Especially complex full-arch rehabilitation cases can benefit from a combination of digital and conventional treatment methods. (Image: Adisak Riwkratok/Shutterstock; clinical images: Marijana Eic et al.)
Full-arch implant-supported fixed protheses have become a highly desired solution for the rehabilitation of patients with terminal dentition or completely edentulous arches. New developments in digital dentistry have enabled practitioners to extract vital information from intra-oral and CBCT scans to plan and execute fully guided implant placement that is prosthetically driven. Preoperative implant planning using a digital workflow can significantly improve the predictability and success of implant-supported restorations, lessening the burden on the surgeon and restorative dentist during the time of surgery.
Fig. 1: Full-face view of the initial situation.
When designing a full-arch implant-supported prosthesis, optimal implant positioning is determined not only by the available bone structure but also by the prosthetic design, which accounts for occlusion, aesthetics and soft-tissue anatomy.1 Planning begins with data acquisition and may include extra-oral and intra-oral digital photographs, intra-oral scans, facial scans and CBCT imaging. This information is used to formulate a facially driven treatment plan that accounts for ideal incisal edge position, lip dynamics and patient preferences.2 The STL file from the intra-oral scan and the DICOM file from the CBCT scan can be superimposed in implant planning software to design a surgical guide and provisional prosthesis, which can be fabricated using additive or subtractive manufacturing. It is imperative that the surgical guide is stabilised to prevent any movement during surgery, and often anchor pins are incorporated into the design to attain the highest level of surgical accuracy.3 Once the implants have been placed and primary stability confirmed, the prefabricated provisional prosthesis can be picked up intra-orally with resin and finalised extra-orally while the sutures are placed. This offers the patient immediate aesthetics and function, improving the overall experience.
Achieving a passive fit is a key factor in the success of implant-supported fixed prostheses. Misfit can lead to both mechanical and biological complications such as screw loosening, component fracture and bone loss.4 During impression taking, it is crucial to accurately transfer the implant positions to the model to ensure a passive fit.5 While a fully digital preoperative workup is advantageous to both patients and clinicians, the final step of the full-arch treatment (i.e. the definitive prosthesis) has faced challenges with a digital workflow. Intra-oral scanners have shown clinically acceptable accuracy compared with conventional impressions for single crowns and short-span fixed prostheses.6 However, conventional impressions are more accurate for full-arch implant-supported prostheses than is intra-oral scanning technology.7, 8 While the technology continues to evolve and more-recent literature has shown comparable results between the two impression modalities, it may still be wise to exercise caution when digitally capturing full-arch implant impressions, as the accuracy greatly depends on the scanning strategy and many studies have been inconclusive.9
This case report demonstrates a hybrid digital–analogue workflow for the design and fabrication of a full-arch implant-supported fixed maxillary prosthesis. By combining technological advances in digital dentistry for planning a predictable surgery and provisional prosthesis with the gold standard conventional impression technique for fabricating the definitive prosthesis, the patient experienced the best of both worlds in his or her care and treatment outcome.
