Search Dental Tribune

(Image: Cinefootage Visuals/Shutterstock; clnical images: Domingo Martín)

Mon. 22. July 2024

save

When there is alteration of any of the internal structures that make up the temporomandibular joint (TMJ), it can be said that we are facing possible temporomandibular disorder (TMD). It should be noted that, according to Wu et al., only 17% of the population is free of TMJ problems, and 83% present with mild to severe manifestations of dysfunction.1

The literature on the aetiology of TMD describes it as multifactorial, involving biological, environmental, social, emotional and cognitive factors.2–6 The relationship between malocclusion and the development of TMD is still a matter of debate. There is currently a great deal of controversy regarding the link between TMD and occlusal factors. Authors such as Serrat,7 Bottino,8 Barker,9 Taboada et al.,10 Cooper and Kleinberg,11 and Selaimen et al.12 relate malocclusion to mandibular instability and therefore joint instability. In contrast, authors such as Martínez et al.,13 Kahn et al.,14 Gesch et al.,15 Seligman and Pullinger,16 and Lipp17 suggest that occlusal factors do not play an important role in the aetiology of TMD.

As the philosopher Karl Popper rightly said, scientific knowledge is the best and most important type of knowledge we have, although it is far from being the only source of knowledge.18 In our daily practice, in addition to considering the scientific literature, we must consider our clinical experience and clinical results. Okeson says, “Although orthodontics cannot be linked to prevention or causing TMD, it is difficult to imagine a specialty that changes interocclusal relationships so much and does not impact masticatory structures and function.19

All the articles written that do not find a relationship between occlusion and TMD define occlusion from a static point of view.20, 21 Okeson keenly observes this and writes, “The literature finds a minor relationship between occlusal factors and TMD. It should be noted, however, that these studies report on the static relationship of the teeth as well as the contact pattern of the teeth during various eccentric movements. This represents the traditional approach to evaluating occlusion. Perhaps these static relationships can provide only limited insight into the role of occlusion and TMD.”

Undoubtedly, if we look at occlusion from a dynamic functional aspect as it relates to joint position, it is likely to provide more information regarding the relative risk of developing TMD. As McKee mentions in a guest editorial in Cranio,22 “Much of the confusion about occlusion could be resolved if we redefined the definition of ‘occlusion’.” The problem when defining occlusion solely by the position of the teeth is that the mandible is made up not only of teeth at the anterior end but also of condyles and discs at the posterior end. If we redefine occlusion as the position in which the mandible fits into the maxilla, an occlusal analysis would then consist of evaluating not only how the teeth in the mandible fit with the maxillary teeth but also how the unit of the condyle head and articular disc fits into the glenoid fossa. By evaluating occlusion at both the posterior end and the anterior end of the system, it becomes clear that changes at the TMJ level can explain many of the tooth-based malocclusions that have confounded our profession.

Condyles become displaced for three main reasons (regardless of trauma): Class II Division 2 molar relationship, fulcrums and progressive condylar resorption.

  1. Class II Division 2 molar relationship. In a recent doctoral thesis [Spanish] carried out at the University of Seville in Spain, a study of CBCT images observed a more posterior position of the condyle within the glenoid fossa in patients who presented with the aforementioned malocclusion compared with patients with normal occlusion.23 The displacements were mainly downward and backward condylar displacements, producing compression of the synovial membranes, the posterior ligament and the bilaminar zone. These patients were thus symptomatic.
  2. Fulcrum (posterior interference). Authors such as Čimić et al.,24 Palla25 and Isberg26 have observed that occlusal interferences, also known as fulcrums, can lead to an immediate change in condylar position within the TMJ. Most of these fulcrums are caused by the palatal cusps of the maxillary second molars. These fulcrums will take the condyles out of the fossae, since the occlusion determines the condylefossa relationship, regulated by periodontal receptors that in turn activate the muscles. These fulcrums will interfere with the patient’s arc of closure and will not allow the condyles to sit correctly within the fossae with the discs correctly positioned. Therefore, as Padala et al. conclude, the condylar position will play a significant role in the aetio-pathogenesis of TMD.27

Considering that occlusion is proprioceptive and always avoids interferences, the occlusal contacts of the teeth significantly influence the stability of the masticatory system. That is why Okeson asserts so widely that a functionally healthy masticatory system depends entirely on an orthopedically stable condylar position, and the condyles’ most stable musculoskeletal position coincides with maximum intercuspation.19, 28, 29 Therefore, orthopaedic stability should be the goal of treatment for any orthodontist. He et al. show that, in most patients with signs and symptoms of TMD, there is a discrepancy between maximum intercuspation of the teeth and stable condylar position.30

A functional physiological occlusion is one in which the following characteristics are present:

  • Maximum intercuspation with no interferences occurs in a musculoskeletally stable position of the system.
  • Teeth have normal anatomy; cusps, pits and grooves allow vertical mastication without interferences.
  • The condyles guide repetitive mandibular movements without parafunctional compensation.
  • The agonistic and antagonistic muscles work in coordination and act synergistically.

In a parafunctional occlusion, the following alterations can be observed:

  • Occlusal interferences in the arc of closure cause the mandibular movement to adapt to avoid these interferences.
  • The interferences often produce wear facets that alter dental anatomy, and patients lose their vertical masticatory pattern. Patients become horizontal chewers, further increasing tooth wear. Some authors have related wear facets to TMD.31–39 Large discrepancies between maximum intercuspation and stable condylar position frequently contribute to tooth wear and changes in masticatory patterns.34, 37, 39–42
  • The patient may have pain, muscular spasm and other signs of TMD.32, 37
  1. Progressive condylar resorption (PCR), also called idiopathic condylar resorption. It is an aggressive form of degenerative disease of the TMJ. It is more frequent in adolescent females, although it has also been observed in males. Pathognomonic features of this condition include a loss of condylar mass, loss of condylar morphology, and reduction in size and height of the condyle. There is also a decrease in ramus height and mandibular length, producing postero-rotation of the mandible and a corresponding Class II molar relationship and open bite.

