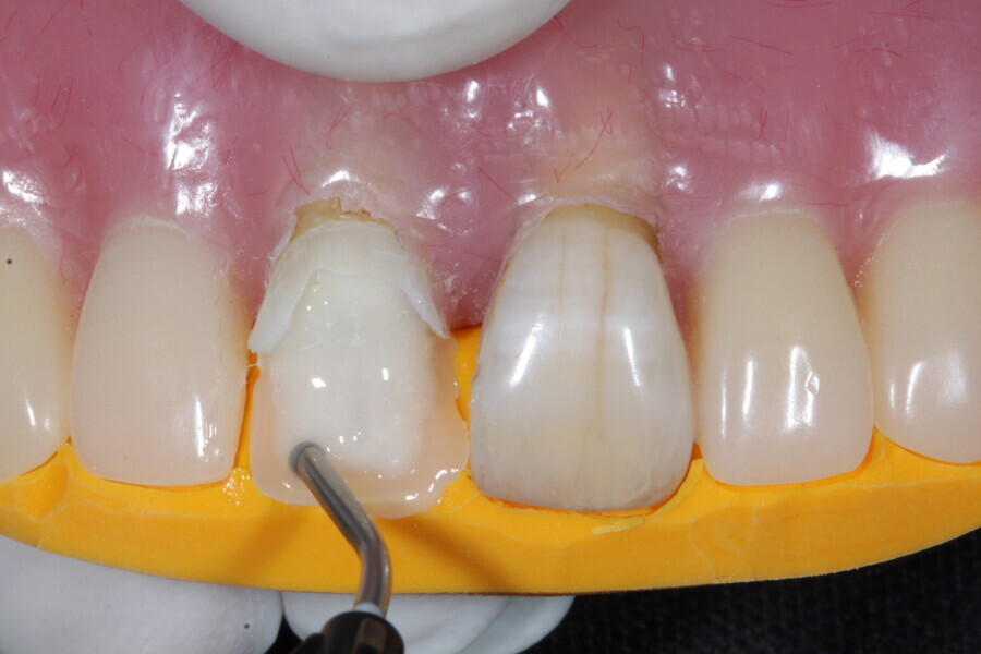
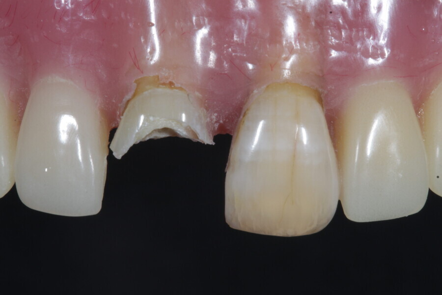
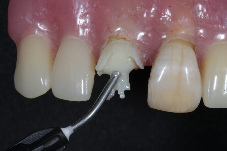
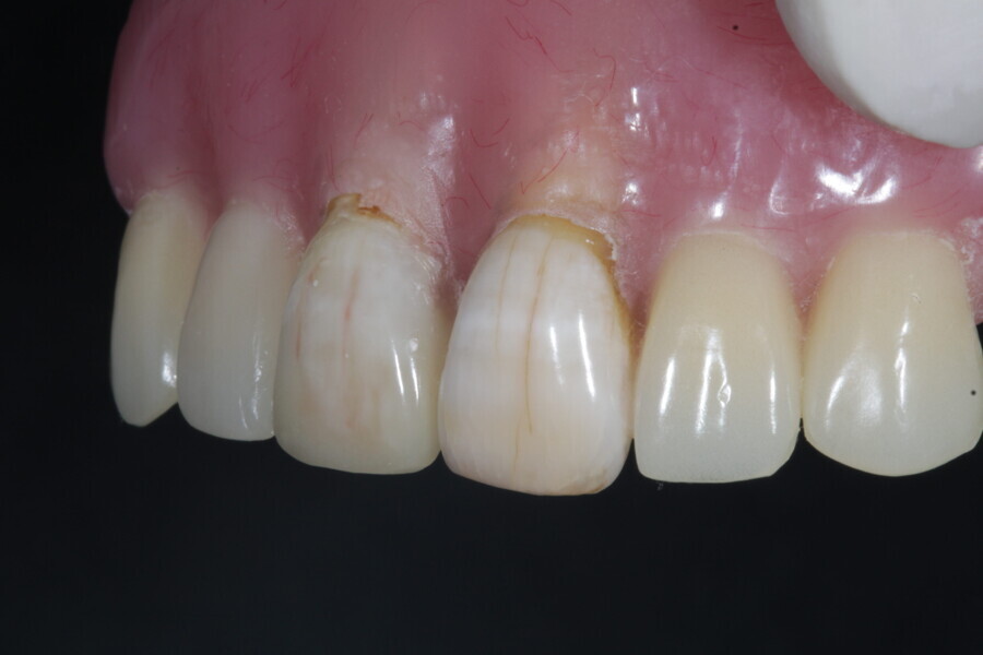
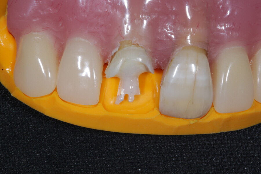
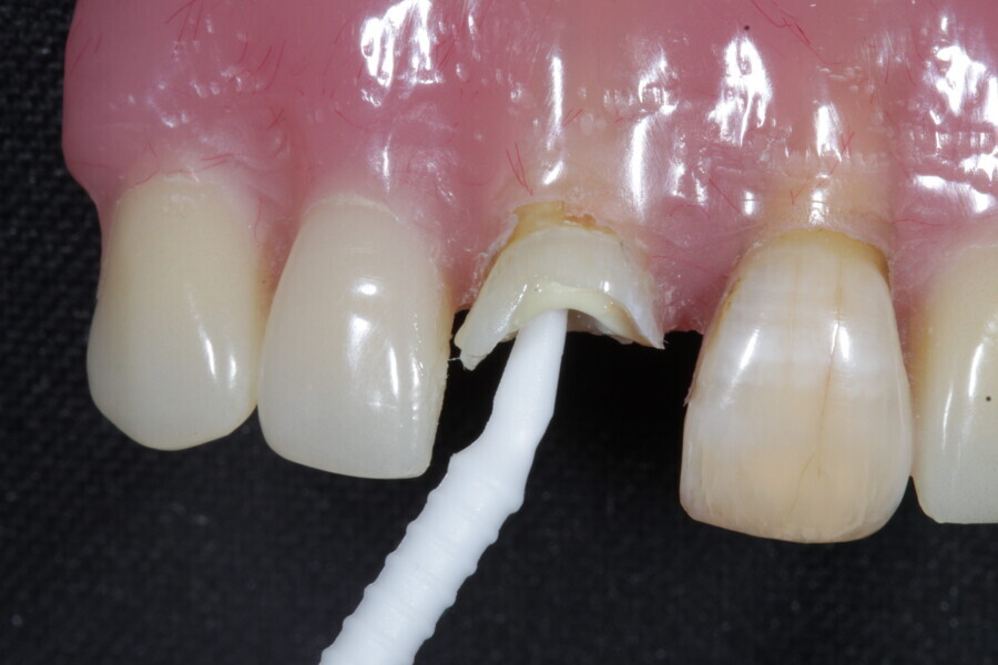
  1. functional and aesthetic reconstruction of a maxillary anterior tooth using fibre-reinforced flexible micro-posts after endodontic treatment (Figs. 3–20);