Case report
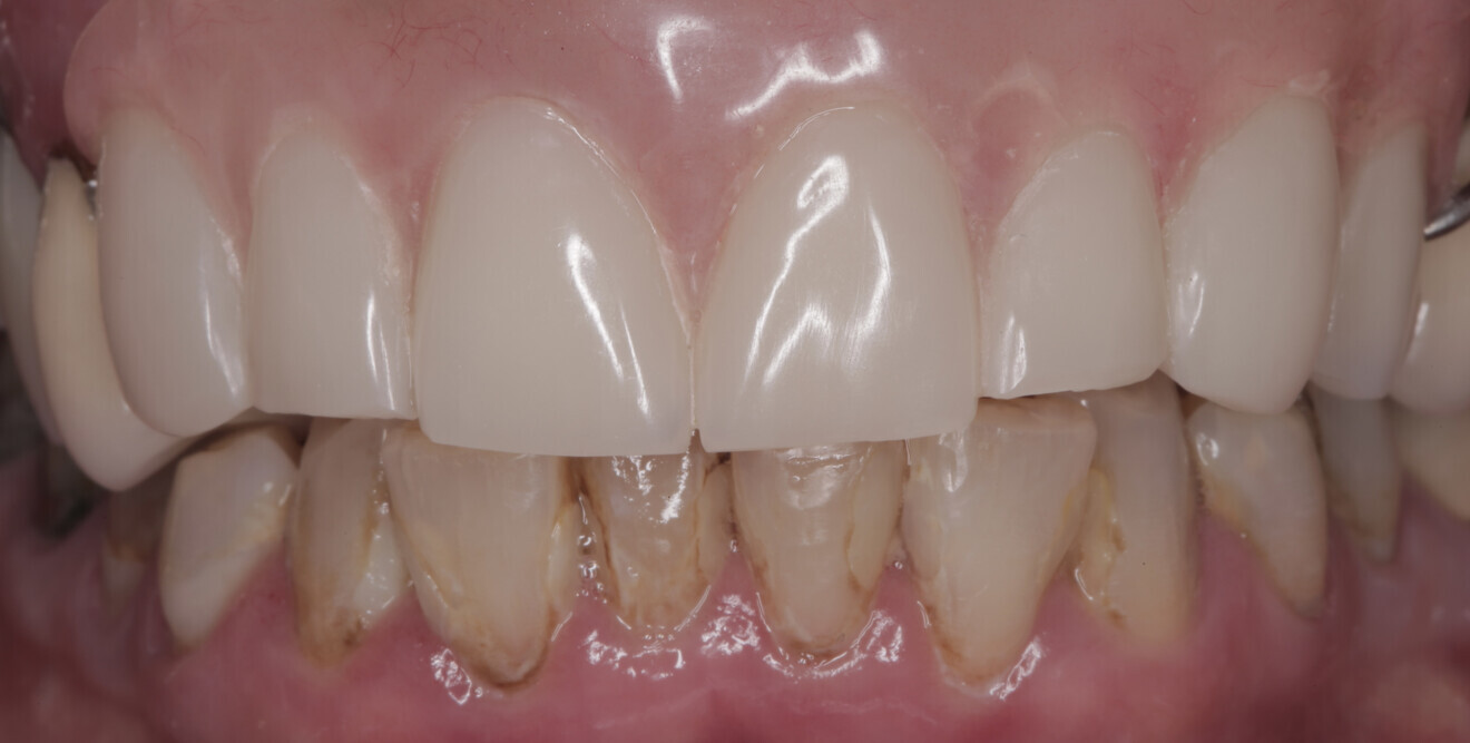
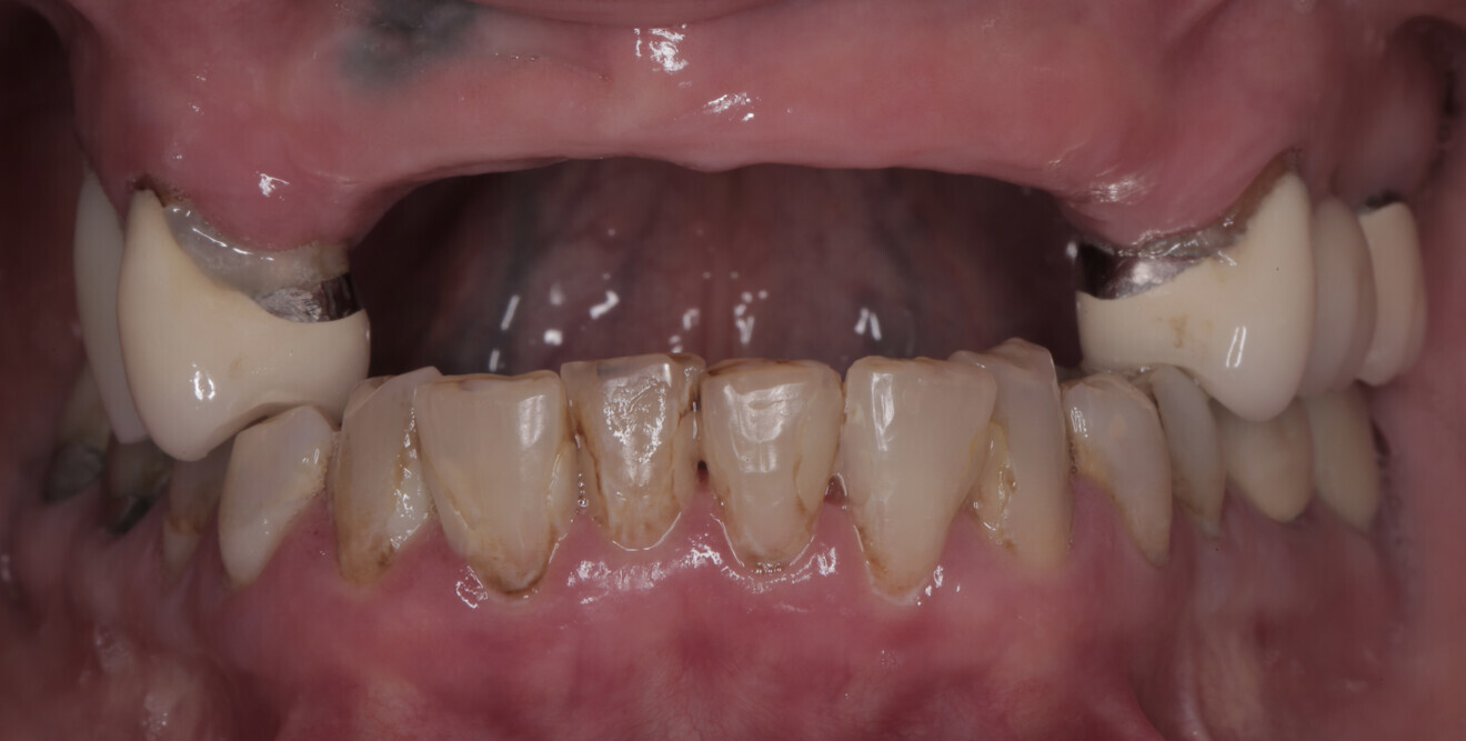
A 65-year-old female patient presented with maxillary terminal dentition, seeking a fixed solution to replace her missing and failing teeth (Fig. 1). Her maxillary arch had been rehabilitated 20 years before with a combination of crowns and bridges, and many of her teeth had been extracted within the last two years owing to recurrent caries. A maxillary partial acrylic denture had been fabricated at the time to replace the extracted teeth; however, she was never happy with this prosthesis and used it in social situations only (Figs. 2a-b & 3a-b). She presented with only four remaining maxillary teeth, two of which had large recurrent caries and were deemed unrestorable. Although heavily restored, her natural mandibular dentition was still intact, but there was recurrent caries on all anterior teeth.
Fig. 2a: Frontal view of the initial presentation without the partial acrylic denture.
Fig. 2b: Frontal view of the initial presentation with the partial acrylic denture.
Fig. 3a: Occlusal view of the initial presentation without the partial acrylic denture.
Fig. 3b: Occlusal view of the initial presentation with the partial acrylic denture.
