Endodontic microsurgery (EMS) has become a more effective treatment compared with more traditional surgical approaches. Regardless of the technique improvements, it can be challenging to locate the root apex, especially in cases of difficult access, intact thick buccal cortical bone and anatomical obstacles. This article describes a new approach with the use of a 3D-printed template to guide osteotomy in order to access the root apex.
CAD/CAM and 3D-printing technology applications were first developed and applied to dentistry in the 1990s. At first, this technique was used for the fabrication of fixed restorations, but it was mostly applied to oral surgery for the fabrication of guiding templates for implant site preparation and insertion.1, 2 Nowadays, since the introduction of CBCT, CAD/CAM and 3D printing have several applications in dentistry, including in endodontics where the use of guiding templates has recently been introduced.2
These templates may be used to guide endodontic access in calcified canals and to guide osteotomy.1–3 EMS is one of the options for treating persistent periapical periodontitis after the failure of non-surgical root canal therapy or retreatment.2–4 Over the years, endodontic equipment, instruments and materials have been improved and better techniques have been developed. These developments have allowed greater understanding of the apical anatomy and increased the success rate of endodontic surgery, and consequently, it has become a more effective treatment.2, 3, 5
EMS requires a targeted osteotomy and root end resection based upon anatomical landmarks and preoperative radiographs or CBCT measurements, and it combines the use of magnification and illumination provided by dental microscopes with the proper use of micro-instruments. 1, 3, 5 This allows a more precise and predictable approach with easier identification of root apices, smaller osteotomies and shallower resection angles that allow the maintenance of cortical bone and preservation of root length and dental structures.3, 5 In addition, the use of dental microscopes allows the identification of anatomical details such as isthmuses, microfractures, lateral canals and fins of the resected root before root end preparation and filling.
The advances in EMS along with modern diagnostic techniques, such as CBCT, used in diagnosis, pretreatment planning and post-treatment or follow-up evaluation contributed to higher success rates (85.0–96.8%) compared with more traditional approaches.3, 5
Some of the prognostic factors that may influence EMS outcomes include tooth position, lesion type, root end preparation, filling material and coronal restoration.6–8 Difficult accessibility, thick buccal bone and anatomical obstacles (mental foramen, inferior alveolar nerve and maxillary sinus) have been related to poorer outcomes.2 The extent of periapical bone destruction and osteotomy may also contribute to postoperative complications, such as pain and swelling. When the buccal bone plate is still intact, the extent of osteotomy tends to be increased, because it is difficult to find the exact location of the root apex.2, 3, 5
In this case report, we present a novel endodontic surgery approach using a 3D-printed template for guided osteotomy.
Fig. 1a–d: Pre-op CBCT scan of tooth #36. The axial (a), …
…and sagittal views (c) showed a hypo-dense zone around the apical third of the mesial and distal roots and intact cortical buccal bone.
A template that marked the limits of a cortical window to accurately reach the apical area of both roots was designed (d).
Case 1
A 63 year old female patient, with a non-contributory medical history, consulted owing to moderate pain associated with her previously treated mandibular left first molar. CBCT revealed that a mesiobuccal canal had being missed during initial treatment, that the mesial and distal roots were affected by an apical lesion, and that the cortical buccal bone was intact.
Retreatment was done in two appointments, and calcium hydroxide was used as the intra-canal dressing after removing the previous filling material and cleaning and shaping three canals. After one week, root canal therapy was completed. Two months later, symptoms persisted and clinical examination revealed pain on vertical percussion; periodontal probing depth and mobility were within normal limits. CBCT revealed no signs of bone healing (Figs. 1a–c). The diagnosis for tooth #36 was previously treated symptomatic periapical periodontitis, and the treatment of choice was guided EMS.
An intra-oral scan (TRIOS, 3Shape) of the mandible, and the resulting STL file was combined with the DICOM files of the CBCT scan to plan a surgical guide using the Blue Sky Bio software. A template that marked the limits of a cortical window to accurately reach the apical area was designed and printed (Fig. 1d).
Fig. 1e–i: During microsurgery, the template was adjusted (e), …
… the limits of the cortical window were marked in the bone (f) …
… with a saw mounted in a Piezotome CUBE LED handpiece, then the bone was cut and removed (g & h) …
… to access the apical area and perform the apicectomy, apical cavity preparation and retro-filling of the mesial and distal roots (i).
Fig. 1j: Finally, the cortical window was replaced and stabilised with collagen tape.
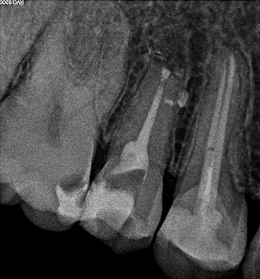
Fig. 1k: Immediate post-op radiograph of tooth #36.
