Search Dental Tribune

Dental News

Filter

Treatment of drug-induced gingival enlargement with Er:YAG laser

According to the Classification System for Periodontal Diseases and Conditions (1999)(1), drug-induced gingival enlargement belongs to the group of gingival...

save

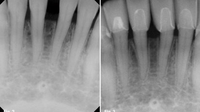
Er:YAG laser conditioning of hypoplastic enamel

Enamel hypoplasia is the most common abnormality of development and mineralisation of human teeth. The lesion is characterised by a quantitative defect in ...

save

Er:YAG Garnet in laser-assisted crown lengthening

This article describes and demonstrates the use of the Erbium:YAG 2940nm laser system (LiteTouch, Syneron Medical Ltd.) as a central tool in the treatment ...

save

Interview: “A bite inflicted by a human can have serious health implications”

In Brazil, 32 football teams from around the globe are competing for the World Cup trophy this year. Dental Tribune ONLINE had the opportunity to speak with...

save

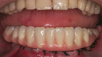
Restoring implants using lithium-disilicate,CAD/CAM fabricated restorations

Today’s consumers are always searching for the ultimate bargain, even when it comes to their dental care. They want high-quality results and minimally...

save

The name of the game in dentistry today

is to save the tooth for use in the future. In this age of adhesive dentistry, respecting and preserving the remaining healthy tooth structure as well as ...

save
advertisement

Infection control in dentistry has never been more essential

Demand for dental treatment has been increasing in recent years as people have become more aware of their oral health and the benefits of good dental ...

save

Diode laser application optimises the clinical outcomes of digital workflow

“Digital Workflow” has become an established term in present-day dentistry, helping to solve problems in dental technology which would have been...

save

Projecting a new smile from a facial photograph: A new way to plan multidisciplinarydental treatments

Aesthetic dentistry relies on professional trust, traditional wax-ups and artistic modifications of provisional restorations in the mouth to achieve the ...

save

CAD/CAM dentistry and the laboratory technician: Partners in success

The concept of digital dentistry is one that started out small and has progressively increased in momentum until its boundaries appear to have become ...

save

Staying ahead in dentistry: Pleading for language competency and communication skills

Language competency can mean different things to different people. A dentist and dental nurse for example, will use a completely different vocabulary to ...

save

Smoking as a permissive factor of periodontal disease in psoriasis

Several chronic illnesses can be traced back to alcohol consumption, sedentary lifestyle, unhealthy nutrition or smoking. Smoking, in particular, is a ...

save
advertisement

Stem cells in implant dentistry

The human body contains over 200 different types of cells, which are organised into tissues and organs that perform all the tasks required to maintain the ...

save

Reconstruction of a horizontal ridge defect using the bone lamina technique

In the case presented, the treatment plan was to place a single implant in the aesthetically demanding anterior maxillary region in the place of the left ...

save

Interdisciplinary treatment of a patient with 11 missing permanent teeth: A biomimetic approach

The current level of technology and specialisation in all areas of life allow us to assess correctly our capabilities and limitations in the treatment of ...

save

MounceFiles:A safe, economical and efficient option for canal preparation

Opinions vary as to the best means to achieve three dimensional, cleansing, shaping and obturation of the root canal system. Emerging technology, literature...

save
advertisement

Visual information and imaging technology in endodontics

In addition to intra-oral and panoramic radiographs,various visual techniques are available for endodontic treatment today. Above all, information obtained ...

save

E4D chairside CAD/CAM restorations: Case presentations and lessons learned

Despite the increasing popularity of the current CAD/CAM laboratory systems and continuing technical advances, some clinicians have remained reluctant to ...

save

Using in-office CAD/CAM technology and lithium disilicate to fabricate efficient and predictable restorations

In today’s fast-paced world, instant gratification is expected to be synonymous with worthwhile results. This also applies to dental treatments. While...

save

Dentures produced using 3-D printing versus casting and milling

Non-precious metal alloys are enjoying increased demand in dental technology. Additive manufacturing with laser melting ensures the uniformity and accuracy ...

save
advertisement

“Aesthetic dentistry in itself means nothing”

Success in aesthetic dentistry depends on biology, function and mechanics; aesthetic dentistry cannot exist independently. Cosmetic dentistry had the ...

save

CAD/CAM technology: Setting the standard and achieving success

As a full-time general dentist, CAD/CAM technology is a subject that has been of significant interest to me. I incorporated CAD/CAM into my practice more ...

save
advertisement

Non-extraction treatment of a Class II case with a missing mandibular central incisor using a CAD/CAM lingual orthodontic system

Adult orthodontic patients insist on aesthetic treatment options that have the least possible impact on their work and life. Clear aligners are an excellent...

save

Sirona South Africa wins Top Starter Award 2013

JOHANNESBURG, South Africa: Sirona South Africa (SA) has won the Top Starter Award 2013 for fastest growing new Sirona Dental System GmbH subsidiary ...

save

BIOLASE introduces GALAXY BioMill

NEW YORK, N.Y., USA: If you have been holding back on the idea of utilizing chairside milling in your dental practice, BIOLASE has a new system that you ...

save

Webinar evaluates dual-wavelength approach to treating and placing implants

LEIPZIG, Germany: The general advantages of laser surgery, such as decreased bleeding, a dry surgical field, reduced postoperative pain and reduced edema, ...

save
advertisement

Adapting to the anatomy, guided by the canal

Root-canal anatomy with all of its inherent complexity still represents a very serious challenge to modern root-canal therapy. Even with many breakthroughs ...

save

Hands onwith the new reciprocating motion file system

The frontiers in dental technology are constantly in a state of flux. Today’s instruments will become tomorrow’s news, as metallurgical ...

save

Henry Schein establishes presence in South Africa with investment in The Dental Warehouse

MELVILLE, N.Y, USA: The world's largest provider of health care products and services to office-based dental, animal health and medical practitioners, ...

save

Detecting dental caries: Is there anything new?

Dental caries is still one of the most prevalent but preventable diseases in the world. There is increasing evidence that those with poor oral health have ...

save
advertisement
advertisement