95 teeth with open foramen were identified in a general dentist practice during the years 1985—2006, 75 of which could be followed-up by X-ray after an average time of 70 months (follow-up X-ray). 40 teeth were subject to vital extirpation (VitE), 28 teeth to vital amputation (VitA), and seven teeth with necrotic pulp underwent conservative root canal treatment (RT). Apexification success rate amounted to 85.3 percent (VitE 90 percent, VitA 85.7 percent, non-vital RT 57.1 percent). Another 12 percent could be judged as partial success in molars, as a certain number of the molar roots showed apexification, however, others not yet. The percentaged difference of a successful apexification between vitally extirpated teeth and root canal treatment of non-vital teeth was significant (p = 0.0243). Apexification result was irrespective of the filling level of root canal treated teeth as well as of endodontic success.
Endodontic failures resulted in ten cases (13.3 percent). Statistic significance was found regarding failure rate of VitA (7.1 percent) and root canal treatment of non-vital teeth (28.6 percent, p = 0.0157).
Within the observation period 19 out of the 95 teeth with open foramen (20 percent) were extracted. There was a significant difference regarding extraction frequency between the VitE group (14.6 percent) and the non-vital group (50 percent, p = 0.0169).
Introduction
Endodontic treatment of teeth with incomplete root growth poses a special challenge. In young patients, the necessity for endodontic treatment results from an accident or profound caries. Aside from damage control, this treatment aims at promoting tooth maturation including narrowing respectively closure of the apical foramen (apexification) and possibly root extension (apexogenesis). According to Zeldow (1967) the following treatment options are commonly used:
- For vital teeth: Pulpotomy (VitA) with subsequent conservative root canal treatment (RT)
- For non-vital teeth:
- either RT or
- RT in connection with apicoectomy/retrograde root canal filling or
- inducing of bleeding with root canal filling in the coronal root part only.
Krakow et al. (1977) disapprove of a VitA inevitably following root canal filling. Joschko (2012) points out that the often diverging roots of immature teeth exclude a dense root canal filling, and that open apical foramen promotes overfilling. Some authors, like Kvinnsland et al. (2010) and Rafter (2005), state that the dental papilla may simulate an apical periodontitis in the area of the open apical foramen.
Fig. 1: Probability of survival of the 3 therapy groups with the target criterion “No Extraction”.
Fig. 2: Time history of the extractions (N = 19).
Case 1: Male (born 5 June 1987): Tooth 35
Fig. 3a: 18 March 1997 ante pulpotomy.
Case 1: Male (born 5 June 1987): Tooth 35
Fig. 3b: 18 March 1997 post pulpotomy
Case 1: Male (born 5 June 1987): Tooth 35
Fig. 3c: 6 May 2005 status
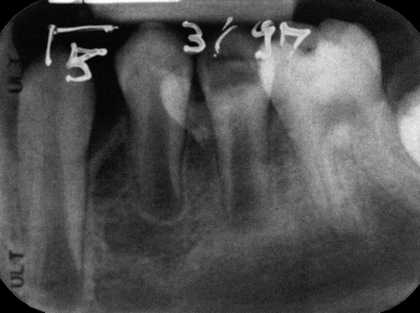
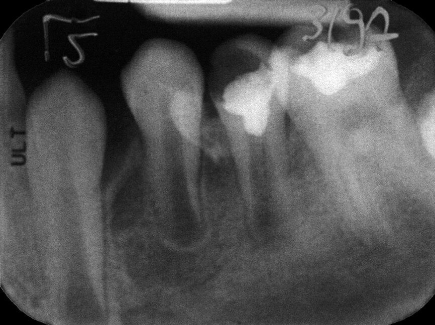
Case 2: Male (born 28 December 1980): Tooth 14
Fig. 4a: 18 August 1989 ante vitalextirpation.
Case 2: Male (born
28 December 1980): Tooth 14
Fig. 4b: 18 August 1989 post vitalextirpation.
Case 2: Male (born
28 December 1980): Tooth 14
Fig. 4c: 16 January 2004 status.
