The Straumann Pro Arch concept involves different treatment solutions for the fully edentulous patient. The objective is to provide a predictable, reproducible and simple treatment that restores patients’ oral health and consequently improves their quality of life dramatically. The possibility of immediate, same-day rehabilitation by means of temporary fixed prostheses offers maximum treatment quality and satisfaction for both the dental team and patient. The objective of the treatment with an immediately loaded fixed prosthesis on implants is to improve the patient’s quality of life by providing function, aesthetics and health until osseointegration is established.
Owing to the fully digital workflow, which starts with the use of an intra-oral scanner, the work team is able to offer a treatment of extreme precision in a simple way. This marks the beginning of a completely digital treatment right up to the final prosthesis. This could be considered as a new form of implantology in which the different elements of treatment are optimised to obtain a spectacular result.
With this objective in mind, at i2 Implantología, we have developed a number of solutions and protocols covering the different clinical situations in fully edentulous patients and based on classical implantology principles to obtain predictable and reproducible results, with the use of the intra-oral scanner as the principal element. Our protocols include the use of certain elements (adequate implant system, Osstell, etc.) and action protocols for scanning, surgical and prosthetic procedures and laboratory operations, including the production and maintenance of the provisional prosthesis.
In this case report, we present the i2 Standard protocol. This can be applied to patients requiring the removal of terminal dentition. In summary, this involves selected extractions, implant placement, intra-oral digital impressions, and the design and production of the temporary fixed prosthesis in PMMA, with placement in the patient on the same day.
It is important to note that our fully digital protocol to reach the final prosthesis is based, if needed, on the production of subsequent different temporary prostheses until osseointegration is established. We will modify the initial design (and produce further temporaries) always according to a fully digital approach, in order to obtain the final mock temporary prosthesis that fulfils the functional and aesthetic parameters in the patient. The information provided by this final mock temporary will be copied on to the final prosthetic design. A trained dental team, clinic and laboratory are mandatory.
Initial situation
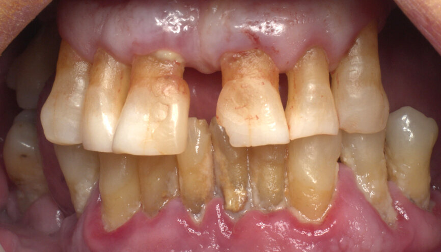
A 68-year-old patient with no medically relevant history and hopeless dentition was referred by his periodontist. A panoramic radiograph and dental CT scan were taken to evaluate the bone availability, disposition and density (Figs. 1 & 2). After the different treatment options were discussed, and in view of the patient’s overall dental, social and financial situation, an implant treatment with a same-day fixed temporary restoration was the first choice for both the dental team and the patient.
Treatment planning
The goal was to load the implants immediately with a fixed screwed temporary prosthesis. To achieve this, the strategic extraction of some dental elements was planned, with the temporary preservation of those key elements that, in the intra-oral scanning, determined the patient’s aesthetics, vertical dimension of occlusion and prosthetic arch. We decided to perform minimally invasive surgery, where possible, with a flapless technique to avoid any mobile tissue that could affect intra-oral scanning. The placement of six Straumann Bone Level Tapered, Roxolid, SLActive implants with screw-retained abutments (SRAs) was planned for the restoration.
Surgical procedure
Before starting the surgery, an initial study model scan was obtained with the intra-oral scanner and sent to the laboratory as the patient’s original file (File 1). This file contained all of the information concerning the patient’s preoperative situation, including teeth, aesthetics, vertical dimension of occlusion and occlusion (Fig. 3).
The surgery was performed under local anaesthesia and with patient monitoring by an anaesthesiologist using conscious intravenous sedation with midazolam and pulse oximetry monitoring. Removing failing teeth was the first task, keeping in place those teeth with less mobility and in strategic positions to maintain antagonist contacts, and trying to keep the same preoperative bite (Fig. 4).
Extraction sockets were fully debrided with a bur to remove all of the granulomatous tissue. Gingival trimming was also performed on those gingival parts with deep pockets. Cleaning with hydrogen peroxide and saline was the final step, obtaining fresh places for the implants.
Keeping in mind the bone anatomy, availability and expected density, the final implant locations were selected and the implant beds were prepared at 800 rpm with continuous saline irrigation. The implant beds have to be prepared such that parallelism is maintained between all the implants. When placing tilted and/or non-parallel implants, the preparation angle should be either 17° or 30° to match the available SRA custom angulation. Accordingly, the dentist is constantly striving for the least divergent implant preparation, drilling at 0, 17 or 30°. The Pro Arch guide is very useful for this purpose.
Furthermore, undersized drilling with continuous bone density assessment according to the operator’s own experience is mandatory to achieve the highest insertion torque, taking account of the biological bone situation and the mechanical properties of Roxolid. In this case, six implants (Straumann BLT, Regular Neck, Roxolid, SLActive, four of ⌀ 4.1 mm and two of ⌀ 4.8 mm) were placed with the handpiece at 45 N cm, with a final manual setting and monitoring of the insertion torque (Figs. 5 & 6). Careful orientation of the Loxim orientation marks is mandatory to maintain the desired parallelism of the SRA prosthetic screws.
After final implant seating, BLT Type 54 SmartPegs from Osstell were placed on each implant, and the ISQ level was measured and recorded at implant connection level. Values between 75 and 85 out of 100 were obtained, confirming the immediate loading possibility on all the implants (Figs. 7 & 8).