Changes occur in the soft tissue first; advanced cases involve hard tissue. Involvement of hard tissue is often preceded by disc displacement without reduction, which in turn contributes to the destruction of joint tissue and occurs when functional demands have surpassed the adaptive capacity of the tissue. In 67% of cases, PCR is unilateral.43 PCR is often related to unstable occlusion, leading to dysfunctional remodelling and morphological changes to the TMJ.44 Although some cases will be asymptomatic, according to Kristensen et al., most patients will develop signs and symptoms of TMD.45

Colonna et al. observed that individuals with TMJ pain have a smaller condylar volume and a tendency to hyperdivergent growth.46 Manfredini et al. in a systematic review of the literature suggest that individuals with a Class II skeletal pattern and hyper-divergent growth pattern have a higher frequency of disc displacement and degenerative changes.47

Oh et al. also observed that facial asymmetry and deviated chins are associated with PCR.48 In these cases, we can also observe smaller condyles on the side of the deviation, reduced length of the condylar neck, or reduced volume of the neck and condylar head directly related to the resorption process. However, when these changes occur in one or both TMJs, it is unlikely that the teeth at the other end of the jaw will not be affected.

Thus, there are many manifestations of PCR:

  • open bite with only posterior contacts;
  • loss of overbite;
  • deviation from the midline;
  • inclination of the occlusal plane to the affected side;
  • flat and worn teeth;
  • cervical enamel erosion;
  • widening of the periodontal ligament space;
  • dentine hypersensitivity;
  • acceleration of the progression of periodontal disease; and
  • worsening of endodontic lesions.

When the articular tissue changes in volume, shape and morphology to achieve the necessary characteristics to maintain function (to restore congruency of the surfaces), the muscles pull the condyles upwards and forwards, the condyle seats upwards and forwards, and the mandibular plane rotates clockwise so that only the posterior teeth are in contact. When patients want to reach maximum intercuspation, they do so at the expense of the condylar position. The posterior teeth become the fulcrum, where the occlusal plane pivots, pushing the condyles downwards and backwards.

When there is orthopaedic instability and the teeth are not in occlusion, the condyles are held in their stable musculoskeletal position by the elevator muscles, resulting in a very unstable occlusion. However, when the teeth are brought into occlusion, maximum intercuspation cannot be achieved with the condyles in a stable position. Therefore, the individual has to choose either to maintain a stable condylar position and occlude on a few teeth or to make the teeth contact in a more stable occlusal position, which would compromise joint stability.

Therefore, in diagnosing and planning any orthodontic treatment, a complete vision of the patient’s problems is necessary to determine the ideal solution for each case. Diagnosis is a fundamental part of our specialty if we want to achieve all our goals, especially stability and longevity. Our main goals are orthopaedic stability, TMJ health, dental and facial aesthetics, increased airway, optimal jaw dynamics with a vertical masticatory pattern, periodontal health, dental stability and longevity and of course patient satisfaction.

In the case of orthopaedically unstable patients, a stable arc of closure must be achieved before starting any orthodontic treatment. Stabilisation is achieved with an occlusal splint, and once stabilised, this position must be maintained until the end of treatment to attain orthopaedic stability. Splints must be worn 24 hours a day, seven days a week. We use a two-piece splint, and both parts are constructed at the same vertical dimension of occlusion. The anterior splint covers the six anterior teeth (incisors and canines), and the posterior splint is united by a palatal bridge and covers the premolars and molars.

The anterior splint opens the bite and avoids posterior contacts, diminishing the muscular activity and restoring symmetrical function. By increasing the vertical dimension, we obtain relaxation of the elevator and depressor muscles. Patients wear it during sleep, ideally for at least eight hours. This splint allows repositioning of the condyles upwards and forwards and harmonising of the neuromuscular system by eliminating clenching and parafunction. During the day, patients wear the posterior splint, allowing seating of the condyles, stabilisation of dental contacts and recovery of the true arc of closure. The two-piece splint is much better accepted by patients since it produces no aesthetic problems and thus encourages greater compliance.49

Fig. 1: FACE treatment goals. TMJ = temporomandibular joint.

Fig. 1: FACE treatment goals. TMJ = temporomandibular joint.

According to the literature, the main reason for using splints in our profession is to deprogramme the muscles, modify sensory input and reduce the electromyographic activity of the mandibular and cervical elevator muscles. Our splints also reduce hyperactivity and muscle pain to achieve occlusal stability and to stabilise the mandibular position, supporting the healing and remodelling process of the TMJ. Sletten et al. analysed the effect of deprogramming splints in relieving 12 symptoms related to TMD (e.g. noises, locking of the mandible, clenching and grinding of the teeth, headaches and neck pain, earaches and tinnitus) and observed statistically significant improvements in 11 of the symptoms analysed.50

Nemes et al. concluded that treatment with occlusal splints followed by molar intrusion to eliminate the discrepancy between maximum intercuspation and stable condylar position (centric relation) seems to be an effective method in the treatment of patients with TMD.51 They also saw improvements in the condylar morphology in comparing the CBCT scans pre- and post-treatment. On the basis of CBCT scans, Ok et al. also observed that treatment of TMJ osteoarthritis with stabilisation splints induced favourable bone remodelling on the anterior surface of condylar heads with degenerative condylar changes.52

Because treatment with splints seats the condyles upwards and forwards within the glenoid fossae and the mandible rotates clockwise, in most cases, only the posterior teeth will come into contact. It is at this time that we must change the occlusal plane with orthodontics to achieve orthopaedic stability, that is, coincidence of maximum intercuspation and stable condylar position.