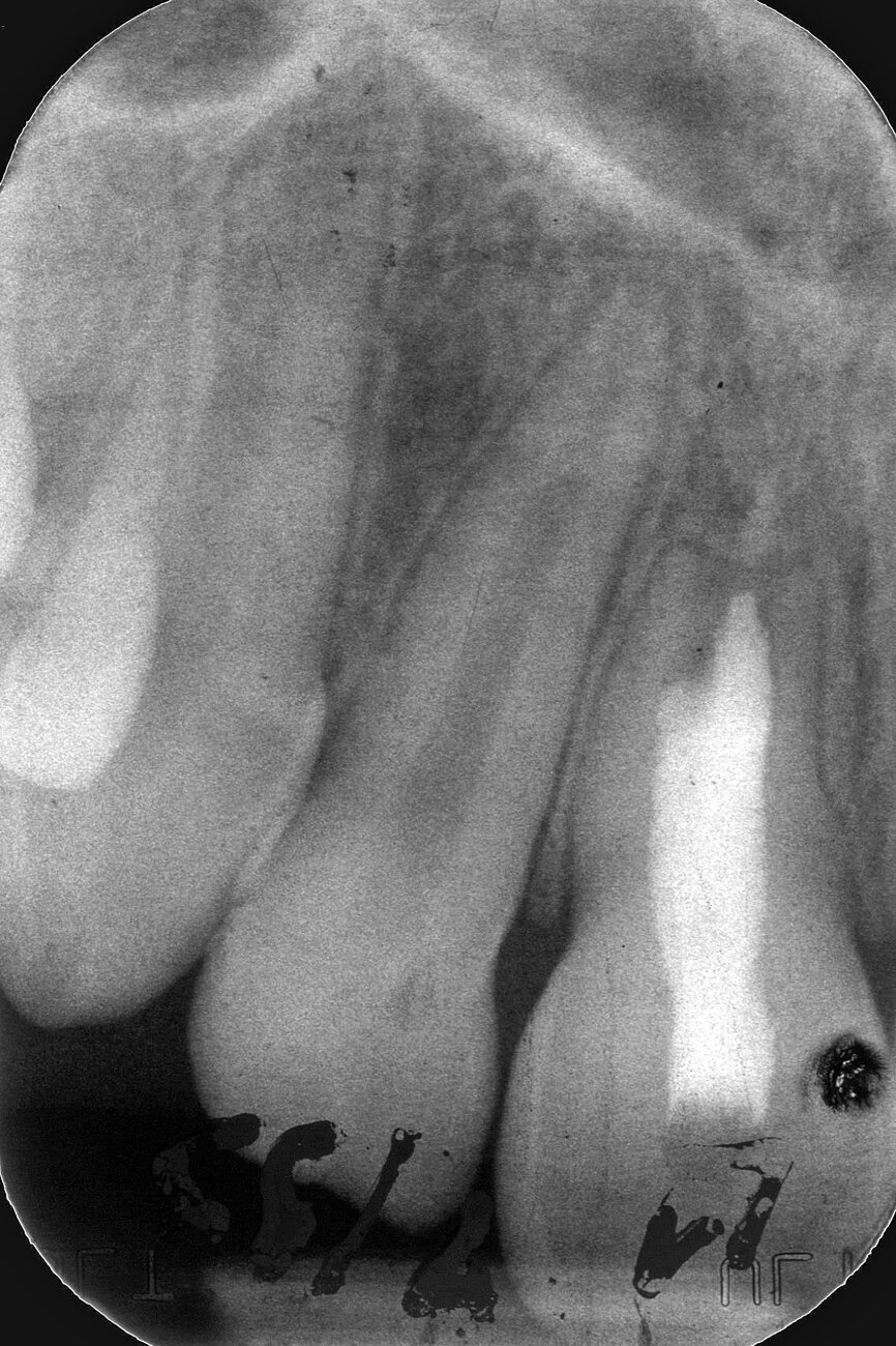
Case 3: Female (born 8 August 1988): Tooth 11
Fig. 5a: 4 September 1995 ante RCF
(non-vital).
Case 3: Female (born 8 August 1988): Tooth 11
Fig. 5b: 4 September 1995 post RCF
Case 3: Female (born 8 August 1988): Tooth 11
Fig. 5c: 22 April 2002 status.