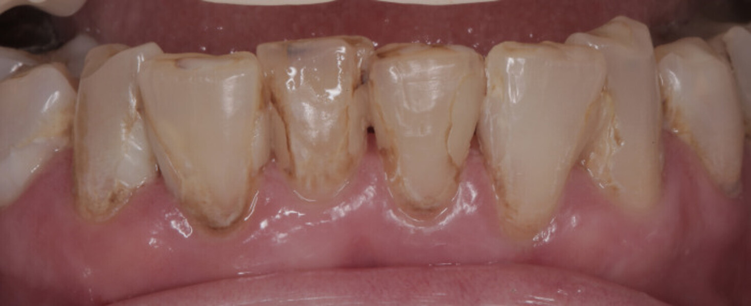
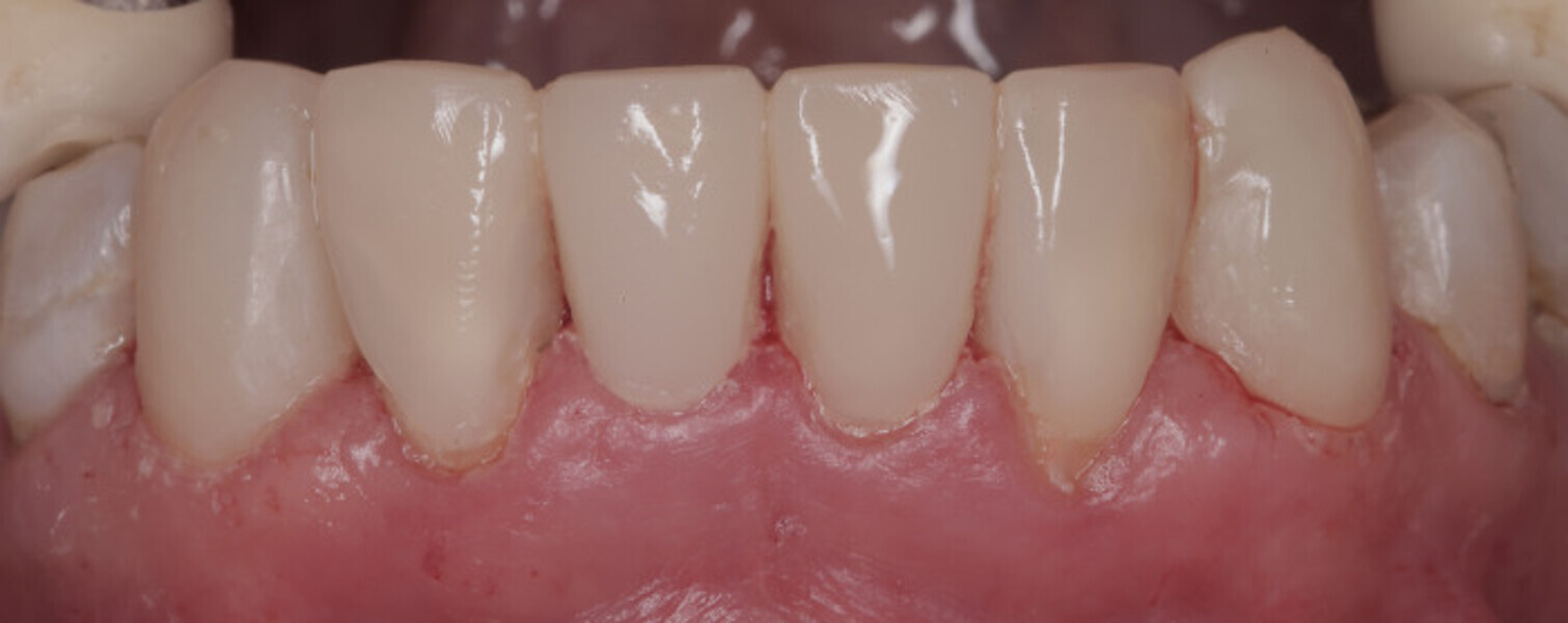
After discussing both removable and fixed options, the patient decided to proceed with extraction of the remaining maxillary teeth and placement of six implants to support a full-arch fixed prosthesis. The recurrent caries on the mandibular teeth would be restored with direct composite resin restorations before injection moulding to level out the mandibular occlusal plane (Figs. 4a & b).