Under local anaesthesia, a full thickness mucoperiosteal flap was reflected and the printed template was used to mark the cortical window, which was cut with a Piezotome CUBE LED handpiece (ACTEON), removed (Figs. 1e–h) and then placed in sterile saline. An apicectomy was done (Fig. 1i), and the mesial canals were retro-prepared with ultrasonic tips (NSK) and filled with EndoSequence BC RRM Fast Set Putty (Brasseler). The cortical window was then placed back and stabilized with collagen sponges in the gaps (collagen tape, Zimmer Biomet; Figs. 1j & k), and the ‑ap was sutured using 6/0 prolene suture material (Corpaul).
At the two-year follow-up, clinical examination and CBCT showed evidence of healing of the apical lesions and the cortical bone without symptoms or complications (Figs. 1l–n).
Fig. 1l–n: Two-year follow-up CBCT scan, axial (l), …
… and sagittal views (n).
Case 2
A 38-year-old female patient consulted owing to moderate pain associated with her previously treated maxillary right second premolar. Her medical history was non-contributory. Clinical examination revealed that the tooth was slightly sensitive to vertical percussion. Periodontal probing depth and mobility were within normal limits. A periapical radiograph showed the presence of a separated instrument outside of the root (Fig. 2a), and a preoperative CBCT scan demonstrated that the buccal bone plate was intact (Figs. 2b & c). Endodontic retreatment had been performed five months earlier. The diagnosis for tooth #15 was previously treated symptomatic periapical periodontitis, and the treatment of choice was guided EMS.
An intra-oral scan (TRIOS) of the maxilla, and the resulting STL file (Fig. 2d) was combined with the DICOM files of the CBCT scan to plan a surgical guide using the Zirkonzahn. Implant-Planner software (Zirkonzahn) modified with Meshmixer (Autodesk). A template that marked the limits of a cortical window to accurately reach the apical area was designed and printed (Figs. 2e & f).
Fig. 2d: STL file obtained from the intra-oral scan.
Fig. 2e: Planned template for guided endodontic microsurgery of tooth #15.
Fig. 2f: Printed template for guided endodontic microsurgery of tooth #15.
Under local anaesthesia, a full-thickness mucoperiosteal‑ap was reflected, providing visualisation of the buccal bone (Fig. 2g), and the printed template was used to mark the cortical window (Fig. 2h), which was cut with a Piezotome CUBE LED handpiece, and the separated instrument was exposed (Fig. 2i) and removed (Fig. 2j). After apicectomy, retro-preparation was done using ultra sonic tips (ACTEON) and sealed with TotalFill BC RRM Fast Set Putty (FKG) (Fig. 2k). The ‑ap was sutured using 5/0 prolene suture material (Fig. 2l). The sutures were removed 72 hours postoperatively. After two years the patient came to our office for a follow-up radiograph, the tooth was asymptomatic and in function (Fig. 2m).
Fig. 2g: Full-thickness mucoperiosteal flap reflected.
Fig. 2h: The template was adjusted and the limits of the cortical window were marked in the bone.
Fig. 2i: Separated instrument out of the root near the apical area of tooth #15.
Fig. 2j: Removed separated instrument.
Fig. 2k: Post-op radiograph after apicectomy, retro-preparation and retro-filling with TotalFill BC RRM Fast Set Putty.
Fig. 2m: Two years follow-up radiograph.
Discussion
The use of 3D-printing technology in the field of endodontics has been described for surgical guides, guided endodontic access, autogenous transplantation, educational models and clinical simulation and has become a valid treatment option in dentistry.1, 9 Even though the literature is still limited to case reports and preclinical studies, guided surgery seems to be a more accurate and successful technique compared with traditional access.1, 10
The use of surgical guides for periapical surgery was first suggested by Pinsky et al. for more precise and consistent localisation of root apices. In a preclinical study, the apical mean distance of osteotomies to planned objectives was 0.79 mm (± 0.33 SD) with surgical guides and 2.27 mm (± 1.46 SD) in freehand osteotomies.4
Since then, case reports have been published in which is demonstrated that the use of 3D printing is a helpful tool in periapical surgery, in anterior and posterior teeth.2, 3, 11–13 This guided approach benefits osteotomy and facilitates the location of root apices, minimising the risk of damaging anatomical structures. It can also be used to locate with precision extruded root filling material for its removal.2, 9, 14
The cortical window technique (lid approach) was introduced into periapical surgery by Khoury and Hensher in 1987, and it allows better access to and visibility of the apical zone and the lesion location and prevents the formation of large residual bone defects.15