Various methods favouring maturation of the immature teeth are described. Surgical interventions turned out to be less promising (Kreter 1959, Khoury 1992). Herforth (1981) obtained a very high healing rate of apical periodontitis with Jodoform deposits, however the success rate regarding stimulation of hard tissue induction only amounted to 3 percent versus 83 percent with calcium hydroxide (Ca(OH)2). Hermann (1920, 1930) introduced calcium hydroxide as material with osteogenic potential. Frank (1966) was the first to use it as medical dressing in teeth with incomplete root growth. These dressings should be replaced approx. every three months for a time period of six through 18 months. Cvek (1972) and Feiglin (1985), however, do favour a replacement of the dressing only in case of pathology. The long treatment duration—and thus loss of patient compliance— as well as a decrease of fracture resistance (Cvek 1972, Andreasen, Fabrik and Munksgaard 2002, Andreasen, Munksgaard and Bakland 2006, Trope 2006) are regarded as adverse features of the calcium hydroxide method.
As formaldehyde also features an osteogenic potential (Orban 1935), tests with formocresol versus calcium hydroxide were made as well. Within a pulpotomy study, Spedding et al. (1965) judged formocresol as being more appropriate for apexification. Latest literature prefers mineral trioxide aggregate (MTA) over calcium hydroxide (Andreasen et al. 2006, Schwartz et al. 2008, Schäfer 2003, 2004). Shabahang et al. (1999) as well as ElMeligy et al. (2006) made a comparison between mineral trioxide aggregate and calcium hydroxide ending up in favour of MTA.
In a prospective study, Simon et al. (2007) report on 43 one-stage MTA treatments, which were followed up after a control period of at least 12 months (up to 36): 65 percent of apical lesions were completely healed and an apical barrier could be observed in 11 cases (26 percent). 78.7 percent were free from apical periodontitis, whereas apexification took place in only 64 out of 75 cases (85.3 percent). The time period for control of apical development was clearly longer, though, amounting to 70 months.
Aside from the therapy with various medicaments, the ‘revascularization’ therapy was established also (Ham et al. 1972, Hülsmann et al. 2008, Bose et al. 2009, Cehreli et al. 2012, Garcia Gody and Murray 2011) provoking a light bleeding into the pulp by punction beyond the apex. Dressing is placed coronary: MTA, calcium hydroxide, formocresol or a triple antibiotic paste. The latter one provided thicker canal walls than calcium hydroxide respectively formocresol. Also the length growth was stronger versus MTA application (Ebeleseder 2004).
Based on the knowledge that formaldehyde preparations have a similar (necrotizing, osteogenic) effect to the pulp like calcium hydroxide, the secondary author of this study as long-time owner of a general dental practice suggested an analysis of his endodontic treatment cases with open apical foramen regarding apexification/apexogenesis, which had been carried out by Joschko (2013) as then doctoral candidate from which this article reports.
Material and method
99 endodontic treatments of teeth with open apical foramen were taken from the files of the practice examined in this study in the years 1985 through 2006. Treatment method was the so-called N2 method according to Sargenti and Richter(1954), which meant: no canal rinsing and application of the paraformaldehyde- containing N2. Rubberdam was not used. The N2 powder contained 7 percent formaldehyde before admission by the EU, afterwards the content was decreased to 5 percent.
Four cases were excluded:
- A non-vital case where the initial X-ray did not clearly reveal whether the apical radiolucency of both roots were a matter of apical periodontitis or apical papilla.
- A VitA-case was extracted alio loco a few days up to 18 months after VitA.
- X-ray was insufficient in the third case, VitE of an upper molar
- In the fourth case, the patient did not show up again after devitalization of an upper premolar.
Thus, 95 cases to be judged remained, of which only two non-vital teeth were treated in a two-stage therapy. 93 cases were treated in one appointment inclusive definite filling. For root canal filling, the N2 powder was mixed with N2 liquid to a creamy texture, a harder consistency was needed for VitA. N2 application for root canal filling was done by lentulo, for VitA a carrier instrument was used to bring the material into the excavated pulp cavity up to 1–2 mm into the canal accesses.
The 95 anonymous made cases were clinically followed- up without recall at an average of 73 months after treatment. 75 cases underwent X-ray control (follow-up X-ray) after an average of 70 months; 64 cases as single-tooth X-ray in parallel technique and 11 cases as orthopantomogram.
Judged as an endodontic failure were: pain or fistula at treated tooth, development of apical periodontitis, lingering or newly developed apical periodontitis.
Treatment success of the 75 cases was analysed in two modes considering the questions:
- Did apexification/apexogenesis occur?
