As an old saying goes, “we often miss the forest for the trees.” In our practice, it is easy to get lost in the concept that we do veneers, crowns or whatever and lose our focus on the call to help patients solve problems that affect their comfort, esthetics or function. These problems can range in the effect they have on a patient’s daily life, from minor irritations to what I call dental disabilities. When a patient fractures a front tooth, the effect includes an emotional component that can be disabling. Solutions we are able to offer may be truly life changing.
We approach these patients with the concept of “How can we help you?” using visual tools, including digital photography and radiographs, to discover problems and communicate solutions, and allowing patients to choose what fits their socioeconomic situation and needs. I have found this approach to be non-threatening in a way that shares the responsibility with the patients so that they own the outcome.
Although I consider lab processed restorations done meticulously to generally have the highest potential for longevity of service, direct composites offer a tremendous service with sufficient longevity to be of great value. Additionally, because solutions can generally be accomplished in one visit with the most conservative tooth preparations, patients consider it an excellent choice.
For example, a college student had recently fallen and broken several upper incisors. She was a very pretty girl who identified strongly with the appearance of her smile. If you will notice in her pretreatment smile picture (Fig. 1), there was a real strain in her face that indicated the problem had become as much emotional as it was physical (Fig. 2 is a pre-treatment close-up). With the clinical photographs, we were able to discuss solution options in consultation by showing the present condition and the outcomes of similar cases from other patients. The solution chosen was direct composite restorations as well as a root canal for tooth #9.
My technique utilized a fourth generation multi-bottle bonding agent that has provided me exceptional predictability and longevity over many years, and without sensitivity issues. Micro- and nano-hybrid composites offer the strength of hybrids while retaining a high gloss polished finish. Silicone polishing points, abrasive discs and polishing brushes were used to properly shape and create a highly polished surface. The unique aspect of completing a case like this in one visit is the reaction of the patient to have such a traumatic situation resolved so quickly.
To walk into our office disabled as she was and leave restored is an amazing accomplishment to the patient that creates tremendous gratitude. Although there is an obvious financial reward to providing treatment this way, the spiritual rewards we receive from providing such a service are of significant value to how we view ourselves in the work that we do. Notice in the picture that we took at one year post treatment (Fig. 3) the relaxed smile of the patient that indicates the emotional component of the disability has been resolved. We have not only restored her teeth, but her psyche as well. Very few professions have the ability to impact their clients this way.
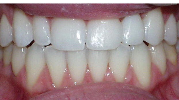
The second case involved an emergency patient with a fractured upper central incisor (Fig. 4). The incisal half of the tooth had broken clean in one piece and fit like a puzzle perfectly back in place (Fig. 5). Definitive treatment included root canal treatment with a fiber post and core with the broken half of the tooth cemented into place as though it was veneer (Fig. 6). Minimal preparation of the facial allowed a direct veneer of nano-filled composite to be layered for color balance and reinforcement. A recall photo at 6 months (Fig. 7) shows a very durable esthetic result achieving proper color matching of the centrals. An emotionally disabled patient was now restored and excited about her smile.
The final case was a seventeen year old patient with a retained deciduous tooth in place of #10 (Fig. 8) that had minimal root remaining and was about to exfoliate. The patient preferred not to do an implant and crown, so with the abutment teeth being non carious, a fixed bridge was unacceptable. The decision was made to replace the primary exfoliated tooth with a direct bonded pontic in place of #10 splinted to teeth 9 and 11. When the occlusion scheme is favorable and sufficient area of bonding can be gained on the virgin abutment teeth, this solution can easily last for 10 years or longer. For this patient, that was an exciting option that left open the possibility of an implant and crown at a future date. The tooth was extracted (Fig. 9) and a direct bonded pontic was fabricated of nano-hybrid resin and bonded to the adjacent teeth (Fig. 10). The completed case satisfied the desires and needs of the patient within her existing financial limitations.
Conservative minimally invasive options using bleaching techniques to remove tooth discoloration combined with creative composite bonding techniques can create a variety of solutions to the dental problems patients encounter. For many patients experiencing financial challenges in the present national economy, direct composite dentistry can provide an affordable solution that can satisfy their needs and desires.
It has been my experience that a non-threatening consultation approach builds tremendous trust with our patients as we communicate appropriately to them that we want to help them make choices that serve them best in solving their problem. As patient trust and satisfaction increases, so do the financial and spiritual rewards that we receive in return, which allows us to build a practice climate that is a joy to return to each day.
Contact info
Dr Bruce J. LeBlanc can be reached at bjleb@cox.net.
For many years, the trend in restorative dentistry has been to place only one- or two-shade composite restorations in daily practice. However, with this ...
For many clinicians, flowable composites are seen as a useful liner or base material below stronger, packable composites or indirect restorations, or as a ...
The restorative dental treatment possibilities available to practicing dentists have grown immensely over the past few decades. Considerable progress has ...
Natural teeth are complex in structure and difficult to imitate because many colours are distributed through the enamel and dentin.1 The structural ...
In an earlier article on this topic,1 I demonstrated the workability of thermo-viscous composites. After warming, the composite can be easily handled for ...
A female adult patient visited our clinic with the primary concern of the aesthetics of her maxillary anterior teeth. She was particularly dissatisfied with...
Minimally invasive treatments restore form, function and aesthetics with minimal removal of sound tooth structure. Understandably, the restorations age with...
In prosthodontics, assessing the individual needs and expectations of every patient is a crucial factor for successful treatment. In the production of fixed...
Dr Max Andrup, a 2010 graduate of Umeå University, currently runs a private practice in the city of Hudiksvall in Sweden, where he maintains a passion for ...
Education
Live webinar Tue. 12 May 2026 1:00 pm EST (New York)
LEIPZIG, Germany: Gum Health Day 2026 marks the start of a three-year global awareness campaign by the European Federation of Periodontology (EFP) under the...
Most practices believe that excellence is built through outcomes—achieved through technology, innovation, reputation or visibility. In reality, excellence...
XI’AN, China: As patients increasingly turn to artificial intelligence (AI) tools for oral health advice, questions arise not only about the reliability ...
To post a reply please login or register