SRAs were connected to all of the implants: two 17º Type A angulated SRAs were placed on the anterior implants to correct the angulation for immediate prosthetic rehabilitation. Straight SRAs were placed on the remaining implants (Fig. 9). New ISQ levels were measured at abutment level using the convenient BLT Type 25 SmartPegs. It is important to record the ISQ level at implant and abutment level in the surgery so that the values can be extrapolated in future Osstell readings at SRA level.
To obtain the final intra-oral surface scan, original Straumann SRA scan bodies were connected to the SRAs under visual control (Fig. 10). A new intra-oral scan was taken to record the patient’s current oral situation, showing the scan bodies and the preserved strategic teeth. This file (File 2) was also sent to the laboratory (Figs. 11 & 12). When the laboratory confirmed receipt of both files, the preserved teeth were extracted and healing caps placed on the abutments, completing the surgery.
Prosthetic procedures
On receipt of the scan body file (File 2), the laboratory imported it into 3Shape’s Dental System and created a virtual model, matching the virtual SRA scan bodies from Straumann’s original library with the intra-oral SRA scan bodies (Figs. 13 & 14). A working file was created for designing the temporary prosthetic emergence profile for the SRA.
To perform the design of the temporary full-arch prosthesis and maintain (or modify) the vertical dimension of occlusion and occlusion, the patient’s pre-preparation study model scan file (File 1) was imported as a pre-preparation scan (blue) and merged with the implant file scan (File 2), using the preserved teeth present on both scans. The software allowed us to mark the same points on the preserved teeth on both files, the study model scan and the implant scan (both contained the preserved teeth). Thus, the laboratory was able to work on a single file containing both Files 1 and 2, merged by means of the preserved teeth. Designing the temporary prosthesis is an easy task using the image of the patient’s own teeth as a mock to be copied (Fig. 15). Any design modification can easily be done (Figs. 16 & 17).
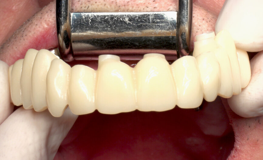
Finally, the designed temporary was sent to the milling unit and produced on a convenient PMMA disc (Telio CAD, Ivoclar Vivadent), resulting in a perfect full-arch bridge about 2 hours later. In this case, using SRAs, a monolithic Telio CAD bridge was produced without any Variobases (Straumann) for the SRAs. Final temporary production steps included characterisation and polishing (Fig. 18).
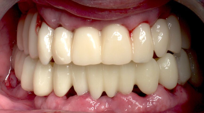
Returning to the patient, the healing caps were removed (Fig. 19), and the prosthesis was placed, allowing for a passive fit on the abutments, with an initial handpiece tightening of each SRA screw to 5 N cm. After the seating was checked, the torque of each SRA screw was increased, also with the handpiece, to 35 N cm (Fig. 20). The occlusion was checked and contacts were inspected (Fig. 21). The screw holes were sealed with PTFE and a temporary filling material. A panoramic X-ray was taken, and SRA screw positions were evaluated to confirm the perfect temporary bridge fit (Fig. 22). The patient was discharged on 500 mg of amoxicillin every 8 hours and 25 mg of dexketoprofen every 12 hours for one week. Oral hygiene and diet instructions were given, and a one-week follow-up appointment was scheduled.
Treatment outcomes
Bearing in mind that this is a one-day treatment, the overall treatment time per jaw is about 3–4 hours from the beginning to the end of the procedure. With this minimally invasive protocol, postoperative pain, swelling and discomfort are minimal. Patients are able to recover their health and social life immediately, without the psychological and social impairment associated with longer classical procedures.
Editorial note: This article was published in CAD/CAM - international magazine of digital dentistry No. 04/2018.
Tags:
Full-arch implant-supported reconstruction continues to provide viable solutions to restore and improve function, enhance aesthetics and change quality of ...
Modern dentistry should strive to preserve all maintainable natural teeth whenever possible, in line with the principles of minimal invasiveness and ...
Modern dentistry is undergoing a technological revolution, driven by the integration of advanced digital tools in diagnostics, planning and treatment. Among...
Improvements in digital technologies in recent years have transformed several industries, including implant dentistry. These novel methodologies have ...
In cases of severe posterior bone atrophy, Straumann Pro Arch is a solution that helps achieve fixed restoration for the patient. Straumann Guided Surgery ...
Implant treatment for full-arch fixed restorations has been around for decades now.1–3 The treatment usually involves four to six implants placed in ...
Successful immediate implant placement associated with immediate loading remains one of the greatest clinical challenges. In addition to the placement of an...
In the ever-evolving realm of modern dentistry, innovations are continually reshaping the landscape of patient care, bringing greater precision, efficiency ...
A 59-year-old male patient was looking for a new fixed restoration for his maxilla. His case history showed no general disease. The patient had been fitted ...
Patients often present to the dental office asking how long it will take to complete a full-mouth dental implant rehabilitation from start to finish. ...
Live webinar
Sun. 3 May 2026
12:00 pm EST (New York)
Dr. Rickard Brånemark MSc, MD, PhD, Dr. Robert Gottlander DDS
Live webinar
Sun. 3 May 2026
8:00 pm EST (New York)
Live webinar
Tue. 5 May 2026
10:00 am EST (New York)
Live webinar
Tue. 5 May 2026
12:00 pm EST (New York)
Live webinar
Tue. 5 May 2026
1:00 pm EST (New York)
Dr. Maximilian Dobbertin M.Sc
Live webinar
Tue. 5 May 2026
3:00 pm EST (New York)
Live webinar
Wed. 6 May 2026
1:00 pm EST (New York)
To post a reply please login or register