- Did the apex remain unaffected of apical periodontitis?
In multi-rooted teeth with different apical diagnosis, the worst diagnosis was assumed as being valid for the tooth. A double magnifier served as diagnostic aid. Three persons evaluated the X-rays independently from each other: The doctoral candidate (author AJ), a dentist with ten years of professional experience and the practice owner (author RT). The final diagnosis resulted from the consensus of the three ratings.
Statistic significance was assumed for an erroneous assumption of p < 0.05 for comparison of two parameters and calculated by means of the log rank test.
Result
The average age of the patients was 10.7 years (6–25). Most cases (N=54) were attributed to mandibular molars (72 percent), among these mostly the first lower molars with 48 cases (50.5 percent of the cases to be analyzed), followed by nine cases of maxillary incisors. 75 cases were subject to one or—in intervals—multiple follow-up X-rays. 40 teeth (53.3 percent) were extirpated vitally, 28 teeth (37.3 percent) were amputated vitally and seven non-vital teeth (9.3 percent) underwent conservative endodontic treatment. Post-endodontic clinical control averaged at 73 months (12–271), the follow- up X-rays to be evaluated at 70 months (10–228). In 41 cases, X-ray evaluation was done more than 48 months after endodontic therapy.
The longer therapy dated back, the earlier achievement of the treatment aim apexification or apexogenesis could be verified. Two cases featured open apical foramina even 16 respectively 30 months post-treatment. In nine molars, the apical foramina of various roots were partly still open, partly already closed after an average of 28 months. Thus their results could only be judged as partial success. An average post-observation time of 71 months was registered in 55 cases with the diagnosis ‘apex closed without lengthening of the root’. A ‘closed apex with root growth’ could be stated in nine cases after an average of 117 months (see case 1) . The average age of the nine young patients with root growth amounted to 9.5 years, those without root growth had an average age of 11.2 years.
Overall, an apexification success was found in 64 cases (85.3 percent, confidence interval 77.3–93.3 percent). In nine other multi-rooted teeth (12 percent), the maturation process of the roots was differently distinct: The same tooth featured a root with closed apical foramen, whereas another root still showed an open foramen. Maturation progress of the immature teeth was observed on the basis of the 49 cases with multiple follow-up X-rays at different intervals. A first follow-up X-ray was available after an average of 34.6 months (4–130). 18 cases (36.7 percent) featured advancement, whereas the status of the other cases remained unchanged.
Not considering the nine partial successes as mentioned above, an apexification success rate with/without root lengthening of 90 percent (confidence interval 80.7–99.3 percent) was determined in the VitE group, the success rate of the VitA group was 85.7 percent (confidence interval 72.7–98.7 percent), the non-vital group showed a success rate of 57.1 percent (confidence interval 20.5–93.8 percent). The percentaged difference of apexification success VitE versus VitA with a probability of error of p = 0.5893 and VitA versus non-vital group with p = 0.0910 was not significant statistically. A statistic significance could be determined when comparing VitE with the non-vital group (p = 0.0243). Apexification success in root-filled teeth proved not to be depending on the filling level (p = 0.2441).
Ten endodontic failures (13.3 percent), nine of which radiographically and one clinically due to fistula formation (see case 2), were observed: six following VitE (15 percent), two following VitA (7,1 percent) and two following conservative root canal treatment of the seven non-vital teeth (28,6 percent). Regarding endodontic success/failure of VitE versus non-vital group, a statistic significance revealed (p = 0.0587). A statistic significance could be stated when comparing VitA with the non-vital group (p = 0.0157). Apexification occurred in nine of the ten failures. Patient classification in age groups of younger than 125 months and older than 125 months was not relevant regarding avoidance of endodontic failure (p = 0.448). 19 teeth (20 percent of the 95 treated teeth) were extracted during the observation period. Seven of these teeth belonged to the VitE group, eight to the VitA group and four to the non-vital group. A statistic significance of extraction frequency existed when comparing the VitE with the non-vital cases (p = 0.0169). Figure 1 shows the three groups’ probability of survival
With the aim of no extraction. Nine teeth (47 percent) were extracted within the first 50 months after treatment. The time history of all extractions is featured in Figure 2. A main reason for extraction was damage/fracture of the natural tooth crown (42 percent) or an endodontic failure (31 percent). 33 of the 48 endodontic treatments of first lower molars had been done prior to the age of ten years. 14 first lower molars (73.7 percent of all extractions) were extracted, 12 of which prior to the age of 20 years.