After comprehensive examination, periodontal assessment, and scaling and root planing, an initial smile design was performed using full-face photographs to determine the ideal incisal edge position. Both arches were scanned with an intra-oral scanner (TRIOS 3, 3Shape) for a digital wax-up based on the preliminary smile design. This data was merged with a facial scan to generate a facially driven treatment plan. An intra-oral mock-up was performed using a 3D-printed prototype of the digital wax-up to assess aesthetics and upper lip support without a flange (Figs. 5a-c). Owing to excessive lip mobility and a high smile line, the plan was to fabricate a Misch classification FP-1 (with no pink in the design; Fig. 6a & b). Since the transition line could not be hidden without substantial bone removal, the patient accepted a prosthetic design with long teeth. Once the design had been approved, fiducial markers were placed on the prototype and scanned intra-orally. This was followed by a CBCT scan. The resulting STL and DICOM files were merged in implant planning software (coDiagnostiX, Dental Wings) for restoratively driven implant planning. This was used to produce an anchor pin guide, pin-retained surgical guide and pin-retained provisional prosthesis with access holes for pickup (Figs. 7a-c).
Fig. 4a: Mandibular anterior teeth at initial presentation (a) and after caries removal and injection moulding (b).
Fig. 4b: Mandibular anterior teeth at initial presentation (a) and after caries removal and injection moulding (b).
Fig. 5a: 3D-printed intra-oral mock-up to assess lip support and aesthetics. Frontal view (a). Frontal view with retracted lips (b). Occlusal view (c).
Fig. 5b: 3D-printed intra-oral mock-up to assess lip support and aesthetics. Frontal view (a). Frontal view with retracted lips (b). Occlusal view (c).
Fig. 5c: 3D-printed intra-oral mock-up to assess lip support and aesthetics. Frontal view (a). Frontal view with retracted lips (b). Occlusal view (c).
Fig. 6a: High smile line without (a) and with the intra-oral mock-up (b).
Fig. 6b: High smile line without (a) and with the intra-oral mock-up (b).
When planning a full-arch case, we have the challenge of determining where the most ideal implant locations would be. It is important to balance the anterior–posterior spread with the anatomical limitations that the patient presents with. While the published success rates in general appear to be very similar between tilted implants and straight implants in terms of failure rate and marginal bone loss over three years in function,10 the placement of tilted implants is much more sensitive to technique.11 It is important to maintain symmetry of implant placement for equal stress on the implants and to manage the cantilevers. In this case, it was determined that after osseous reduction there would be no or minimal native bone remaining around the distal implants. Anterior–posterior spread should be determined by bone quality, number and distribution of implants, rehabilitation design and prosthetic material,12 and in this case, extending to the first molars was deemed appropriate.
At the time of implant surgery, the tooth-supported anchor pin guide was tried in and full seating confirmed through the windows incorporated into the design (Figs. 8a & b). After the four anchor pins had been inserted, the remaining maxillary teeth were extracted and a mucoperiosteal flap was raised prior to placing the pin-retained surgical guide (Figs. 9a & b). Implants were placed in sites #15, 13, 11, 21, 23 and 25 (Bone Level Tapered Implant, Roxolid, Straumann), implants #15 and 25 being angled to avoid sinus grafting. Primary stability was confirmed at all sites except site #23, which was treated as a two-stage surgery and left out of the provisional prosthesis. Angled multi-unit abutments (SRA, Straumann) were attached to the five stable implants (Fig. 10), followed by insertion of temporary abutments in preparation for pickup (Figs. 11 & 12). The provisional prosthesis was then placed using anchor pins and subsequently attached to the temporary abutments with flowable composite resin (Figs. 13a & b). Minor occlusal adjustments were made before removal of the provisional prosthesis for finishing and polishing while the surgical sites were sutured (Figs. 14 & 15). The provisional prosthesis was reinserted, and postoperative instructions were given (Figs. 16a & b).