Two clinical cases of patients with TMD are presented in this article. Their condylar positions were first stabilised with splints, and they were then treated with the FAS Aligner System (FORESTADENT) using the true arc of closure, allowing us to achieve good aesthetics and occlusal function, which are the FACE treatment objectives (Fig. 1).53

Case 1

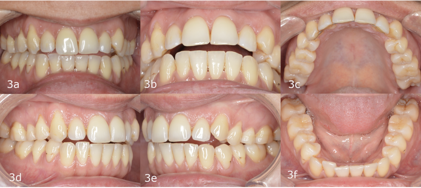
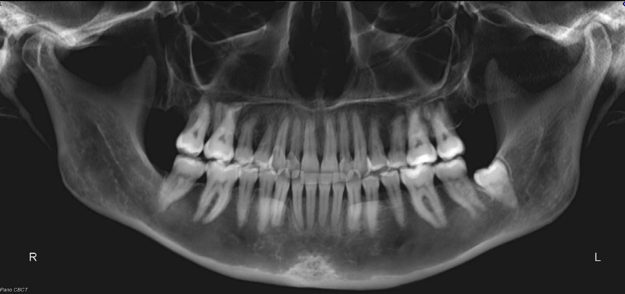
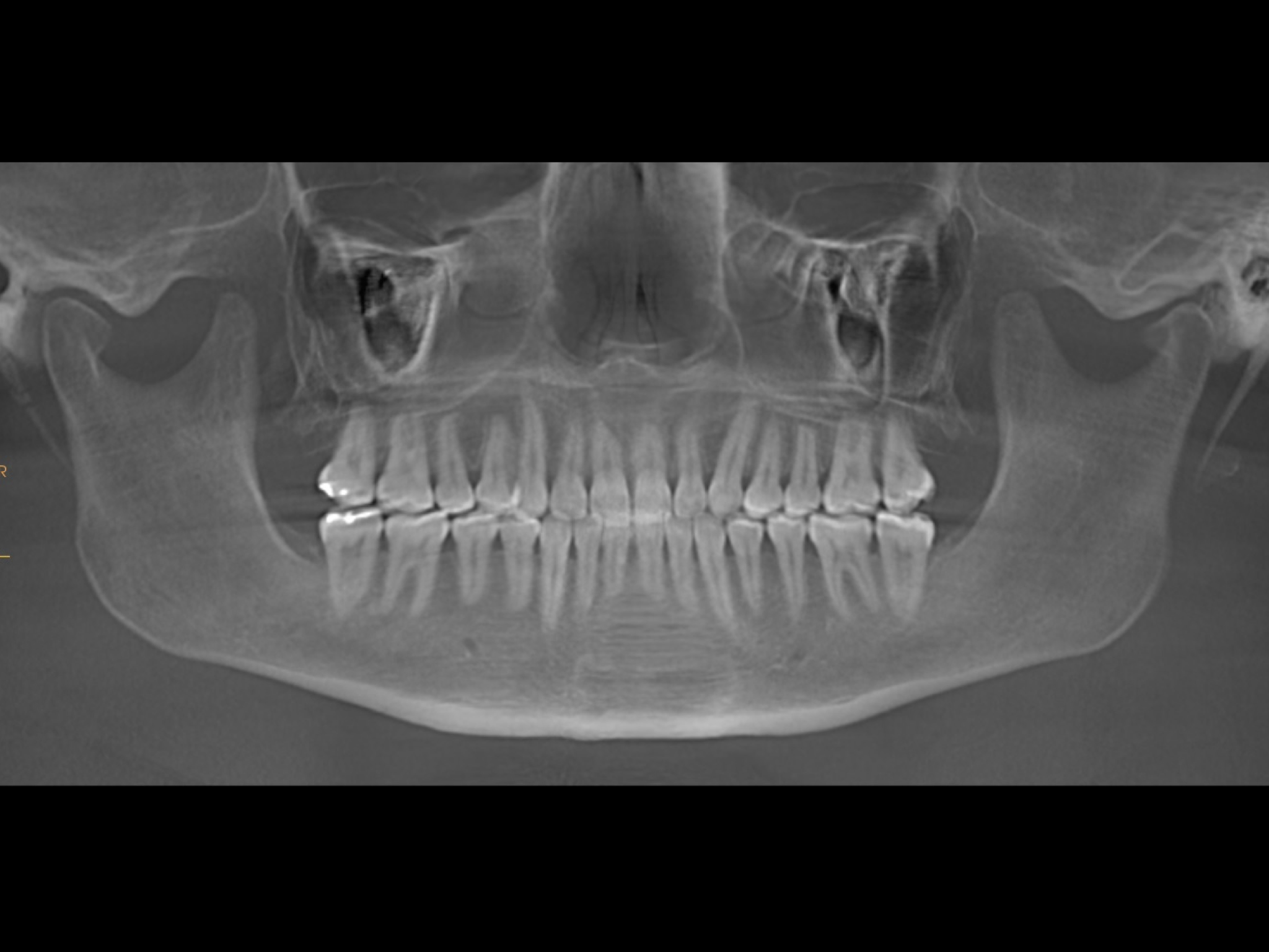
A 30-year-old female patient presented with the chief complaints of severe muscle and joint pain, open bite and tooth wear. She was treated orthodontically as a teenager with fixed appliances. Extra-orally, we observed slight mandibular asymmetry with deviation of the chin to the right, as well as lip incompetence, insufficient chin projection and a long face typical of a dolichofacial skeletal pattern (Fig. 2). Intra-orally, she had an anterior open bite, retroclined maxillary incisors, moderate crowding in both arches, an asymmetrical arch form uneven gingival margins, a mandibular midline shifted to the right, abfractions, gingival recession and wear facets (Fig. 3). The joint and muscle examination revealed pain on palpation of the masseter, temporalis, and superior right and left lateral pterygoid muscles. She also exhibited pain in the bilaminar zone and both lateral poles of the condyles. Clinically, she had early clicking during mandibular opening and closing owing to anterior displacement of the articular disc in both joints. In the dental panoramic tomogram, she was missing all four third molars, but had no other noteworthy pathology (Fig. 4). Cephalometrically, she had a dolichofacial skeletal pattern and proclination of the mandibular incisors (Fig. 5).