Although EMS has become a more predictable and reliable treatment option, it can be challenging to locate root ends for resection in molar cases or in cases involving teeth near potentially problematic anatomical structures, such as adjacent roots, the inferior alveolar nerve, the mental foramen, the maxillary sinus and the greater palatine artery.1, 2, 11, 16 Surgical templates are particularly helpful in difficult cases: they help to reduce iatrogenic injury producing an osteotomy site with predictable angulation, diameter and depth.11, 12 After endodontic surgery, success depends on the bacteria-tight seal of the root canal system with root end filling and on the deficiencies of the periapical and marginal bone tissue adjacent to the lesion.16 Consequently, the osteotomy should be “as small as possible but as large as necessary” to accomplish the clinical objectives, because there is a direct relationship between the size of the osteotomy and the speed of healing: the smaller the osteotomy, the faster the healing.5 The extent of osteotomy tends to be increased by less experienced clinicians.2, 16 During freehand osteotomy, deviation from the ideal site can occur as result of human error, leading to the inevitable removal of sound bone tissue.1
There is a consensus about the benefits associated with the use of guided surgery. The virtual backward planning simplifies the surgical procedure, shortens operative time, improves accuracy and reduces postoperative complications.9, 14, 17 Guided surgery has the potential to allow less experienced clinicians to treat difficult cases, as it enables the acquisition of predictable results without the need for advanced surgical skills.9, 14
However, this technique requires technical expertise involving a substantial learning curve for the preoperative preparation.1, 11 The precision of the printed object depends not only on the 3D printer but also on the CBCT and intra-oral scan images and the capacities of the designer and CAD software.1 Minimal accuracy errors can occur during the image acquisition, processing and manufacturing stages.19 It is necessary to properly select cases for use of this technique and to design the template with care, as the presence of metallic restorations, for example, may provoke scattering in CBCT images and consequently inaccurate superimposition with scanned models.2
In addition, guided microsurgery is preoperatively time-consuming, but it is expected that the time will be reduced once the digital work‑ow is established.12 The acquisition of the equipment and software for merging files and designing and 3D-printing surgical guides is also necessary,1, 11 leading to higher costs associated with this technique when compared with the traditional approach.11, 18, 19 The preservation of the cortical bone and dental structures may be considered an advantage of this technique and could justify additional planning time and cost.3
Conclusion
Results suggest that guided endodontic surgery may be a promising approach, as the surgical procedure is simplified and the treatment efficiency seems to be improved. It helps to minimise the extent of osteotomy and facilitates the location of root apices in cases with intact buccal bone plate and near anatomical structures. It also allows easier and rapid location of the root apex with minimal damage to soft and hard tissue and reduced iatrogenic injury. Nevertheless, further research and testing must be performed to validate this clinical approach.
Tags:
How to achieve greater efficiency, safety and job satisfaction in endodontics—endodontist and trainer Dr Sabine Remensberger has been sharing her ...
We are witnessing today an upsurge in the use of minimally invasive techniques in the medical field. Dentistry has not escaped this rapidly expanding trend....
AURORA, Colo., US: Multi-material 3D-printing of monolithic dentures in a single build has been a significant advance in digital denture fabrication. ...
AMSTERDAM, Netherlands: At the recent Alzheimer’s Association International Conference, researchers at pharmaceutical company Cortexyme announced an ...
XI’AN, China: To date, there have been no expert consensus, guidelines or recommendations on apical microsurgery. To address this and standardise the ...
ROOTS SUMMIT 2024 is currently taking place until 12 May at the Eugenides Foundation in Athens in Greece. Now celebrating its 25th anniversary, ROOTS ...
AUGUSTA, Ga., U.S.: For a group of researchers from the Medical College of Georgia at Augusta University, the enzyme ecto-5’-nucleotidase (CD73) is going ...
CHARLOTTE, N.C., US. A comprehensive clinical study has shown that endodontic treatment protocols incorporating Reciproc instruments (Dentsply Sirona) ...
Endodontics is recognised as the most complicated treatment in dentistry and the most challenging one. The root canal system is an open pathway between the ...
BRUSSELS, Belgium/RUGBY, UK: At the recent 2019 European Cancer Summit of the European CanCer Organisation (ECCO), the ECCO Oncopolicy Committee agreed on a...
Live webinar
Thu. 14 May 2026
12:00 pm EST (New York)
Live webinar
Thu. 14 May 2026
2:00 pm EST (New York)
Prof. Hani Ounsi DDS PhD FICD
Live webinar
Tue. 19 May 2026
11:00 am EST (New York)
Live webinar
Tue. 19 May 2026
1:00 pm EST (New York)
Prof. Dr. med. dent. Ivo Krejci
Live webinar
Wed. 20 May 2026
7:00 am EST (New York)
Dr. Graham Carmichael BDSc (Hons), DClinDent (Pros), FRACDS, Dr. Robert Gottlander DDS
Live webinar
Wed. 20 May 2026
9:00 am EST (New York)
Live webinar
Wed. 20 May 2026
1:00 pm EST (New York)
Prof. Dr. med. dent. Tim Joda PhD, MSc, eMBA
To post a reply please login or register