Example 1—showing functional and aesthetic reconstruction of a maxillary anterior tooth using fibre-reinforced flexible micro-posts after endodontic treatment.

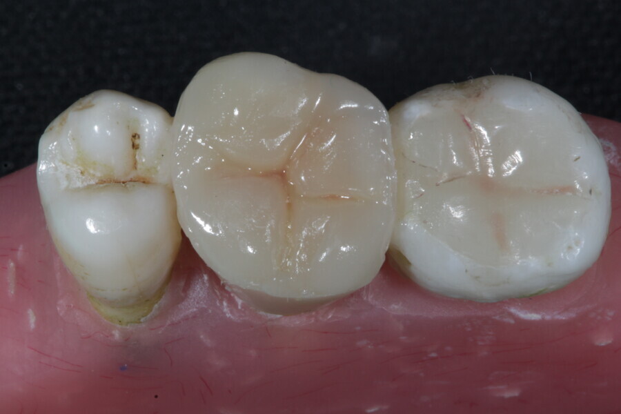
  1. direct restoration using a fibre-reinforced flowable composite and membrane cube after endodontic treatment (Figs. 21–35); and

  1. restoration reinforcement of a vital tooth with a fibre-reinforced flowable composite and membrane (Figs. 36–45).

Example 3—Restoration reinforcement of a vital tooth with a fibre-reinforced flowable composite and membrane.

Conclusion

The MiCD Fiber Filling 4R protocol offers a comprehensive and minimally invasive approach to restorative dentistry. By integrating fibres and FRC materials, this protocol addresses the limitations of traditional composite restorations, especially in large and endodontically treated teeth.

The protocol begins with recognising the specific needs of the tooth and occlusal forces, ensuring a tailored approach. It then focuses on reinforcing the tooth structure with strategic placement of fibres or FRC layers to enhance strength and longevity. The restoration step returns the tooth to its natural form and function, using advanced materials and techniques for a durable bond. Finally, the refinement step ensures optimal occlusal contact and aesthetics, providing a smooth, natural appearance and promoting a healthy oral environment.

This approach improves the durability and functionality of restorations while ensuring patient satisfaction through minimally invasive and aesthetically pleasing outcomes, aligning with the principles of MiCD.

 

Editorial note:

This article was published in cosmetic dentistry—beauty & science vol. 18, issue 1/2024. A complete list of references can be found here.

Topics:
Tags:
To post a reply please login or register
advertisement
advertisement