Fig. 8a: Anchor pin guide design ...
Fig. 8b: and in situ.
Fig. 9a: Implant surgical guide design ...
Fig. 9b: ... and in situ.
Fig. 10: Planning: angled multi-unit abutments attached to the five stable implants.
Fig. 11: Multi-unit abutments attached to the implants.
Fig. 12: Temporary abutments attached to the multi-unit abutments.
Fig. 13a: Provisional prosthesis inserted with anchor pins design ...
Fig. 13b: ... and in situ.
Fig. 14: Pickup of the provisional prosthesis.
Fig. 15: Provisional prosthesis after removal of the anchor pins and palatal supports.
Fig. 16a: Provisional prosthesis on the day of implant surgery. Frontal view.
Fig. 16b: Frontal view with retracted lips.
Fig. 17: Splinted open-tray impression copings.
Fig. 18: Verification jig re-luted intra-orally.
Fig. 19a: Prototype with new design to improve aesthetics. FP-3 in the anterior.
Fig. 19b: FP-1 in the posterior.
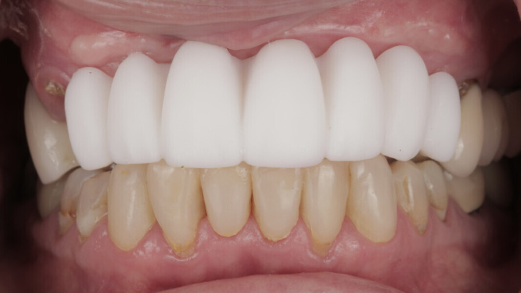
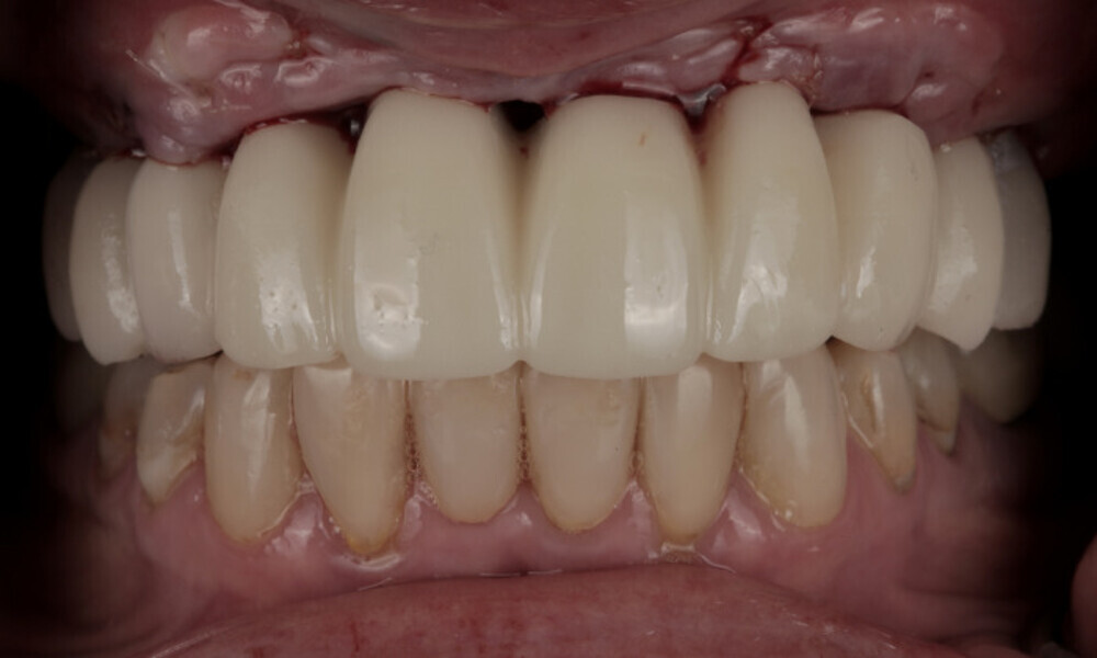
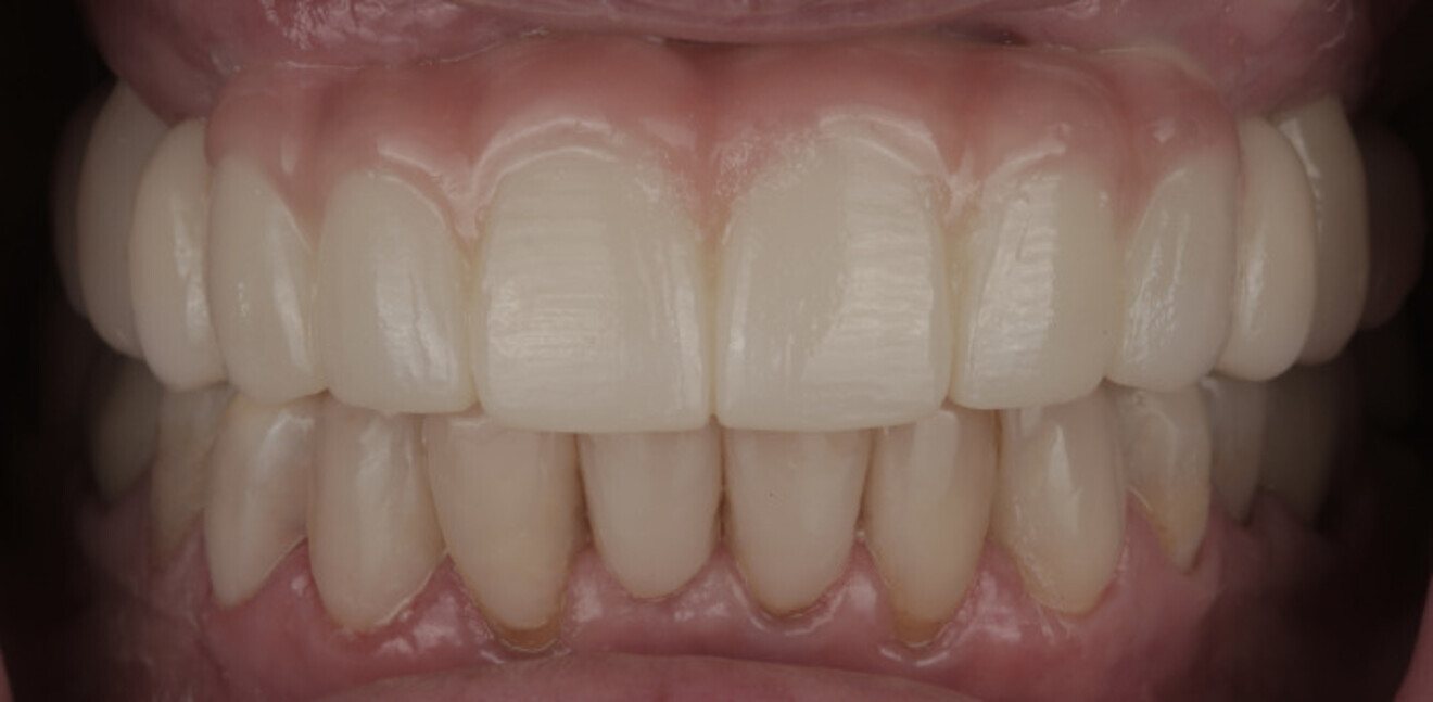
After four months of healing, osseointegration was confirmed, and second-stage surgery was performed at site #23. A preliminary closed-tray impression was taken with polyvinylsiloxane for the fabrication of a custom open tray. The final impression was captured using an open-tray technique with splinted impression copings (Fig. 17). A verification jig was designed and 3D-printed from the scanned master cast and re-luted intra-orally with Triad gel (Dentsply Sirona; Fig. 18). Passive fit on the master cast was confirmed with the one-screw test. A new prototype with a hybrid FP-1–FP-3 design was milled from polymethylmethacrylate to assess whether a more pleasing aesthetic result could be achieved, knowing that the pink transition line may be visible in the anterior (Figs. 19a & b). The patient preferred the new design, since the anterior teeth were more proportionate and the gingival shade blended well with her natural tissue (Figs. 20a & b). The definitive prosthesis was milled from monolithic zirconia, and a maxillary night guard was provided at the final insertion appointment (Figs. 21a-c).