We performed a visual treatment objective, and our goals were to lingualise the mandibular incisors, decrease the vertical dimension through intrusion of the posterior teeth and produce anticlockwise rotation of the mandibular plane. This would improve the patient’s facial profile, lip competence and articular function. The CBCT images of the joints showed that both condyles were improperly located within the fossae (Fig. 6). The joint spaces were increased and the condyles descended. The airway area on the CBCT scan showed compression (Fig. 7). The patient was referred for a polysomnographic study to rule out compromised respiratory function.

When measuring the size of her teeth and conducting a Bolton analysis, we identified an anterior Bolton discrepancy due to mandibular excess (Fig. 8). In maximum intercuspation, there were bilateral contacts only on the posterior teeth (Fig. 9). In her arc of closure (Fig. 10), a unilateral posterior fulcrum was observed. It was due to premature contact on the maxillary left second molars.

Based on the complete clinical situation, the patient was diagnosed with orthopaedic instability with muscular and joint symptoms, tooth wear, recession, a dental fulcrum, altered joint spaces and anterior articular disc displacement. Therefore, it was paramount to establish condylar stability and achieve a stable arc of closure before starting any orthodontic treatment.

Figs. 8a & b: Measurement of the (a) maxillary and (b) mandibular anterior teeth and calculation of a Bolton discrepancy.

Figs. 8a & b: Measurement of the (a) maxillary and (b) mandibular anterior teeth and calculation of a Bolton discrepancy.

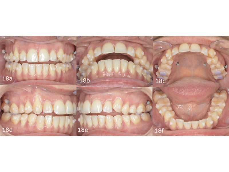
Figs. 9a–f: (a) Frontal view. (b) Overjet view. (c) Left lateral view. (d) Upper oclussal view. (e) Right lateral view. (f) Lower oclussal view.

Figs. 9a–f: (a) Frontal view. (b) Overjet view. (c) Left lateral view. (d) Upper oclussal view. (e) Right lateral view. (f) Lower oclussal view.

Figs. 10a–f: Relationship at the first contact in the arc of closure.

Figs. 10a–f: Relationship at the first contact in the arc of closure.

Fig. 11: Posterior splint.

Fig. 11: Posterior splint.

The stabilisation phase was carried out with a full-time two-piece splint. The patient wore the posterior part during the day in order to achieve stable contacts with the antagonist teeth (Fig. 11). The anterior part, worn during the night, helped to eliminate clenching and parafunction (Fig. 12). Regular adjustments were made until we achieved stable occlusal contacts, allowing the condyles to seat, first recovering and then maintaining the arc of closure during the process.

The objectives of splint therapy are to achieve a stable condylar position, obtain the patient’s true arc of closure and achieve muscular coordination and, consequently, remission of symptoms. However, the final and most important aspect of splint therapy is to obtain the correct maxillomandibular relationship in order to diagnose and plan treatment in a more predictable manner.

After four months of wearing the splint, the patient’s condylar position was stable (Fig. 13). This position was maintained during treatment in order to retain the true arc of closure by placing occlusal build-ups on the posterior teeth (Figs. 14 & 15). These occlusal build-ups also have an intrusion effect, favouring the correction of patients who require vertical control. Only when the patient is stable do we have a predictable situation for planning and starting orthodontic treatment. In treatment with aligners, planning based on the patient’s true arc of closure allows us to achieve successful results in less treatment time and with fewer aligners and fewer refinements while protecting the TMJ.

Treatment with the FAS Aligner System, as shown in the FAS OcclusalDesign tool (Fig. 16), was used, aiming at decreasing the vertical dimension through intrusion of the maxillary molars, correcting the arch form, centring the mandibular midline and levelling the maxillary and mandibular occlusal planes. The Bolton discrepancy would be resolved with inferior interproximal reduction. The planned movement was compatible with periodontal health, being within the biological limits of the patient’s alveolar bone (Fig. 17).

Fig. 26: Post-treatment dental panoramic tomogram.

Fig. 26: Post-treatment dental panoramic tomogram.

Initial treatment in 29 stages was planned, by which point the final occlusal results would have been obtained. We began with the placement of attachments and micro-screws in the maxillary arch for posterior intrusion (Fig. 18). After seven months of treatment and in the 20th stage, we introduced the FAS STOP and GO concept and took new records to prepare for the second phase of aligner treatment (Fig. 19). Thanks to STOP and GO, it is possible to achieve better tracking so that aligners fit properly and shorter treatment times using fewer aligners. This is the advantage of planning in different stages. It helps us achieve all our treatment goals on a consistent basis, and treatment efficiency is much higher.

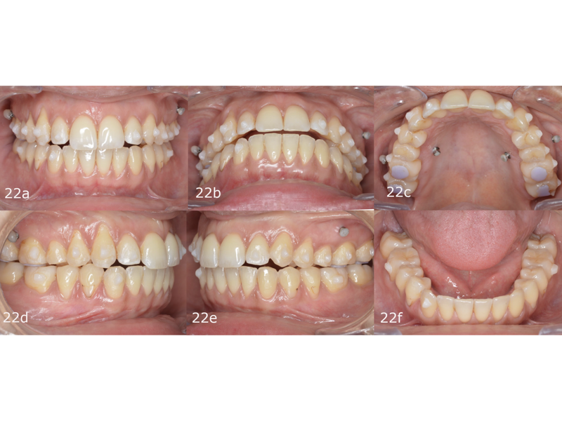
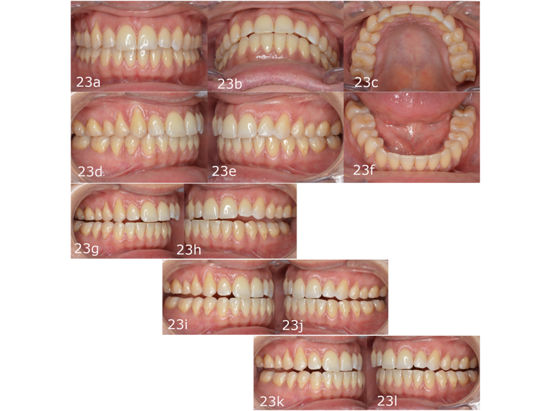
The second phase of treatment began with the placement of new attachments (Figs. 20–22) and consisted of 12 stages, during which we continued to intrude the maxillary molars, centre the mandibular midline and level the occlusal planes. This phase lasted for four months. The total treatment involved 32 stages over 11 months, and all the treatment goals were achieved (Figs. 23–25).