Discussion
The present study is a retrospective one with data collected out of a regular dental practice, where endodontic treatments were done according to the Sargenti N2 technique (1954) exclusively, a method not accepted in the established dental doctrine, primarily due to the formaldehyde content in the N2 powder, but also because of elimination of root canal rinsing. 95 cases could be evaluated. Whereas apexification literature is generally based on front teeth with necrotic pulp, only 10 percent of the 95 evaluated teeth were non-vital (see case 3). 38 percent were treated by VitA, 52 percent by VitE. The first mandibular molars were represented most with 48 cases. A recall of the patient did not take place. In contrast to clinics, patient loyalty nevertheless allowed a clinical control of all 95 cases, which was done after an average of 73 months. 75 cases were subject to X-ray control. The actually evaluated X-ray had been taken after an average of 70 months. 49 of the 75 cases had more than one follow-up X-ray taken so that X-ray interpretations could have been done for various time intervals thus allowing control of the further apical development. A first control X-ray was generally available after 34.6 months. 18 cases of the more than one follow-up X-rays documented a continuous maturation. For lack of previous X-rays, the result of 31 cases of final apical condition after 34.6 months does not mean that apexification or apexogenesis could not have been occurred prior to this time, which could have been clarified in a prospective study only. However, the radiographic observation period of 70 months is long compared to other publications. The longest is indicated by Herforth (1981) with 3.9 years after treatment of 541 front teeth, condition after accident, with calcium hydroxide and Jodoform and with four years by Cvek (1972), who evaluated the data of 328 immature luxated/subluxated maxillary front teeth treated with calcium hydroxide by 58 practitioners. 12 months after MTA treatment of 30 single-root, non-vital teeth with open apical foramen Annamalai and Mungara (2010) obtained the following results: apical healing 100 percent, apexification 86.6 percent, root extension 30 percent. After an observation time of 12–44 months, Holden et al. (2008) determined a success rate of 85 percent (N=17) for their 20 teeth treated by MTA in several appointments. The healing and apexification process was not subject to recall interval. However, advanced growth of the apices after N2 application over a period of several years could have been well observed in the present study (average: without extension 71 months, with extension 117 months), possibly due to the different characteristics of MTA versus N2.
The authors Simon et al. (2007) observed 43 single-rooted teeth with open apical foramen that had been one-stage treated with MTA for a time of 12 up to 36 months. They stated a complete healing in 65 percent, an incomplete healing in 30 percent and an ‘apical closure’ in 26 percent of these cases (N = 11). The radiographic diagnosis of the present study is: 78.8 percent positively without apical periodontitis, 9.3 percent apical periodontitis questionable, 12 percent apical periodontitis with 85.3 percent featuring ‘apical closure’ and 36.7 percent root extension. However, a direct comparison between the Simon and the present study is not admissible due to the low number of cases, the different observation periods and the non-coordinated interpretations of the evaluation modalities.
El Meligy et al. (2006) examined 30 pulpotomy cases (15 Ca(OH)2, 15 MTA), 24 of which were first molars, which suggests a comparison with our study. The following assumptions were applied: no clinical problems, radiographically no apical periodontitis, apexification occurred. 13 calcium hydroxide cases (87 percent), but all MTA cases came up to this.
The three above mentioned therapy groups of this study achieved an apexification success of totally 85.3 percent by means of the formaldehyde containing N2: 90 percent following VitE, 85.7 percent following VitA, 57.1 percent following conservative root canal treatment of non-vital teeth. The success rate of 57.1 percent for non-vital teeth should not be taken too seriously because of the 20.5–93.8 percent wide confidence interval due to the small number of cases. The percentaged success referred to the respective teeth as a whole. Another 12 percent referred to some molar roots with partly open, partly closed apices. Sheehy and Roberts (1997) comparatively report on the formation of a hard substance barrier after calcium hydroxide application after 5–20 months in 7 100 percent of the cases. In contrast, the authors Roberts and Brilliant (1975) considered the interpretation of an X-ray as being unrealistic for determination of a possible apical closure matching the Liang et al. proof of insufficient diagnostics of the periapical X-ray versus digital volume tomography (DVT). 23 teeth were re-examined according to both techniques two years after endodontic treatment. 74 percent of periapical radiolucencies could not have been visualized with conservative X-ray and 61 percent with DVT. Despite the diagnostic deficits to be assumed, X-ray in combination with a clinical examination remains the only practical method. An interpretation bias in this study can be largely eliminated due to the consensus finding of the three X-ray evaluators.