Fig. 20a: Provisional prosthesis before design modification.
Fig. 20b: Provisional prosthesis after design modification.
The hybrid digital–analogue workflow presented in this paper displays the merging of digital advancements with conventional techniques to optimise the rehabilitation of a patient with terminal dentition. This approach enhances the predictability and success of full-arch implant-supported prostheses by addressing the inherent limitations of both methods when used in isolation. Precision and efficiency have been increased substantially in modern implant dentistry through digital planning and guided surgery. The patient’s postoperative experience can be greatly improved with immediate placement of a provisional prosthesis, restoring function and aesthetics on the day of surgery.
Despite the advantages of digital technology, the decision to use an analogue technique for the definitive prosthesis underscores the current limitations of intra-oral scanners for full-arch implant-supported prostheses. This case demonstrates how combining digital and conventional methods can streamline the workflow and reduce the risk of complications from improper implant placement or a non-passive fit.
Patient feedback and prototype testing were crucial in refining the prosthetic design before fabrication of the definitive prosthesis. This adaptability in the treatment plan created a more aesthetically pleasing result and improved overall patient satisfaction.
Conclusion
The use of dental implants can provide life-changing treatment for edentulous patients. Careful case selection and planning are key to obtaining optimal results. This case report illustrates the effective use of a hybrid digital–analogue workflow for rehabilitating a patient with maxillary terminal dentition. By combining digital techniques such as intra-oral scanning, CBCT imaging and facial scanning with conventional splinted open-tray impressions, the treatment achieved precise implant placement and ensured a passive fit of the definitive prosthesis. Overall, this hybrid approach highlights the benefits of integrating digital and traditional methods in complex full-arch rehabilitation. As digital technologies continue to evolve, further comparative studies are required to establish standardised protocols that take full advantage of these innovations in clinical practice.
Acknowledgements
We would like to thank our instructors, Drs Anthony McCullagh and Mohamed Gebril, for their clinical guidance.
Complete edentulism is an irreversible condition that is a known marker of disease burden for oral health.1 Edentulism significantly influences both oral ...
Implant treatment for full-arch fixed restorations has been around for decades now.1–3 The treatment usually involves four to six implants placed in ...
Improvements in digital technologies in recent years have transformed several industries, including implant dentistry. These novel methodologies have ...
Modern dentistry is undergoing a technological revolution, driven by the integration of advanced digital tools in diagnostics, planning and treatment. Among...
Full-arch implant-supported reconstruction continues to provide viable solutions to restore and improve function, enhance aesthetics and change quality of ...
Many of the world’s greatest literary achievements were created with a pen or typewriter. And then, along came computers and word processing software such...
IOANNINA, Greece: Numerous finishing techniques are available for zirconia-based screw-retained implant-supported prostheses; however, most of them are ...
Successful immediate implant placement associated with immediate loading remains one of the greatest clinical challenges. In addition to the placement of an...
VIENNA, Austria: Planmeca’s powerful Romexis software platform features all the necessary tools for a fully digital implant workflow. The software allows ...
A 62-year-old male patient was referred to my practice for implant planning and treatment in the maxillary anterior region. The teeth in the maxillary ...
Education
Live webinar Mon. 17 November 2025 12:00 pm EST (New York)
To post a reply please login or register