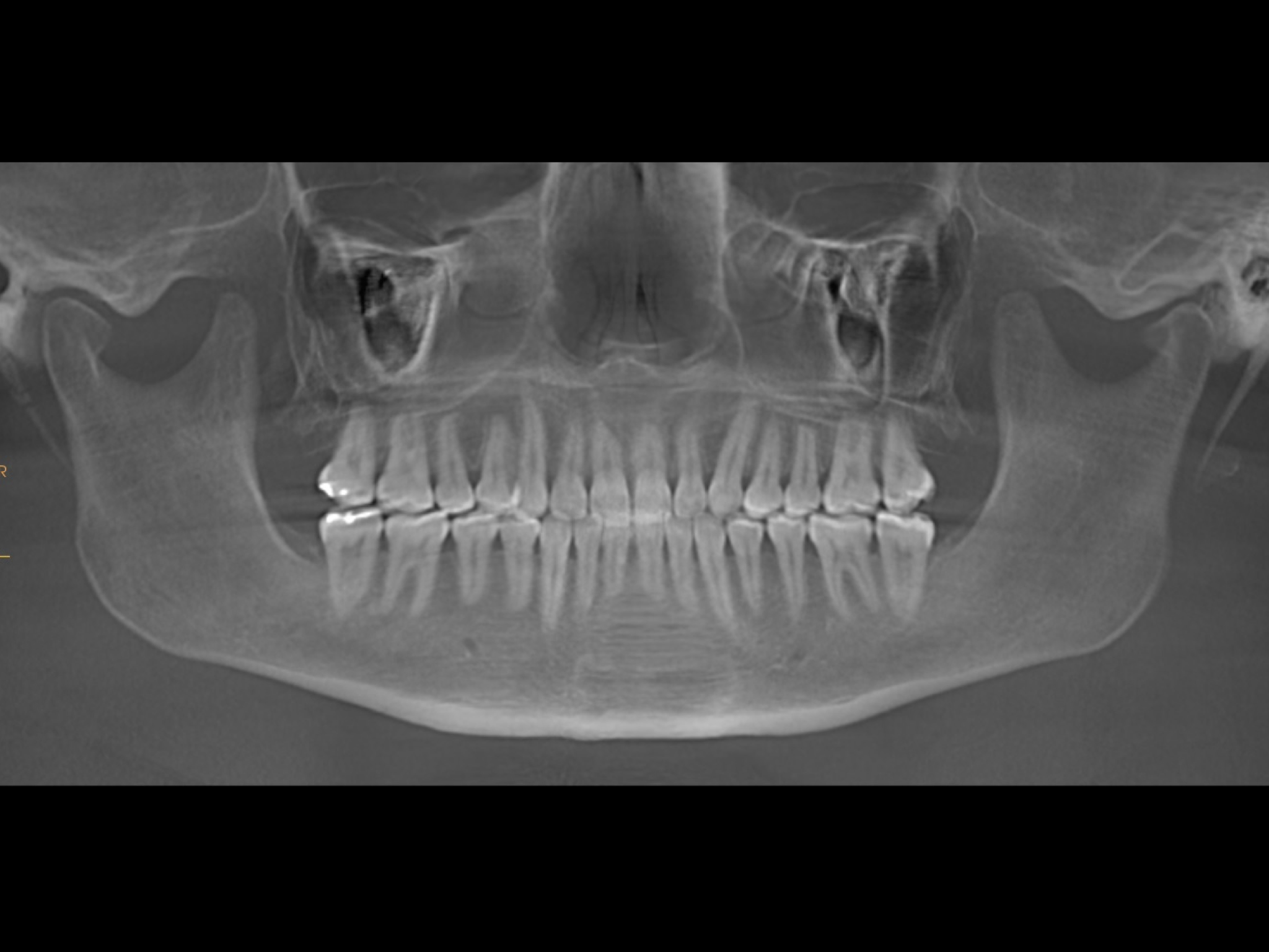
The final dental panoramic tomogram showed the correct levelling of the occlusal planes and root positions (Fig. 26). The final cephalometric tracing showed closure of the facial angle thanks to the posterior intrusion and mandibular auto-rotation (Figs. 27 & 28). Mandibular antero-rotation shortens the lower facial third, improving lip competence and ultimately the facial profile. The CBCT images of the TMJs showed the correct position of the condyles within the glenoid fossae (Fig. 29). When looking at the airway on the CBCT scan, we also saw an improvement of the patient’s airway (Fig. 30).

Figs. 31a–f: Pretreatment extra-oral photographs.

Figs. 31a–f: Pretreatment extra-oral photographs.

Case 2

A 36-year-old female patient was referred by her osteopath because of neck, shoulder and back pain and also presented with severe dental wear. The patient had undergone orthodontic treatment in the past with fixed multi-bracket appliances, and this was her motivation to be treated with aligners.

Extra-orally, we observed a dolichofacial skeletal pattern, a long lower facial third, a slightly gummy smile, lip incompetence, maxillary compression and a mandibular deviation to the right (Fig. 31). We also perceived a maxillary and mandibular retrusive profile with an obtuse nasolabial angle and lack of support of the upper lip when smiling. Intra-orally, we confirmed the maxillary compression and noted negative torques of the lateral segments, maxillary and mandibular crowding, and deviated midlines (Fig. 32). Dental wear, gingival recession and hypoplastic lateral incisors were also present. Occlusally, she presented with Class I molar and canine relationships, retroclination of the maxillary incisors, lack of overjet and overbite, and an increased curve of Wilson due to the palatal cusps of the maxillary second molars.