While in short-term studies with low case numbers extractions are not mentioned, this study counted 19 extractions, 14 of which were allotted to the first mandibular molars. Thus the mandibular molars represented 73.7 percent of all extractions with a 50.5 percent share in treatments. This relatively high extraction frequency may be due to the fact that these teeth erupt early as the first permanent molars thus having been exposed to tooth-damaging influences for the longest time. Extraction is avoided less in the posterior area versus the anterior areas, as in young patients the gap normally closes the natural way without orthodontic or prosthodontic treatment. Garcia-Godoy and Murray (2012) made up a survey with hints to deficits in apexification literature. According to this survey, 200 case studies on calcium hydroxide had been published. Reports on unfavourable and long-term effects would be missing. One problem of long-term calcium hydroxide dressings would be an alteration of the mechanical dentine characteristics, which could lead to fractures. Long-term studies regarding MTA would be missing. However, for achieving apexification, mineral-trioxide aggregate would be more effective than calcium hydroxide.
Also regarding regenerative procedures, only case studies and case series would exist. The ‘blood clot’ generated during this therapy should however have no contact to the inserted sealer, as sealers were not biocompatible and featured a cell-toxic effect.
In the present study, pulp tissue, possibly blood as well, had contact with the cell-toxic N2. As the longterm observation showed, this contact had no disadvantageous effect on the respective teeth. Regarding apexification and apexogenesis, a perennial study rather proved that the success rate was at least equal to MTA and calcium hydroxide. Root fracture, as suspected in calcium hydroxide cases, could not have been noticed in any of the cases. One-stage treatment has to be considered as special advantage of N2 application aiming at apexification, which at the same time is a time- and cost-saving method.
Editorial note: A list of references is available from the publisher. This article was published in roots - international magazine of endodontology No. 03/2017.
The aim of this study was to exam more than 8,000 primary, non-surgical root canal treatments in the author’s general practice during 1985–1999 ...
BURGOS, Spain: The Centro Nacional de Investigación sobre la Evolución Humana in Burgos in Spain has released a new open access dataset comprising 712 ...
Autotransplantation of teeth (ATT) is a promising approach that offers a blend of aesthetic, functional and economic benefits for patients with missing or ...
It goes without saying that as professionals we should strive for the highest success possible. Yet, defining and determining long-term success isn’t ...
SINGAPORE: In addition to an extensive list of companies exhibiting at 2018 International Dental Exhibition and Meeting (IDEM), the event organisers have ...
Dentists today are living during exciting times when advancements in materials, techniques and diagnostics allow us to predictably improve the quality of ...
GENEVA, Switzerland: Researchers from the University of Geneva (UNIGE) are seeking to learn why certain species of catfish are able to grow teeth outside ...
Objective: The objective of the retrospective analysis was to evaluate the efficacy of periimplantitis treatment up to a five-year observation period.
Class II malocclusion is one of the most common orthodontic discrepancies. It is likely to produce significant aesthetic and social effects and to increase ...
The current level of technology and specialisation in all areas of life allow us to assess correctly our capabilities and limitations in the treatment of ...
Live webinar
Tue. 12 May 2026
1:00 pm EST (New York)
Live webinar
Thu. 14 May 2026
12:00 pm EST (New York)
Live webinar
Thu. 14 May 2026
2:00 pm EST (New York)
Prof. Hani Ounsi DDS PhD FICD
Live webinar
Tue. 19 May 2026
11:00 am EST (New York)
Live webinar
Tue. 19 May 2026
1:00 pm EST (New York)
Prof. Dr. med. dent. Ivo Krejci
Live webinar
Wed. 20 May 2026
7:00 am EST (New York)
Dr. Graham Carmichael BDSc (Hons), DClinDent (Pros), FRACDS, Dr. Robert Gottlander DDS
Live webinar
Wed. 20 May 2026
9:00 am EST (New York)
To post a reply please login or register