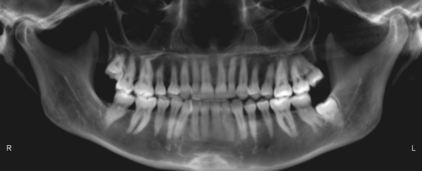
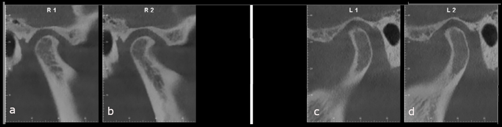
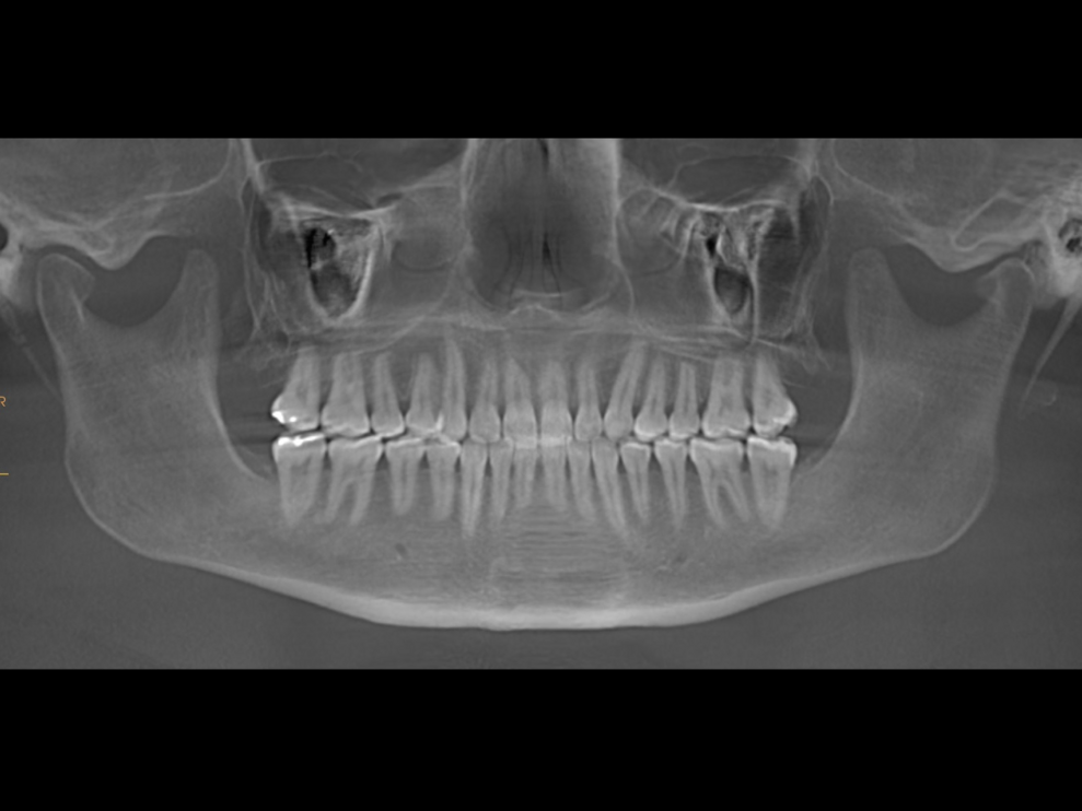
The panoramic radiograph showed slight bone loss, the presence of the maxillary third molars and mandibular left third molar and correct root morphology (Fig. 33). In the cephalometric radiograph and tracing, a Class II skeletal pattern and a marked negative torque of the maxillary incisors were observed (Fig. 34). The CBCT scan of the condyles showed that both condyles were well corticated, although the right condyle had undergone a process of PCR with reparation, evident from the good corticalisation and osteophyte (Fig. 35). This resorption process had affected the ramus, the right mandibular ramus being shorter than the left. This perfectly explained the reason for the patient’s mandibular deviation. We also observed a lack of functional space around the right condylar head, which was a clear sign that there was probably no disc present.

Clinically, she had TMJ sounds, hyper-laxity with mouth opening of 54 mm and pain on palpation of both joints. The patient also suffered from masseter, temporalis and occipitalis muscle pain. In addition, the patient reported frequent headaches, neck and shoulder pain, nocturnal bruxism and episodes of closed lock. Upon manipulation, we observed an important discrepancy between maximum intercuspation and first contact on the arc of closure.

Figs. 36a–f: Pretreatment virtual mounting.

Figs. 36a–f: Pretreatment virtual mounting.

We performed a virtual mounting of the case using the Tech in Motion device (MODJAW; Fig. 36), and the severe occlusal discrepancy was confirmed. In addition, the MODJAW condylar graphs showed unstable condylar movements, especially of the left condyle during opening and closing, as it deviated to the right (Fig. 37). In the recording of the arc of closure, we observed the inability of the condyles to rotate, moving purely horizontally within the joint spaces (Fig. 38).

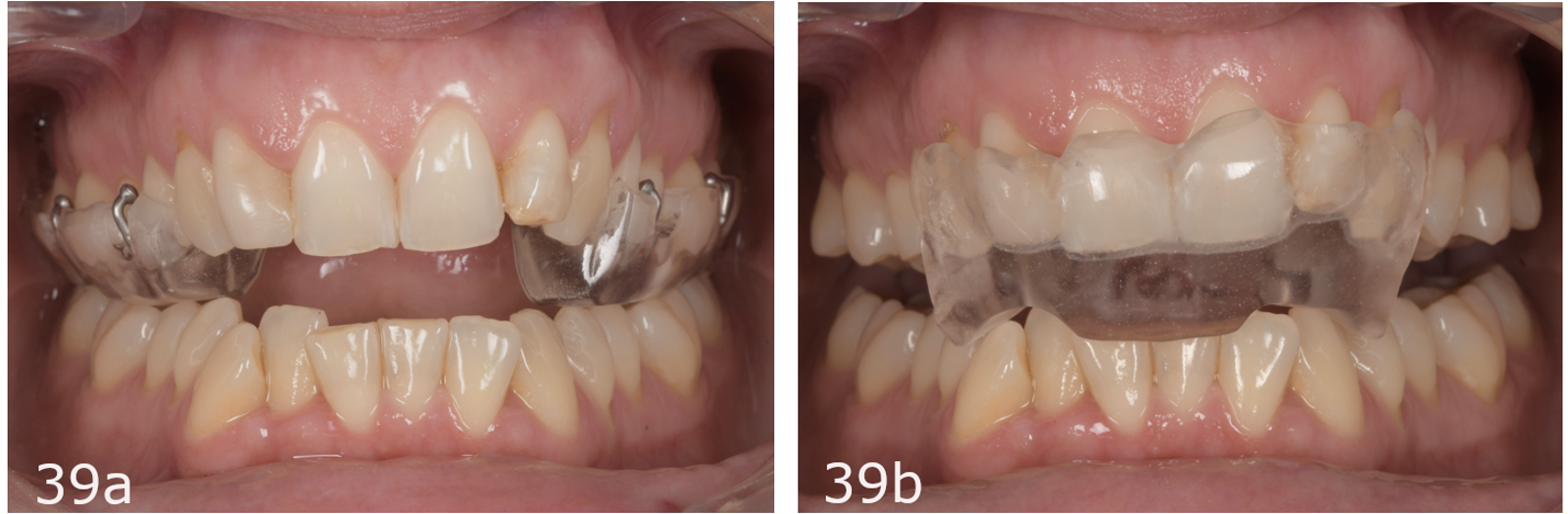
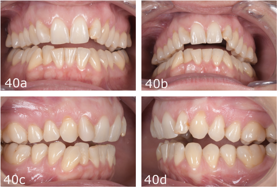
Considering the joint instability, our initial treatment began with a splint (Fig. 39). After four months of treatment with the splint, the condylar position was stable, the condyles rotated and the patient was completely asymptomatic. However, her occlusion had changed to more of a Class II malocclusion, and she had developed a larger open bite owing to the mandibular clockwise rotation (Fig. 40).

The CBCT scan of the condyles after splint therapy showed a more normal position of the condyles54 with respect to the fossae, as well as greater corticalisation of the right condyle (Fig. 41). In addition, the condylar graphs of the 4D images showed a significant improvement of the condylar movement, having a more uniform and anatomical trajectory during opening and closing and achieving condylar rotation (Figs. 42 & 43).

Using the post-splint cephalometric radiograph, a visual treatment objective was done (Fig. 44). To achieve our goals, we needed to correct the Class II malocclusion, close the open bite and correct the incisor positions. We wished to increase the torque of the maxillary incisors by 15°, reduce the torque of the mandibular incisors by 2° and intrude the maxillary molars by 3.4 mm to produce anticlockwise rotation of the mandible to close the open bite and improve the facial and dental aesthetics.

Figs. 45a–d: Pretreatment situation (purple) and expected post-treatment situation (white) in FAS OcclusalDesign.

Figs. 45a–d: Pretreatment situation (purple) and expected post-treatment situation (white) in FAS OcclusalDesign.

The treatment plan with FAS consisted of aligning and levelling both arches, recovering arch forms and introducing positive torque to the entire maxillary arch, intruding the maxillary posterior teeth with the help of skeletal anchorage (vertical control) to correct the Class II malocclusion and opening space for the lateral incisors for their restoration (Figs. 45 & 46).

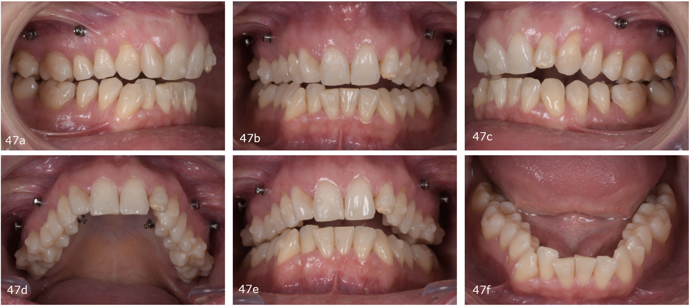
The first phase consisted of 26 maxillary and mandibular aligners. After the attachments had been cemented, six micro-screws were placed (four buccal screws between the maxillary first and second molars and between the maxillary first and second premolars and two palatal screws between the maxillary second premolar and first molar), and the patient was instructed to use 5⁄16 in. and 8 oz elastics to help in the intrusion of the posterior teeth (Fig. 47). At the 16th pair of aligners, we introduced the STOP and GO concept. After STOP and GO at the 17th pair of aligners, we decided to continue, since the treatment was progressing correctly.

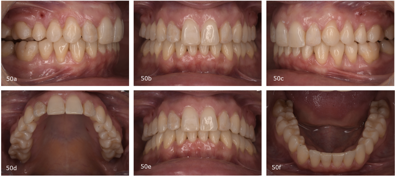
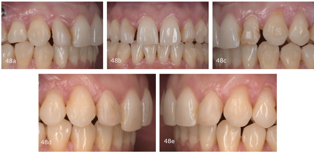
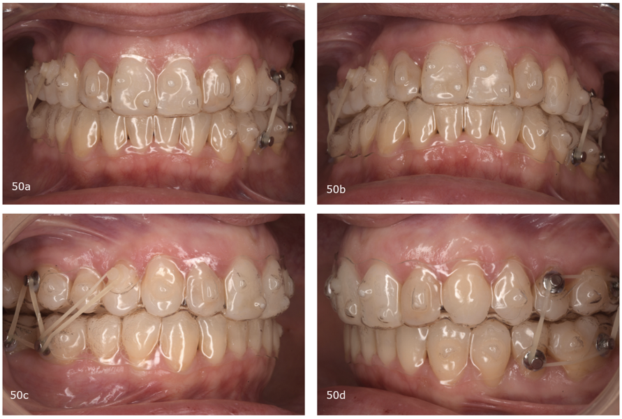
Because the treatment had distributed the spaces between the maxillary incisors, it was decided to provisionally restore the lateral incisors (Fig. 48). After the incisors had been restored with provisional composite, we scanned the patient for new aligners to initiate the second phase. In this phase, we expanded the maxillary and mandibular arches, continued the postero-superior intrusion to close the open bite by mandibular auto-rotation and finalised the alignment (Fig. 49). This stage consisted of 20 pairs of aligners (Fig. 50). We finished the case with a third phase of ten pairs of aligners and incorporated inter-maxillary elastics (Fig. 51).

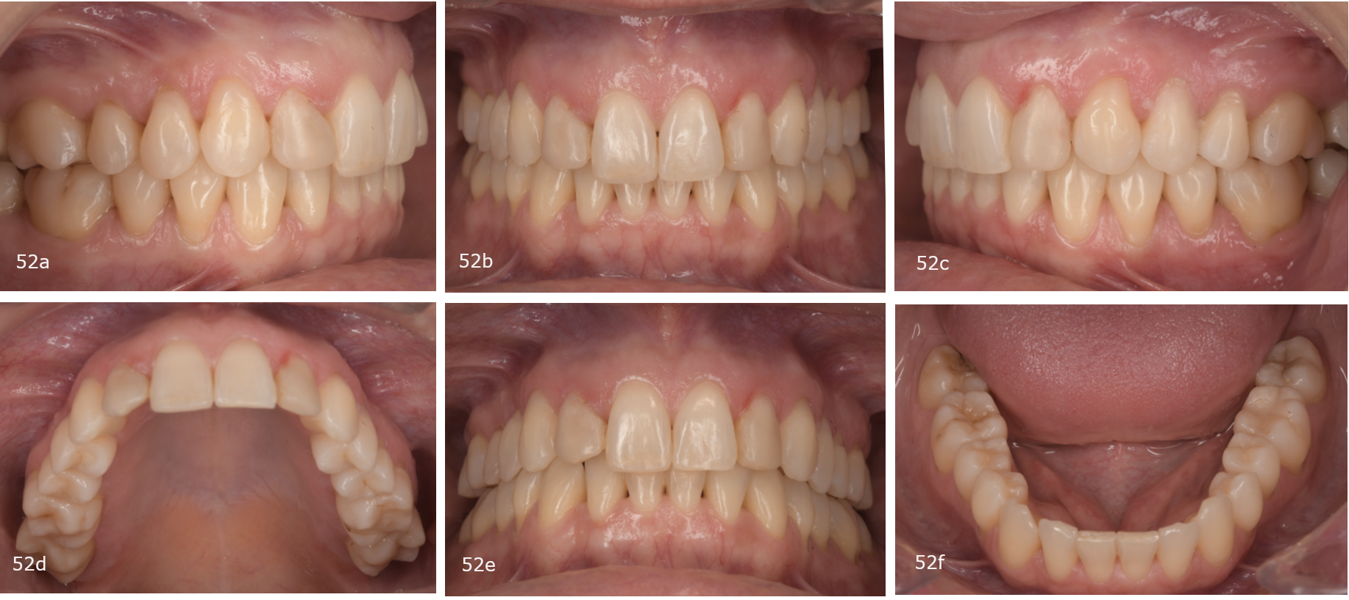
After treatment, the patient had bilateral Class I molar and canine relationships, correct overjet and overbite, centred midlines and improved arch forms (Fig. 52). Extra-orally, she had improved arch forms, a wider smile, an improved smile line and less gingival exposure (Fig. 53). The lower facial third had been shortened thanks to mandibular antero-rotation, and there was improvement of the upper lip support thanks to the positive torque of the maxillary incisors. In the post-treatment panoramic radiograph, we observed excellent periodontal status, no resorption of the roots and extraction of the maxillary third molars (Fig. 54). In the post-treatment cephalometric tracing, we saw a decrease of the ANB angle, a reduction in the anterior face height, an increase of the facial axis angle, and a decrease in the distance between the soft pogonion and the true vertical line thanks to the anticlockwise rotation of the mandible (Fig. 54). We also found an increase in the inclination of the maxillary incisors and an improvement in the final inter-incisal angle. Concerning her TMJs, the patient remained totally asymptomatic and had a vertical masticatory pattern and a stable arc of closure. The CBCT scan showed well-corticated condyles in the same position as that obtained after the splint therapy (Fig. 56).

Conclusion

The stabilisation phase with a splint in patients with unstable condylar positions is necessary in many cases before starting orthodontic treatment. Thanks to the splint, we can resolve symptoms, but more importantly, we can achieve the patient’s true arc of closure, which is of the utmost importance for correct diagnosis and treatment planning.

Working on the arc of closure is without any doubt the main reason for our success, not only with aligners but with our TMD patients. When you diagnose and plan treatment on the true arc of closure of the patient, this allows you to know exactly where the problem lies and helps in finding the correct solution. When you capture the true arc of closure and when you see where the first contact is, you can see exactly why the patient has a centric occlusion–maximum intercuspation slide, why and where the mandible is shifting, why the patient’s teeth are wearing, why there is recession, why the patient has muscular symptoms, why there is abfraction and why the patient has TMD. Knowing all of this informs what needs to be done to resolve the discrepancy. We know what needs to be done to obtain the correct vertical dimension, and in the case of a transverse discrepancy, we know whether it can be resolved with orthodontics alone or whether we need miniscrew-assisted rapid maxillary expansion, surgically assisted rapid maxillary expansion or corticotomy. We also know what needs to be done with the sagittal discrepancies. Once we capture the arc of closure, we know exactly whether the sagittal problem is vertical or truly sagittal, and this of course will also lead us to the exact solution.

Working on the true arc of closure helps us to achieve predictable and stable results and, when using aligners, to utilise fewer aligners, reduce the treatment time and finally achieve orthopaedic stability in 100% of our patients. Luckily, the FAS Aligner System allows us to work on the patient’s arc of closure before, during and after orthodontic treatment, and this is what supports predictability in all our decisions.

Editorial note:

This article was published in aligners—international magazine of aligner orthodontics vol. 2, issue 2/2023.

Topics:
Tags:
To post a reply please login or register
advertisement
advertisement